2026年2月4日-6日,备受瞩目的全球介入心脏病学领域高水准的学术盛会——第四届JIM GISE大会(JIM GISE 2026)即将于意大利罗马隆重举行。值此盛会召开之际,医谱学术特别邀请到大会主席,意大利米兰Humanitas大学心脏病学教授、哥伦布医院心脏导管实验室主任Antonio Colombo教授,就本届大会的核心亮点、中意学术合作展望等话题进行了独家分享。
2026年1月30日,“脉冲消融先锋云学院第一期·浙粤桂专场”于线上成功召开。会议汇聚多位电生理领域权威专家,通过指南解读、手术演示与实时讲解相结合,深入探讨PFA操作细节与技术难点,分享临床实践经验与前沿观点,有力推动PFA技术规范化发展。
近期,沈阳医学院附属第二医院马晶茹教授团队成功应用MemoLefort左心耳封堵器,为一名71岁高龄房颤患者完成完成“射频消融+左心耳封堵”一站式手术。由于该病例心耳位置较低,术者选择房间隔低位穿刺,满足更好轴向,避免心耳上缘压迫,后通过DSA与ICE精准指引,利用MemoLefort封堵器的贴壁成角倒刺设计实现稳固锚定与严密封堵。
为了进一步探讨该技术的临床应用价值,全极标测大师汇 雅培手术直播系列(第一场)将于2026年2月4日09:00-11:40于线上开启。本次会议汇聚全国大咖,重点聚焦EnSite™ X三维标测系统在提升模型稳定性方面的技术改进,以及近场标测在复杂心律失常手术中的独特优势。
由延安大学咸阳医院、天水市第一人民医院、北京德诺公益基金会共同主办的“云端领航・仁心仁术”介入手术直播系列——冠脉慢性完全闭塞病变介入手术沙龙成功举办。本次会议以线上直播+线下联动的形式,汇聚国内心血管介入领域顶尖专家与基层术者,通过8台高难度CTO-PCI手术实时直播、学术讲座等环节,为参会同道呈现了一场立足前沿、扎根实战的高水平学术盛宴。
宋光远-经导管MVIV手术演示
郭飞-持续性房颤手术演示
陈红武-持续性房颤手术演示
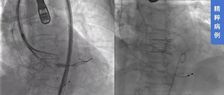
阜外医院宋雷、崔成教授高血栓负荷编织样血管PCI治疗一例
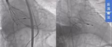
阜外医院宋雷、张茵教授-LAD-CTO PCI开通一例
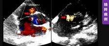
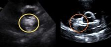
全降解封堵器成功治疗紧邻主动脉瓣嵴下型室缺