极高危!84岁高龄患者重度AS+冠脉三支病变:安贞医院多学科团队成功实施TAVR联合复杂PCI一站式手术
虽然心血管介入手术日趋发展,但重度主动脉瓣狭窄(AS)合并复杂冠脉病变患者的整体治疗策略仍具挑战性。患者通常高龄、合并其他疾病较多,体质差,难以耐受开胸手术。如何在血流动力学极度脆弱的前提下同时处理结构性心脏病与复杂冠脉病变,是临床关注的重点。本例报道北京安贞医院多学科团队采用 TAVR + 同期复杂PCI成功救治一例超高危老年男性患者,对高危人群的综合介入策略具有重要参考价值。
患者术前资料
基本情况:
老年男性,84岁,患者8年前开始出现间断胸闷症状,位于心前区,向左侧背部放射,活动后症状显著,休息数分钟后即可缓解,于当地医院诊断为“急性非ST段抬高型心肌梗死”,后行冠脉造影术提示LM末端80%狭窄,LAD近中段严重钙化弥漫狭窄80%,LCX开口局限性狭窄95%,RCA弥漫狭窄最重处50%,后于LAD及LCX开口各植入1枚支架(当时超声心动图提示存在主动脉瓣轻度狭窄)。患者2年前因上述症状再发再次就诊于当地医院,并于回旋支应用药物球囊1枚(住院期间查心脏彩超提示主动脉瓣轻度狭窄),后患者自诉症状缓解不明显,活动后仍可产生间断胸闷症状。半月前,患者再发上述症状,程度较前加重,发作较前频繁,静息状态下即可产生症状,后再查冠脉造影术提示冠脉左主干+三支病变,行超声心动图提示主动脉瓣重度狭窄(峰值流速349cm/s,平均压差34mmHg,LVEF:42%,连续方程法估测AVA0.85cm2),建议患者行外科手术,因风险大未成行,患者为求进一步治疗由门诊收入我科。
既往史:高血压病、胃穿孔及慢性胃炎病史。
入院检查:BP 105/56mmHg,身高162cm,体重54kg。双肺未闻及干湿性啰音,心率85次/分,律齐,主动脉瓣听诊区可闻及收缩期杂音,双下肢无水肿。
心脏超声:左室收缩末期内径36mm,左室舒张末期内径42mm,LVEF 58%,主动脉瓣峰值流速4.43m/s,平均跨瓣压差42mmHg,AVA:0.73cm3,舒张期主动脉瓣下见少量反流信号,缩流颈宽1.9m,反流面积 3.4cm。二尖瓣大量反流,三尖瓣中量反流
入院诊断:1.心脏瓣膜病 主动脉瓣狭窄(重度)2.心力衰竭 心功能III级(NYHA分级)3.冠状动脉粥样硬化性心脏病 陈旧性心肌梗死 冠状动脉支架植入术后状态 4.高血压病3级(极高危)5.胃穿孔(术后)6.慢性胃炎
术前CT评估结果如下:患者为三叶瓣,右无窦间、左右窦间及瓣叶存在广泛钙化,钙化积分439分;瓣环径为25.2mm,LVOT:23.5mm,窦部空间可,左冠偏低,高度10.8mm;右冠脉高度可,主动脉弓大弯侧点状钙化。


多平面测量结果分析:该患者流出道较小,为倒梯形机构,瓣上结构无明显限制区域,瓣上无法提供足够封堵,预估封堵区域位于瓣环附近,钙化主要分布于瓣上,瓣环和流出道没有明显钙化,宜选择带裙边设计瓣膜,采用Taurus 26号瓣膜,可提供足够的oversize率,且带裙边设计进一步减少瓣周漏可能性,但相应起搏器风险偏大。

手术入路分析:双侧髂股动脉粥样硬化,内径可;右股动脉分叉位于股骨头平面中下1/3;左股动脉分叉均位于股骨头平面中下1/3。

术前讨论
患者84岁男性,根据超声心动图结果,主动脉瓣重度狭窄诊断明确,曾一过性存在射血分数减低,目前存在心力衰竭症状,有瓣膜置换手术指征,与心外科沟通,考虑其无法耐受外科手术,考虑内科介入解决患者主动脉瓣病变。术前已请体外循环、麻醉科等科室进行多学科病例讨论,拟首选局麻镇静下予患者TAVR治疗,但患者冠脉病变重,对血流动力学耐受差,术中出现出现循环崩溃风险大,做好气管插管全麻准备,同时穿刺动静脉备ECMO、IABP。向患者及家属交代病情,签署知情同意,完善术前准备。
手术计划
1. 麻醉方式:监护麻醉(MAC);2. 主/辅入路:右股动脉作为主入路,左股动脉作为副入路;3.右股静脉置入临时起搏器于右心室;4. 20mm球囊扩张成形,植入Taurus 26 瓣膜;同期处理冠脉,拟旋磨;5.备ECMO、IABP等器械辅助
手术过程
患者取平卧位,局麻镇静,颈内静脉置入中心静脉置管,测中心静脉压3cmH20,左侧桡动脉穿刺置管监测动脉压力。术区无菌消毒铺巾,穿刺右侧股静脉置入6F鞘管,穿刺右侧股动脉预置两把Proglide缝合器,穿刺左侧股动脉及股静脉置入6F鞘管,予以备用ECMO或IABP。将Lunderquist加硬导丝送至升主动脉,沿加硬导丝送入20F GORE鞘管。将临时起搏漂浮电极送至右室心尖部位,测试起搏器工作良好。予肝素5000单位,ACT大于250秒。经左股动脉送入6F猪尾导管,在释放体位下行主动脉根部造影。经右侧股动脉送JL4.0造影导管造影提示: 左主干见钙化影像,未见明显狭窄;前降支近段见支架影,近中段弥漫性钙化影像,狭窄最重95%,前向血流TIMI3级。回旋支近段见支架影,LCX开口狭窄99%,前向血流TIMI3级。将6FJR4.0造影导管在J型导丝辅助下送至右冠脉行造影,提示右冠脉中段可见70%狭窄,TIMI血流III级。在AL2导管指引下,直头导丝跨瓣至左心室,沿导丝送猪尾导管至左心室,测得跨瓣压差90mmHg。应用7F EBU3.5指引导管到达左冠开口部位,因患者LAD钙化严重,遂予以1.5mm Burr旋磨预处理LAD近中段靶病变,后依次串联植入Resolute 2.5x22mm支架及Resolute 3.0x26mm支架,支架释放同时在对角支进行了主动球囊保护。进一步于LCX应用3.0x10mm切割球囊处理LCX开口及近段靶病变部位,使用3.0x15mm药物球囊处理LCX开口近端病变。后于LM-LAD串联植入3.5x19mm支架,4.0x15mm球囊行POT,造影见LM-LAD支架膨胀良好,LAD、D1和LCX无夹层,TIMI血流3级。经入塑形后的加硬导丝送至左心室内,沿加硬导丝送人20*40mm球囊至主动脉瓣,在180次/分起搏收缩压下降至50mmHg时行球囊扩张,同时行主动脉造影,扩张无腰征,未见明显返流,左主干及右冠血流通畅,撤出球囊。超速起搏后患者血压下降,收缩压波动于50-60mmg左右,心率增快,波动于110-120次/分,调整血管活性药物后,收缩压血压逐步恢复至80-90mmHg左右;沿加硬导丝送沛嘉26主动脉瓣膜系统至主动脉瓣处,在释放体位下成功释放至工作体位,经猪尾导管行主动脉造影示瓣膜定位良好,继续完全缓慢释放瓣膜。沿主动脉造影示瓣膜支架膨胀良好,微量瓣周漏。撤出输送系统。经胸超声评估主动脉瓣位为人工瓣回声,位置固定,瓣叶活动良好,未见明显心包积液。主动脉造影提示主动脉无夹层、出血。瓣膜释放后患者再次出现血压下降、心率增快,对补液和血管活性药反应差。考虑患者心脏代偿能力很差,旋磨、LM支架、高速起搏和瓣膜释放对心脏造成的打击引发泵衰竭,遂立即经左股动脉鞘管予以置入IABP,减轻心脏后负荷,改善心脑血管灌注,反搏压维持在100-120/65-80mmHg,HR 90-100次/分。IABP辅助1小时后患者生命体征平稳,意识状态恢复良好,对答如流,四肢运动良好,逐步停用血管活性药。术后第2日拔除IABP。
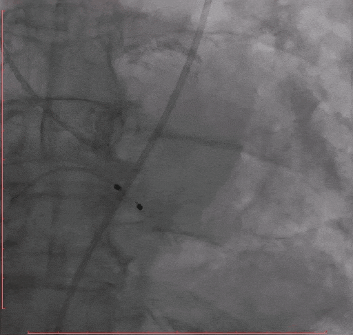
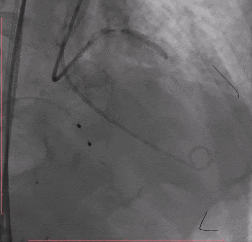
Step 1.主动脉根部造影

Step 2.冠脉造影



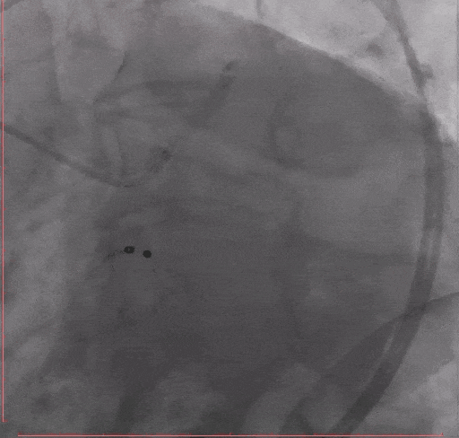
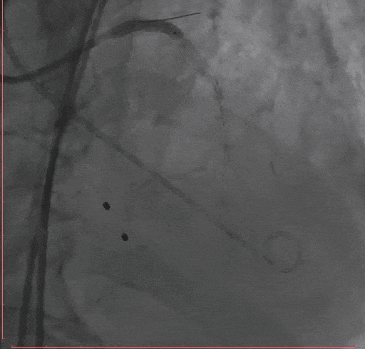
Step 3.导丝跨主动脉瓣后,干预冠脉病变,球囊无法通过LAD病变,予以旋磨


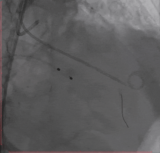
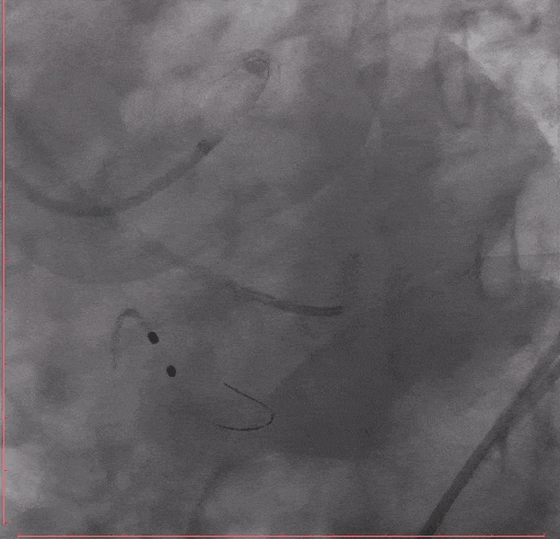
Step 4 旋磨后予以前降支支架植入




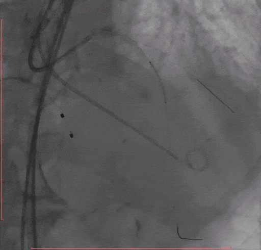
Step 5 左主干植入支架 回旋支开口予以切割+药物球囊




Step 6.主动脉瓣球囊预扩张

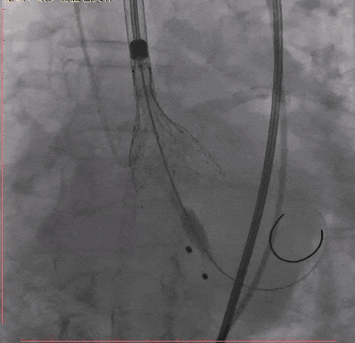
Step 7. Taurus 26 瓣膜释放至工作位造影确认位置

Step 8 Taurus 26 瓣膜释放后造影

Step 9. 患者出现心衰,血流动力学不稳,予以IABP植入

术后复查超声心动图:人工瓣膜功能正常,主动脉瓣峰值流速179m/s,平均压差7mmHg,未见瓣周漏。
手术心得
1.该患者冠脉病变严重,充分术前评估患者高危因素及病变复杂程度,冠脉完全血运重建对该类患者预后更佳,但何时进行PCI手术无统一意见,PCI于TAVR术前进行,存在冠脉治疗过程中手术风险较高风险,于TAVR术后存在导管较难进入冠脉的挑战;同期行TAVR及PCI,在跨瓣后行冠脉介入治疗,能够最大程度减少冠脉介入时的风险。
2.该患者三叶主动脉瓣,瓣叶增厚,瓣叶明显钙化,左冠高度略低,不宜选择过大预扩球囊,防止瓣环撕裂出现循环崩溃或瓣上结构破坏影响锚定力;此外,使用相对较小球囊扩张后,瓣膜释放后可能会出现膨胀不全,发生反流及瓣周漏,可采取球囊后扩张。
3 该例患者选择MAC麻醉(局麻+深镇静),MAC麻醉通常不会引起全身性血管扩张,这有助于维持较稳定的心输出量,同时限制了麻醉药物对全身其他器官系统的影响,对于一些有潜在多器官疾病的患者来说,可以减少全身麻醉引起的不良反应的风险。MAC可以做到及时唤醒,评估是否出现术后脑梗,能够必要时在时间窗内处理并发症,避免重要器官损伤。
4.患者冠脉三支病变+主动脉瓣重度狭窄,手术过程中对手术团队的配合、术中如何保证血流动力学稳定提出了更高的要求。患者瓣膜释放后的循环不稳定,考虑此人术前已有失代偿经历,心脏储备差,旋磨、LM支架、高速起搏和瓣膜释放对心脏造成的打击引发泵衰竭,心肌处于顿抑状态,立即使用IABP进行辅助,让心脏得到喘息的机会,术后第二日成功拔除IABP,患者恢复好。
专家简介





-END-
专业的心血管医生学术交流平台


版权及免责声明:
本网站所发表内容知识产权归属医谱平台、主办方以及原作者等相关权利人,未经许可,禁止进行复制、传播、展示、镜像、转载、摘编等。经授权使用,须注明来源,否则将追究其法律责任。有关作品内容、版权和其他问题请与本网联系
发表留言
暂无留言
输入您的留言参与专家互动