可降解封堵器成功封堵合并12mm较大范围软缘的房间隔缺损
近日,合肥高新心血管病医院心内科团队成功为一名69岁老年女性患者实施房间隔缺损介入封堵术。患者于手术1周前发现心脏异常,经超声检查确诊为16mm房缺,合并有12mm的大范围软缘。手术在超声联合DSA引导下完成,术后超声显示封堵器位置良好,形态稳定,无残余分流,证实了可降解封堵器对于合并大范围软缘的房间隔缺损同样能够实现有效封堵。
患者信息
基础信息:女性,69岁,发现心脏异常1周。
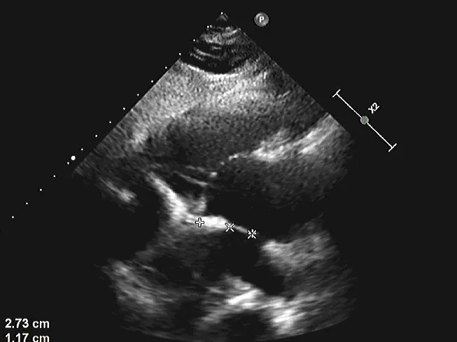
超声描述:右心内径增大,左心内径正常范围。房间隔总长约53mm,胸骨旁四腔心切面:房间隔中上部探及回声脱失约16mm,断端距离二尖瓣瓣环约12mm,距离房顶部约10mm;剑下双房心切面:房间隔中上部探及回声脱失约14mm,断端距离下腔静脉约27mm(12mm为纤细软边),距离上腔静脉约6mm。三尖瓣开放尚可,闭合欠佳;余瓣膜形态、结构、启闭运动未见异常。CDFI:房水平探及左向右分流;肺动脉瓣收缩期血流速约1.4m/s,PG:8mmHg;主动脉瓣舒张期探及微少量反流;二尖瓣舒张期血流E峰<A峰,E峰流速约0.72m/s,PG:2mmHg,收缩期探及微量反流;三尖瓣收缩期探及少量反流,反流速度约2.8m/s,PG:30mmHg,估测肺动脉收缩压约40mmHg。
超声诊断:
先天性心脏病:房间隔缺损(II孔型);房水平左向右分流;
主动脉瓣钙化;
三尖瓣轻度反流;
肺动脉高压(轻度);
左室收缩功能正常、舒张功能减低;
临床策略
-
术中复测:术中食道超声下复测缺损大小,缺损大小为14.5mm,合并软缘11.7mm,其他边缘充足。
-
封堵策略:考虑到缺损的软缘范围较大,且房间隔总长足够,选择BDASD-Ⅰ30可降解房间隔缺损封堵器,配合I-16F可降解封堵器介入输送系统实施封堵。
手术过程
术中复测


术中测量软缘长度
术中复测缺损大小

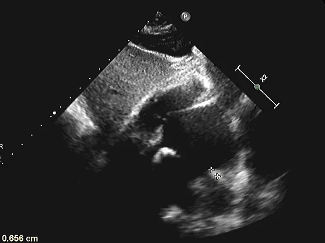
剑下双房心切面测量上腔静脉侧边缘
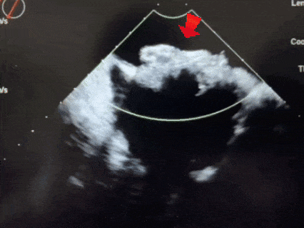
展开左盘面

推出左盘3个Mark及腰部Mark,牵拉成型线使左盘面成型

后撤钢缆和鞘管,使左盘面贴靠房间隔
展开右盘面

后撤鞘管展开右盘面,前推钢缆使右盘面成型

超声下,封堵器左右盘面贴合房间隔两侧
成型锁定

鞘管抵住封堵器后,前顶钢缆固定,牵拉成型线锁定

锁定后,超声下观察封堵器结构,盘面呈标准的三明治结构,成型良好
牵拉试验

轻轻推拉钢缆,超声下封堵器与钢缆整体移动,结构稳定无散开,锁定成功
释放封堵器

撤出成型线后,前抵鞘管,逆时针旋转钢缆,5个Mark相对位置不变,封堵器释放成功
释放后超声
释放封堵器后,封堵器盘面稳固贴壁,成型良好,超声下未见分流,封堵成功。


四腔心切面下观察封堵器,左右盘面稳固贴壁,盘面平整,未影响瓣膜结构
主动脉短轴切面下观察封堵器,封堵器形态稳定,无残余分流
病例小结
本例患者为69岁的老年患者,因“发现心脏异常1周”入院。术前经胸超声心动图显示剑下双房心切面下房间隔缺损约16mm,有大范围软缘,约12mm;患者右心内径增大,且伴有轻度肺动脉高压(估测收缩压约40mmHg),三尖瓣轻度反流,已对心脏功能造成一定影响,且无手术禁忌症,为防止病情继续发展,需实施“房间隔缺损介入封堵术”。
术前经超声检查确诊为16mm房缺,合并有12mm的大范围软缘,术中复测显示剑下双房心切面缺损大小为14.5mm,软缘范围11.7mm,结合术前与术中测量大小,选择BDASD-Ⅰ30可降解房间隔缺损封堵器。对于此类伴有较大软缘的房缺,术中超声精确评估缺损大小、软缘范围及边缘条件,是确保封堵器成型良好、稳定锚定与手术成功的关键。术中左右盘面展开顺利,锁定后牵拉稳定,封堵器位置良好。术后超声确认封堵器盘面平整,呈现完美的三明治形状,且无残余分流。可降解房缺封堵器拥有降落伞成型锁定结构,即使伞盘较大也能保证盘面的稳定性,稳定夹持大范围软缘。术后给予阿司匹林抗血小板治疗,预防血栓形成。
感谢合肥高新心血管病医院周文兵教授、刘亮教授提供的病例分享
-END-
可降解病例大赛优秀病例分享 | 生物可降解封堵器治疗青少年高危PFO相关视网膜中央动脉栓塞一例

扫码观看可降解学苑精彩内容
-END-
专业的心血管医生学术交流平台


版权及免责声明:
本网站所发表内容知识产权归属医谱平台、主办方以及原作者等相关权利人,未经许可,禁止进行复制、传播、展示、镜像、转载、摘编等。经授权使用,须注明来源,否则将追究其法律责任。有关作品内容、版权和其他问题请与本网联系
发表留言
暂无留言
输入您的留言参与专家互动