荆棘丛生处的二次开花:冠脉高风险患者Redo TAVR术
病例展示
患者基本信息
病史:
患者77岁男性,主因体检发现主动脉瓣关闭不全14年,TAVR术后3年,再发喘憋1月入院,患者14年前体检行心脏超声提示主动脉关闭不全(未见报告),患者无症状,未进一步治疗。3年前患者无明显诱因出现胸闷症状,发作时无胸痛、心悸、恶心、呕吐等其他伴随症状,遂至当地医院就诊,行心脏超声示主动脉瓣重度狭窄并重度关闭不全,右股动脉切开行TAVR术,植入32号瓣膜,手术过程顺利。术后患者定期复查心脏超声,提示瓣膜功能良好。术后规律复查,瓣膜功能良好。1月前患者突发出现活动后喘憋,伴胸闷,下肢水肿,夜间不能平卧,至当地医院就诊,查NT-ProBNP:31280pg/dl,心脏超声提示人工主动脉瓣重度关闭不全,二尖瓣中重度关闭不全,三尖轻度关闭不全。当地医院予以利尿、改善心功能等药物治疗。现患者为进一步诊治至我科。
既往史:
存在高血压、糖尿病、高脂血症、陈旧性脑梗等病史。
体格检查:
体温36.℃脉搏82次/分、呼吸18次/分、血压110/54mmHg,正常面容,颈静脉充盈,肝颈静脉回流征阴性。双肺呼吸音低,无明显湿性啰音,无胸膜摩擦音。心前区无异常隆起,心率82次/分,律齐,主动脉瓣听诊区可闻及舒张期杂音,二尖瓣听诊区可闻及收缩期杂音,未闻及心包摩擦音,腹软无抵抗,双下肢无水肿。
化验结果:血常规:(-),CRP:7.05mg/L,CRP:0.051ng/ml,血培养阴性
UCG:LVEF:56%,LVEDD:67mm,LVESD:48mm,主瓣VC:8.1mm,TAVR术后 人工瓣膜毁损 主动脉瓣关闭不全(重度)并瓣周漏(轻度),二尖瓣重度反流,三尖瓣重度反流,肺动脉高压(轻度)
胸部CT:双肺多发小结节,双肺多发条索,双肺多发局限性肺气肿,心包及双侧胸腔积液。

诊疗过程
入院诊断:
心脏瓣膜病
主动脉瓣关闭不全(重度)
二尖瓣关闭不全(重度)
三尖瓣关闭不全(重度)
NYHA心功能III-IV级,高血压病2级(极高危),2型糖尿病。
术前评估
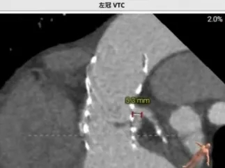
主动脉CTA评估:
主动脉根部动图

基本径线

多平面测量


冠脉风险评估





入路评估

术前讨论:患者77岁老年男性,3年前行TAVR术,此次再发主动脉瓣关闭不全,经评估排除感染,考虑主动脉瓣生物瓣毁损,患者心衰重,消瘦、虚弱,经多学科讨论,TAVR in TAVR手术指征明确,考虑行TAVR in TAVR治疗,术前评估瓣架内径:瓣环26.6,LVOT 26.6,瓣架位于瓣环以下:5(无窦)-13(左窦)mm,左侧冠脉高度12.1,右侧13.4,左冠VTC5.3mm VT-STJ:0mm,右冠VTC4.4mm VT-STJ0mm, 主动脉弓部角度可,存在钙化,双侧髂股动脉内径可,右侧股动脉分叉位于股骨头平面中部 左侧股动脉分叉位于股骨头下缘中部,建议左侧入路,拟植入29号瓣膜,因患者冠脉风险大,需控制瓣膜植入深度,拟控制S3上缘位于启明第3-4个交接点处,同时需关注冠脉(Guidzilla预置保护)。
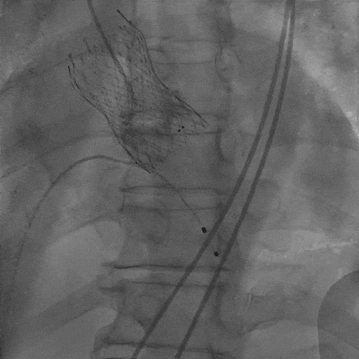
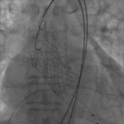
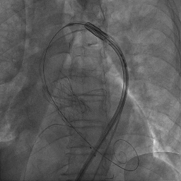
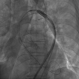
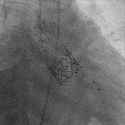
手术过程
主动脉根部造影

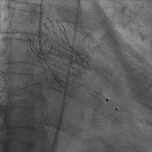
冠脉造影



猪尾跨瓣

左冠保护下THV过弓及跨瓣

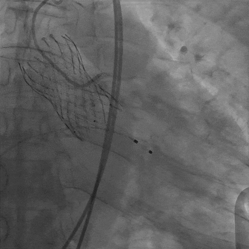
S3定位及植入

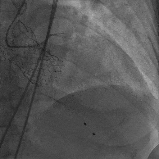
最终造影

入路检查

术后随访情况
术后患者恢复好,复查超声:
LVEF:57%,LVEDD:62mm,LVESD:43mm,主动脉瓣功能正常,瓣周漏(少量),二尖瓣中度反流,三尖瓣中度反流。
病例讨论
(1)TAVR in TAVR中需重点评估冠脉风险,相较于自体瓣膜评估,瓣中瓣植入过程中,需重点关注几个指标(图6):coronary risk plane(CRP),New-skirt Plane(NSP),VTA:VTC,VTAoS,VTSTJ。主要原因在于人工瓣膜将会形成新的封堵平面,术前评估中需重点关注。

(2)需熟悉人工瓣膜挂瓣高度,本例患者植入启明瓣膜,其封堵挂瓣高度为Node 3至Node 6。

(3)球扩瓣不同植入深度,将影响第一个瓣膜封堵区域(图8),本例患者在不影响二尖瓣前叶情况下,采用较深的植入深度:node 3-4之间(图9),最大限度规避冠脉堵塞风险,术后结果满意。


术者点评

苑飞教授
首都医科大学附属北京安贞医院

刘新民教授
首都医科大学附属北京安贞医院
专家简介





-END-
专业的心血管医生学术交流平台


版权及免责声明:
本网站所发表内容知识产权归属医谱平台、主办方以及原作者等相关权利人,未经许可,禁止进行复制、传播、展示、镜像、转载、摘编等。经授权使用,须注明来源,否则将追究其法律责任。有关作品内容、版权和其他问题请与本网联系
发表留言
暂无留言
输入您的留言参与专家互动