文献分享 | 可降解封堵器经皮封堵卵圆孔未闭封堵术后残余分流病例报告
近期,全球心血管领域顶级期刊《美国心脏病学会杂志》(JACC)子刊 JACC: Case Reports 发表了一例中国原创创新器械的临床应用案例。该病例由中国科学院阜外医院结构性心脏病团队发表,首次报道应用可降解卵圆孔未闭(PFO)封堵器,成功为一名传统金属封堵器术后出现残余右向左分流、并导致头痛和卒中复发的患者实施了二次干预治疗。这一创新实践为PFO术后残余分流的临床管理路径提供了新的循证医学证据。

DOI:10.1016/j.jaccas.2025.105901
关键词:可降解封堵器、卵圆孔未闭、残余分流、经导管封堵
摘要
背景
卵圆孔未闭封堵术后残余右向左分流可能会导致卒中复发或偏头痛。传统金属封堵器常存在贴壁不佳和永久性金属植入带来的远期并发症等问题。可降解封堵器因其更优的生物相容性和可逐渐降解特性,展现出潜在的优势。
病例摘要
一位52岁女性在接受卵圆孔未闭封堵术20个月后出现脑梗死复发及偏头痛,诊断为残余右向左分流,后成功应用可降解卵圆孔未闭封堵器完成治疗。
讨论
本文报道了一例使用可降解卵圆孔未闭封堵器成功处理残余分流的病例,为卵圆孔未闭封堵术后残余分流的治疗提供了新的策略。
创新性
据我们所知,这是首例应用可降解卵圆孔未闭封堵器经导管成功封堵卵圆孔未闭封堵术后残余分流的临床案例。
核心启示
本病例证实了可降解封堵器用于处理残余分流的可行性与有效性,为特定患者提供了新的治疗选择。
(JACC Case Rep. 2025;30:105901)© 2025 作者。由Elsevier代表美国心脏病学会基金会出版。本文基于CC BY-NC-ND许可协议开放获取(http://creativecommons.org/licenses/by-nc-nd/4.0/)。
1 病例摘要
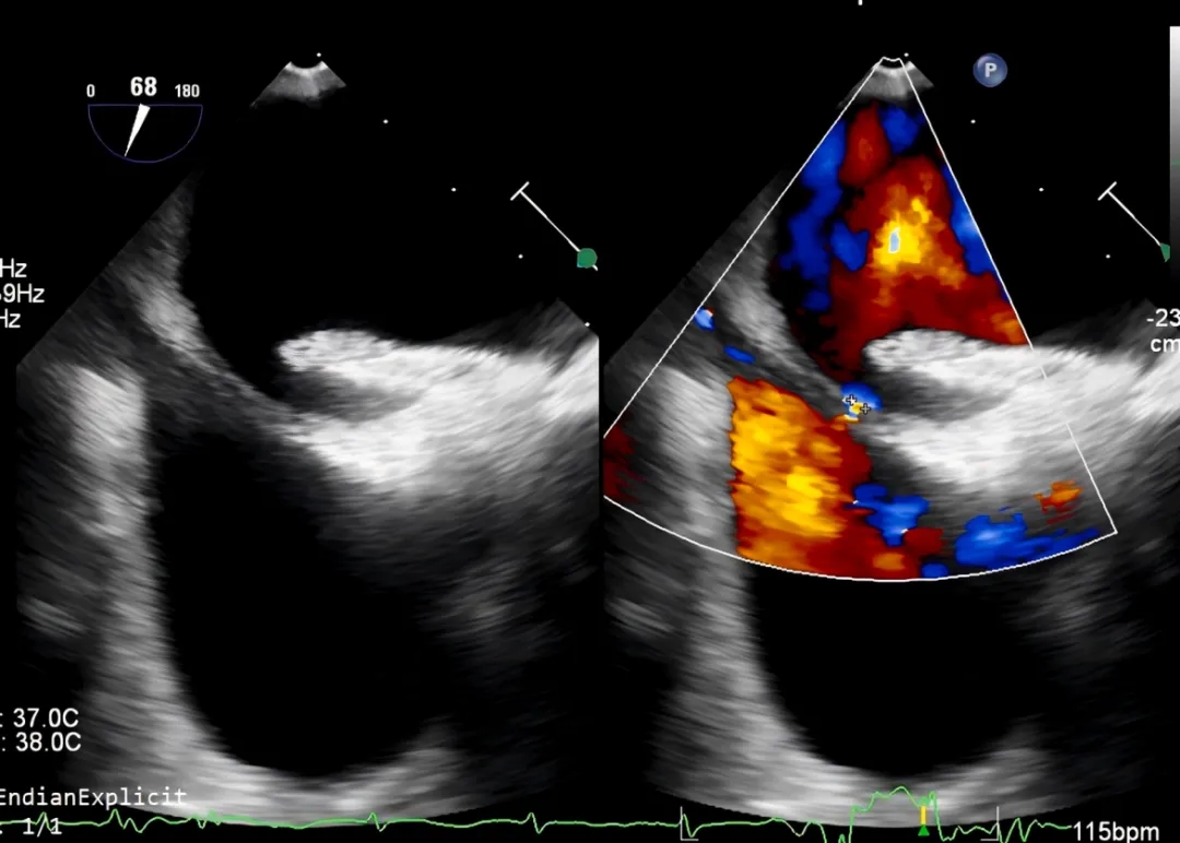
一名52岁女性患者因卵圆孔未闭封堵术20个月后出现头痛及卒中复发而就诊。20个月前,该患者曾因卵圆孔未闭相关脑梗死,于当地医院使用18mm陶瓷膜涂层的房间隔缺损封堵器(先健科技(深圳)有限公司)行卵圆孔未闭封堵术。入院后,患者接受了经食管超声心动图及经食管右心声学造影检查(图1)。超声结果显示封堵器贴合不良,其下缘存在2mm残余右向左分流,右心声学造影进一步证实存在显著的残余分流。

图1 二次干预手术前经食管超声心动图检查
经食管超声心动图显示原封堵器盘面贴合不全、内皮化不完全,封堵器下缘可见一处2mm的右向左分流。
2 手术过程
患者随后接受了针对卵圆孔未闭残余分流的二次封堵手术。右心导管检查测得肺动脉压力为27/10mmHg(平均压20mmHg),肺动脉造影排除了肺动静脉瘘。使用6F MPA2导管(Cordis)进行选择性房间隔造影,显示原植入的封堵器下缘存在显著右向左分流(图2)。导丝及导管成功通过残余分流处进入左心房(图3),随后将6F MPA2导管送至左上肺静脉。交换260cm加硬导丝至肺静脉,随后将12F输送鞘管沿导丝输送至左心房。成功释放一枚18/18mm对称型Memosorb可降解卵圆孔未闭封堵器(乐普医疗),有效封闭了残余分流(图4)。封堵器释放成功后立即进行选择性房间隔造影,未见明显残余分流。经胸超声心动图及透视检查均确认封堵器位置良好、形态完整(图5)。术后即刻行经胸超声心动图联合右心声学造影复查,亦未见明显残余分流(图6)。


图2 选择性房间隔造影
造影显示原封堵器下缘存在残余分流
图3 导丝及导管经残余分流处进入左心房


图4 使用可降解封堵器成功封堵残余分流
四个Mark显示了可降解卵圆孔未闭封堵器的位置
图5 可降解封堵器释放后房间隔造影
造影显示未见残余分流

图6 术后经胸超声心动图显示封堵器形态
术后即刻经胸右心声学造影显示无残余右向左分流
3 讨论
卵圆孔未闭在成人中约占20%至34%1。虽多数无症状,但其与脑卒中及偏头痛的发生相关。经皮PFO封堵术是预防PFO相关脑卒中的主要策略,其临床有效性已获证实。然而,约10%至20%的患者在PFO封堵术后仍存在残余右向左分流,显著残余分流可导致脑卒中复发或偏头痛症状持续2。残余分流可能与卵圆孔解剖异常、封堵器贴合不佳伴内皮化不全、器械尺寸选择不当或术前未发现的缺损等有关3。部分残余分流可自行闭合;但对于伴有卒中复发或偏头痛加重的持续残余分流需进一步干预。管理方式包括抗栓治疗、外科手术及再次经皮封堵。抗栓治疗无法直接消除残余分流。外科修补创伤较大。再次封堵采用金属封堵器,可能面临以下挑战4:1)金属刚性材料可能难以理想贴合房间隔形态,导致贴壁不良或残余分流持续存在;2)多枚植入物增加金属负荷,可能影响心脏结构与生理功能;3)部分患者对金属过敏,且可能面临如心内膜炎、血栓形成等远期并发症风险。
在本病例中,我们使用可降解卵圆孔未闭封堵器对残余右向左分流进行了二次封堵,并取得了良好的治疗效果。该可降解封堵器由六个部分组成:双盘封堵器骨架(聚对二氧环己酮材料)、阻流膜(聚乳酸材料)、成型环(聚对二氧环己酮)、显影铂环(铂金)、成型线(尼龙材料)及拉线器。其中前四项构成了封堵器植入部分,除四个显影铂环外,所有部分均为可降解材料。在封堵器植入过程中,通过牵拉成型线使其锁定成型并固定在目标位置。
与传统金属封堵器相比,可降解封堵器具有以下优势:1)生物相容性更佳,可促进内皮化进程,有助于降低术后残余分流的发生率;2)材料可随时间逐渐降解,避免永久性金属植入物可能导致的远期并发症,如器械相关感染或血栓形成等风险;3)柔韧性更好,组织贴合度更高,能更适应房间隔的解剖形态,提高封堵成功率。
成功植入可降解卵圆孔未闭封堵器后(图7),患者症状显著缓解,随访期间未见残余分流复发,这突显了该器械在卵圆孔未闭封堵术后残余分流处理中的潜在应用价值。本报告为优化封堵术后残余分流的治疗提供了新思路,也为今后进一步研究可降解封堵器的长期临床性能奠定了基础。

图7 体外装载时可降解卵圆孔未闭封堵器实物照片
创新性及临床意义
本例系首次报道的应用可降解PFO封堵器治疗PFO封堵术后残余分流的临床案例。成功为一位因PFO封堵术后残余分流而引发脑梗死复发及偏头痛的患者完成治疗,显著改善患者症状且随访期间未见残余分流复发,证实了可降解封堵器在卵圆孔未闭封堵术后残余分流处理中的潜在应用价值。
残余分流的治疗挑战
残余右向左分流作为卵圆孔未闭封堵术后常见的问题,可能导致脑卒中复发或偏头痛症状持续存在。目前多项治疗方法存在多重局限如无法彻底消除分流、金属封堵器过敏以及远期并发症等风险。而可降解封堵器凭借其优异的生物相容性和可降解特性,为优化封堵术后残余分流的治疗提供了新思路。
可降解封堵器的优势
相较于金属封堵器,可降解PFO封堵器具有良好生物相容性,利于内皮化,从而降低术后残余分流风险。其采用的生物高分子材料可在实现有效封堵后逐渐降解,避免永久性金属植入物相关的远期风险。同时具有良好柔韧性,能更好地适应不同患者的房间隔解剖形态,有助于提升封堵成功率与长期效果。
参考文献
1. Pristipino C, Sievert H, D’Ascenzo F, et al. European position paper on the management of patients with patent foramen ovale. General approach and left circulation thromboembolism. EuroIntervention. 2019;14(13):1389–1402.
2. Aggarwal G, Aggarwal S, Cohen M. Residual shunt after patent foramen ovale closure and long-term stroke recurrence. Ann Intern Med. 2020;173(11):945.
3. Cheli M, Canepa M, Brunelli C, et al. Recurrent and residual shunts after patent foramen ovale closure: results from a long-term transcranial doppler study. J Interv Cardiol. 2015;28(6):600– 608.
4. Happel CM, Laser KT, Sigler M, et al. Single center experience: implantation failures, early, and late complications after implantation of a partially biodegradable ASD/PFO-device (BioStar®). Catheter Cardiovasc Interv. 2015;85(6): 990–997.
5. Du Y, Xie H, Shao H, et al. A prospective, single-center, phase I clinical trial to evaluate the value of transesophageal echocardiography in the closure of patent foramen ovale with a novel biodegradable occluder. Front Cardiovasc Med. 2022;9: 849459.
专家简介


扫码下载文献PDF原文
-End-
可降解病例大赛优秀病例 | 解锁“紧箍咒”:一例儿童PFO合并偏头痛的治愈之路

扫码观看可降解学苑精彩内容
专业的心血管医生学术交流平台


版权及免责声明:
本网站所发表内容知识产权归属医谱平台、主办方以及原作者等相关权利人,未经许可,禁止进行复制、传播、展示、镜像、转载、摘编等。经授权使用,须注明来源,否则将追究其法律责任。有关作品内容、版权和其他问题请与本网联系
发表留言
暂无留言
输入您的留言参与专家互动