“心”标准,新起点!新疆医科大学第一附属医院心脏中心正式挂牌MitraClip全国COE技术培训中心!

2026年1月31日,新疆医科大学第一附属医院MitraClip全国COE带教中心首期培训班圆满举办。本次培训由马依彤教授、马翔教授带领心脏中心团队牵头开展,吸引了来自全疆各地的结构性心脏病专家及学员参与,包括阿勒泰地区人民医院邱建军教授团队、博州人民医院陈平教授团队、喀什地区第一人民医院杨和银教授团队、阿力木江教授团队、巴州人民医院熊新华教授团队、新疆生产建设兵团第一师医院陈劢教授团队等。培训以“理论筑基+实战赋能”为核心,旨在为全疆的结构性心脏病诊疗搭建技术交流与提升的平台。

会议伊始,马依彤教授为大会致开幕辞,对在大雾天气中依然如约而至的各位专家同道表示衷心感谢,并强调以培训为纽带,共同推动全疆心脏介入技术的同质化与高质量发展。
学术授课环节精彩纷呈,理论与实践深度融合。关丽娜教授首先深入浅出地阐述了三维超声心动图在TEER手术中的关键作用,为精准操作筑牢影像学根基;于子翔教授则系统梳理了TEER领域的经典研究与最新循证,夯实学员理论功底;王宝珠教授聚焦于房间隔穿刺这一核心步骤,倾囊相授实操技巧;马翔教授紧跟国际前沿,分享了2025年二尖瓣介入治疗的最新进展与宝贵经验;刘成教授直面临床挑战,详细拆解了各类术中并发症的应对策略。培训期间,云南阜外心血管病医院朱达教授通过最新的心脏模型进行了“零距离”手术器械操作演示,使学员们得以沉浸式领悟技术精髓;刘志强教授则贯穿围手术期全流程,讲解了患者精细化管理的要点,全方位助力学员打通技术关卡、树立操作信心。
当日,马翔教授率领心脏中心团队成功为两例复杂二尖瓣中重度反流患者实施了MitraClip手术。术后患者反流均降至微量,疗效显著。手术过程中,专家团队同步进行实时解说与复盘,将每一步操作的精髓直观呈现给学员,并现场答疑解惑,实现了“即学即看即悟”的培训效果。

本次培训系统性地提升了新疆地区心血管同道对TEER技术的全面认知与开展信心。作为新挂牌的全国COE技术培训中心,新疆医科大学第一附属医院心脏中心将充分发挥其技术与学术辐射力,搭建起省级优质资源下沉、带动基层技术提升的桥梁,助力全疆结构性心脏病诊疗水平整体飞跃。

自2023年开展TEER技术以来,新疆医科大学第一附属医院心脏中心已累计完成TEER手术超过70例,正式成为MitraClip全国COE技术培训中心;中心依托医院结构性心脏病领域积淀与技术优势,以系统化培训推动TEER在西北及全国规范化应用,为高危二尖瓣反流患者提供安全精准微创方案,彰显了团队瓣膜介入领域的硬实力与守护患者健康的初心使命。

病例一
患者基本信息
患者:72岁,男性。
主诉:间断胸闷、胸痛31年、加重1天。
术前诊断:二尖瓣大量反流、心功能III级(NYHA分级)、持续性心房颤动。
既往史:高血压30年余,最高200mmHg,规律服用降血压药物,7年前诊断为II型糖尿病规律服药,7年前诊断为“脑梗死“已对症治疗,未再发作。
手术策略与手术过程
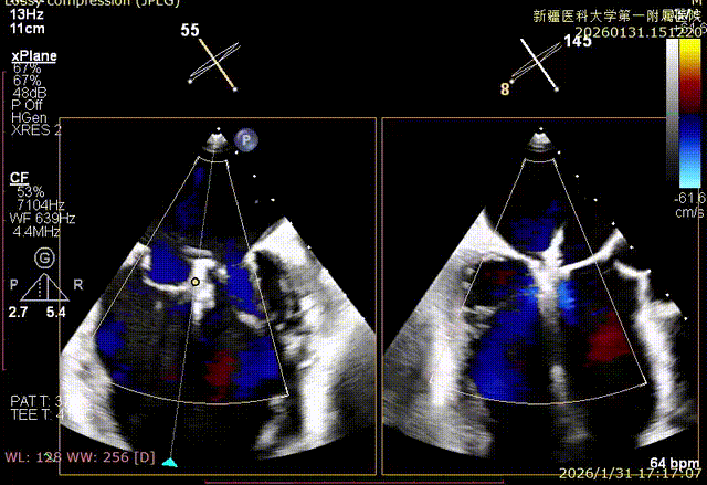
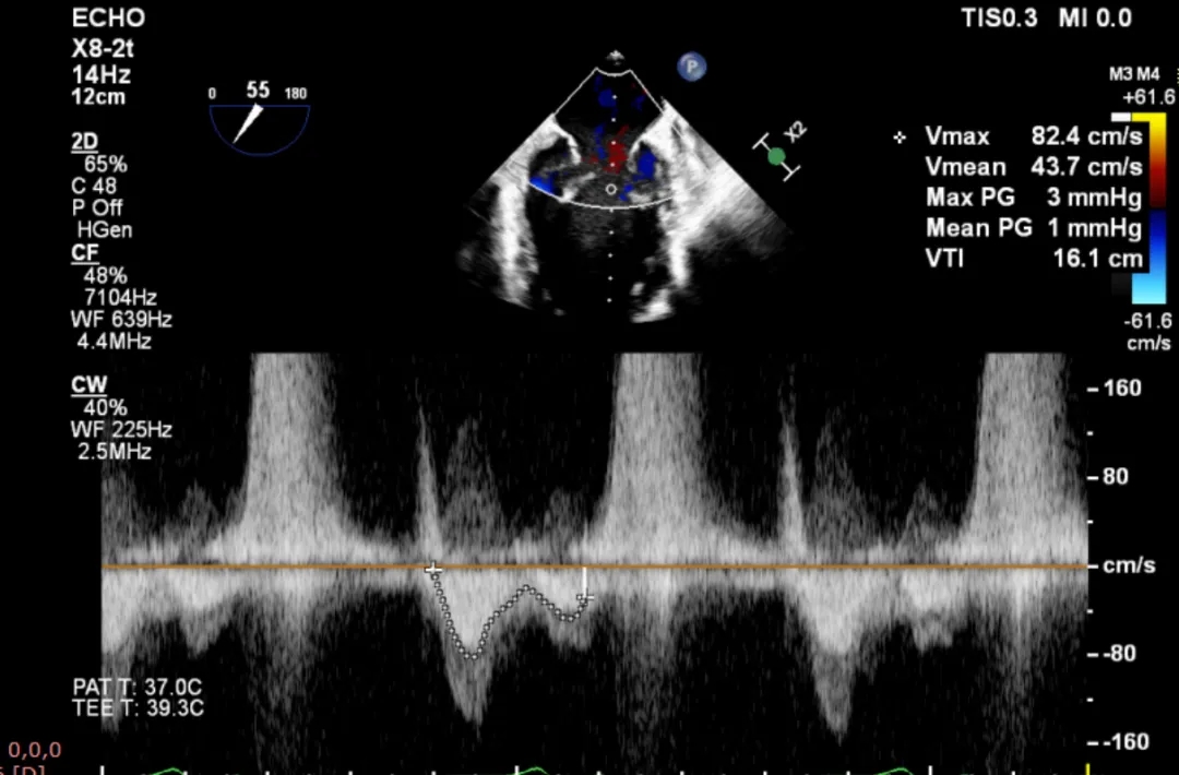
该例患者为VFMR,病变位于2区,病变解剖结构相对简单。术前制定手术策略:使用1把XTR解决患者二尖瓣反流。术中进行房间隔穿刺后将XTR-CDS送入左心房,通过操控“M”旋钮,成功将二尖瓣夹定位于2区正上方。在2区进行弹道测试成功后,进行Orientation调整。在2区将二尖瓣夹送入左心室,成功捕捞和夹持瓣叶后缓慢关紧夹臂。TEE检查见二尖瓣反流程度充分降低至1,二尖瓣双孔组织桥稳定,跨瓣压差1mmHg,肺静脉逆流改善明显,手术安全结束。


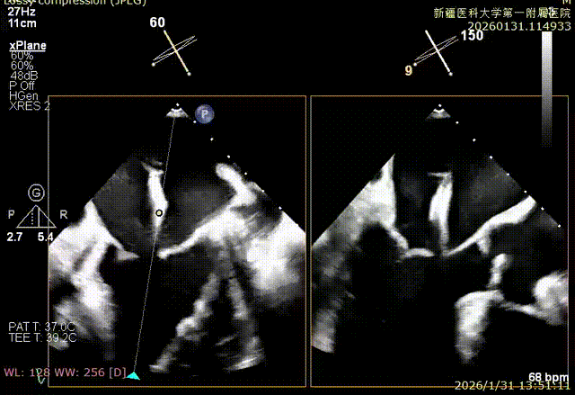
房间隔成功穿刺
XPLAN切面2区后叶栓系


XPLAN切面中重度反流
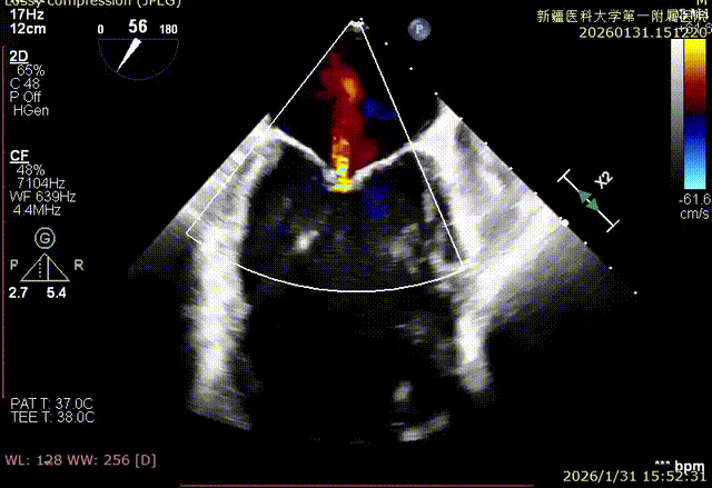
3D enface 切面


3D enface观察反流
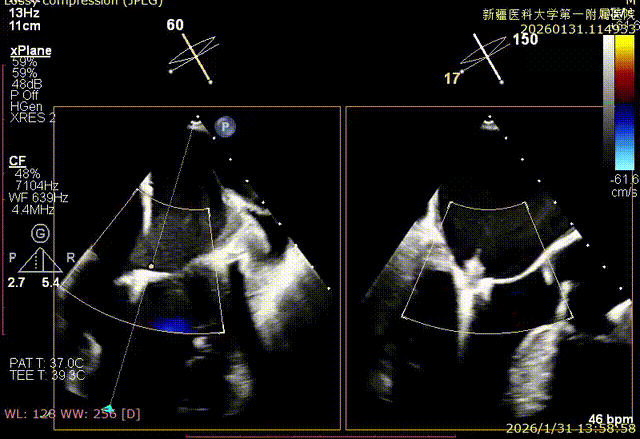
SGC进入左房


XTR初定位
XTR弹道测试


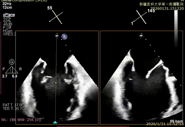
3D enface 完成Orientation调整
成功捕捞瓣叶并夹持


缓慢关紧夹臂
双孔组织桥稳定

3D enface反流充分降低

术后平均跨瓣压差1mmHg

病例二
患者基本信息
患者:66岁,男性。
主诉:胸闷心慌4小时。
临床诊断:二尖瓣重度反流,后叶栓系。
既往史:心律失常,室性心动过速,心力衰竭。
手术策略和手术过程
该例患者为VFMR,病变位于2区,反流为中心性反流。术前制定手术策略:使用1把XTR解决患者二尖瓣反流。术中首先进行房间隔穿刺,最终穿刺高度4.2cm。穿刺成功后将SGC和XTR-CDS依次送入左心房,通过操控“M”旋钮调节SGC,使二尖瓣夹避开华法林脊并成功定位于2区正上方。在2区进行弹道测试成功后,进行Orientation调整。最终在2区将二尖瓣夹送入左心室,成功捕捞和夹持瓣叶后缓慢关紧夹臂。TEE检查见二尖瓣反流程度降低至微量,二尖瓣双孔组织桥稳定,跨瓣压差1mmHg,肺静脉逆流改善明显,手术安全结束。


XPLAN后叶严重栓系
Bicom切面中重度反流


3D enface 观察后叶栓系
3D enface观察反流


房间隔成功穿刺
SGC进入左房


XTR初定位
XTR弹道测试


3D enface 完成orientation调整
捕捞足够瓣叶后下Gripper,bouncing明显


缓慢关紧夹臂,同时小心多次释放张力
双孔组织桥稳定

3D enface反流充分降低

术后平均跨瓣压差1mmHg
小结
新疆医科大学第一附属医院心血管病中心是具有现代诊疗模式和国内一流诊疗设备的临床、教学、科研中心。拥有省部级重点实验室、新疆心血管病研究所、新疆心血管介入诊疗质控中心、新疆心血管介入诊疗培训基地。依托完善的学科布局与雄厚的平台积淀,心血管病中心在心脏瓣膜病介入治疗领域实现了新的突破,不仅为患者带来了生的希望,也为推动我国结构性心脏病整体诊疗水平注入了强劲的“西北力量”。随着MitraClip全国COE技术培训中心正式启航,医院将继续秉承“以患者为中心”的理念,不断提升医疗技术和服务质量,为患者心血管健康筑起一道坚实的防线。
专家简介












· END ·
专业的心血管医生学术交流平台


版权及免责声明:
本网站所发表内容知识产权归属医谱平台、主办方以及原作者等相关权利人,未经许可,禁止进行复制、传播、展示、镜像、转载、摘编等。经授权使用,须注明来源,否则将追究其法律责任。有关作品内容、版权和其他问题请与本网联系
发表留言
暂无留言
输入您的留言参与专家互动