北京安贞医院宋光远教授团队向JIM GISE 2026转播一例复杂TAVR手术,中国智慧、中国技术闪耀国际舞台!

浏览量:2643

 

2026年2月4日-6日,备受瞩目的全球介入心脏病学领域高水准的学术盛会——第四届JIM GISE大会(JIM GISE 2026)于意大利罗马隆重举行。会议期间,首都医科大学附属北京安贞医院宋光远教授团队受邀向大会进行一例TAVR手术转播。患者高龄、重度主动脉瓣反流,EF值偏低,主动脉窦部显著膨大,瓣环角度不佳,多重复杂因素叠加让手术极具挑战性。宋光远教授团队凭借术前多模态影像精细评估与术中精准流畅的操作,圆满完成手术,赢得了与会国际专家的广泛关注与高度赞誉。

此次手术转播充分展现了中国团队在TAVR领域的过硬实力,不仅是中国经验、中国方案走向国际舞台的生动体现,也为全球同行处理同类复杂病例提供了重要参考,再次印证了中国在结构性心脏病介入治疗领域已跻身世界领先行列。

 

病例信息

基础信息:患者女性,71岁。

主诉:活动后呼吸困难2年,近20天急性加重。

现病史:患者2年前诊断为重度主动脉瓣反流,接受药物治疗。曾多次评估TAVR手术,因瓣膜解剖结构复杂被判定为无法手术。20天前,其症状急性加重,诊断为非ST段抬高型心肌梗死,药物治疗后症状缓解。

既往史:高血压病史20年,阵发性房颤2年。

入院检查:身高158.0cm,体重55.3kg,BMI 22.7kg/m²,体表面积1.52m²,NT-proBNP 1037pg/ml,肌酐126.2μmol/L,血红蛋白94.0g/L,血压123/57mmHg,心率66bpm,NYHA心功能分级II级,STS评分7.51%,EuroSCORE II评分10.31%。

术前超声心动图示:缩流颈6.5 mm,有效反流口面积(EROA)0.45cm²,反流容积95mL,左室射血分数(LVEF)42%,左室舒张末期内径(LVEDD)54mm,左室收缩末期内径(LVESD)46mm。

超声心动诊断:重度主动脉瓣反流,主动脉窦及升主动脉扩张,轻度二尖瓣反流,三尖瓣反流,左心室收缩功能减低,左室壁普遍轻度运动减低。

术前心电图示:窦性心律,胸前导联T波倒置,心率63 bpm。

CT示:三叶瓣结构,轻度钙化;瓣叶增厚;单纯主动脉瓣反流。主动脉瓣环直径26.6 mm,LVOT直径28 mm,SOV直径48.0*50.9*44.6mm,瓣环角度66°。

入路评估:主动脉弓角度正常,大弯侧散在钙化,腹主动脉迂曲,双侧髂股动脉直径适宜,伴散在钙化。

 

手术特点及策略

该患者属于重度主动脉瓣反流,EF值偏低,主动脉窦较大,瓣环角度不佳,手术难度较大。同时,患者高龄、身体虚弱,属于高风险患者,不适合外科手术。本次手术拟采用监护麻醉,以右侧股动脉为主入路,左侧股动脉为辅入路。计划置入22F Gore鞘管。根据瓣膜特性,以及虚拟瓣环、解剖瓣环测量结果,拟不进行预扩张,直接植入31mm J-Valve TF瓣膜。

 

手术过程

双侧股动脉穿刺建立工作路径,送入猪尾导管行主动脉根部造影,交换Safari导丝后将瓣膜输送系统送入升主动脉。输送系统柔顺过弓后顺利将31mm J-VALVE TF瓣膜推至主动脉根部。释放定位件,其可自动定位、轻松准确入窦。定位件入窦后,再次进行造影,在多角度投照下确认瓣膜位置稍高,遂将瓣膜稍向下推,调整至合适位置后将瓣膜释放。瓣膜释放后即刻复查主动脉根部造影,显示瓣膜支架位置稳定、形态展开良好,同轴性佳,未见主动脉瓣反流及瓣周漏,手术顺利结束。瓣膜植入过程仅用时5-10分钟。

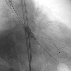
主动脉根部造影

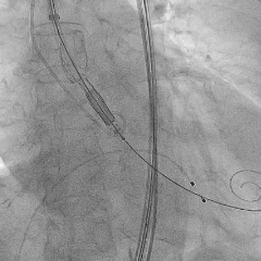
瓣膜输送系统过弓,至主动脉根部

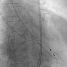
定位件释放

定位件入窦后造影

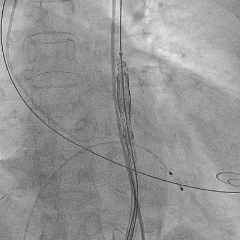
瓣膜释放

瓣膜释放后造影

 

术后思考与总结

在术后讨论环节,国际专家一致认为,本例手术的成功实施展现了极高的技术水平。患者为单纯重度主动脉瓣反流,其EF值偏低,且存在主动脉窦部显著膨大、瓣环角度不佳等复杂解剖特征。这些因素共同构成了该病例的高难度背景:既要确保瓣膜的稳定锚定,又要在心室功能减低的条件下高效、安全地完成操作。手术的顺利实施,高度依赖于术前基于多模态影像的个体化评估。宋光远教授团队在术前通过多平面精细测量,全面评估了瓣环直径、窦部尺寸、LVOT及瓣叶形态等关键参数,并据此选择了最适宜的瓣膜类型与型号。手术过程中的每一步操作都如行云流水,定位精准、释放平稳,术后效果立竿见影。这背后,不仅是其团队对影像数据的深刻解读能力,更是其长年积累的丰富经验与精准决策能力的集中体现。整个流程将一例高难度的TAVR手术转化为一场流畅、安全且效果完美的技艺展示,充分彰显了中国结构性心脏病团队的国际水准。

 

多年来,宋光远教授团队在结构性心脏病领域深耕不辍、笃行创新,始终立足临床痛点深耕技术与理念突破,逐步形成了一系列兼具创新性与实用性的诊疗成果。团队提出的“All in one”极简式TAVR理念,大幅简化了手术流程、缩短了手术时长,同时兼顾疗效与安全性,有效减少了手术创伤;基于多平面测量法构建的新型主动脉瓣反流分型,破解了传统分型难以适配复杂解剖结构的难题,为个体化手术方案的制定提供了精准的理论支撑;针对TAVR术后传导阻滞的过渡性起搏器方案,优化了术后并发症管理策略。本次手术的完美呈现,正是该团队将深厚经验、创新理念与精准技术融会贯通的必然结果,充分彰显了团队在该领域的引领者风范。

 

手术的圆满成功,不仅为患者带来了长期生存获益与生活质量的显著提升,更构建了复杂病例诊疗的可复制、可推广范式,为全球同类高难度手术提供了宝贵的临床参考。其收获的广泛热议与高度认可,将激励更多国内医疗中心向复杂病例发起冲锋,为全球结构性心脏病事业贡献更加卓越的“中国智慧”与“中国方案”。

 

 

 

 

专家简介

 

中共党员,教授,博士生导师 现任首都医科大学附属北京安贞医院心脏瓣膜病介入中心主任 北京市“登峰”培养计划团队负责人 2015年作为国内首位专业人员赴美完成瓣膜性心脏病介入诊疗博士后培训,是结构性心脏病和复杂冠心病介入治疗手术量国内名列前茅的专家,牵头和参与了结构性心脏病和复杂冠心病介入治疗相关基础和临床研究20余项。作为核心成员主持或者参与十余项国家以及省部级重大课题,申请及获得结构性心脏病相关的国家发明以及实用新型专利12项;以第一/通讯作者发表30余篇中英文结构性和冠心病心脏病领域创新性研究高质量论文,引次数超过300次 作为主要完成人之一,曾获得教育部高等学校科学研究优秀成果奖一等奖和北京市科技进步一等奖 中国医师协会心血管病分会结构专家委员会秘书;中华医学会北京分会心血管病委员会结构学组副组长;北京市心血管内科质量控制和改进中心结构性心脏病专家工作组副组长;亚太结构性心脏病俱乐部秘书长;世界中联专业委员会心血管介入协会常务理事;第34届长城心脏病学大会秘书长;中国结构周核心工作组秘书长;北京瓣膜论坛主席等。

 

博士,主任医师,国家卫生健康委结构性心脏病(瓣膜病)介入导师、亚太结构性心脏病青年俱乐部会员。专业:心脏瓣膜病、冠心病、心律失常、心力衰竭,尤其擅长经导管主动脉瓣置换术(TAVR)、经导管二尖瓣缘对缘修复术(TEER)、经皮冠状动脉介入治疗(PCI)、起搏器及埋藏式心律转复除颤器植入术(ICD)、心脏再同步治疗(CRT)及心力衰竭的综合治疗。致力于心脏瓣膜病的临床及介入治疗,推动TAVR手术流程的简化,作为团队成员在国内率先在TAVR术中应用左心室导丝起搏技术、单动脉入路技术、单血管入路技术。参与编写《冠心病介入治疗技术与策略》、《介入心脏病学》、《心脏病学实践》等多部学术专著。

 

首都医科大学附属北京安贞医院心脏瓣膜病介入中心 2009年于华中科技大学同济医学院临床医学六年制德语班毕业,2008年于德国海德堡大学内科医院心内科,心脏超声,介入导管室等科室实习,2014于北京协和医学院阜外医院博士毕业,师从我国著名心脏病学家吴永健教授。完成冠脉造影介入治疗共数千例,可独立操作完成冠脉复杂介入手术,左主干病变,分叉病变,钙化病变,慢性闭塞病变,熟练IVUS,OCT、FFR等影像功能学评估,参与数百例经导管主动脉瓣置换,数十例左心耳封堵手术。兼任亚太结构性心脏病青年俱乐部银晶会员,CTO-Week、中国结构周会议筹备组成员,海峡医药卫生交流协会老年专委会青年委员会委员,EHJ中文版冠心病与动脉粥样硬化专刊编委会青年编委。主持两项院校级课题,作为核心成员参与国家级课题多项。发表SCI文章多篇,国际会议论文交流数次。

 

副主任医师,2009年毕业于郑州大学医学院。中华医学会心血管分会结构性心脏病学组委员,中国医师协会心血管内科分会结构性心脏病学组委员,开展心脏瓣膜病的微创治疗及科研任务,熟练完成慢性闭塞性病变等复杂冠心病的介入治疗、先天性心脏病的介入治疗等,能够将心脏瓣膜疾病、心脏结构性疾病、起搏电生理、冠状动脉疾病、大血管疾病的微创治疗融会贯通,发表SCI文章多篇。

 

-END-

 

专业的心血管医生学术交流平台

医谱APP
点击下载
医谱学术
点击关注

版权及免责声明:

本网站所发表内容知识产权归属医谱平台、主办方以及原作者等相关权利人,未经许可,禁止进行复制、传播、展示、镜像、转载、摘编等。经授权使用,须注明来源,否则将追究其法律责任。有关作品内容、版权和其他问题请与本网联系 

 

图片

表情

发表留言

暂无留言

输入您的留言参与专家互动

6
评论
收藏
分享
Copyright©2024 远大康程 京ICP备14005854号-1