重视心脏淀粉样变的诊治——不陌生的心力衰竭
心脏淀粉样变性(cardiac amyloidosis,CA)是由异常前体蛋白错误折叠形成淀粉样原纤维沉积在心肌细胞外间隙所致,临床主要表现为限制型心肌病和心力衰竭,预后较差。既往认为CA是一种少见疾病,但随着临床影像学技术的提高、药物治疗学等的进展,临床对CA的认识不断提高。
CA分型及流行病学
目前已发现超过30种蛋白可以形成淀粉样蛋白纤维,其中累及心脏的主要有免疫球蛋白轻链型CA(light chain amyloidosis,AL-CA)和转甲状腺素蛋白型CA(transthyretin amyloidosis,ATTR-CA),也有学者将后者称为转甲状腺素蛋白淀粉样变心肌病(transthyretin amyloid cardiomyopathy,ATTR-CM)。根据有无基因突变可进一步将ATTR-CA分为野生型(wild-type,ATTRwt-CA)和突变型(mutant,ATTRm-CA)。AL型是骨髓中的单克隆浆细胞过度分泌,产生大量的轻链免疫球蛋白沉积在器官或组织,引起的全身多系统病变,约50%的患者可累及心脏。ATTRm是一种常染色体显性遗传病,是由于基因突变使转甲状腺素蛋白(Transthyretin,TTR)四聚体结构解体形成的单体错误折叠导致异常TTR沉积引起,主要累及心脏和神经系统。ATTRwt也称老年性淀粉样变性,由TTR沉积引起,主要累及心脏,韧带及肌腱等。
AL型CA年发病率为10/100万,好发年龄为55岁以上,男性稍多于女性。ATTRwt型CA好发年龄为70~75岁,男性占80%以上,85岁以上老年人ATTRwt型CA患病率为25%。ATTRm型CA发病年龄与引起TTR突变的基因有关,发病率无明显性别差异。CA常见的3种分型中,AL型最常见,预后最差,可能与其轻链毒性有关。ATTRm型预后优于AL型,ATTRwt型进展慢,预后良好。
CA病理
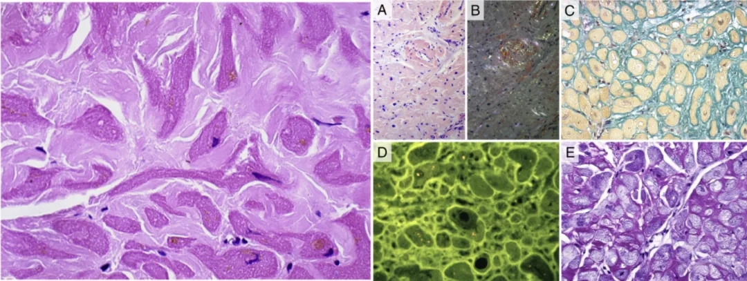
心内膜心肌活检是诊断CA的金标准,但鉴于临床易操作性和安全性,通常首选风险性较低的侵入性心脏外组织 (腹壁脂肪、皮肤、胃肠道黏膜、舌肌、唇等) 活检,其中腹壁脂肪活检在AL型淀粉样变的阳性率可达79%~84%,而在ATTRm和ATTRwt淀粉样变中的阳性率仅为45%~67%和14%~15%。淀粉样蛋白的组织病理学表现包括:光镜下苏木素-伊红染色呈嗜伊红均质状,刚果红染色呈砖红色,偏振光显微镜下呈苹果绿色双折光,见图1。

图1.心肌内膜活检病理切片。左HE染色(400倍):浅粉色细胞外物质,可见裂痕,将染色更深的肌细胞分开。右特殊染色:A-B. 刚果红染色(100倍):红色(A)、偏振光镜下呈苹果绿双折光(B)。C. 硫酸阿尔新蓝染色(200倍):海绿色。D. 免疫荧光硫磺素-T(400倍):绿色淀粉样物质。E. 甲基紫染色:紫红色淀粉样物质。
CA“警示征”
CA的“警示征”可分为心脏内和心脏外表现,若两者同时存在,则高度疑似CA(见图2)。
心脏内"警示征":
(1)中老年反复发作的心力衰竭,以舒张性心力衰竭为初发表现;
(2)既往有高血压,突然转变为正常血压或低血压;
(3)心电图出现假性心肌梗死征象,肢体导联QRS波低电压或心脏传导系统异常。
此外,ATTRwt-CA患者中6%~16%可合并主动脉瓣狭窄,因此对于表现为低流速低压差的重度主动脉瓣狭窄老年患者需警惕合并ATTRwt-CA。
心脏外"警示征":
(1)ATTR-CA的心脏外"警示征"主要有:双侧腕管综合征;腰椎管狭窄;肱二头肌腱断裂;玻璃体浑浊;家族史。
(2)AL-CA的心脏外"警示征"有:巨舌症;眶周紫癜;浆细胞病。
(3)ATTR-CA和AL-CA共有的心脏外"警示征"包括:多发周围神经病变,伴有自主性神经功能异常;蛋白尿;肾功能不全。

图2.心脏淀粉样变性的临床表现
CA临床诊断
4.1单克隆蛋白检测:血清游离轻链κ-λ比值<0.26 或 >1.65,或血、尿免疫固定电泳检查发现单克隆蛋白时,应请血液科医师会诊。值得注意的是,发现单克隆蛋白并不能排除ATTR-CA,经活检证实的ATTR-CA患者中,20%~40%伴有意义不明的单克隆球蛋白病(monoclonal gammopathy of undetermined significance,MGUS)。
4.2心电图:胸部导联出现类似前间壁心肌梗死的图形(见图3)但可排除冠心病,或出现QRS低电压(多见于AL-CA)、宽QRS波(多见于ATTR-CA)、心脏传导异常(如房室传导阻滞、室内传导延迟或束支传导阻滞)、心房颤动(房颤)。

图3.类似前间壁心肌梗死心电图
4.3超声心动图:CA超声心动图的典型表现为室壁增厚,双房扩大,左心室腔大小正常,心肌散在颗粒状强回声,但多在CA晚期出现。CA患者左室射血分数正常或轻度减低,左室射血分数减低者预后较差;心包积液常见,但大量心包积液较少出现。有研究者应用二维斑点追踪技术对80例AL型CA,92例ATTR型CA患者行超声心动图检查,发现AL型,ATTR型CA患者均表现为左心室整体纵向应变减低,但心尖应变保留(左心室基底段及中间段纵向应变减低,心尖段纵向应变无明显减低)。此外,应用二维斑点追踪技术还可对CA和肥厚型心肌病进行鉴别诊断。超声血流多普勒和组织多普勒可评估心室舒张功能,CA患者几乎均存在重度舒张功能不全,表现为二尖瓣血流减速时间缩短,左心室壁位移速度减低。部分ATTRwt型CA患者超声心动图可见主动脉瓣狭窄。应用三维斑点追踪技术可早期诊断CA。(见图4)

图4.心脏彩超。A. 胸骨旁长轴视图显示左心室增厚,左心室大小正常,心肌内有颗粒状强回声。左房增大,少量心包积液。B. 心脏淀粉样变患者二维斑点追踪显像纵向应变牛眼图示左心室基底段和中间段的纵向应变明显降低,而心尖部纵向应变正常,显示为深红色,呈“心尖保留”征象,又称“草莓征。
4.4心脏MRI:CA患者CMR钆对比剂成像的特征性表现为延迟强化(late gadolinium enhancement,LGE),LGE呈弥漫性,在心内膜下且不遵循任何特定的冠状动脉分布,也可表现为从心内膜下到透壁的非梗死性LGE图像,LGE诊断CA的敏感度和特异度均较高。在多发性骨髓瘤患者中CMR诊断AL-CA的敏感度和阴性预测值均为100%,特异度和阳性预测值分别为80%和81%。此外,定量成像技术也可用于辅助诊断CA,CA患者的T1值明显延长、细胞外间质容积(extracellular volume fraction,ECV)明显增加。(见图5)

图5.心脏磁共振。初始T1图、T2图、延迟强化(late gadolinium enhancement,LGE)图像、细胞外间质容积(extracellular volume fraction,ECV)图。第一行:没有心脏淀粉样变性的患者不存在LGE,初始T1和ECV图正常;中间行:心脏淀粉样变性患者有心内膜下LGE,T1升高,T2和ECV值正常;第三行:CA患者淀粉样蛋白负荷非常高,透壁LGE,初始T1非常高,T2和ECV值正常。
4.5心脏放射性核素显像:若未检出单克隆蛋白,则应进行心脏放射性核素显像检查。目前常用的放射性核素为99Tcm-焦磷酸盐(99Tcm-PYP),在半定量分析系统中,应使用心肌/肋骨对比剂摄取率比值进行判断,若心肌摄取率大于或等于肋骨摄取率(2级以上摄取),则可诊断ATTR-CA;在定量分析系统中,应使用心脏摄取率(H)与对侧肺摄取率(CL)进行比较,若H/CL比值≥1.5则可诊断ATTR-CA。PYP扫描在肋骨骨折、心肌梗死、心脏羟氯喹中毒的患者,以及AL-CA或其他罕见亚型的CA患者中可能出现假阳性。因此,PYP显像阳性仅在单克隆蛋白阴性的前提下才可诊断ATTR-CA。(见图6)

图6. 99Tcm-焦磷酸盐心肌显像摄取分级。0级:无示踪剂心肌摄取,骨摄取正常;1级:心肌摄取低于骨水平;2级:心肌和骨摄取相似;3级:心肌摄取高于骨,骨摄取降低/无。
4.6基因检测:诊断为ATTR-CA的患者,应进行基因检测,以进一步对其进行分型(ATTRm-CA、ATTRwt-CA)。ATTRm-CA患者最为常见的突变是TTR编码基因第30位点的缬氨酸被甲硫氨酸替代(Val30Met)或122位点缬氨酸被异亮氨酸替代(Val122Ile),属于常染色体显性遗传,因此对于检出基因突变的ATTRm-CA的患者,应该进行家系筛查。Val122Ile突变的患者病情发展较快,需进行密切随访。
CA治疗方案
CA的治疗主要是治疗心力衰竭,控制心律失常以及AL和ATTR的针对性治疗(见图7)。
5.1 治疗心力衰竭
CA患者临床上通常表现为射血分数保留的心力衰竭,最常见的症状为劳力性呼吸困难,部分患者可能表现为右心衰竭(下肢水肿和腹水等),因此容量管理是AL-CA 管理的重要组成部分。由于其限制型心肌病的特点,容量管理策略较为复杂,患者经常在容量超负荷的同时合并有效循环血量不足。因此,需密切关注患者的症状、血压、组织间隙水肿情况、肌酐动态变化以及有效循环血量,进行精准且动态的容量状态评估至关重要。
对于LVEF≤40%的CA患者,目前没有证据支持使用改善射血分数降低的心力衰竭的药物(如“新四联”治疗方案)可改善其预后。并且,由于CA患者通常血压水平不高,其对血管紧张素受体脑啡肽酶抑制剂(ARNI)、血管紧张素转换酶抑制剂(ACEI)或血管紧张素Ⅱ受体阻滞剂(ARB)以及β受体阻滞剂和醛固酮受体拮抗剂的耐受性差,也限制了上述药物在CA患者中的应用。此外,β受体阻滞剂还可能加剧部分CA患者的心脏传导阻滞。
洋地黄类药物,钙通道阻滞剂可沉积在淀粉样物质中,增加药物的心脏毒性,引起房室传导阻滞,心源性猝死,CA患者禁用。心力衰竭发展至终末期,药物治疗无效时,需评估心脏移植的可能或机械循环支持。因CA患者左心室室壁增厚,心室腔小,同时合并右心室功能障碍,通常禁止放置左心室辅助装置。对有神经病变的ATTRwt患者,可进行心脏移植联合肝脏联合移植;对AL型CA患者,心脏移植后需再进行自体干细胞移植。
心脏淀粉样变性患者发生主动脉瓣狭窄的概率较高,特别是ATTRwt-CM患者。在接受经导管主动脉瓣置换术的患者中,约16%可能患有ATTR-CM。最新数据表明,经导管主动脉瓣置换术可能有助于改善患者症状。

图7.心脏淀粉样变性的治疗方法
5.2 控制心律失常
CA所致心律失常可选择小剂量β受体阻滞剂进行治疗,但β受体阻滞剂可减少每搏输出量,加重心力衰竭。胺碘酮可能是CA患者耐受性较好的抗心律失常药物,但缺乏相关研究佐证。经导管射频消融,左心耳封堵治疗CA导致的心房颤动和血栓预防的效果也需进一步证实。对有晕厥的CA患者,植入起搏器前需完善动态心电图进行评估。ATTR型CA患者植入起搏器者占30%~40%,但植入起搏器并不能提高其存活率。对需要右心室起搏治疗的CA患者,心脏同步化治疗可能更有效。有文献报道,AL型CA室性心律失常患者可植入心律转复除颤器(ICD),但效果低于其他疾病导致的心律失常,ATTR型CA患者是否适合植入ICD尚无明确证据。约1/3的CA患者可出现心腔内血栓,且其血栓风险与是否合并房颤及CHA2DS2-VASc评分无关,抗凝治疗可降低CA患者心腔内血栓形成风险。因此,对于CA伴房颤的患者,无论CHA2DS2-VASc评分如何,均应进行抗凝治疗以降低卒中风险。然而,目前尚缺乏在CA患者中对比新型口服抗凝药与华法林优劣的研究,亦未见左心耳封堵疗效的研究,因此CA患者的抗凝治疗仍为经验性治疗,应根据患者的具体情况尤其是肝肾功能选择抗凝方案。
5.3 AL-CA和ATTR-CA的针对性治疗
AL-CA的理想治疗目标是达到心脏完全缓解。然而,现有的治疗方法以克隆浆细胞为靶点,降低血清单克隆免疫球蛋白水平,并通过机体的自我清除机制实现心脏缓解。因此,AL-CA 治疗的目标是高质量的血液学缓解。达雷妥尤单抗可引起快速和深度的血液学应答,所以被推荐作为一线治疗。推荐的治疗方案包括达雷妥尤单抗+硼替佐米/地塞米松(BD),达雷妥尤单抗+硼替佐米/环磷酰胺/地塞米松和达雷妥尤单抗+地塞米松。如果达雷妥尤单抗不能作为一线疗法,则应考虑以硼替佐米为基础的疗法,包括硼替佐米/环磷酰胺/地塞米松、硼替佐米/美法仑/地塞米松(BMD)和BD。美法仑联合地塞米松起效相对较慢,适用于无法耐受或负担不起硼替佐米或达雷妥尤单抗的患者。
目前治疗ATTR的药物主要通过抑制TTR生成,稳定TTR四聚体结构等机制发挥作用,主要有(1)TTR沉默剂:代表药物是inotersen 和Patisiran。inotersen是一种反义寡核酸药物,可与编码TTR蛋白的mRNA结合,通过降解其mRNA抑制TTR蛋白生成,其主要不良反应是肾小球肾炎和血小板减少。Patisiran是一种小干扰RNA,可沉默TTR基因表达,阻断TTR蛋白生成。有研究表明,inotersen和Patisiran可延缓ATTR患者左心室室壁增厚的进展,改善左心室整体收缩应变,但inotersen和Patisiran是否可降低ATTR患者CA发病率尚缺乏相关证据。(2)TTR稳定剂:代表药物为tafamidis(氯苯唑酸),通过稳定TTR四聚体结构发挥治疗作用。tafamidis对ATTR型CA患者早期心功能不全有良好效果。
多学科管理
由于淀粉样蛋白原纤维可以沉积在多个器官中,包括肾脏、神经系统、胃肠道和骨骼肌系统等,可严重降低患者生活质量。因此,多学科管理至关重要(见图8)。总的来说,心脏淀粉样变性的治疗涉及以下学科的医务工作者,包括心脏科医生(主要负责诊断、监测心脏功能以及针对性心脏治疗)、神经科医生(管理淀粉样变性相关的神经系统症状,见图9、10)、胃肠科医生(处理心脏淀粉样变性可能引发的胃肠道问题,见图11)、遗传学顾问(为有家族史的患者提供遗传风险评估和咨询)、肾脏病专家(评估和治疗心脏淀粉样变性对肾功能的影响,见图12)、药剂师(提供药物治疗的咨询,确保治疗方案的最优化)、护理人员(协助实施治疗计划,提供日常护理和患者教育)。

图8.心脏淀粉样变性的多学科管理

图9.心脏淀粉样变性多发神经病变的表现与评估

图10.心脏淀粉样变性神经病变的治疗

图11.心脏淀粉样变性胃肠道功能障碍的表现与评估

图12.心脏淀粉样变性对肾功能的影响
总结
心血管内科医生在临床上遇到一些心力衰竭患者时,应多考虑心脏淀粉样变性的可能性,并运用准确的诊断路径,及时识别多系统淀粉样变性的存在。多学科管理在优化管理心脏淀粉样变性中十分重要,建议协调不同学科专家来优化诊疗,以提高诊断的精确性,从而制定个性化治疗方案,并通过持续监测和适时调整治疗方案来改善患者的预后和生活质量。
1. Kittleson, M.M., et al., 2023 ACC Expert Consensus Decision Pathway on Comprehensive Multidisciplinary Care for the Patient With Cardiac Amyloidosis: A Report of the American College of Cardiology Solution Set Oversight Committee. J Am Coll Cardiol, 2023. 81(11): p. 1076-1126.
2. Garcia-Pavia, P., et al., Diagnosis and treatment of cardiac amyloidosis. A position statement of the European Society of Cardiology Working Group on Myocardial and Pericardial Diseases. Eur J Heart Fail, 2021. 23(4): p. 512-526.
3. Falk,R.H., Cardiac amyloidosis: a treatable disease, often overlooked. Circulation, 2011. 124(9): p. 1079-85.
4. Fontana, M., et al., Myocardial Amyloidosis: The Exemplar Interstitial Disease. JACC Cardiovasc Imaging, 2019. 12(11 Pt 2): p. 2345-2356.
5. Maleszewski, J.J., Cardiac amyloidosis: pathology, nomenclature, and typing. Cardiovasc Pathol, 2015. 24(6): p. 343-50.
作者简介

石亚楠
医学博士,阜外华中心血管病医院心力衰竭病区,主治医师。从事心内科临床诊疗及基础研究工作,在冠心病、高血压、心肌病、心力衰竭等心内科疾病的治疗方面具有扎实的理论基础和临床经验,在SCI期刊及国内核心期刊上发表专业论著多篇。河南省医师协会心血管内科医师分会心力衰竭学组委员;河南省微循环学会心血管病学分会委员会委员;河南省生物医学工程学会心力衰竭与心肌病专业委员会委员;河南省研究型医院学会心衰与移植分会委员。
· END ·
专业的心血管医生学术交流平台


版权及免责声明:
本网站所发表内容知识产权归属医谱平台、主办方以及原作者等相关权利人,未经许可,禁止进行复制、传播、展示、镜像、转载、摘编等。经授权使用,须注明来源,否则将追究其法律责任。有关作品内容、版权和其他问题请与本网联系
send a message
暂无留言
输入您的留言参与专家互动