学术速递 | M-TEER若干新技巧
M-TEER 若干新技巧
复旦大学附属中山医院 潘文志
经导管缘对缘修复技术(TEER)是继经导管主动脉瓣置换术(TAVR)之后兴起的结构性心脏病介入领域的新技术,目前已在我国快速推广开来,目前全国推广超过8000例。TEER可应用于二尖瓣反流,称之为M-TEER,应用于三尖瓣反流,称之为T-TEER。
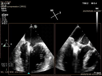
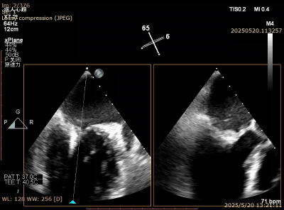
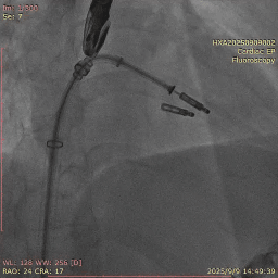
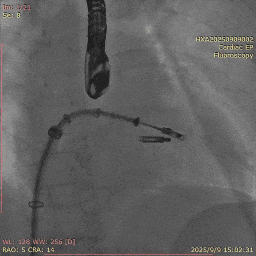
在经股静脉途径的TEER手术时,房间隔穿刺是一个很重要的基础步骤。有时候房间隔组织较韧较厚(多见于房间隔短穿刺位置需要靠后,或者外科房间隔修补术后),穿刺针通过之后要通过导引大鞘(GC)存在着较大困难,若强行推送大鞘可引起房间隔撕裂到左心房顶引起灾难性心包填塞。传统做法时使用外周球囊对房间隔进行扩张,但是不是每个导管室都常规配备外周球囊,且使用过大球囊仍可引起房间隔撕裂风险。我们提供了一种更简洁的方式,即使用导引鞘内芯和房间隔穿刺鞘两个管子(双管齐下)同时扩张房间隔穿刺口,再推送导引大鞘通过房间隔,无需额外器械,操作简单高效且安全(图1-4)。


图1. 房间隔穿刺处肥厚,GC难以通过房间隔

图2. 从房间隔穿刺鞘里送入两根Lunderquist 超硬导丝

图3. 沿着两根加硬导丝送入导引鞘内芯和房间隔穿刺鞘对房间隔进行扩张

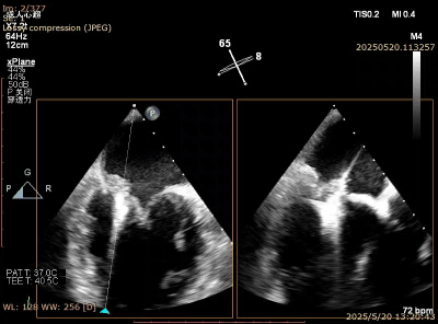
图4. 顺利送入导引鞘通过房间隔
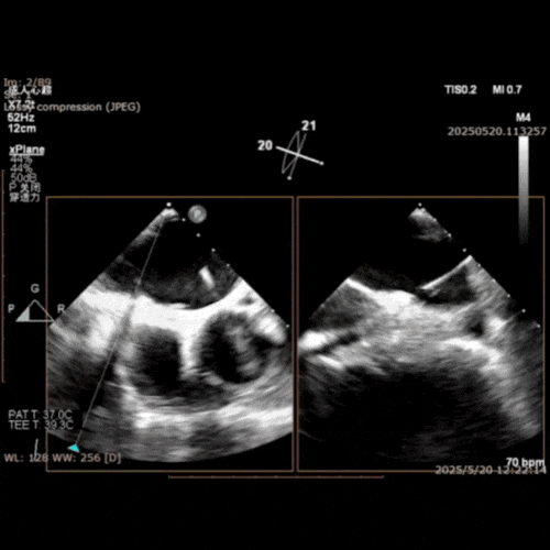
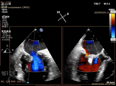
在一些退行性二尖瓣(DMR)病例中,由于二尖瓣连枷瓣叶甩动厉害,两个瓣叶之间的连枷间隙过大,难以充分夹合瓣叶:二尖瓣瓣叶甩动形成了拱形结构,经股静脉夹子摆动式的设计只能捕获到拱形的下降支,或在关闭时瓣叶仍在甩动导致瓣叶滑脱。一些技巧可以帮忙克服这一难点,包括快速起搏、腺苷或者拉链技术,但这些操作都偏复杂。一个简单方法就是将下夹臂反转到210度以上,让瓣叶充分插入到上下夹臂之间夹角内,然后较快速关闭夹子(图5-7)。该方法可以配合分别捕获技术提高夹合的成功率。无论刚性夹和弹性夹,该技术都可以应用。


图5. Barlow样改变,A3,P2, P3脱垂,后叶甩动厉害


图6. XTR 一枚夹合 2区,后叶难以夹多


图7. 倒挂金钩,夹合更多瓣叶
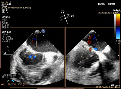
对于交界区病例,传统的做法是先夹合交界区,然后再夹合中央区。但是,对有些挑战病例,靠交界区瓣叶甩动严重,难以充分捕获瓣叶。这时候,可以反常规,先夹合靠中央区甩动不严重的瓣叶,限制了交界区瓣叶的甩动,再夹合交界区的瓣叶。这种情况下,交界区被第一个夹夹合后剩下一个小孔,进去输送系统难度较大,需要术者精细操作,避免将第一个夹子搅拌脱落。另外,该方法夹子几乎是有去无回,一旦进入后左心室后无法再撤出到心房,因此在心房侧就要把夹子和弹道调整到满意的状态,然后小心推送夹子通过小孔进入左心室内(图8-11)。但这种方法往往可以把交界区瓣叶夹合很大量,相对传统方法效果更好。

图8. 上一个病例,Barlow样改变,A3,P2, P3脱垂,靠内交界区甩动更严重


图9. 2.5区植入一枚夹子后,内交接残余脱垂


图10. 从小孔送入第二个夹子

图11. 最后结果满意
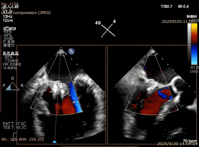
TEER手术时,有时候第一个夹子释放后因为腱索缠绕或者夹合不均匀导致夹子出现歪斜,这种歪斜可能导致瓣叶受力不均匀导致瓣叶损伤或者夹子脱落,若能纠正理论上会更好。这种情况下,可以使用第二个夹子的输送杆的将第一个夹子捋直,然后肩并肩植入第二个夹子进行纠正。操作时第二个夹子到达心室后需要先反转夹子,然后输送杆逐步靠近第一个夹子,不能用靠得太近使得夹子被挤压平移导致第一个夹子脱落,然后正转关闭夹子进行捕获夹合(图11-15)。


图12. P2大脱垂病例植入第一个夹子后出现夹子歪斜晃动大

图13. 第二个夹子关闭时可将第一个夹子卡入

图14. 反转夹子用输送杆将第一个夹子捋直

图15. 最后结果,双夹比翼双飞
最后需要指出是,本文提供的技巧为仅是个人心得体会,并未被大样本的病例研究所证实,今后需要更多病例积累来验证。然而,目前阶段这些技巧仍可以给一些挑战病例及特殊情况提供一些思路参考。也希望我国同行提供更多技巧促进TEER技术的普及和发展。
专家简介

· END ·
专业的心血管医生学术交流平台


版权及免责声明:
本网站所发表内容知识产权归属医谱平台、主办方以及原作者等相关权利人,未经许可,禁止进行复制、传播、展示、镜像、转载、摘编等。经授权使用,须注明来源,否则将追究其法律责任。有关作品内容、版权和其他问题请与本网联系
发表留言
暂无留言
输入您的留言参与专家互动