南昌大学第二附属医院心脏瓣膜病介入治疗团队应用MitraClip™系统完成新突破-精准修复内交界脱垂
近日,南昌大学第二附属医院心脏瓣膜病介入治疗团队龚韧教授,独立应用雅培经导管二尖瓣夹及可操控导引导管系统(MitraClipTM),成功为一例三区后叶脱垂累及内交界的高难度二尖瓣重度反流患者实施了经导管二尖瓣缘对缘修复术。在心血管内科、麻醉科、介入护理团队等相关科室的密切配合下,患者的二尖瓣反流即刻由术前的4+降至1+,手术取得圆满成功。
此次手术的顺利开展,不仅进一步丰富了该院在二尖瓣缘对缘修复技术针对复杂解剖病例的经验积累,更体现了南昌大学第二附属医院心血管内科对实现技术新突破上的不懈追求。


病例简介
患者:女,70岁。
主诉:反复胸闷气促30年,活动后加剧。胸闷加重5天入院。既往高血压3年。
心脏超声提示:左房增大 二尖瓣后瓣P3区脱垂、累及内交界并重度反流 三尖瓣轻度反流、估测轻度肺动脉高压 主动脉瓣轻度反流 左室舒张功能减退。
冠脉造影示:左主干无异常,前降支中段70%狭窄,D2近段70%狭窄,TIMI血流3级;回旋支近段斑块,TIMI血流3级;右冠中段60%狭窄,TIMI血流3级。
诊断:
1. 二尖瓣脱垂重度二尖瓣反流
2. 冠状动脉粥样硬化性心脏病
3. 高血压
术前超声评估
根据经胸超声报告提示:患者二尖瓣P3区后叶关闭时脱入左房,累及内交界,二尖瓣重度反流(MR 4+),患者LA内径约45mm,LVEDD约48mm,LVESD约30mm,EF值:67%,瓣口面积约4.56cm2。
经食道超声精细化测量:肺静脉逆流,房间隔可穿刺高度约4cm,术前二尖瓣平均跨瓣压差1mmHg,MPR测得二尖瓣瓣口面积约5.35cm2,脱垂宽度约12mm,内交界瓣下空间有限约为15.1mm,夹持区靠内交界AML长约16.4mm、PML长约12.8mm、夹持区3区AML约19.5mm,PML约14.6mm。


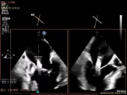
Bicomm切面看3区脱垂累及内交界
上Color,可见反流主要来自于3区


X-Plane切面切1区未见明显异常
1区上Color,未见反流来源


X-Plane切面切2区未见明显异常
2区上Color,未见反流来源


X-Plane切面切3区可见后叶脱垂
3区上Color,可见反流来源


X-Plane切面切内交界可见脱垂
内交界上Color,可见反流来源


3D Enface 3区后叶脱向左房累及内交界
3D Enface 可见反流由后向前由内向外冲出


肺静脉逆流


房间隔可穿刺高度约4cm
术前二尖瓣平均跨瓣压差1mmHg


脱垂宽度约12mm
MPR测得瓣口面积约5.35平方厘米

内交界瓣下空间有限约15.1mm


3区前叶长度约19.5mm,后叶长度约14.6mm
靠内交界前叶长度约16.4mm,后叶长度约12.8mm
手术难点挑战及策略
经过术前评估,本次手术存在以下挑战:
1. 房间隔穿刺高度比较有限;
2. 累及内交界,内交界瓣下操作空间有限;
3. 内交界及3区瓣下腱索丰富易发生腱索缠绕;
4. 内交界对超声要求高。
术前策略:考虑房间隔高度有限,尽可能的往后穿刺获取最大穿刺高度;术前准备阶段超声与术者团队紧密沟通讨论对内交界进行精准评估,确认最佳超声角度与深度。准备选择两个夹子,考虑内交界瓣下空间有限约15.1mm,先使用一个NTR处理内交界的脱垂与反流,再于外侧补一个XTR解决残余脱垂与反流并稳固NTR。
手术过程
患者诱导麻醉后,气管插管,自锁骨下至双下肢进行消毒,常规铺巾,建立右侧股静脉入路,在食道超声引导下进行房间隔穿刺,获得极限穿刺高度3.92cm,加肝素至5000单位,交换Super Stiff超硬导丝至左上肺静脉,使用血管鞘扩张股静脉后,沿超硬导丝送入可操控导引导管(SGC)至左房,将第一枚二尖瓣夹输送系统(CDS-NTR)送入左心房。送入夹子过程中为避免碰到左房组织完成Straddle“骑跨”,在食道超声精准引导下通过回撤SGC,提前打“M”等方式,顺利完成Straddle并将夹子打弯至二尖瓣环水平。
接下来在2区进行轨迹测试,使夹子的运动轨迹指向心尖。在心房侧打开夹臂调整夹臂方向指向11点半-5点半方位,与二尖瓣对合缘垂直。将夹子移动至内交界的位置,将二尖瓣夹关紧后缓慢送入左心室。在左室打开夹子重新确认Orentation。准确成功捕捞内交界脱垂及反流区域,确认瓣叶瓣尖稳定插入夹臂后,Gripper Down,观察到明显Bouncing后,关紧夹臂予以夹合,反流降至轻度,夹子内侧反流消失,夹子外侧残余少量反流。
考虑第一枚NTR的稳定性与外侧的少量残余反流,决定在外侧植入一枚XTR,XTR植入后两枚夹子的活动稳固,反流降至1+。术后肺静脉逆流消失,二尖瓣平均跨瓣压差1mmHg。

房间隔穿刺高度3.92cm


交换超硬导丝至左上肺静脉
三维下穿刺点大致位于2点半方位
将SGC沿超硬导丝穿房间隔送入左房


送入夹子(CDS0601-NTR)至左房
夹子(CDS0601-NTR)并打弯至二尖瓣环水平


在2区进行轨迹测试
在左房进行Orentation调整为11点半5点半左右


将夹子移动至内交界后关紧送入左室
送入左室后打开夹子重新确认Orentation


捕捞瓣叶,确定瓣叶瓣尖稳定插入夹臂后,Gripper Down
Gripper Down后Bouncing明显


关紧夹子后上彩,反流降至轻度,内侧反流消失
XTR在2区进行轨迹测试


左房调整Orentation与第一枚夹子平行
进入瓣下捕捞瓣叶,Griper Down后Bouncing明显


XTR解脱后,XTR中间有轻度反流
DSA下可见两枚夹子活动稳固


术后肺静脉逆流消失

植入两枚夹子后二尖瓣平均跨瓣压差1mmHg
团队介绍
南昌大学第二附属医院心血管内科,拥有教育部心血管介入治疗与器械研究工程中心、江西省心脏血管疾病技术工程中心,江西省心血管疾病重点实验室等平台,荣获中国胸痛中心、全国首批胸痛中心示范中心、首批中国康复中心、心脏瓣膜病介入中心认证单位及国家卫健委及中国医师协会心血管介入(冠心病)培训基地,是江西省胸痛中心联盟、江西省研究型医院学会胸痛分会挂靠单位,2018年成为江西省胸痛中心建设牵头单位,2019年由中国胸痛中心总部授权登录中国胸痛中心质控管理平台,负责全省胸痛中心质控工作。冠心病亚专科技术力量雄厚,冠心病亚专科及瓣膜介入手术总例数及复杂程度全省名列前茅、国内前列,其中急性ST段抬高型心肌梗死均次费用连续多年全省最低。近年来,冠心病病区每年完成冠状动脉支架植入术近3000例(其中急性心肌梗死近1000例),复杂瓣膜手术200多例(包括经导管主动脉瓣植入术、二尖瓣缘对缘钳夹术、三尖瓣钳夹术、经皮肺动脉瓣瓣植入术),CAG术10000余例。
南昌大学第二附属医院心血管内科心脏瓣膜团队,联合心脏大血管外科、麻醉科、手术室、超声医学科等多个学科组成多学科团队,整合了多个部门精英骨干,聚焦经导管心脏瓣膜病介入治疗,制定了精细的术前筛查、手术计划,术中精诚合作,术后精细管理,为每一位心脏瓣膜疾病患者提供最优化的治疗方案。专科国内较早、省内率先开展经导管主动脉瓣植入术、经皮肺动脉瓣瓣植入术,省内率先开展二尖瓣缘对缘钳夹术、三尖瓣钳夹术、超声引导经心尖梗阻性肥厚型心肌病室间隔射频消融术及无保护左主干病变、钙化病变、慢性闭塞病变、分叉病变、弥漫病变、扭曲病变等复杂冠脉病变冠脉介入治疗,取得了良好的社会反响。
结语
MitraClip™系统是一种基于外科缘对缘修补技术的经导管治疗系统,是首款获准上市的,也是国内唯一一款获得DMR和FMR两种适应证批准的基于导管的二尖瓣反流治疗器械,对于二尖瓣关闭不全的治疗有了新的选择: 经导管二尖瓣钳夹术(MitraClip™)仅需穿刺股静脉,经房间隔进入左心房、左心室,运用特制的二尖瓣夹合器夹于二尖瓣前后叶,从而改善二尖瓣反流。
MitraClip™无需开胸、创伤小、手术时间短、无需体外循环支持、手术安全性高、术后恢复快,可用于心功能严重受损、全身情况较差的高危患者。MitraClip™器械从2003年起用于临床患者,积累了超20年的研发和临床使用经验,该器械于2008年3月获得了DMR(原发性/器质性二尖瓣反流)和FMR(继发性/功能性二尖瓣反流)适应证的CE认证,并于2013年10月以及2019年3月分别获得FDA对DMR和FMR适应证的批准。于2020年6月获得NMPA对DMR适应证的批准,2021年四月获得FMR的适应症。该系统目前已在80多个国家和地区获得上市批准。全球有超过20万名患者接受了MitraClip™手术。
专家简介
吴延庆 教授
南昌大学第二附属医院

杨人强 教授
南昌大学第二附属医院

徐劲松 教授
南昌大学第二附属医院

龚韧 教授
南昌大学第二附属医院

医谱app
扫码或者点击图片下载
微信公众号
扫码或点击图片关注
版权及免责声明:
本网站所发表内容知识产权归属医谱平台、主办方以及原作者等相关权利人,未经许可,禁止进行复制、传播、展示、镜像、上载、下载、转载、摘编等。经授权使用,须注明来源,否则将追究其法律责任。有关作品内容、版权和其他问题请与本网联系。






发表留言
暂无留言
输入您的留言参与专家互动