封耳心安 | MemoLefort一站式封堵菜花型左心耳病例分享一例
近期,江苏省人民医院心血管内科陈明龙教授、陈红武教授团队成功完成一例“房颤消融 + 左心耳封堵”一站式介入手术。该患者的左心耳形态为多分叶菜花型,远端分叶发达,解剖结构复杂,封堵难度较大。陈明龙教授、陈红武教授团队术中精准把握封堵器放置深度及位置,植入后完美顺应心耳形态,术后无残余漏,位置稳定牢固,封堵效果完美。手术的成功不仅显著降低了患者的卒中风险,更充分彰显了MemoLefort左心耳封堵器在复杂解剖病例中应用的可靠性与卓越性能。
患者基本信息
基础信息:男性,51岁。
主诉:阵发性心悸3月余,室性早搏、22年行手术取股动脉血栓、24年植入冠状动脉支架。
诊断:
持续性心房颤动
高血压
冠状动脉支架植入后状态
慢性阻塞性肺病
卒中风险评分和出血风险评分
-
CHA2DS2-VASc评分2分 HAS-BLED评分2分。
-
符合左心耳介入封堵指征,拟行房颤消融+左心耳封堵一站式手术。

左心耳封堵前进行射频消融

环肺静脉射频消融,电复律转为窦性心律
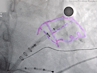
术中DSA肝位造影并测量心耳大小:菜花型左心耳

心耳呈菜花状,远端分叶发达
心耳内无血栓
开口23.27mm,深度22.45mm
病史总结
-
非瓣膜性房颤,CHA2DS2-VASc 2分,HAS-BLED 2分。
-
术前超声检查排除心耳内血栓,无明显手术相关禁忌。
左心耳封堵手术方案
麻醉方案:局麻
术式:简化式左心耳封堵
封堵器类型:MemoLefort
封堵器型号:LAFDQ-26
术中菜花型封堵策略
-
术前多次确认心耳深度较深,心耳空间较大,结合《简化式左心耳封堵术临床路径中国专家共识(2022)》中优先推荐全身情况良好、心脏及左心耳解剖不复杂且能较好配合局部麻醉手术患者采用简化式手术,故本例手术患者拟行简化式左心耳封堵。
-
术中穿刺点靠下靠后,封堵器输送过程中须确保封堵器输送鞘轴向与左心耳轴向一致,鞘管轴向走向上叶,轴向进行锚定确保封堵器锚定于心耳上缘。
-
本病例为菜花型左心耳,术前造影评估该心耳为多分叶菜花型,远端梳状肌较为发达,开口23.27mm,深度22.45mm,深度足够,建议选择LAFDQ-26封堵器进行封堵。
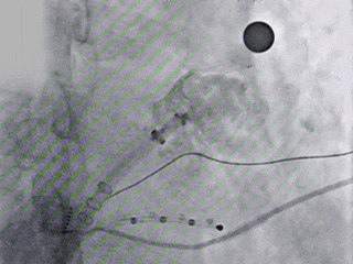
MemoLefort封堵器展开后DSA下造影评估

输送鞘轴向不佳,半回收封堵器
半回收封堵器,调整输送鞘方向

边造影边半回收,调整位置后重新退鞘,确保轴向,减少露肩
封堵器锚定位置良好

牵拉封堵器

封堵器稳定锚定
造影

测量压缩比

压缩比10%
造影评估后封堵器释放

Lefort封堵器评估符合PASS原则,释放封堵器,封堵器位置稳定且未见残余漏
菜花型左心耳由于其复杂的内部结构,血流容易在隐窝和分叶处形成涡流,导致血液淤滞,增加了血栓形成的风险。研究表明,这种形态的左心耳与栓塞事件的关联更为密切。在房颤患者中,菜花型左心耳是评估血栓风险和决定治疗策略的重要因素*。对于这类患者,建议优先考虑左心耳封堵术以降低血栓脱落导致中风的风险。本病例中患者出现阵发性房颤,不排除后期血栓形成的可能,因此患者选择进行射频消融+左心耳封堵一站式手术,术后心电图恢复正常。
术前结合CT以及术中造影评估左心耳开口23.27mm,深度22.45mm,心耳内部空间较大,且患者全身情况良好,可较配合局部麻醉手术,采用极简式封堵术安全可行。术中考虑心耳开口和深度充足,可利用心耳空间进行退鞘释放封堵器,使封堵器完全封堵左心耳。术中采用半回收方式调整封堵器在心耳内的位置形态,确保封堵器放置位置合适,且牵拉稳固,术后封堵器形态完整,未见残余漏。本病例展开后即刻造影,平口封堵,上下缘不留残腔。封堵器压缩比为10%,压缩合适,术中符合PASS原则,释放封堵器,术后封堵器稳固锚定在心耳壁,封堵器与心耳紧密贴合,无过度扩张风险,显著提升封堵完整性。
参考文献:
*王晨琛, 杨文波, 华玮, 陈晔芬, 苏秀秀, 龚俊世, 方跃华. 左心耳解剖形态、功能与非瓣膜性心房颤动患者脑卒中发生风险的相关性研究[J]. 诊断学理论与实践, 2020, 19(02): 151-156.
专家简介




-END-
专业的心血管医生学术交流平台


版权及免责声明:
本网站所发表内容知识产权归属医谱平台、主办方以及原作者等相关权利人,未经许可,禁止进行复制、传播、展示、镜像、转载、摘编等。经授权使用,须注明来源,否则将追究其法律责任。有关作品内容、版权和其他问题请与本网联系
发表留言
暂无留言
输入您的留言参与专家互动