可降解封堵器成功治疗偏头痛合并15mm房间隔缺损1个月随访病例分享
近日,黄冈市中心医院陈少泽主任、童子嘉副主任团队为一名受间断偏头痛困扰长达十余年的患者成功实施了房间隔缺损封堵术。该患者经明确诊断为房间隔缺损,缺损直径约15mm。团队创新性地采用可降解房间隔缺损封堵器完成介入治疗,术后1个月随访时,超声心动图提示封堵器位置固定、形态完整,且患者自觉头痛症状显著缓解,治疗效果满意。本案例不仅为相关患者提供了新的治疗选择,也为进一步探索偏头痛与房间隔缺损之间的临床关联及诊疗策略提供了有益参考。
患者信息
性别:女
年龄:39岁
主诉:患者诉近10年来无明显诱因间断出现头痛,伴头晕,蹲下站起后可出现黑朦,无意识丧失、天旋地转,偶有恶心呕吐,胸闷不适,未行特殊处理,无肩背部放射痛,无咳嗽、咳痰。此后上述症状常反复发作,与活动关系不明确,多于劳累未休息后出现。


食道超声下缺损测量约14.7*11mm
食道超声下缺损主动脉侧残端约3mm
经食道超声描述:房间隔总长42mm,房间隔中部可见回声脱失约15mm,缺损距二尖瓣环约17mm,距离上腔静脉约9mm,主动脉侧残端约3mm。CDFI: 房水平见左向右分流信号。
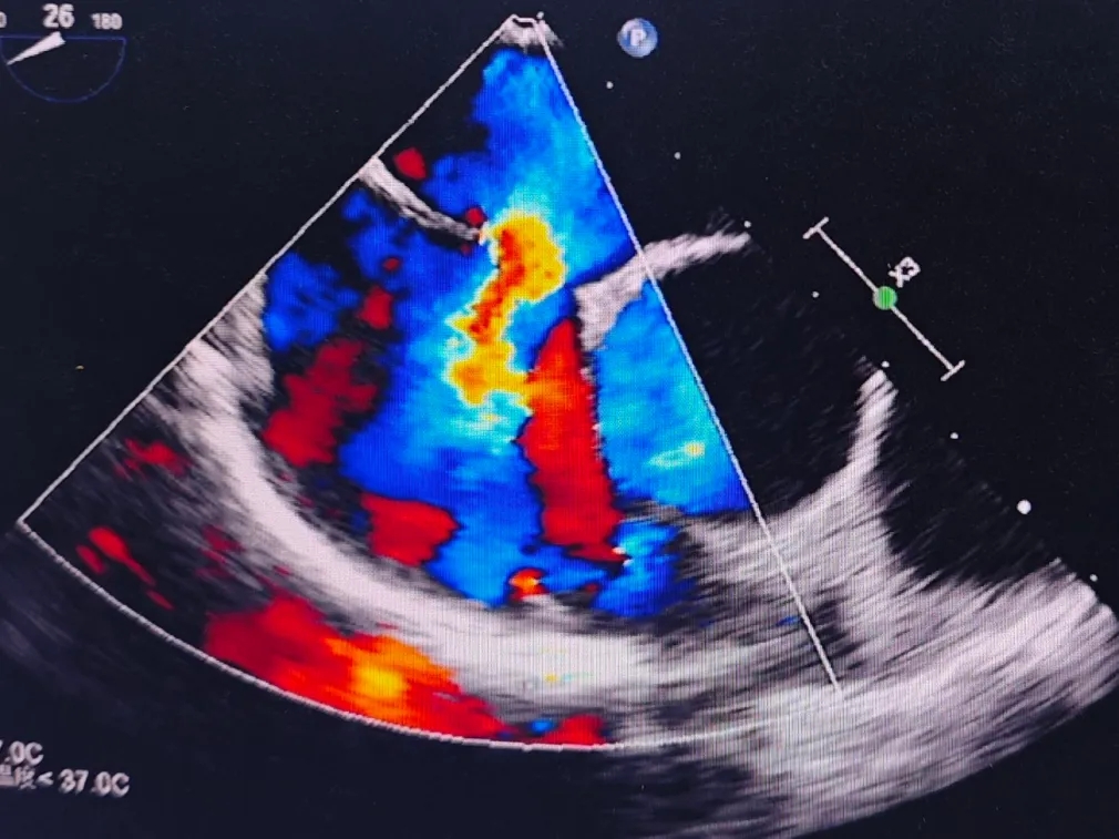
经胸右心声学造影:经右侧肘静脉注入声学造影剂,右心迅速显影,右房内可见造影剂气泡回声负性显影,经屏气及咳嗽后2-4个呼吸周期左房内可见造影剂回声。
超声提示:房间隔缺损(中央型),房水平左向右分流
临床策略
封堵策略:超声下综合评估缺损最大直径约15mm,经术者综合考量后选择可降解房间隔缺损BDASD-I 24封堵器,配合16F可降解封堵器介入输送系统进行封堵。

术前食道超声可见房水平左向右分流
手术过程
左盘展开


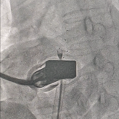
DSA下推出前4个显影点,展开左盘
左盘展开后,轻拉成型线使盘面成型,再将输送系统整体后撤贴靠房间隔
右盘展开


固定钢缆后撤鞘管,展开右盘
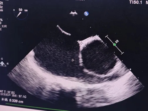
超声四腔心切面下可见封堵器双盘骑跨在房间隔两侧
锁定后牵拉试验

封堵器锁定成型后,牵拉试验可见5个显影点整体随钢缆移动,右盘显影点未发生明显位移
封堵器释放


5个显影点排列聚拢
超声四腔心切面下可见封堵器稳定夹持在房间隔两侧,盘面贴合,形态良好
术后一个月随访



超声所见:
1. 升主动脉不宽,主动脉形态、活动可。肺动脉不宽,肺动脉瓣形态、活动可。
2. 各房室腔未见明显增大。
3. 二尖瓣形态、活动可,三尖瓣形态、活动可。
4. 室间隔及左室壁厚度正常,运动协调,收缩幅度正常。
5. 房间隔中部可见封堵器回声显示,位置固定,形态良好。
6. CDFI:房水平未见明显分流信号。
超声提示:
房间隔缺损封堵术后,房水平未见分流
病例小结
偏头痛是一种常见的神经系统疾病,其临床特征为慢性反复发作的剧烈头痛,显著影响患者日常功能与生活质量。研究表明,房间隔缺损作为偏头痛的发病机制之一,患者做Valsava动作或者运动时可探测到右向左分流,使得血管活性物质及微栓子未经肺循环直接进入体循环,可激活血小板并作用于脑血管系统,引发脑组织缺血缺氧,进而诱发或加重头痛,这一效应在缺损较大或合并肺动脉高压时尤为显著[1]。相关研究进一步证实,通过经皮封堵术消除心房间分流,能够显著减少偏头痛发作频率、缓解相关症状,甚至实现临床痊愈[1]。
本例患者因间断头痛十余年就诊,经食道超声检查明确为房间隔缺损,缺损大小约15mm。右心声学造影进一步提示存在双向分流:静息状态下右房内可见造影剂负性显影(提示左向右分流),Valsalva动作后左房内可见造影剂回声(证实存在右向左分流)。基于上述检查结果,为消除心房间异常分流、缓解头痛症状,故决定为患者施行房间隔缺损封堵术。
本例患者缺损较大,为避免使用传统金属封堵器可能引起的头痛加重或新发偏头痛风险,经综合评估后选用BDASD-I 24可降解房间隔缺损封堵器,配合16F可降解封堵器介入输送系统进行封堵。与金属封堵器相比,可降解封堵器采用生物高分子材料制成,无镍离子释放风险;其材质柔韧,不易压迫周围心肌组织;生物相容性良好,有利于内皮覆盖;并在完成封堵使命后逐步降解,不永久留存体内,有助于降低术后头痛相关风险。术后封堵器形态位置良好,盘面贴合紧密,稳固夹持缺损。术后1个月随访超声提示封堵器位置固定、形态完整,患者自述头痛症状已显著缓解。
感谢黄冈市中心医院陈少泽主任、童子嘉副主任的病例分享
参考文献:
1. 张茴燕,殷小平. 偏头痛与房间隔缺损关系的研究进展 [J]. 中风与神经疾病杂志, 2017, 34 (02): 186-188. DOI:10.19845/j.cnki.zfysjjbzz.2017.02.018.
专家简介


-END-

扫码观看可降解学苑精彩内容
-END-
专业的心血管医生学术交流平台


版权及免责声明:
本网站所发表内容知识产权归属医谱平台、主办方以及原作者等相关权利人,未经许可,禁止进行复制、传播、展示、镜像、转载、摘编等。经授权使用,须注明来源,否则将追究其法律责任。有关作品内容、版权和其他问题请与本网联系
发表留言
暂无留言
输入您的留言参与专家互动