全国首批!首都医科大学附属北京安贞医院成功开展冠脉功能学全面评估解决方案(IMR/FFR等)的临床应用
冠脉功能学全面评估解决方案(IMR/FFR等)为心绞痛伴非阻塞性冠状动脉疾病(ANOCA)以及缺血伴非阻塞性冠状动脉疾病(INOCA)患者,阻塞性冠状动脉疾病合并冠脉微血管疾病(CMD)高危因素如女性、糖尿病、高血压、高血脂、肥厚型心肌病等患者,STEMI等ACS合并CMD高危因素患者的精准诊断提供了更加便捷、安全和高效的检测方法。通过全面评估“大血管+微循环”,能够指导临床进行更加精准的冠心病诊疗,改善患者长期预后与生活质量,并降低医疗保健负担。
随着冠脉功能学全面评估解决方案(IMR/FFR等)的重磅发布,其在全国多家临床中心的首批应用也正如火如荼的开展,切实助力术者高效决策。
近期,首都医科大学附属北京安贞医院高海教授团队成功完成全国首批冠脉功能学全面评估解决方案(IMR/FFR等)的临床应用,为多位冠心病患者实施精准PCI诊疗与个体化用药方案的制定,有效改善患者预后,为冠心病精准诊疗实践提供了具有示范意义的临床范例。
CASE 01
冠脉功能学全面评估
精准识别
ACS急诊PCI术后CMD一例

病例信息

性别:男
年龄:36岁
病史简介:患者5小时前无明显诱因出现胸痛,位于胸骨后,呈绞痛,范围手掌大小,程度剧烈,无放射痛,症状呈持续性,未见缓解,伴大汗。查心电图提示下壁心肌梗死,考虑急性下壁心肌梗死,建议立即血运重建。
术前诊断:1.急性下壁心肌梗死;2.高血压病3级(极高危)。
冠脉功能学全面评估
患者急性下壁心肌梗死诊断明确,行急诊冠脉造影同期介入,同时考虑到急性冠脉综合征(ACS)患者极易发生冠脉微血管疾病(CMD),于PCI术后即刻应用冠脉功能学全面评估解决方案(IMR/FFR等)以精准筛查CMD。
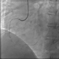
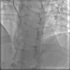
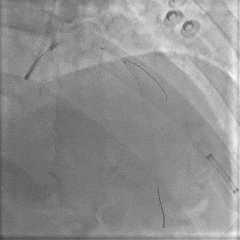
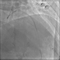
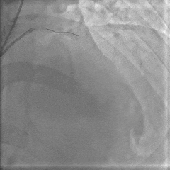
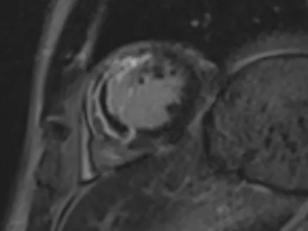
冠脉造影提示:左主干未见狭窄;左前降支近段局限性狭窄50%,中段最重狭窄40%,TIMI血流3级;回旋支无狭窄;右冠状动脉近中段可见弥漫性中度钙化,TIMI血流3级,最重狭窄70%;右冠状动脉远段TIMI血流0级,最重狭窄100%。
根据心电图及临床症状,结合冠脉造影结果考虑右冠脉为罪犯血管,决定开通右冠脉闭塞病变。
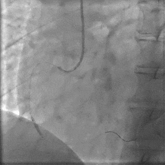
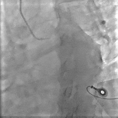
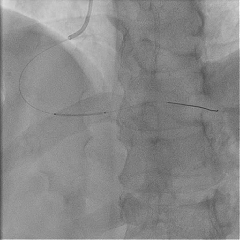
介入治疗过程:将导丝通过右冠脉中远段闭塞病变送至血管远端,送入血栓抽吸导管抽吸出红色血栓,使用球囊对病变处进行预扩张,造影示闭塞病变开通,OCT观察闭塞病变处可见红色血栓及斑块破裂,最小面积3.35mm2。后成功于病变处放置3.0×18mm药物洗脱支架一枚,造影示支架定位良好,未见明显夹层,OCT观察支架贴壁良好,支架内无血栓及夹层影,远端血流TIMI 3级,最小管腔面积5.59mm2。
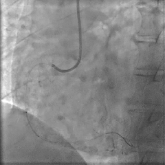
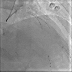
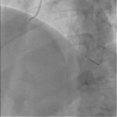
PCI术后即刻将压力导丝送至RCA远端,测得RCA IMR 63(+),FFR 0.94,表明RCA存在CMD。
药物优化方案:采用双联抗血小板治疗(阿司匹林+替格瑞洛),以及包括β受体阻滞剂(降低心肌耗氧,改善舒张期灌注)、他汀类药物(改善内皮功能)等的联合用药方案[1-2]。
冠脉造影:




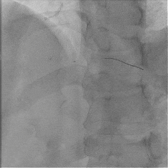
介入过程:




冠脉功能学全面评估:

▶ RCA IMR 63(+),FFR 0.94。
病例小结

本例患者急性下壁心肌梗死,高血压病3级(极高危),为CMD高风险人群,紧急行PCI开通罪犯血管闭塞病变后,于PCI术后即刻应用冠脉功能学全面评估解决方案(IMR/FFR等)进行IMR检测,精准诊断出CMD。后续除双联抗血小板治疗外,针对性给予CMD的一线治疗药物[2]:β受体阻滞剂降低心肌耗氧,改善舒张期灌注,他汀类药物改善内皮功能,经治疗患者症状好转出院。目前患者预后良好,定期复查。
专家点评

高海 教授
CMD广泛存在于急性冠脉综合征中,发病机制复杂,与多种因素相关,如微循环栓塞及痉挛、缺血/再灌注损伤、缺乏缺血预适应及个体化差异(吸烟、糖尿病、高血压、高血脂;靶病变血管直径大、病变复杂程度高、侧支循环差、存在高血栓负荷;斑块负荷重等)[3]。其中急诊PCI各种介入操作引起的微小血栓或者斑块碎屑脱落等均可能导致CMD的发生,临床要进行充分预判,并积极干预。
▶ 合并下列因素的急诊PCI患者,应更加关注术后CMD:


崔贺贺 教授
就术中操作体会而言,现在有了冠脉功能学全面评估解决方案(IMR/FFR等),PCI术后即刻就能使用单根压力导丝完成IMR等关键指标的检测,操作方便、快捷、高效,为CMD的早期精准诊断提供了有效工具,对于改善ACS患者的长期预后也具有重要意义。
CASE 02

冠脉功能学全面评估
精准指导急诊PCI术后
患者微循环功能改善一例

病例信息

性别:男
年龄:52岁
主诉:间断胸痛8年,加重1月余。
冠脉功能学全面评估
患者8年前无明显诱因出现胸痛,位于心前区、胸骨后,呈闷痛,范围手掌大小,程度较轻,无放射痛,持续约数分钟,休息后约3-5分钟可完全缓解,未系统治疗。
◾ 首次入院:
12小时前患者再发胸痛,伴大汗,持续不缓解,自觉症状较前加重,后就诊于当地医院,诊断为急性心肌梗死,行溶栓治疗(具体用药不详),症状较前好转,转至我院行急诊冠脉造影同期介入。
冠脉造影提示:左前降支近中段最重狭窄程度95%,钝缘支a最重狭窄80%,后侧支最重狭窄90%。于左前降支行介入治疗。




介入治疗过程:使用球囊预扩张后,成功于病变处植入2.25×20mm药物洗脱支架一枚,造影示支架定位良好,进行球囊后扩,术后IVUS检查示支架贴壁良好,支架边缘未见明显夹层血肿。




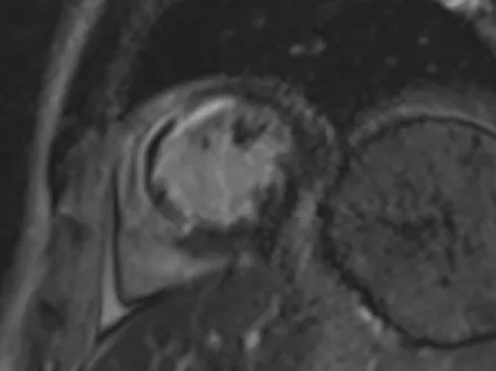
PCI术后即刻应用基于压力导丝的冠脉功能学全面评估解决方案(IMR/FFR等)进行全面评估,测得LAD IMR 46(+),FFR 0.87,提示存在CMD。心脏磁共振结果也提示存在微血管阻塞。


◾ 1个月后行择期PCI:
择期处理后侧支,并应用冠脉功能学全面评估解决方案(IMR/FFR等)进行左前降支IMR等的复查,测得LAD IMR 32(+),FFR 0.86,提示LAD仍存在CMD,但IMR值较前下降。




冠脉功能学全面评估:
◾ 首次入院
▶ LAD IMR 46(+),FFR 0.87。

▶ LAD IMR 32(+),FFR 0.86。
病例小结

本例患者因急性心肌梗死首次入院,急诊PCI术后即刻应用冠脉功能学全面评估解决方案(IMR/FFR等)进行IMR检测,CMD诊断明确,优化后续用药方案,除双联抗血小板治疗外,予以降低耗氧、改善舒张期灌注的琥珀酸美托洛尔缓释片、改善内皮功能的瑞舒伐他汀钙片(CMD一线治疗用药)[2]等药物联合治疗。1个月后患者行择期PCI,并于术后即刻应用冠脉功能学全面评估解决方案(IMR/FFR等)复查IMR等关键指标,结果显示IMR值明显降低(46→32),说明其微循环功能得到有效改善,继续予双联抗血小板和改善微循环药物治疗,目前患者预后良好,定期复查。
专家点评

祖晓麟 教授
现有临床证据表明,ACS患者合并CMD会增加其远期不良事件风险。对该类患者行急诊PCI,术后即刻进行IMR等的检测,意义重大:1.可精准评估微循环功能。IMR是当前微循环评估指南I类推荐的“金标准”[4],可精准评估术后微血管是否通畅,确保心肌再灌注。2.预测再住院率,远期不良事件风险及心功能恢复情况。研究显示,PCI术后复发心绞痛的患者中,异常IMR的患者比例更高[5]。此外有研究指出,STEMI病人开通罪犯血管后,IMR≤40的患者预后显著优于IMR>40的患者[6-8]。存在CMD的STEMI患者预后更差,缺血后CMD预测的长期不良事件风险(全因死亡、新发心衰、心脏骤停等)增加超过4倍,主要归因于心衰明显增加[9]。3.指导个体化治疗策略。对于CMD患者,可针对性予β受体阻滞剂、他汀类药物等一线用药[2]进行治疗,以改善患者预后。4.术后随访评估治疗效果。在术后随访过程中,测定IMR等关键指标可动态监测患者微循环功能变化情况,评估治疗措施的有效性。
Kaplan-Meier生存曲线图[6]


(A)心源性死亡(主要终点);(B)心源性死亡或因心力衰竭住院的复合终点

公绪合 教授
从临床实践来看,基于压力导丝的冠脉功能学全面评估解决方案(IMR/FFR等)作为目前指南中唯一I类推荐的“金标准”[4],为CMD诊断提供了科学、精准、可重复的评估工具,为后续个体化治疗策略的制定提供了坚实依据,具有独特的临床价值。相信该技术未来将在更广泛的临床场景中发挥重要作用。
▲上下滑动查看
冠脉功能学全面评估解决方案(IMR/FFR等)
冠脉功能学全面评估解决方案(IMR/FFR等)采用最先进的功能学平台,搭配集成温度传感器和压力传感器的无线压力导丝,通过单根压力导丝即可实现IMR、CFR、FFR、Pd/Pa、RFR(静息全周期比值)、Q(绝对流量)、R(绝对阻力)等全方位功能学参数的精准测量。
此外,该平台的智能化特点尤为突出,能够兼顾日常临床实践和科研需求:
1.结果矩阵功能将复杂数据简化为直观矩阵,帮助临床医生快速决策;
2.常规与高级双显示模式灵活切换,满足不同使用场景的需求;
3.配备多种测量模式和回顾模式,并支持多种数据导出格式和自动化数据管理,兼顾临床与科研。

专家简介

冠心病中心副主任兼冠心病中心七/八病区主任兼医务处副处长,主任医师,医学博士。
国家卫健委冠心病介入诊疗培训基地导师,中国老年学与老年医学学会转化医学分会常委,中国老年保健协会常委;中国老年保健协会心血管疾病预防与康复专业委员会常委,北京市慢性病防治与健康教育研究会心血管病学分会常委,北京医师学会远程会诊分会常委,北京医学会心血管危重症学组常委;中国医疗保健国际交流促进会胸痛分会委员。
从医近30年,主攻冠心病介入治疗20余年,擅长复杂高危冠心病患者的介入治疗,带领科室团队承担北京安贞医院急性心肌梗死绿色通道的救治任务,并在国内率先开展血栓抽吸联合准分子激光消融等新型技术治疗急性心肌梗死中的高血栓负荷病变,以“减少植入” 为技术特色,在急性心肌梗死的介入治疗中独具一格;擅长在OCT/IVUS指导下综合应用旋磨、准分子激光、冲击波球囊等预处理技术治疗冠脉复杂钙化病变,以及准分子激光治疗静脉桥血管病变、支架膨胀不良、支架内再狭窄等冠脉复杂病变。
在国内外发表SCI收录学术论文60余篇,参编专著10余部;作为主要研究者主持多项新型医疗器械的上市前临床研究。

首都医科大学附属北京安贞医院冠心病中心七区主任助理,心血管内科主任医师,结业于美国桑福德大学健康科学学院,研修于美国普林斯顿普林斯顿Baptist医学中心-治疗性血管再生医学研究中心,世界中医药学联合会急症专业委员会理事,中国老年医学学会共病精准诊疗分会第一届委员会委员,中国老年保健医学研究会心血管病分会青年委员,第二届河南招才引智创新发展大会特邀引进人才,在20余年的心血管疾病介入工作中,独立完成PCI过万例。参与多项科研工作,以第一作者发表SCI学术文章数篇。

医学博士,北京安贞医院心内科冠心病七病区副主任医师,中国科促会博士智库医学工作专委会委员,北京市围手术期医学研究会心血管远程专业委员会委员;克利夫兰医学中心冠脉介入访问学者;年均介入手术量一千余台,专攻复杂冠心病介入手术及综合治疗,尤其是在冠状动脉旋磨、微循环保护、冠脉腔内影像学与功能学方面。
主持负责国家自然科学基金、北京优秀青年人才项目等多项课题,发表SCI期刊论文及核心期刊论文多篇,个人手术病例、研究结果多次于国际会议上如美国心脏病学院年会ACC、欧洲心脏病学会ESC,Euro-PCR,TCTAP、AHA分享交流,参译多本专业书籍如《克利夫兰心内科手册》、《急诊心脏图谱》、《冠脉狭窄与微循环生理学评价》、《冠状动脉影像与生理学》、《血脂代谢异常》等。

医学博士,首都医科大学附属北京安贞医院,心内科副主任医师,中国老年保健协会智慧医养专业委员会委员,主要方向复杂冠心病介入治疗与心血管代谢研究。
北京市医院管理中心“青苗”人才,主持代谢紊乱相关心血管疾病北京市重点实验室课题,北京市医院管理中心“培育”计划课题。第一作者SCI论文10余篇,参译多本专业书籍如《急诊心脏图谱》、《冠脉狭窄与微循环生理学评价》、《冠状动脉影像与生理学》等。受邀参加国际会议(ACC,ASC,长城会,中华医学会心血管年会)。
· END ·
专业的心血管医生学术交流平台


版权及免责声明:
本网站所发表内容知识产权归属医谱平台、主办方以及原作者等相关权利人,未经许可,禁止进行复制、传播、展示、镜像、转载、摘编等。经授权使用,须注明来源,否则将追究其法律责任。有关作品内容、版权和其他问题请与本网联系
发表留言
暂无留言
输入您的留言参与专家互动