反流新“瓣”法|武汉大学人民医院江洪、余锂镭、黄兵教授团队ScienCrown治疗主瓣纯反流单中心经验
对于单纯主动脉瓣反流(pure aortic valve regurgitation, PAR),由于瓣环和左心室流出道扩张,瓣膜无钙化点,舒张期强大的血流冲击力,所以手术过程中容易出现植入瓣膜锚定困难和移位。2025 《ESC 瓣膜性心脏病管理指南》 主动脉瓣反流首次被列为适应症,国内外学者使用已上市的TF-TAVR瓣膜以“off-lable”方式治疗AR患者,也证实其为一条可行路径。

近期武汉大学人民医院江洪、余锂镭、黄兵教授团队结合自身团队经验使用ScienCrown“全释放/全回收”自膨短瓣,累计完成多例单纯反流TAVR手术,瓣环平均周长径24.05mm(21.6mm-25.9mm),LVOT平均周长径25.56mm,大部分病例均为敞口型流出道,人工瓣膜平均oversize 12.36%,均为单瓣完成,无一例瓣中瓣事件。黄兵教授表示:在单纯反流病例中,由于其解剖特点,瓣膜的稳定性一直是手术成功的关键。新的器械带来新的选择,ScienCrown这款瓣膜直筒型瓣架可以在主动脉根部多阶段参与锚定,瓣膜oversize选择无需过大;同时“全释放/全回收”的特性,能够更充分的评估瓣膜的稳定性,确保瓣膜的精准植入。
精析病例Ⅰ
73岁,男性,STS score 7.56%
活动后气短3年,加重半年(NYHA Ⅲ级)
既往:高血压、糖尿病、冠心病(已完全血运重建)
超声所见
-
升主动脉扩张AAO 47mm
-
主动脉瓣可见重度反流 VC=8.2mm,EROA=0.45cm,RV=64m1
-
左心大 LVDD 58mm、室壁运动普遍减低,左室收缩功能减低 EF值=42%

主动脉根部测量

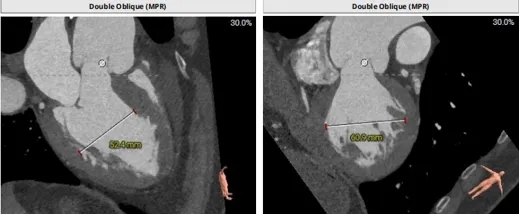
周长74.4 周长径23.7

周长83 周长径26.4

42.4mm&41.1mm&46.5mm

周长147.2 周长径46.9

周长146.5 周长径46.7

心脏角度:53°
瓣上结构测量

周长77.3 周长径24.6

周长82.8 周长径26.4

周长92.8 周长径29.5

周长98.2 周长径31.3
-
纯反流三叶瓣
-
敞口流出道
-
瓣上结构逐渐增大,无多平面锚定
-
STJ及升主可见明显扩
冠脉风险评估
Left Coronary 8.0mm
Right Coronary 18.7mm




Left Ventricular

-
左冠开口较低,结合瓦氏窦大小,预估冠脉风险相对较低
-
收缩期大左室,典型关闭不全引起的心室扩张
-
升主扩张扭转,瓣膜同轴性较差
外周入路评估


-
血管轻微迂曲
-
腹主可见钙化斑块
-
血管内径充足
-
主动脉弓平缓
-
非横位心
-
麻醉方式:全身麻醉
-
冠脉风险:低
-
球囊扩张策略:不预扩
-
瓣膜型号:ScienCrown TAVTF27mm(oversize13.92%)
-
入路选择:右侧股动脉主入路,超硬导丝支撑下植入大鞘
-
手术操作:该患者仅瓣环段可提供锚定力,且患者升主存在明显扭转,术中需充分确保瓣膜轴向,切勿提拉输送器,保证导丝张力,同时瓣膜需精准定位,0位附近释放,确保瓣膜在瓣环位置锚定。在瓣膜完全展开后需多角度评估,观察瓣膜的形态及位置,确保稳定后再行脱钩释放。

初始造影确定无冠窦

瓣膜释放过程(可见窦部扭转带来的异常轴向)

完全释放瓣膜左右重叠下评估位置

左冠切线位下立体评估左冠深浅

瓣膜脱钩
瓣膜释放技巧:
1.释放时与长瓣架不同,不建议轻易提拉输送系统,会导致无窦左窦深浅偏差过大,影响瓣膜锚定和封堵
2.脱钩时需要释放导丝张力,同时主刀术者应轻顶输送系统
3.脱钩后在升主回收挂钩,再退回降主动脉关闭系统

脱钩后造影
瓣膜无位移

撤出猪尾造影
无窦深约1mm

最终近左冠切线位造影,左窦深约5mm
精析病例Ⅱ
78岁,男性,STS score 4.25%
间断头晕1年
高血压、糖尿病、冠状动脉粥样硬化
超声所见
-
升主动脉扩张AAO 42mm
-
主动脉瓣可见重度反流,VC=6.5mm,EROA=0.32cm,RV=69ml
-
左心大LVDD 58mm、左室收缩功能尚可 EF值=55%

主动脉根部测量

周长75.8 周长径24.1

周长81 周长径25.8

36.6mm&36.5mm&41.9mm

周长108.5 周长径34.5

周长115.6 周长径36.8

心脏角度:58°
瓣上结构测量

周长77.3 周长径24.6

周长80.6 周长径25.7

周长83.6 周长径26.6

周长87.7 周长径27.9
-
纯反流三叶瓣
-
敞口流出道
-
瓣上锚定空间有限
-
左窦异常扩大
-
STJ及升主略微增宽
冠脉风险评估
Left Coronary 3.9mm
Right Coronary 17.1mm




Left Ventricular

-
左冠开口较低,,结合瓦氏窦大小,预估冠脉风险相对较低
-
收缩期大左室,典型关闭不全引起的心室扩张
-
近横位心,同轴性偏差
外周入路评估


-
血管轻微迂曲
-
腹主髂动脉可见钙化斑块
-
血管内径充足
-
主动脉弓稍陡
-
麻醉方式:全身麻醉
-
冠脉风险:低
-
球囊扩张策略:不预扩
-
瓣膜型号:ScienCrown TAVTF27mm(oversize12.03%)
-
入路选择:右侧股动脉主入路,超硬导丝支撑下植入大鞘
-
手术操作:该患者流出道敞口型,流出道无锚定力,需充分利用瓣上空间参与锚定,瓣膜需0位附近释放,术中通过顶导丝等操作保证瓣膜同轴性,当瓣膜完全展开后,多角度评估其稳定性

初始造影确定无冠窦

瓣膜稳定释放至全展开,无明显下滑,位置稳定

完全释放瓣膜左右重叠下评估位置无窦位于0位

左冠切线位下立体评估左冠深浅左窦约瓣下3mm

导丝卸张力,轻顶输送器无张力脱钩

脱钩后造影,无窦近0位
总结
在这几例针对单纯主动脉瓣反流(PAR)的TAVR手术实践中,江洪、余锂镭、黄兵教授团队基于丰富的临床经验,结合患者个体化解剖特点,精准制定手术策略,成功运用ScienCrown瓣膜完成多例高难度手术。术者强调,在PAR病例中,瓣膜稳定性是手术成败的关键,尤其在处理敞口型流出道、升主动脉扩张等复杂解剖结构时,需注重术中同轴性调整与释放技巧,避免过度提拉输送系统,充分利用瓣膜“全释放/全回收”特点,多方面评估,确保瓣膜精准锚定。
国产创新自膨短瓣Sciencrown在PAR中的核心优化:
短瓣架设计:短瓣架设计,更短的释放行程,快速锚定贴靠
直筒型设计:直筒形态,多节段参与锚定,提供更平衡的径向支撑力
双层裙边设计:PET内外双裙边设计,提供更大摩擦力,保障瓣膜稳定
全释放/全回收设计:100%全展开,瓣膜整体参与锚定,评估更精准更安心
预弯型设计:瓣膜装载后胶囊段自带30°弯型,瓣膜释放过程更同轴
管榫挂钩设计:12个挂钩设计,逐一释放,分散脱钩张力,实现零张力脱钩
专家简介



-END-
专业的心血管医生学术交流平台


版权及免责声明:
本网站所发表内容知识产权归属医谱平台、主办方以及原作者等相关权利人,未经许可,禁止进行复制、传播、展示、镜像、转载、摘编等。经授权使用,须注明来源,否则将追究其法律责任。有关作品内容、版权和其他问题请与本网联系
send a message
暂无留言
输入您的留言参与专家互动