23.9mm大型房缺 | 可降解封堵器成功治疗主动脉侧无缘ASD一例
近日,南宁市第三人民医院樊志勇、周尔能教授团队采用MemoSorb可降解封堵器,成功为一例缺损直径达23.9mm的较大房间隔缺损(ASD)患者完成介入封堵。该病例不仅缺损直径大,且主动脉侧边缘完全缺如,对封堵器的稳定性与形态适配性提出极高要求。可降解封堵器凭借其优异的顺应性与夹持力,稳定夹持在缺损两侧。术后影像评估显示封堵器位置稳定,呈Y字型抱住主动脉,无残余分流。进一步验证可降解封堵器可安全、有效封堵较大型房缺。
患者信息
性别:女
年龄:27岁
主诉:胸痛一月余
现病史:患者自诉1月余前开始无明显诱因下反复出现胸痛,为心前区闷痛不适伴有心悸,无气促,无压榨感,无出冷汗;无畏寒、发热、咳嗽、咳痰,无恶心呕吐、反酸、嗳气,无黑朦、晕厥。症状经休息后可稍缓解,病后到外院就诊治疗,完善心脏彩超检查结果提示为先天性心脏病房间隔缺损,建议其行手术治疗,患者现为进一步诊治于我院门诊就诊,拟诊为“先天性心脏病房间隔缺损”收入我科住院治疗。自发病以来,患者精神、睡眠、食欲尚可,大小便正常,体重无明显改变。
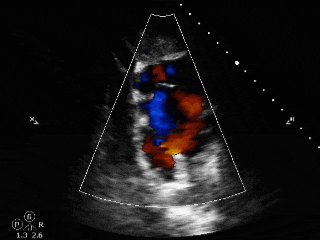
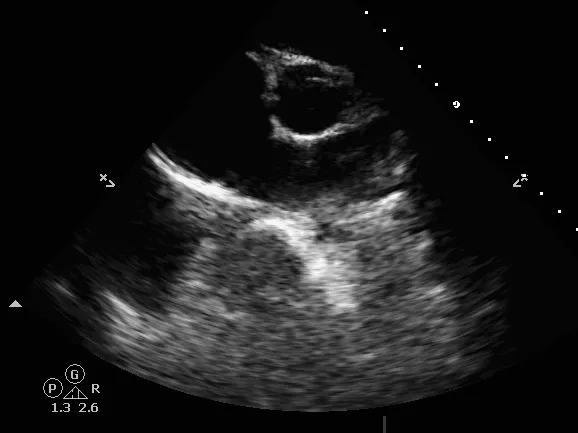
术前超声
超声描述:右房室较大,左房室不大。房间隔中部可见中断,约14x16mm。缺损边缘较硬,二尖瓣侧缘、后上缘分别为16mm、8mm,主动脉侧缘、后壁缘分别为0mm、10.7mm,上、下腔静脉侧缘分别为16、14mm。十字交叉存在。房间隔长度43mm。M型二尖瓣呈双峰,前后叶逆向,E-E间距相等。
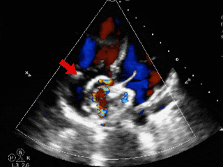
CDFI:房水平可见一股红色彩流由左房经缺口进入右房。主动脉瓣下左室流出道探及微量舒张期反流信号。三尖瓣口右房侧探及微量收缩期反流信号,Vp 2.7m/s,PG 29mmHg。二尖瓣口左房侧探及微量收缩期反流信号。



超声提示:
-
先天性心脏病。
-
房间隔缺损(继发孔型)。
-
左心收缩功能在正常范围。
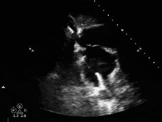
术中复测


超声可见房间隔连续中断,彩色多普勒可见过隔血流


测量房间隔缺损直径最大为23.9mm,房间隔总长53.8mm
临床策略
选伞考量:继发孔型型房间隔缺损,房间隔中部连续中断14x16mm,二尖瓣侧缘、后上缘分别为16mm、8mm,主动脉侧缘、后壁缘分别为0mm、10.7mm,上、下腔静脉侧缘分别为16、14mm。CDFI示房水平左向右分流。术中复测缺损最大直径23.9mm。综合考量选择BDASD-I 30封堵器,配16F鞘管施行介入封堵。
术式入径:DSA联合经胸超声心动图,在局麻下进行经皮介入封堵术。
术中操作
送入鞘管

鞘管配合导丝顺利通过缺损
左盘展开


左盘展开后牵拉成型线使盘面成型,后撤鞘管和钢缆,使封堵器左盘贴靠房间隔
右盘展开


随后固定钢缆不动,回退鞘管,右盘展开
成型


牵拉成型线使得封堵器双盘扣合住间隔
封堵器骑跨于缺损左右两侧
锁定


鞘管抵住封堵器后,前顶钢缆,
助手固定钢缆和鞘管,牵拉成型线锁定
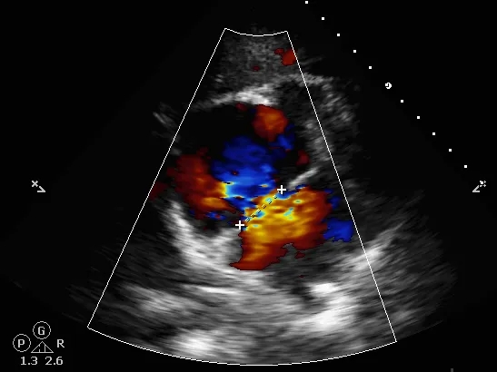
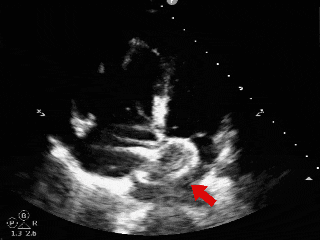
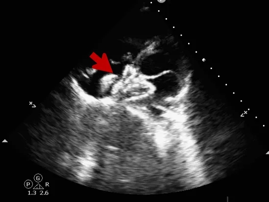
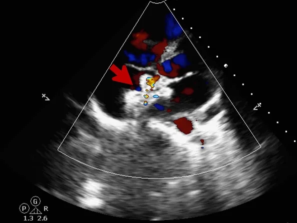
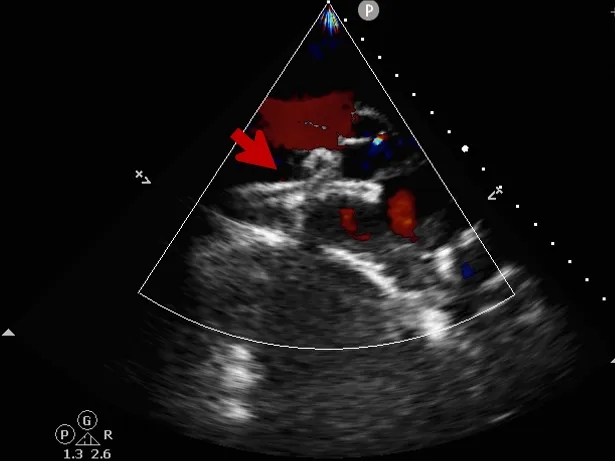
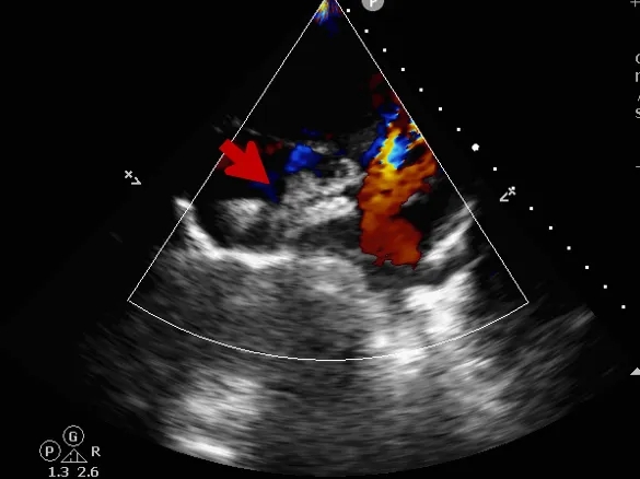
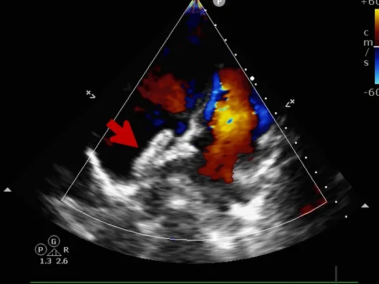
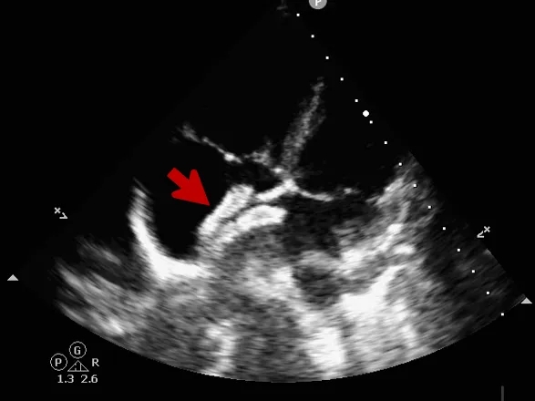
锁定后评估


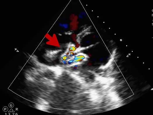
心尖四腔心切面可见封堵器形态良好
主动脉短轴切面可见封堵器呈“Y”字型抱住主动脉


彩色多普勒血流成像显示无残余分流存在
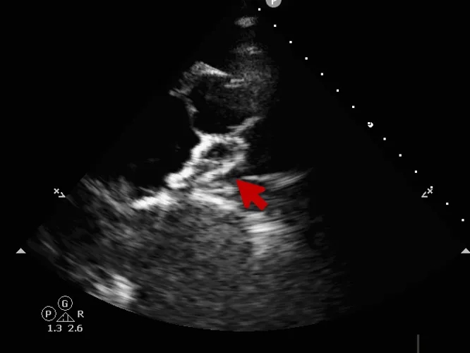
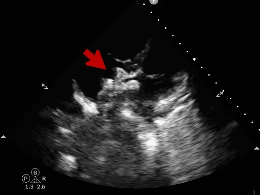
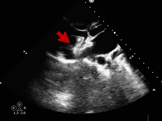
封堵器释放


撤出钢缆释放封堵器
超声下可见封堵器形态良好,封堵成功
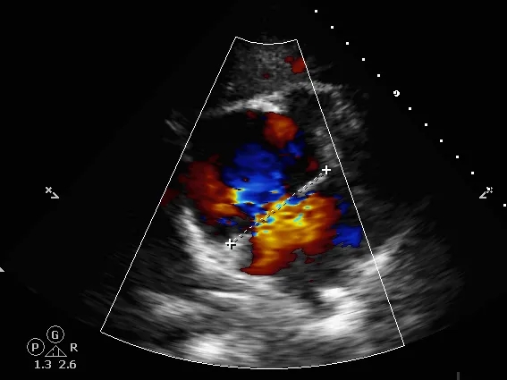
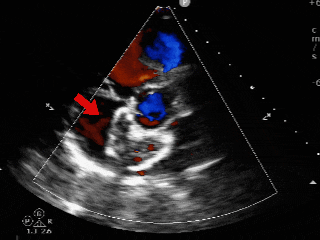
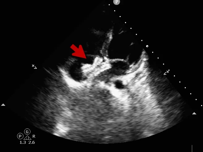
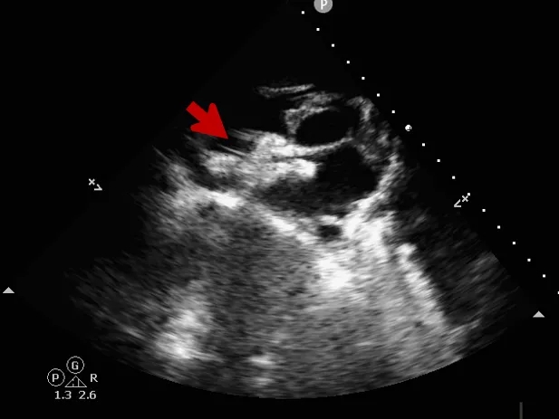
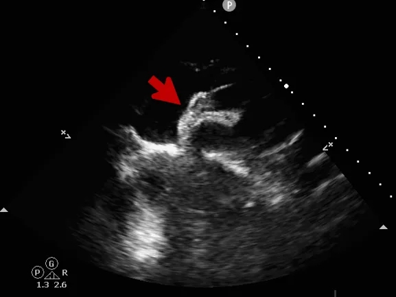
释放后评估


封堵器位置正确、形态良好
彩色多普勒血流成像显示无残余分流存在
封堵成功
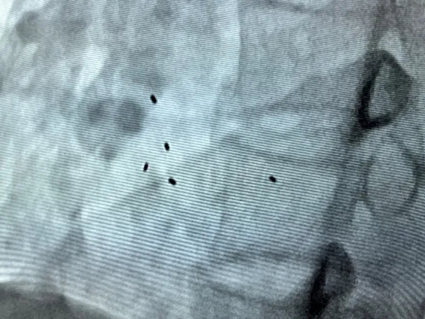
释放后评估

DSA下观察5个显影点聚集
整体移动不变形,封堵成功
术后总结
本病例患者为27岁女性,确诊为继发孔型房间隔缺损(ASD)。术前超声提示缺损约14×16mm,经胸超声心动图动态评估,实测缺损最大伸展直径达23.9mm,位于房间隔中部,且主动脉侧缘完全缺如(0mm)。CDFI示房水平左向右分流,右心容量负荷增加(右房室扩大)。
考虑到缺损紧邻主动脉根部,为避免后期组织磨损风险,需选用具备高顺应性、能良好贴合局部解剖的封堵装置。结合术中实测数据及解剖特点,最终选用BDASD‑I 30可降解封堵器完成封堵。该封堵器具有良好的柔韧性与组织相容性,可降低对主动脉根部的压迫风险;降落伞式成型锁定设计,结合二尖瓣侧及上下腔静脉侧充足的边缘支撑,即使在直径超过20mm的大型缺损中仍能实现稳定夹持,有效降低移位风险。
此外,该封堵器在术后将逐步降解,最终仅留下自体修复组织,恢复自然房间隔结构,实现“介入无植入,植入无残留”的远期效果,尤其适合有未来妊娠计划的年轻女性,可避免金属封堵器可能带来的血栓形成、金属过敏、影像干扰等长期隐患,降低潜在对左心介入操作的阻碍。
对于此类大型ASD合并主动脉侧无残缘的复杂解剖病例,可降解封堵器凭借其优异的柔韧性、自适应贴合能力及可降解特性,在实现稳定封堵的同时,有效规避了长期风险,是兼顾近期效果与远期安全的优选方案。
感谢南宁市第三人民医院樊志勇、周尔能教授团队的病例分享
-END-

扫码观看可降解学苑精彩内容
-END-
专业的心血管医生学术交流平台


版权及免责声明:
本网站所发表内容知识产权归属医谱平台、主办方以及原作者等相关权利人,未经许可,禁止进行复制、传播、展示、镜像、转载、摘编等。经授权使用,须注明来源,否则将追究其法律责任。有关作品内容、版权和其他问题请与本网联系
发表留言
暂无留言
输入您的留言参与专家互动