可降解病例大赛优秀病例 | 解锁“紧箍咒”:一例儿童PFO合并偏头痛的治愈之路
在2025年MemoSorb可降解封堵器病例创新大赛中,上海市第七人民医院章伟教授分享了一例11岁顽固性先兆偏头痛患儿生物可降解PFO封堵术。患儿头痛反复发作5年,药物治疗效果不佳,严重影响学习与生活。经MDT联合会诊后,该患儿明确存在PFO封堵术指征,遂应用MemoSorb可降解封堵器进行PFO封堵,术后无再发偏头痛,自述“宛若新生”。6个月随访封堵器位置良好,无残余分流,且患儿头痛持续无复发,生活质量显著改善。可降解封堵器在有效封堵同时完美契合儿童患者生长发育和心理双重需求,为患者提供了全新诊疗路径。
患者信息
患者信息:11岁男性
主诉:反复头疼5年。
病史:六岁开始头痛,首次出现于游泳哭闹之后,至今持续5年,频繁出现头疼,发作频率稳定,平均间隔三天一次。头痛症状:右耳颞部固定痛,伴哈欠、乏力、呕吐、畏寒,严重时麻木,持续8-24小时。头痛诱因:易在哭闹,运动(运动后脸色紫绀状),食用反季节蔬果及饮料蛋糕(含阿斯巴甜类)等情况下发生。头疼前30分钟,头部有沉闷感,眼角有波纹。
诊疗经过
2021年3月:
-
头颅MRI、MRA、MRV均未见异常,诊断为先兆偏头痛。
-
给予口服药物氟桂利嗪治疗,无预防效果,发作时服用布洛芬止痛。


2022年3月:
TCD检查:
-
发泡试验阳性五级。(呈“雨帘状”)
-
右向左分流为“固有型”,瓦氏动作可以增加分流量。

右心声学造影:不标准瓦式动作显示多个周期后出现微泡。

肺动脉CTA:未见动静脉瘘。

外院曾尝试为该患儿行PFO封堵术,术中多次反复尝试6F MPA导管通过卵圆孔,均无法顺利通过。
诊断:先兆偏头痛、PFO可疑。
治疗:丙戊酸、阿米替林(均无效)、阿司匹林/氯吡格雷(基本无效)。
2024年12月:
颅脑MRI+脑电监测均未见异常


2024年12月:
标准Valsalva:即刻可见微泡(中等量)

经胸右心声学造影:静息状态下,左侧肘静脉注射激活生理盐水(10ml),右心显影后,左心内未见明显微气泡,行Valsalva动作后右房增压状态,注射激活生理盐水(10ml),5秒后右心显影,左心内即刻出现10-15颗微气泡。
临床策略
-
患儿因偏头痛症状严重,药物治疗无明显预防和改善症状,已对日常生活及学习造成严重影响。经MDT联合会诊,评估认为该患儿具备行PFO封堵术的指征。经过与家长充分沟通手术风险及预后之后,家长坚持手术治疗,并要求选择可降解封堵器。
-
经过全面考量,最终选择MemoSorb BDPFO-I 1818可降解封堵器,搭配12F可降解封堵器输送系统实施介入封堵。
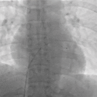
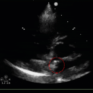
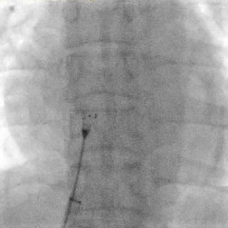
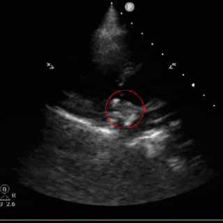
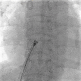
手术过程
轨道建立


超滑导丝过卵圆孔
MPA导管过卵圆孔

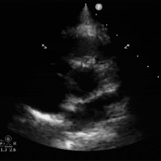
超声下鞘管通过卵圆孔
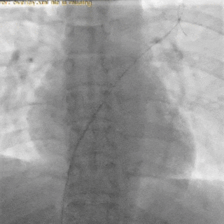
左盘展开


左盘展开
输送系统整体回撤使左盘贴靠房间隔
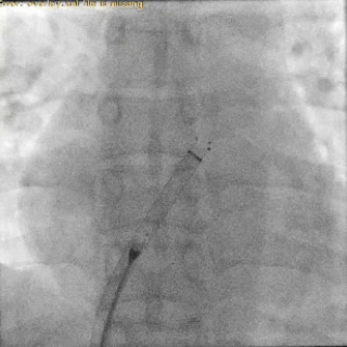
牵拉试验


牵拉试验封堵器整体移动不变形
锁定后封堵器呈工字型
释放封堵器


DSA下封堵器完全释放后形态
封堵器释放后双盘紧贴间隔
术后随访
术后心超随访:心脏各房室结构及室壁厚度正常,室壁运动协调,升主动脉及肺动脉内径无异常;房间隔封堵器位置稳定,CDFI证实心房水平未见残余分流。各瓣膜形态及启闭功能正常,未探及明显反流。
心电图未提示心律失常或相关并发症。
术后患者头痛症状缓解(自述"宛如重生"),此结果提示封堵器植入成功,头痛症状改善显著。


术后未见明显心律失常发作,无其他并发症发作
术后6个月随访:
超声所见:
各房室腔内径正常范围:房间隔可见封堵器强回声,位置固定;室间隔与左室后壁不厚,呈逆向运动,运动幅度正常;升主动脉内径正常,主肺动脉内径不宽。各瓣膜形态回声正常;
CDFI:房水平未见明显分流信号。心尖四腔心切面流入道呈红色血流束,流出道呈蓝色血流束;频诺多普勒显示,各瓣口均呈层流频谱。
心包腔内未见明显游离液性暗区。
超声提示:
卵圆孔未闭封堵术后
目前心内结构及功能未见明显异常
患儿自述偏头痛症状基本消失,仅偶有轻微头懵,无其他明显不适,生活及学习恢复正常。

讨论总结
患者为11岁男性,频繁出现头痛、发作频率稳定,病程长达5年且药物治疗无效。经多学科综合治疗协作组(MDT)会诊及系统评估,最终确诊为“先兆性偏头痛合并卵圆孔未闭(PFO)”。本案例提示,在儿童群体中,偏头痛与PFO的共病现象需引起重视,特别是对于常规药物治疗反应不佳、神经影像学未见器质性病变的顽固性头痛,应积极完善发泡试验及超声心动图评估心源性病因。
根据《中国偏头痛诊治指南(2022版)》与《卵圆孔未闭相关非卒中性疾病防治中国专家共识》,对于常规药物治疗无效的难治性偏头痛患者,若存在先兆症状、中大量右向左分流等高危特征,并经综合评估认为PFO封堵获益高于风险,可考虑行封堵治疗。本例患儿头痛频繁、已严重影响学习生活,且药物治疗效果不佳,诊断为先兆性偏头痛。经MDT讨论,并为避免金属封堵器对儿童心脏发育的潜在影响,最终决定采用可降解卵圆孔未闭封堵术。术后患儿头痛症状完全缓解,自述“宛如新生”,术后6个月随访显示,封堵器位置固定,房水平无明显分流,经多次随访询问,患儿头痛症状持续无复发,生活质量显著改善,目前已回归正常的学习生活。
本例表明,对于符合指征的难治性偏头痛合并PFO的儿童,经严格评估后行可降解PFO封堵术可获显著疗效。可降解封堵器在完成内皮化后逐步降解,可避免金属器械长期留存可能带来的组织磨损、金属疲劳及发育限制等问题,为生长发育期患儿提供了更优选择。未来,期待更多儿童偏头痛合并PFO的循证研究,解除“紧箍咒”,让更多头痛患者切实获益。

《卵圆孔未闭相关非卒中性疾病防治中国专家共识》偏头痛合并PFO诊疗路径
感谢上海市第七人民医院陆阳主任团队的病例分享
专家简介


上海市第七人民医院心血管内科主治医师,浦东新区心血管专业委员会青年委员,中国心血管医生创新学院CCI八期成员,2023年上海援滇医疗队成员,长期从事冠心病介入及结构性心脏病介入治疗,发表中英文论文10余篇,SCI文章3篇,主持课题三项,获得专利一项。
-END-

扫码观看可降解学苑精彩内容
专业的心血管医生学术交流平台


版权及免责声明:
本网站所发表内容知识产权归属医谱平台、主办方以及原作者等相关权利人,未经许可,禁止进行复制、传播、展示、镜像、转载、摘编等。经授权使用,须注明来源,否则将追究其法律责任。有关作品内容、版权和其他问题请与本网联系
发表留言
暂无留言
输入您的留言参与专家互动