攻克冠脉风险!广西医科大学第一附属医院黄锋教授团队应用ScienCrown完成一例复杂高冠脉阻挡风险TAVI手术
近日,广西医科大学第一附属医院黄锋教授团队,成功应用国产创新瓣膜ScienCrown系统,为一名极重度钙化、高冠脉阻挡风险的重度主动脉瓣狭窄(AS)患者实施经导管主动脉瓣置换术(TAVI)。患者术后即刻解除狭窄问题,且恢复状态良好,成功挽救了患者的生命,手术圆满成功。

患者基本信息
基础信息:80岁,男性。
主诉:活动后气促2年余,加重2月。
既往史:2018年诊断“高血压”,最高血压160mmHg,现规律服用药物控制血压。
入院诊断:
重度主动脉瓣狭窄
心脏瓣膜病
慢性心功能不全急性加重
术前超声

超声测量:
AVmax:4.9m/s,PGmax:95mmHg,PGmean:55mmHg,EF:64%
超声诊断:
-
主动脉瓣增厚、钙化、粘连,瓣口重度狭窄并轻度关闭不全
-
二尖瓣轻度关闭不全
-
三尖瓣轻度关闭不全+肺动脉压升高(肺动脉收缩压约56mmHg)
-
左室舒张功能降低,左室收缩功能正常
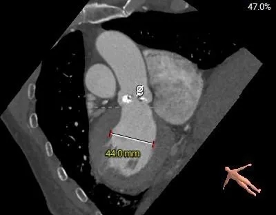
术前CT分析




Annulus
25.8mm
LVOT
25.8mm
瓣环水平夹角
52°



STJ 27.0mm
高21.0mm
AAO
31.6mm
L-29.9mm
R-30.0mm
N-31.6mm
-
三叶瓣,瓣叶增厚并钙化
-
直筒型LVOT,窦部空间不大
-
水平夹角52°,非横位心



瓣上 2mm
24.7mm
瓣上 4mm
25.5mm
瓣上 6mm
24.7mm



瓣上 8mm
24.0mm
瓣上 10mm
23.3mm
瓣上 12mm
22.3mm
-
瓣叶可见明显增厚及钙化分布
-
可见RN侧高位轻微融合


Left Coronary
12.1mm
LCA & Leaflet
12.7mm<15.8mm


Right Coronary
17.1mm
RCA & Leaflet
16.3mm<19.4mm
-
双侧冠脉开口高度可
-
左、右冠瓣叶长度>冠脉开口下缘到根部距离
-
结合SOV、STJ测量,窦部空间较小,预估冠脉阻挡风险较高


-
收缩期测量心室腔稍大
-
心室壁厚度尚可


-
钙化积分测量达1546mm3
-
极重度钙化,左窦、无窦钙化较重


-
外周入路条件可
手术策略
经术前CT分析,该患者为三叶瓣(RN高位部分粘连),极重度钙化(钙化积分高达 1546mm³),窦部空间较小,冠脉开口层面可见冗长瓣叶,提示术中存在冠脉阻挡风险。面对该患者的特殊解剖挑战,经过多学科讨论,黄锋教授团队决定选用国产全可回收自膨式短瓣膜系统 ScienCrown为患者完成TAVI治疗。该瓣膜具备100%全释放&全可回收功能,可在手术过程中实现更充分的风险评估与更精准的瓣膜植入,若评估结果不佳可立即回收重做,是高冠脉风险病例的优选方案。
-
入路方式:右侧股动脉为主入路,左侧为辅入路;
-
冠脉保护:左冠提前预埋导丝,结合球囊预扩情况及瓣膜全展开位评估结果,必要时预埋冠脉支架与释放;
-
球囊策略:使用20mm球囊进行充分预扩,密切观察左、右冠脉灌注情况;
-
瓣膜选择:预装ScienCrown TAVTF 25mm瓣膜,瓣上0~2mm左右完成释放。
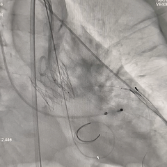
术中影像
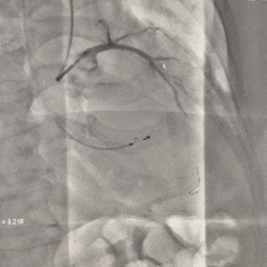
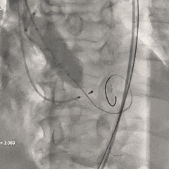
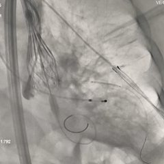
左冠提前预埋冠脉导丝

根部造影

可见明显反流,瓣叶活动度不佳
导丝顺利跨瓣

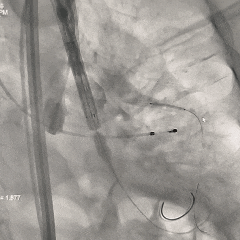
20mm球囊预扩

无腰无漏,右冠显影正常;RN侧钙化融合推挤球囊贴靠左窦侧,可见左冠显影欠佳,考虑有球囊贴靠STJ的原因,决定预埋支架保护再准备瓣膜释放
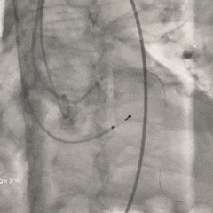
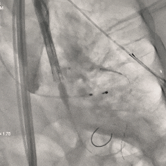
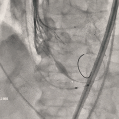
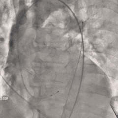
瓣膜第一次释放

初始定位造影时可见瓣架底端基本平齐猪尾导管(零位),瓣膜释放过程中瓣架出现下滑,至全展开位时瓣膜深度接近一个菱形格,位置过深,即刻回收瓣膜重新调整
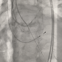
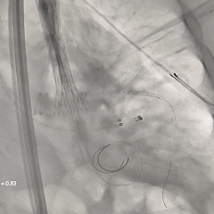
重新调整后重新定位

考虑第一次释放时瓣膜位置偏深,第二次瓣膜定位调整至瓣架底端约为瓣上4-5mm左右
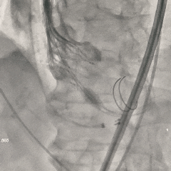
第二次释放至全展开位

瓣膜释放过程中猪尾导管上移,瓣架轻微下移至瓣上2mm左右
全展开位造影评估

瓣架形态可,无窦侧深度约瓣上2mm,小弯侧深度接近零位,瓣架整体贴靠左窦侧,右冠显影正常,左冠显影尚可,可见少量瓣周漏
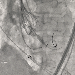
冠脉风险充分评估

调整至左头位再次造影,可见左、右冠显影可


使用左冠导管造影,可见左冠显影可
再次调整体位重新造影,可见右冠灌注正常。决定准备瓣膜脱钩释放
脱钩后造影

无窦侧深度约瓣上2mm,小弯侧深度基本零位,瓣膜植入位置尚可,瓣架形态呈现微倒梯形,可见少量瓣周漏,右冠显影正常
左冠切线位评估

左冠导管造影,可见左冠显影可,考虑导管挤压瓣叶可能,决定将导管拉出冠脉口再次造影评估
左冠再次造影评估

导管拉出左冠口后造影,可见冠脉灌注正常,瓣叶未超过冠脉开口
最终评估

超声测量AVmax=2.1m/s,PGmax=17mmHg,提示少量瓣周漏,间隔侧瓣架深度为真实瓣环零位
考虑球囊后扩的操作会进一步增加冠脉阻挡风险,并存在较高瓣膜上跳风险,综合患者情况可,决定不再进行球囊后扩。
术后超声

-
峰值流速:4.9m/s(术前)→2.0m/s(术后)
-
峰值压差:95mmHg(术前)→15mmHg(术后)
瓣口未见明显反流,瓣周轻度反流,手术顺利完成!
术后总结
手术过程中充分利用了全释放全回收的功能,进行两次瓣膜定位调整,并在全展开位下多角度、多次造影确保风险的精准评估。最终,黄锋教授团队凭借对影像评估的精准分析、术中操作的精细把控以及ScienCrown瓣膜的性能优势,成功化解该患者高冠脉阻挡风险的难题,顺利为患者完成TAVI治疗,重建"生命通路"。
针对冠脉高风险TAVI患者,不仅需要关注术中冠脉风险的即刻评估,还需重视远期获益问题,其处理核心在于“可评估、可回收、可保障”:
-
ScienCrown系统的100%全释放&全可回收允许瓣膜在完全展开后做最充分的冠脉风险判断,并预留了充足的可操作空间,随时回收调整,可退可进;
-
短瓣架设计+大网孔结构,可降低即刻冠脉阻塞风险,同时保障远期再介入的良好通路;
-
精准植入+预埋保护策略,让 “高危” 变 “可控”。
专家简介




· END ·
专业的心血管医生学术交流平台


版权及免责声明:
本网站所发表内容知识产权归属医谱平台、主办方以及原作者等相关权利人,未经许可,禁止进行复制、传播、展示、镜像、转载、摘编等。经授权使用,须注明来源,否则将追究其法律责任。有关作品内容、版权和其他问题请与本网联系
发表留言
暂无留言
输入您的留言参与专家互动