重磅更新 | 成人右心超声心动图评估指南及肺动脉高压特别注意事项:美国超声心动图学会推荐意见

右心对肺高压(PH)的适应是决定患或有心血管疾病风险患者临床结局、发病率和死亡率的关键因素。肺动脉高压世界研讨会最近将PH重新定义为平均肺动脉压>20mmHg,基于丰富的流行病学证据,强调了即使是轻度升高的平均肺动脉压对主要不良临床事件的显著影响。较低的PH诊断阈值重新燃起人们对超声心动图及其在早期检测和筛查、精细血流动力学评估和纵向监测中的关键作用的兴趣。然而,对右心的系统评估仍然不一致,主要是由于平时多为关注左心评估,对右心超声技术的熟悉程度有限,以及缺乏定义正常右心大小和功能的参考数据。因此,系统、全面的基于超声的右心评估为筛查高危人群、PH分类、风险分层、监测治疗反应和告知预后提供了有价值的诊断见解,从而改善了临床结果。(J Am Soc Echocardiogr 2025;38:141-86)。
2. 定义右心评估所需的最佳声窗切面、心超视图及参数。
3. 基于关键文献回顾,提供正常参考值范围以及异常分级。
4. 当前关于评估TV和PV疾病的建议以及对PH的特殊考虑。
5. 提出临床实践中右心测量的标准图像采集和报告。
6. 确立超声心动图在PH的筛查、检测、监测疗效和评估预后的重要作用。
缩写(名词):2DE(二维超声心动图),AccT(加速时间),LVEI(左心室偏心指数),RVEI(右心室偏心指数),MPA(主肺动脉),PLAX(胸骨旁长轴),PSAX(胸骨旁短轴),RVOT(右心室流出道),RVIDD(右心室舒张内径),RVWT(右心室壁厚度)
①右心房(RA)
关键点

建议考虑到PH的筛差推断和预后意义,标准心超应包括RA面积和/或BSA校正RAV指数

②右心室(RV)
关键点




③室间隔(IVS)
关键点

建议


③肺动脉(PA)
关键点

建议



表1 右心结构和功能推荐的参考值范围(截取右心结构部分参数)

图1右心综合评估的标准TTE成像切面示意图。在右心的标准TTE评估中应包括几个关键的观点。PLAX切面评估了RVIDD,PSAX切面量化了RVOT中部和远端径线、RVOT AccT以及TV和PV的结构和功能。高胸骨旁流出道切面显示近端PA和PA分叉。胸骨旁右心室流入道切面通常聚焦在三尖瓣前叶、隔叶,而PLAX用于评估LVEI。心尖切面(四腔心、聚焦RA和RV)是评估右心室大小和功能的必要条件。RVSP的血流动力学评估通常需要多个影像学切面,如RVOT、心尖聚焦RV、反向四腔心和肋下切面。PAEDP和RVOT AccT来自PSAX的RVOT切面。肋下长轴切面评估RVWT、RA和RV大小、肥大的漏斗肌束,并为评估TV和PV结构和功能以及评估RVOT梗阻提供了替代的成像切面。肋下视图对先天性心脏病的病例用处显著。图片由兰奇华,RCDS提供。Ao:主动脉,EV:欧式瓣,LA:左心房,MV:二尖瓣,PM:乳头肌。

图2.A4Ch分别聚焦RA、RV切面对右心功能进行全面评估。将探头置于心尖,并旋转,直到获得最大RV切面。为确保RV心尖不被缩短,通常探头须位于更外侧且朝RV向上倾斜,LVOT或CS不在切面,全心动周期可见RV和游离壁。为了获得RA聚焦的切面,从RV聚焦的心尖四腔切面开始,将探头向上和内侧(胸骨侧)倾斜,最大限度地显示整个RA。调节深度、聚焦和增益,以增强心内膜边界和优化图像质量。
部分缩写(名词):A4Ch(心尖四腔切面);RA(右心房);RV(右心室);LVOT(左心室流出道),CS(冠状静脉窦);UEA(声学造影剂);TAPSE(三尖瓣环收缩位移);RVFW(右心室游离壁);CMR(心脏磁共振);PVD(肺血管疾病);PVR(肺血管阻力)……
表1 右心结构和功能推荐的参考值范围(截取右心功能部分参数,表1完结)
①RA应变及排空功能
关键点

建议


RA应变从RA聚焦的A4Ch切面,从TV环外侧追踪到房间隔侧。除外小叶和环之间的区域,追踪RA心内膜,同时不含IVC、SVC和RAA。应注意避免切面缩短RA,这可能会高估应变值。RA曲线提供了储存应变(心室收缩期全身静脉回流)、导管应变(促进舒张早期的心室血流)和升压应变(心房收缩)测量。

RA的功能可以通过被动、主动和总输出量来评估。被动排空功能受心房舒张、心室顺应性和硬度的影响。
被动输出功能=(收缩末期RA容积)-(Pre-A RA容积)/(收缩末期RA容积)
主动输出功能受心房收缩力影响=(Pre-A RA容积)-(舒张末期RA容积)/(Pre-A RA容积)
总输出功能=(收缩末期RA容积)-(舒张末期RA容积)/(收缩末期RA容积)。
②TAPSE(三尖瓣环收缩位移)
关键点

建议


③TDI S’速度
关键点

建议


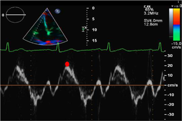
聚焦RV的A4Ch切面,沿着TV外侧环放置在RVFW基底部的TDI的4mm取样容积。该测量与角度相关,收缩轴和声束间的最大角度应<20°。TDI S’的速度定义为基以上线(红点)的峰值收缩速度。
④FAC(面积变化分数)
关键点

建议


FAC测量RV面积变化百分比:RV舒张末期(A)和收缩末期(B)心内膜从RVFW到外侧心尖,然后沿IVS到TV内侧环之间面积。乳头肌、肌小梁和调节束均包括在腔内。
3DE RVEF,通过RVEDV和RVESV获得,使用专门的软件,提供了RV收缩功能的几何无偏性评估。准确的测量需要人工勾画舒张末期和收缩期末期内膜面,包含调节束和肌小梁。3DE测量依赖于整个心周期内从聚焦RV的A4Ch对整个RV的充分2DE可视化。配合屏气以消除人工拼接影响。
⑤RVOT VTI(速度-时间积分)和AccT(加速度时间)
关键点

重点



RVOT AccT是从PSAX PA分叉切面,呼气末时靠近PV的PW取样线获得,从血流开始到肺血流速度峰值。RVOT AccT表示从血流开始到峰值速度的持续时间,由于血管阻抗增加而缩短。
⑥RV dP/dt(瞬时压力速率随时间上升的比值)
关键点

重点


RV dP/dt表示压力随时间变化的瞬时上升速率,并可作为RV整体收缩力的替代物。在200 mm/s的扫描速度下,利用TR包络线的CW多普勒信号(红线)的上升侧进行估计,并测量TR速度从1 m/s增加到2 m/s所需的时间窗。
⑦RV MPI(心肌做功指数,又称Tei指数)
关键点

重点


RV MPI(Tei 指数)是一种衡量整体RV性能的指标,可以使用跨RVOT的PW方法或TDI方法进行测量。RV MPI值越高,常表示RV功能受损,而较低的值则表示功能越好。RV MPI = (TCO-ET)/ET;PW法将PW取样线从PSAX PA分叉切面中穿过RVOT。射血时间(ET)定义为从开始到停止流动的时间。TV关闭伊始(TCO)是由PW通过测量经TV A峰结束到E峰开始之间的时间间隔而得出的。TCO也可以通过测量TR射流的持续时间,从CW多普勒中获得,这种方法很少用于评估心脏总时间间隔。由于这些测量数据来自不同的成像平面和心动周期,因此获取具有相似R-R间隔的心跳数对于提高准确性非常重要。

聚焦RV的A4Ch切面,TDI取样线置于TV外侧环。每个时间间隔都是由一个心动周期测量。ET被定义为S’速度的开始和停止之间的时间窗。TCO是通过测量TDI a’速度结束到e’速度开始之间的时间窗。
⑧RV纵向收缩应变(RVLSS)
关键点

重点


6段RVGLS和3段RVFWS(% ):RVLSS可以通过彩色编码的TDI成像和STE技术进行评估。与TDI相比,STE的角度依赖性较小,且具有更好的重复性。STE从聚焦RV的A4Ch切面测量整体和区域应变,确保在整个心周期中整个RV的充分可视化。最佳的时间分辨率范围在50-90帧/秒。通常,RVGLS是指室间隔和RVFW6段的平均应变,3节段RVFWS是指仅基底段、中间段和心尖段RVFW节段应变。RVFWS通常被认为是对RV更准确的功能测量方法,因为它将RV的收缩力与LV收缩力的影响分开。
血流动力学
①RAP(右房压)




②RVSP(右心室收缩压)
关键点

建议


③PAEDP(肺动脉舒张末期压)
关键点

建议


PAEDP是利用舒张期PR速度,使用修正的伯努利方程,并将此值添加到RAP估计。
④mPAP(平均肺动脉压)
关键点

建议


⑤PVR( 肺血管阻力)
关键点

建议


⑥PCWP(肺毛细血管楔压)
关键点

建议


⑦基于多普勒的技术的局限性

表5:无创血流动力学评估有其固有的局限性
关键点

建议


表6:RV舒张功能障碍相关情况:急性缺氧、衰老、淀粉样变性、抗磷脂抗体综合征、主动脉瓣反流和狭窄、致心律失常性右心室心肌病、Behcet’s血管炎(白塞病)、β-地中海贫血、心脏移植、心肌病、Chagas病(美洲锥虫病)、慢性心衰、慢性阻塞性肺疾病、先天性矫正型大动脉转位、囊性纤维化、糖尿病、原发性高血压、肝肺综合征、甲状腺功能减退、二尖瓣反流、心肌梗死、因左前降支冠状动脉病变所致心肌梗死、由右冠状动脉(近心段)病变引起的心肌梗死或缺血、PAH、肺栓塞、肺动脉瓣狭窄、手术方式修复法洛四联症、手术修复大动脉转位、肾移植、类风湿关节炎、吸烟、MPA和分支动脉狭窄、系统性硬化(硬皮病)。
参考文献:
Mukherjee M, Rudski LG, Addetia K, Afilalo J, D'Alto M, Freed BH, Friend LB, Gargani L, Grapsa J, Hassoun PM, Hua L, Kim J, Mercurio V, Saggar R, Vonk-Noordegraaf A. Guidelines for the Echocardiographic Assessment of the Right Heart in Adults and Special Considerations in Pulmonary Hypertension: Recommendations from the American Society of Echocardiography. J Am Soc Echocardiogr. 2025 Mar;38(3):141-186. doi: 10.1016/j.echo.2025.01.006. PMID: 40044341.
来源:中南结构心
发表留言
暂无留言
输入您的留言参与专家互动