JACC丨靶向药-PADN-介入封堵“三重奏”:复旦大学附属中山医院葛均波教授团队探索ASD合并重度PAH患者序贯治疗新路径
现病史
患者33岁女性,因近1年来反复胸闷气促入院就诊,2023年11月30日超声心动图示28mm继发孔型房间隔缺损,可见左向右为主的双向分流;右心房、右心室扩大;中度三尖瓣反流;重度肺动脉高压,肺动脉收缩压(PASP)98mmHg,少量心包积液。体格检查示心率70次/分,律齐,胸骨左缘第二、三肋间可闻及3级收缩期杂音,P2加重。
既往史
既往高血压、糖尿病病史,无肺部疾病、自身免疫性疾病病史,无遗传病家族史,否认吸烟、饮酒、减肥药使用史。
检查结果
心电图:窦性心律;QRS电轴右偏,顺钟向转位;T波倒置(Ⅲ、aVF、V2-V5导联双相、浅倒置)。
超声心动图:重症先心病,继发孔型ASD,双向分流伴明显左向右分流,继发右房扩大伴中度三尖瓣反流,重度PAH。
治疗经过
2023年11月30日:患者右心导管检查示PAP 85/24(48)mmHg,肺循环/体循环血流量比(Qp/Qs)为1.8,肺血管阻力(PVR) 5.4 Wood单位(WU)。经导管介入封堵术后PAP 83/20(45)mmHg,未见显著下降,故取出封堵器。给予马昔腾坦和西地那非联合治疗6个月后查超声心动图示PASP 80mmHg,因此调整靶向药物治疗方案为“司来帕格+马昔腾坦+利奥西呱”三联治疗。
2025年1月15日:患者接受PADN治疗(表1,图1),术后持续口服三联靶向药物治疗。

表1:PADN前后血流动力学指标对比

图1:(A)肺动脉造影,(B)肺动脉去神经射频消融
2025年3月17日:两个月后患者接受经皮ASD封堵术,右心导管检查示PAP 62/23(40)mmHg,Qp/Qs为2.5,PVR 3.41 WU。术中选择32mmASD封堵器成功实施封堵,术后PAP 51/20(32)mmHg,超声心动图提示封堵器位置、大小及形状合适,未影响周边心脏结构(图2)。

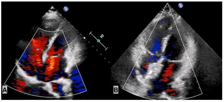
图2:经皮ASD封堵术前后超声心动图
(A)术前超声心动图显示ASD,(B)封堵完成后超声心动图,(C)术中封堵,(D)释放封堵器后。
术后随访
患者术后3个月超声心动图显示PASP已降至43mmHg,右心房与右心室均已恢复至正常大小。继续使用三联靶向药物(司来帕格+马昔腾坦+利奥西呱)降低PAH。术后6个月随访时超声心动图显示PASP进一步降低至41mmHg,三联靶向药物治疗改为双联治疗(马昔腾坦+利奥西呱),患者活动耐力进一步改善。

病例信息
患者29岁女性,因反复胸闷气促1年余入院就诊,于2024年6月14日行超声心动图检查提示先天性心脏病,15mm继发孔型ASD,伴以左向右为主的双向分流;继发右心房、右心室增大;中度三尖瓣反流;重度PAH,PASP 66mmHg。体格检查显示心率86次/分,律齐,胸骨左缘第二、三肋间可闻及3级收缩期杂音,P2加重。
治疗经过
2024年7月16日:患者入院进行右心导管检查示PAP 78/30(46)mmHg,Qp/Qs为1.6,PVR 7.59 WU。并接受靶向药物“曲前列尼尔+马昔腾坦+利奥西呱”联合治疗1个月。后续超声心动图显示PASP为65mmHg。
2024年8月9日:为患者行PADN治疗(表2),术后继续PAH三联靶向药物治疗。

表2:PADN前后血流动力学指标对比
2025年2月4日:患者入院接受经皮ASD封堵术,右心导管检查示PAP 45/13(25)mmHg,Qp/Qs为2.5,PVR 3.5 WU。术中选用26mmASD封堵器成功完成封堵。术后PAP 40/10(22)mmHg,超声心动图示封堵器位置、大小、形状合适,未影响周边心脏结构(图3)。

图3:经皮ASD封堵术前后超声心动图
(A)术前超声心动图显示ASD,(B)封堵完成后超声心动图。
术后随访
患者术后3个月随访,超声心动图显示PASP约为45mmHg,右心大小显著改善。术后6个月患者PASP进一步降至32mmHg,三联靶向药物治疗改为双联治疗(马昔腾坦+利奥西呱)。

以上两例病例均为ASD合并重度PAH患者,均采用PAH靶向药物联合PADN和经皮ASD封堵术的序贯疗法。患者在接受了三联靶向药物治疗后进行PADN治疗,以达到符合经皮ASD封堵术的血流动力学标准。
第一例患者在三联靶向药物治疗1年后,其PVR从5.4 WU降至3.75 WU,但平均肺动脉压仍升高至46mmHg,因此对其进行PADN治疗以改善血流动力学指标,将平均肺动脉压降至40mmHg,PVR降至3.25 WU。术后两个月进行了经皮ASD封堵术。第二例患者在1个月的三联靶向药物治疗方案后,PVR从7.59 WU降至6.13 WU,但平均肺动脉压持续维持在40mmHg较高水平,进行PADN治疗将其平均肺动脉压降至35mmHg,6个月后右心导管检查显示血流动力学指标稳定,最终顺利完成经皮ASD封堵术。
从这两例病例可以看出,PADN可有效改善血流动力学指标(肺动脉压及PVR),最终使患者能够满足接受经皮ASD封堵术的条件。这也是首次针对诊断“灰色地带”中ASD合并重度PAH患者实施“序贯治疗”策略的实例。
当前ASD合并重度PAH患者的治疗策略仍存在一定争议。虽然PAH靶向药物(包括5型磷酸二酯酶抑制剂、内皮素受体拮抗剂、鸟苷酸环化酶激动剂、前列环素类药物)可以提高PAH患者生存率,PAH靶向药物联合经皮ASD封堵术对ASD合并重度PAH患者有效,但大量与ASD相关的PAH患者仍处于诊断灰色地带,即使通过充分的靶向药物治疗,仍不能满足当前指南中的血流动力学标准。在此情景下,PADN可以作为补充的治疗方法与选择。
PADN作为一项治疗PAH的新技术,是通过导管传输高频射频电流,热消融病变部位,致使细胞内外水分蒸发、干燥、固缩脱落以致无菌性坏死,从而局部损伤交感神经,影响神经递质释放与肺动脉肾上腺素能受体激活,从而降低肺动脉压力,以达到治疗目的。在PADN-1首个人体临床研究中,PADN组术后3个月随访结果显示,患者平均肺动脉压降低,运动能力提升。随后的研究表明,PADN治疗后1年,患者血流动力学、运动能力与心脏功能均得到改善。在一项多中心随机对照研究中,在6个月随访期间,PADN有效改善了PAH患者的运动能力、血流动力学与临床结局。这些研究均未招募先心病相关PAH患者,可能是因为单纯进行PADN(无介入封堵)无法完全治疗先心病相关PAH。因此,PADN对此类患者是否具有治疗效果尚不清楚,迄今为止尚未发表相关研究或临床病例报告。
本研究中的两例病例首次证实了PADN技术对此类患者具有良好的短期及中期疗效,但也存在一定局限性。首先,本研究的病例数相对较少,随访时间较短,未来需扩大样本量并开展长期随访以进一步验证。其次,本研究未设对照组,有待进一步的对照试验验证。
文章原文链接:https://www.jacc.org/doi/10.1016/j.jaccas.2025.106116
本文为医谱学术原创,转载请标注来源。
专家简介






-END-
专业的心血管医生学术交流平台


版权及免责声明:
本网站所发表内容知识产权归属医谱平台、主办方以及原作者等相关权利人,未经许可,禁止进行复制、传播、展示、镜像、转载、摘编等。经授权使用,须注明来源,否则将追究其法律责任。有关作品内容、版权和其他问题请与本网联系

发表留言
暂无留言
输入您的留言参与专家互动