短瓣心研 收放无界 | 吉林大学第二医院刘斌教授团队成功应用ScienCrown 极简式TAVR救治主动脉瓣重度狭窄患者
近日,吉林大学第二医院心血管内科刘斌教授、张春鹏教授团队首次应用国产创新自膨短瓣ScienCrown,为一例二叶式主动脉瓣重度狭窄患者成功实施极简式TAVR介入治疗,团队凭借高超技术水平与前沿器械方案,精准完成瓣膜植入。术后患者血流动力学即刻改善,狭窄问题有效解除,恢复进程顺利。
此次手术的成功,不仅体现了吉大二院心内科团队在心脏病瓣膜介入领域扎实的技术功底与经验积累,更为我国心脏瓣膜病治疗的规范化发展与技术革新注入了新动力,展现出国产高端医疗器械在结构性心脏病治疗领域的实践突破与应用潜力。

患者基本情况
基础信息:男性,69岁。
主诉:阵发性胸闷、气短半年,加重1周。
术前超声
超声所见:
主动脉瓣回声增强、增厚,交界部粘连,开放明显受限,余各瓣膜形态、回声、活动未见异常。
主动脉瓣上收缩期最大血流速度468cm/s,Pg88mmHg。
EF值=74%。
超声诊断:
主动脉瓣钙化
主动脉瓣重度狭窄
左室肥厚
左室舒张功能减退
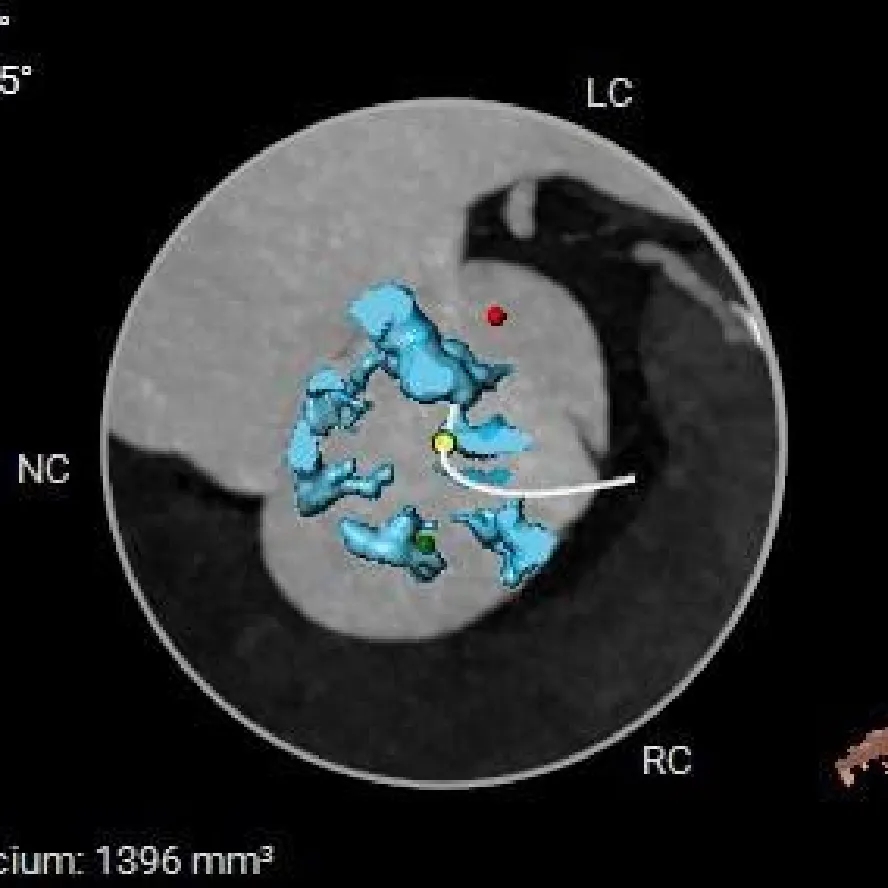
术前CT分析
-
TYPE-0型二叶瓣(纵列式),重度钙化,钙化分布不均匀,延伸至流出道可见,瓣叶明显增厚;
-
瓣环径约为24.0mm,流出道偏收口型,心室壁增厚,收缩期小心室;
-
左冠开口高度约为23.8mm,右冠开口高度约为27.0mm;
-
瓣环水平夹角47度,非横位心,升主动脉明显扩张;
-
外周入路走形轻度迂曲,左右股动脉直径尚可,主动脉弓部、腹主动脉处见少量钙化附着;
-
左侧下肢动脉入路最小平均内径6.7mm,右侧下肢动脉入路最小平均内径6.8mm。
主动脉根部测量



Annulus:24mm
LVOT:21.5mm
钙化积分:1396



SOV:30.6*43mm
STJ:41.9mm
AAO:51.2mm
瓣上结构测量



瓣上2mm
23.4mm
瓣上4mm
25.5mm
瓣上6mm
25.3mm



瓣上8mm
25mm
瓣上10mm
26.6mm
瓣上12mm
26.8mm
冠脉风险评估


LCA Height
RCA Height
左室测量


工作体位


双窦展开
左冠切线
外周入路评估

手术策略制定
-
麻醉方式:局部麻醉;
-
冠脉风险:冠脉阻挡风险不高,不进行提前保护;
-
球囊扩张策略:20mm球囊预扩;
-
瓣膜选择:ScienCrown TAVTF25mm 0位定位释放;
-
入路选择:右侧股动脉主入路。
手术过程


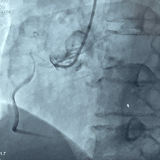
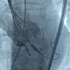
右冠造影
左冠造影


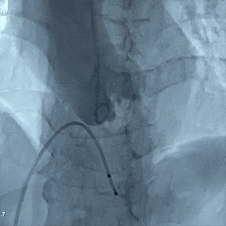
主动脉根部造影,瓣叶活动度差
20mm球囊扩张,轻微腰征无漏


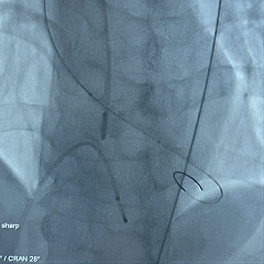
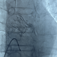
25号瓣膜释放至全展开
造影评估:瓣膜位置可,形态稳定
多角度评估,瓣膜位置可

脱钩后造影,瓣膜位置可,几乎无瓣周漏
术后超声
超声所见:
主动脉瓣位为人工瓣回声,瓣架位置固定,瓣叶活动良好,未见赘生物,未见瓣周漏。余瓣膜形态及运动未见异常。
主动脉瓣前向最大流速201cm/s,Pg16 mmHg。
超声诊断:
TAVR术后
室间隔增厚
主动脉瓣轻度反流
心包积液(少量)
专家简介





吉林大学第二医院心血管内科主治医师,医学博士。专注于心脏瓣膜病、冠心病以及急重症心脏病治疗。基础研究领域主要研究线粒体功能调控在心血管疾病发生发展中的分子机制。
· END ·
专业的心血管医生学术交流平台


版权及免责声明:
本网站所发表内容知识产权归属医谱平台、主办方以及原作者等相关权利人,未经许可,禁止进行复制、传播、展示、镜像、转载、摘编等。经授权使用,须注明来源,否则将追究其法律责任。有关作品内容、版权和其他问题请与本网联系
发表留言
暂无留言
输入您的留言参与专家互动