反流“瓣”法 | 重庆西区医院迟路湘教授团队成功应用ScienCrown完成一例超大瓣环、主动脉瓣重度反流TAVI手术
近日,重庆西区医院迟路湘教授团队成功为一名主动脉瓣重度反流、且合并升主动脉瘤样扩张的高危患者,完成一例高难度经导管主动脉瓣植入术(TAVI)。该患者为Type-0型二叶式主动脉瓣、横位心、超大瓣环(内径达30.3mm),且因全身基础条件差无法耐受传统外科开胸手术。术中团队经股动脉入路,精准植入ScienCrown瓣膜,术后即刻造影显示瓣膜位置良好,原有重度反流完全解除,患者血流动力学指标显著改善。


患者基本信息
基础信息:62岁,男性。
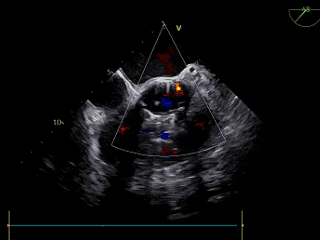
术前超声
超声心动图

-
主动脉中度狭窄并重度反流
-
升主动脉:51mm
-
主动脉瓣流速:3.4m/s
-
主动脉瓣平均压差:24mmHg
-
EF:67%
-
左室前后径:53mm
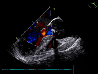
TEE


左室短轴切面见二叶瓣畸形、长轴切面见重度反流。
术前CT分析
主动脉根部测量



Annulus-收缩期
30.3mm
Annulus-舒张期
29.9mm
LVOT
30.8mm



sinus
STJ
46.1mm
AAO
53.7mm
-
Type-0型二叶瓣
-
瓣环径约30.3mm
-
微敞口型流出道
-
瓣叶增厚
-
交界缘钙化分布
-
瓦氏窦扩张
-
升主瘤样扩张
瓣上结构测量


瓣上 2mm
29.9mm
瓣上 4mm
30.2mm


瓣上 6mm
29.9mm
瓣上 8mm
29.5mm
冠脉风险评估


Left Coronary
19.5mm
LCA & Leaflet
13.8mm<21.9mm


Right Coronary
18.3mm
RCA & Leaflet
17.7mm<19.7mm
-
左、右冠脉高度可
-
左右冠脉异窦
-
左、右冠瓣叶长度<冠脉开口下缘到窦底距离
-
结合SOV、STJ冠脉风险可控
左室测量


-
收缩期心室偏大
-
心室壁厚度尚可
外周入路评估

-
外周无明显迂曲、钙化;血管内径可
-
62°横位心
手术策略
-
麻醉方式:全麻;
-
冠脉风险:冠脉阻挡风险不高,不进行提前保护;
-
球囊扩张策略:无需预扩;
-
瓣膜选择:ScienCrown TAVTF32mm(oversize=5.61%), 0位定位释放;
-
入路选择:右侧股动脉入路。
术中影像


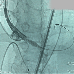
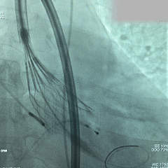
根部造影:可见大量反流
导丝跨瓣


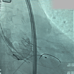
预弯型系统顺利跨过横位心
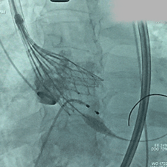
平齐窦底猪尾,0位定位


展开后造影,瓣膜位置偏深
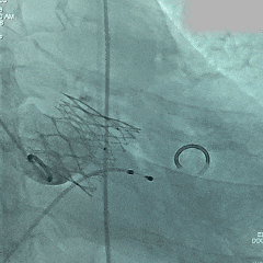
回收后再次释放


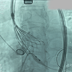
第二次展开造影,瓣膜位置尚可,基本无漏
多角度评估,瓣膜深度可


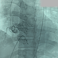
脱钩释放
脱钩后,瓣膜无位移


造影评估,瓣膜深度可,无瓣周漏
左头观察,腰征明显,锚定稳定
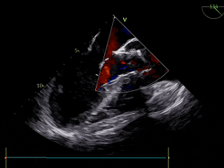
术后TEE评估


TEE超声评估微量瓣周漏,测压差7mmHg,反流改善明显。
国产创新自膨短瓣ScienCrown在PAR中的核心优化:
-
短瓣架设计:短瓣架设计,更短的释放行程,快速锚定贴靠;
-
直筒型设计:直筒形态,多节段参与锚定,提供更平衡的径向支撑力;
-
双层裙边设计:PET内外双裙边设计,提供更大摩擦力,保障瓣膜稳定;
-
全释放/全回收设计:100%全展开,瓣膜整体参与锚定,评估更精准更安心;
-
预弯型设计:瓣膜装载后胶囊段自带30°弯型,瓣膜释放过程更同轴;
-
管榫挂钩设计:12个挂钩设计,逐一释放,分散脱钩张力,实现零张力脱钩。
专家简介


· END ·
专业的心血管医生学术交流平台


版权及免责声明:
本网站所发表内容知识产权归属医谱平台、主办方以及原作者等相关权利人,未经许可,禁止进行复制、传播、展示、镜像、转载、摘编等。经授权使用,须注明来源,否则将追究其法律责任。有关作品内容、版权和其他问题请与本网联系
发表留言
暂无留言
输入您的留言参与专家互动