心有所安,步履从容——辽宁省人民医院栾波教授团队成功应用国产直筒型短瓣架自膨瓣完成大瓣环纯反流TAVI一例
近日,辽宁省人民医院心血管病治疗中心栾波教授带领瓣膜团队,在麻醉科、超声科及心血管外科的密切协作下,成功应用国产直筒型短瓣架自膨瓣,为一名大瓣环单纯主动脉瓣中-重度反流患者实施经导管主动脉瓣介入治疗(TAVI)。
单纯主动脉瓣反流(pure aortic valve regurgitation, PAR),由于瓣环和左心室流出道扩张,瓣膜无钙化点,舒张期强大的血流冲击力,致使手术过程中容易出现植入瓣膜锚定困难和移位。如患者瓣环结构较大,超过瓣膜可接受oversize比率,会导致患者无法通过介入治疗换瓣。本次手术的顺利完成,展示了大瓣环纯反流患者通过介入换瓣的新方案,同时也体现了辽宁省人民医院瓣膜团队不断开拓创新,挑战更难更重病例的实力和决心。
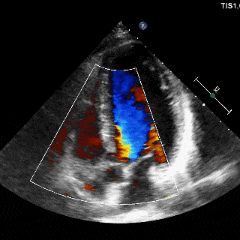
术前超声




超声提示:主动脉瓣右冠瓣脱垂,主动脉瓣中-重度关闭不全,左心系统扩大,二尖瓣少量反流。
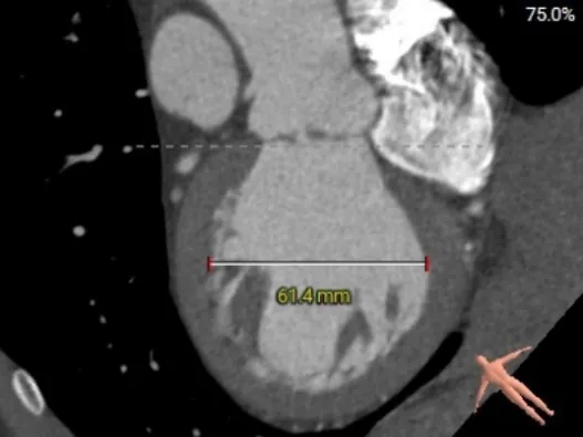
术前CT分析


患者为Type-1型二叶式主动脉瓣,无钙化


收缩期主动脉瓣环周长径27.8mm
收缩期LVOT周长径28.2mm


Type-1型二叶式主动脉瓣,R-L融合


瓣叶增厚,瓣上结构较大,锚定能力较低


STJ周长径29.6mm
升主动脉周长径31.9mm


瓣环水平夹角51°
主动脉弓部角度98°


根部结构HU850下无钙化


左室舒末内径增宽

外周入路条件尚可
综合评估
根据目前的反流共识及我院反流经验,该患者瓣环尺寸超过大多数常规长支架自膨瓣安全oversize极限,风险较高,故选择国产直筒型短瓣架自膨瓣膜,锚定平面稳定,向上或向下的挤压分力较小,且全展开回收,在正确的操作技巧下无瓣膜倒下时二次位移风险。
最终手术策略
1. 左侧股动脉为主入路。置入22F大鞘。
2. 瓣膜选型:经团队讨论,最终选择TAVTF29型号瓣膜,虽然主动脉瓣环和左室流出道oversize率分别为4.32%和2.84%,但通过直筒瓣架全瓣架参与锚定的特点,依然可以稳定释放。
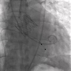
手术过程


造影及超声均可见主动脉瓣大量反流


无窦侧0位起始,最终释放深度满意
多角度评估位置合适,无瓣周漏


瓣膜释放后无位移,锚定牢固
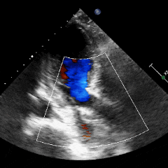
术后超声可见反流消失,血流动力学正常
国产创新自膨短瓣Sciencrown在PAR中的核心优化
-
短瓣架设计:短瓣架设计,更短的释放行程,快速锚定贴靠;
-
直筒型设计:直筒形态,多节段参与锚定,提供更平衡的径向支撑力;
-
双层裙边设计:PET内外双裙边设计,提供更大摩擦力,保障瓣膜稳定;
-
全释放/全回收设计:100%全展开,瓣膜整体参与锚定,评估更精准更安心;
-
预弯型设计:瓣膜装载后胶囊段自带30°弯型,瓣膜释放过程更同轴;
-
管榫挂钩设计:12个挂钩设计,逐一释放,分散脱钩张力,实现零张力脱钩。
专家简介




· END ·
专业的心血管医生学术交流平台


版权及免责声明:
本网站所发表内容知识产权归属医谱平台、主办方以及原作者等相关权利人,未经许可,禁止进行复制、传播、展示、镜像、转载、摘编等。经授权使用,须注明来源,否则将追究其法律责任。有关作品内容、版权和其他问题请与本网联系
发表留言
暂无留言
输入您的留言参与专家互动