生物可降解ASD封堵器封堵20.5mm房缺病例分享
近日,福州大学附属省立医院心外科谢琦教授团队在纯TEE引导下,成功应用MemoSorb可降解房缺封堵器完成一例20.5mm近主动脉大型房缺介入封堵。该缺损位置紧邻主动脉根部,对封堵器的夹持稳固性提出了更高要求,相较于传统镍钛合金封堵器,可降解封堵器采用专利降落伞成型锁定设计赋予力学支撑,术中谢琦教授团队凭借丰富的操作经验,通过精准的影像评估,确保封堵器已成型锁定并稳定夹持在房间隔两侧。术后效果理想,无残余分流。
患者信息
基础信息:女性,32岁。
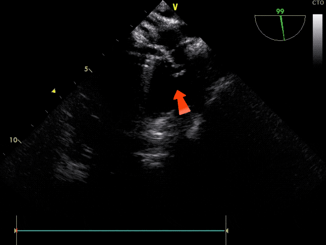
超声检查描述:主动脉未见明显增宽,肺动脉增宽,瓣膜回声、厚度及开闭未见异常。右心增大,左心不大,室间隔与左室壁未见明显增厚。房间隔中段可见13.8*20.5mm的连续中断,室间隔未见明显连续中断。房间隔总长度约47.5mm,房缺上缘距房顶部约9mm,下缘距二尖瓣前叶附着点约12mm,前缘距主动脉无明显边缘,后缘12.1mm,距上腔静脉约15.8mm,距下腔静脉约14.3mm;二尖瓣回声、厚度及开闭未见异常,三尖瓣回声增强,开放可,闭合稍欠佳。左室整体收缩功能未见明显异常。室壁运动分析,左室壁未见明显节段性运动异常。
PWD、CDFI:上述房间隔中断处可见左向右分流信号。二尖瓣口血流:E/A>1;三尖瓣口收缩期见反流信号+~++,峰速2.82m/s,压差31mmHg,估测肺动脉压41mmHg。
TDI:二尖瓣环;e’/a’>1 , Sa 10cm/s。
超声检查结果:
1.房间隔缺损(继发孔型)
2.肺动脉增宽,肺动脉压升高


临床策略
由于术前可见,患者房间隔处存在13.8*20.5mm的连续中断,房间隔总长度约47.5mm,房缺前缘距主动脉无明显边缘,其他边缘情况良好。患者年轻女性,有金属过敏史,对植入物要求高,所以选择BDASD-II 28可降解封堵器进行封堵,配合16F可降解封堵器介入输送系统,全程由TEE引导下进行。
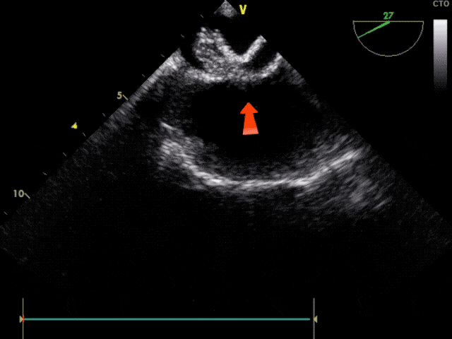
手术过程
左盘展开

于左心房中部展开封堵器左盘
整体后撤鞘管和钢缆,使左盘贴靠
轻拉成型线,使左盘成型
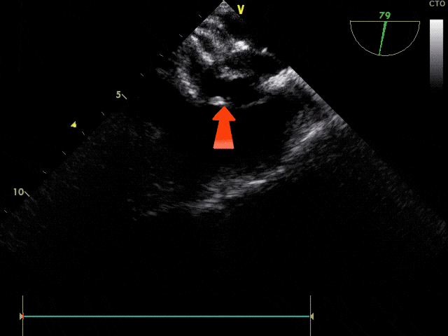
右盘展开

固定钢缆,后撤鞘管,展开右盘
轻推钢缆,使右盘成型
锁定前观察


锁定前观察,确认封堵器骑跨于房间隔两侧,稳固夹持
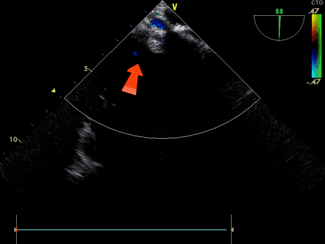
彩色血流观察
锁定

鞘管及钢缆轻轻前推并固定
释放

确认封堵器锁定形态无误
剪断并撤出成型线
旋拧钢缆,释放封堵器
彩色血流显示封堵成功,无残余分流
病例小结
本例患者缺损较大(约20mm),且已出现右心增大、肺动脉增宽及肺动脉压升高(41mmHg),提示右心功能已受影响,若不及时封堵,长期左向右分流会导致右心容量负荷增加,引发心律失常[1](如房颤)等并发症,甚至进展为右心衰竭,将严重影响生活质量及远期预后。患者年轻女性,有金属过敏史,对植入物要求高,经谨慎沟通和考量,最终患者主动选择使用可降解封堵器进行介入封堵手术。
可降解封堵器采用专利降落伞式锁定结构,在封堵器释放后通过牵拉成型线形成力学补偿,使锁定后的拉脱力达到金属封堵器的1.8倍,确保在封堵大型缺损时,能够稳固夹持缺损周围组织,面对左心高压血流冲击仍不易移位。此外,可降解材料最终在体内将逐渐降解为二氧化碳和水,能够介导自体组织修复缺损的同时安全降解,无金属异物长期留存,避免了血栓形成、组织磨蚀、MRI兼容性受限等问题,尤其适合对生活质量要求较高的成人患者。另外,由于本例患者房间隔缺损上缘距主动脉根部无明显边缘,可降解材料的自适应性与贴合性可减少对周边组织的机械压迫,降低了残余分流及主动脉损伤风险。
本例成人ASD患者合并右心增大及肺动脉高压,及时行经导管可降解封堵术,既能阻断分流、逆转心肺损害,又能利用可降解材料的生物相容性与组织修复优势,规避传统金属封堵器的长期风险,是平衡疗效与安全性的优选方案,能够最大化改善成人ASD患者的远期预后。
感谢福州大学附属省立医院心外科谢琦教授团队的病例分享
参考文献
[1].Brida M, Chessa M, Celermajer D, Li W, Geva T, Khairy P, Griselli M, Baumgartner H, Gatzoulis MA. Atrial septal defect in adulthood: a new paradigm for congenital heart disease. Eur Heart J. 2022 Jul 21;43(28):2660-2671.
专家简介
福建省立医院
-END-
介入引导导丝与生物可降解房缺封堵器联合应用:纯超声引导下介入治疗主动脉无缘的房间隔缺损

扫码观看可降解学苑精彩内容
专业的心血管医生学术交流平台


版权及免责声明:
本网站所发表内容知识产权归属医谱平台、主办方以及原作者等相关权利人,未经许可,禁止进行复制、传播、展示、镜像、转载、摘编等。经授权使用,须注明来源,否则将追究其法律责任。有关作品内容、版权和其他问题请与本网联系

send a message
暂无留言
输入您的留言参与专家互动