「封耳心安」极简式MemoLefort成功封堵鸡翅型左心耳一例
左心耳封堵术在高龄房颤患者卒中预防中具有重要价值。本文报道华中科技大学同济医学院附属梨园医院张勇华教授团队完成的一例84岁男性鸡翅型左心耳封堵手术。患者既往合并缺血性脑血管病、大脑动脉闭塞脑梗死、冠心病及高血压等疾病,CHA₂DS₂-VASc评分6分、HAS-BLED评分3分,卒中与出血风险均高。患者因年龄较大担心手术效果和风险,拒绝行导管消融术,经团队综合评估,选用MemoLefort封堵器、极简式封堵策略进行封堵,术中顺利实现稳定锚定与完全封堵,为复杂心耳解剖结构患者提供了新的治疗经验与借鉴。
患者基本信息
患者男性,84岁。
现病史:
-
双下肢乏力1月余,加重伴气促3天。
-
于1月前突发右下肢乏力,吐词含糊,倒地摔倒,伴有口角歪斜,无明显头晕,头痛,无恶心呕吐,无畏寒发热,无意识障碍,我院门诊头颅CT未见脑出血,并于我院老年科就诊,诊断为“脑梗死、心房颤动”,行溶栓、抗凝、抗感染治疗后好转,近3天来患者住院期间突发气促胸闷不适,伴咳嗽咳痰,伴发热,最高38℃,不伴胸痛、恶心呕吐,床边心电图提示:心房颤动,现患者为求进一步诊治遂来我院就诊,门诊拟“心房颤动”收入我科。
术前诊断:
1.心房颤动
2.缺血性脑血管病
3.大脑动脉闭塞脑梗死
4.冠状动脉粥样硬化性心脏病
5.高血压病3级(极高危)
6.心绞痛
7.呼吸道感染
8.心功能Ⅲ级
9.慢性左心功能不全
10.下肢动脉粥样硬化
卒中风险评分和出血风险评分
-
CHA2DS2-VASc评分6分,HAS-BLED评分3分。
-
具有高危卒中、出血风险,故行左心耳封堵手术。

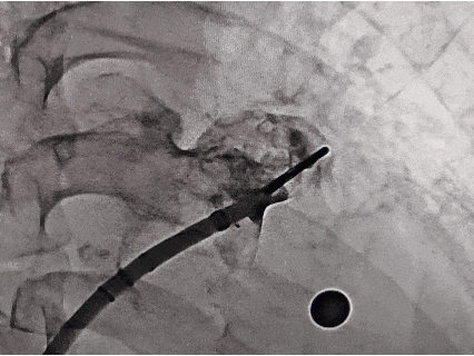
DSA下肝位造影+测量



肝位测量,开口26.13 mm,深度29.65 mm
DSA下右肩位造影+测量



右肩位测量,开口22.67 mm,深度21.51 mm
术中封堵策略
麻醉方式:局麻
患者概述:患者诊断为阵发性房颤,因“双下肢乏力1月余,加重伴气促”入院,诊断心房颤动、缺血性脑血管病、高血压病3级、大脑动脉闭塞脑梗死、冠状动脉粥样硬化性心脏病,CHA2DS2-VASc评分6分,HAS-BLED评分3分,具有高危卒中风险、高出血风险,行左心耳封堵手术。
封堵策略:术前CT报告为“风向袋型”左心耳。术中DSA肝位造影测量开口26.13mm,可用深度29.65mm;DSA右肩位造影测量开口22.67mm,深度21.51mm,心耳为“鸡翅型”左心耳,深度空间充分,综合考虑选择MemoLefort LAFDQ-29封堵器,退鞘法展开封堵器,保证封堵器稳定释放。
封堵器特性:MemoLefort封堵器远端为花苞型内扣保护,顺应性强,阻流膜高度覆盖,能更好适应心耳内部结构及形态,达到稳定锚定。
术中封堵器展开过程

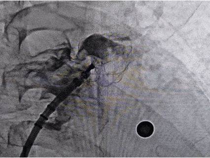
导引鞘与推送鞘锁合后,退鞘缓慢展开左心耳封堵器
封堵器展开后DSA评估和调整
Position 位置
代表位置,即封堵器左心房侧平面正好位于左心耳口部或稍远位置

封堵器正好位于左心耳口部位置,且无露肩
Anchor 锚定
代表锚定,即牵拉试验检测封堵器稳定性

牵拉试验后封堵器位置稳定无移动
Size 压缩
代表压缩,即器械相对原尺寸压缩10-30%

DSA下测量压缩比14.4%
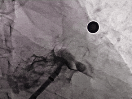
Seal 密封
代表密封,即观察封堵器密封情况,封堵完全,残余分流不超过5mm


肝位即刻造影,位置合适
上下缘无残余漏,形态位置良好
右肩位造影,无残余漏
封堵完全

正足位造影,上下缘无残余漏
封堵器释放后评估
符合PASS释放原则,释放封堵器


释放后造影,无残余分流
释放后封堵器形态良好,封堵完全
病例小结
本病例诊断阵发性房颤,因“双下肢乏力1月余,加重伴气促”入院,诊断心房颤动、缺血性脑血管病、高血压病3级、大脑动脉闭塞脑梗死、冠状动脉粥样硬化性心脏病,CHA2DS2-VASc评分6分,HAS-BLED评分3分,具有高危卒中风险、高出血风险,行左心耳封堵手术。排除手术禁忌后拟行极简式左心耳封堵手术。穿刺位点需靠后靠下。
术中DSA肝位造影测量开口26.13mm,可用深度29.65mm;DSA右肩位造影测量开口22.67mm,深度21.51mm,心耳为“鸡翅型”左心耳,深度空间充分,综合考虑选择MemoLefort LAFDQ-29封堵器;MemoLefort封堵器远端为花苞型内扣保护,顺应性强,阻流膜高度覆盖,能更好适应心耳(包括浅心耳)内部结构及形态,达到稳定锚定。
术中采用退鞘法进行封堵器展开,封堵器展开后肝位即刻造影,封堵器肩部位于左心耳开口处,位置合适,上下缘无造影剂漏;牵拉时有明显回弹,且牵拉后封堵器位置无移动;测量其压缩比为14.4%,符合PASS释放原则,释放后封堵器形态良好,位置稳定,造影无残余分流,无露肩。
专家简介
华中科技大学同济医学院附属梨园医院
往期精彩推荐
-END-
专业的心血管医生学术交流平台


版权及免责声明:
本网站所发表内容知识产权归属医谱平台、主办方以及原作者等相关权利人,未经许可,禁止进行复制、传播、展示、镜像、转载、摘编等。经授权使用,须注明来源,否则将追究其法律责任。有关作品内容、版权和其他问题请与本网联系
发表留言
暂无留言
输入您的留言参与专家互动