再发顶刊!吴文辉、蒲俊舟教授PFO封堵术中发现罕见冠状静脉
近日,吴文辉教授团队在为一例卵圆孔未闭(PFO)患者行封堵术过程中,发现一根极为罕见的起自左心房的冠状静脉分支——永存左主静脉(Persistent Left Common Cardinal Vein),在世界上首次完成该血管的顺行造影,这一发现可能从另一个角度阐释PFO导致卒中或斜卧位直立低氧血症的机制。蒲俊舟医生将结果报道在国际顶级期刊《European Heart Journal》(IF:35.6),这也是团队近年来再次将PFO研究领域成果发表在《European Heart Journal》杂志,展现了首都医科大学附属北京安贞医院心脏瓣膜病介入中心在宋光远主任领导下的科研实力。
具体内容报道
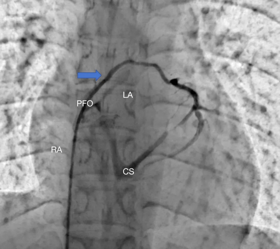
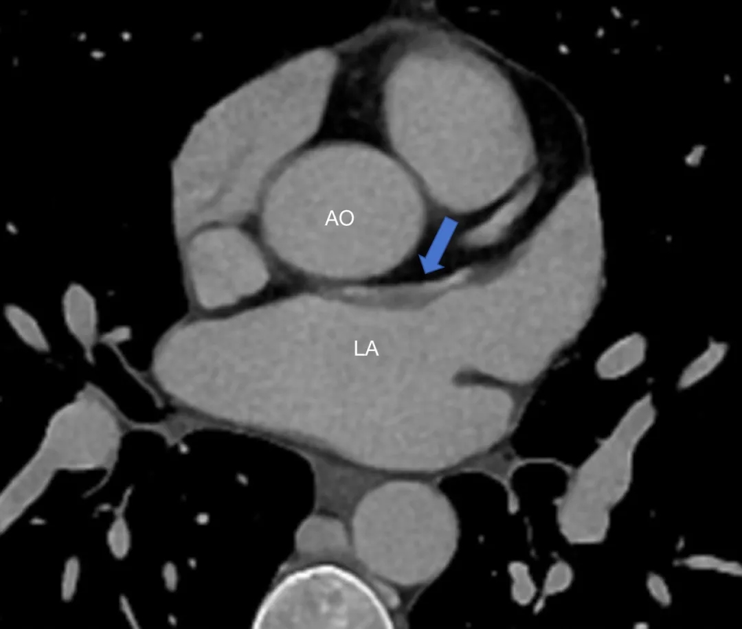
患者女性,27岁,因“卵圆孔未闭相关卒中”入院,拟行介入封堵术。术中MPA1导管跨越卵圆孔进入左心房后送入超滑导丝,发现导丝经由冠状静脉窦走行区回到右心房内,考虑导管进入异常通道,进一步造影可见一起自左心房前壁的冠状静脉分支血管沿房间隔水平横行走行,造影剂最终汇入冠状静脉窦,引流入右心房(图1&2,视频1&2)。该病情血液动力学类似冠状静脉无顶综合征/房间隔缺损,同期行右心导管测肺动脉平均压16mmHg,QP/QS=1.0,排除具有血液动力学意义的左向右分流。由于无法立刻明确单纯封堵PFO的收益与风险,遂终止手术先行完成心脏增强CT明确病变解剖情况,增强CT(图3&4)及重建结果(图5&6)与造影一致,可见一冠状静脉分支起自左心房并沿房间隔走行最终汇入冠状静脉窦。考虑到患者的临床症状可能与PFO以及该异常静脉均存在相关性,且尚不能明确单纯封堵PFO的收益以及同期封堵该静脉的风险,与患者充分沟通后暂时选择最优药物治疗并保持密切随访。


图1
图2


视频1
视频2


图3
图4


图5
图6
讨论
冠状静脉分支血管直接与左心房相连极为罕见,既往鲜少有报道,本例是世界上首次获得该分支血管顺行造影的图像,展现了高度的影像学价值。
从胚胎学角度分析,在胚胎发育早期(4-8周),左右主静脉应由同侧前后主静脉汇合后再分别注入原始心管静脉窦。左主静脉(Left Common Cardinal Vein)原则上应在胚胎期第8周完全退化,其残留结构形成马夏尔静脉及冠状静脉窦左缘。本病例的机制可能是左主静脉退化中断所致,该静脉血管沿房间隔走行这一解剖特点,与胚胎期左总主静脉的原始路径保持一致。这与冠状静脉与左心房相连的另一种情况“冠状静脉无顶综合征”的胚胎学机制冠状窦顶部肌壁缺失完全不同。
本例患者由于“PFO相关卒中”就诊,众所周知PFO这一潜在通道可以导致右向左分流,并进而引起PFO相关卒中或者斜卧位直立低氧血症。而冠状静脉与左心房压差极小,房间隔水平的二者通道同样能引起卒中或者低氧血症,而冠状静脉血氧饱和度(30%-50%)显著低于右心房(70%-75%),因此带来的血液动力学后果相较于单纯的PFO更为严重。仅仅封堵PFO可能无法解除叠加的双重右向左分流通道,而同期封堵该冠状静脉分支导致冠状静脉血栓形成或影响传导的潜在风险又无法排除,因此,团队选择对该患者进行密切随访。
吴文辉教授及蒲俊舟教授同时指出,虽然永存左主静脉顺行造影图像极为珍贵,但是该类解剖发育异常可能并不罕见,只是常规的心脏检查影像学工具,包括超声心动图、冠状动脉CTA以及心脏磁共振等均无法早期检出。本例的意外发现打开了PFO诊治相关机制的新视野,目前,团队已组织开展相关研究,对这一类型解剖异常进行影像学收集与评估,进一步阐释其解剖特点,血液动力学意义及临床价值。
-End-

扫码观看可降解学苑精彩内容
-END-
专业的心血管医生学术交流平台


版权及免责声明:
本网站所发表内容知识产权归属医谱平台、主办方以及原作者等相关权利人,未经许可,禁止进行复制、传播、展示、镜像、转载、摘编等。经授权使用,须注明来源,否则将追究其法律责任。有关作品内容、版权和其他问题请与本网联系
发表留言
暂无留言
输入您的留言参与专家互动