王春生教授团队:CMCWeek2025 手术直播首秀,以高精尖主动脉瓣成形术守护年轻患者,单日3例全成功彰显世界领先水平
复旦大学附属中山医院心外科
2025年10月20日 上海
全球瞩目的中国微创心血管外科学术盛会 ——CMCWeek2025 & ISMICS2025 Workshop “云上国际手术直播周” 于10月20日顺利开启,直播首日便迎来高光时刻。由CMICS主任委员、复旦大学附属中山医院心外科王春生教授领衔的团队,以一台 “胸骨上段小切口主动脉瓣成形术” 惊艳全球同行,不仅拉开手术直播盛宴序幕,更以当日3例同类手术全成功、术后均无主动脉瓣反流的佳绩,再次印证中山心外科在瓣膜修复领域的世界领先地位。

图:术中照片,主刀王春生教授(右)与第一助手李军教授(左)
病例聚焦:年轻患者的 “瓣膜守护战”
首例直播病例(28 岁男性):发现心脏杂音9年,近1年出现活动后气促,影响正常生活。查体心率72次/分、律齐,胸骨左缘闻及 III/6 级舒张期杂音;心脏彩超提示极重度主动脉瓣关闭不全,主动脉窦部直径35mm、基底环直径28mm,LVEF67%、LVEDD58mm;术前 CTA 明确为二叶主动脉瓣(BAV),融合型 R-L,无冠瓣叶几何高度21.3mm,作为年轻患者,其核心诉求是规避终身抗凝与二次手术风险,保障长期生活质量。
病例 2(51 岁男性):体检时偶然发现 BAV 伴重度反流2周,无明显症状但心超示左室明显扩大已达到主动脉瓣反流手术指征。心脏彩超提示二叶主动脉瓣(BAV),融合型 R-L,重度反流,主动脉窦直径37mm、基底环直径30mm。中年患者对手术创伤、恢复速度要求高,希望在治疗疾病的同时,尽量减少对工作与家庭的影响。
病例 3(31 岁男性):自幼确诊 BAV,主动脉瓣反流逐年加重,现已发展为重度反流。近1年有活动后气促。心脏彩超提示二叶主动脉瓣(BAV),融合型 R-L,重度反流,主动脉窦直径37mm、基底环直径28mm。年轻患者热爱运动且正处于事业上升期,需求通过保留瓣膜手术,提高生活质量。
对于年轻患者而言,保留自身瓣膜意义重大:相较于瓣膜置换术,成形术可避免机械瓣置换后长期服用抗凝药物带来的出血风险,最大程度保护左心室原生结构与功能,同时规避生物瓣膜寿命限制(无需面临再此次甚至多次手术),为患者长远生活质量(如运动、生育等)提供核心保障,这也是临床针对年轻瓣膜病患者的最优治疗方向。
手术策略:高精尖技术的 “精准突破”
王春生教授团队基于术前心脏超声(TTE)与计算机断层扫描血管造影(CTA)的精准数据,制定了以 “微创 + 精准修复” 为核心的手术方案,每一步均体现技术前沿性:

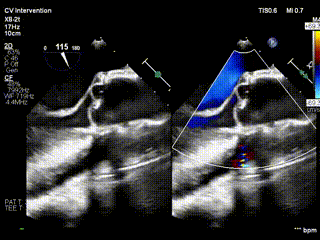
视频1:病例1术前食道超声示重度主动脉瓣反流

图:术前CTA评估主动脉瓣可修复性
微创入路创新:采用 “胸骨上段小切口”(约6.5cm),仅劈开胸骨上段至右侧第三肋间,相较于传统全胸骨劈开术,大幅减少创伤、降低术后感染风险,缩短恢复周期。

图:切口照片
根部处理金标准:应用首创的改良袖式根部重建技术,以26mm 人工血管精准完成主动脉基底环环缩与根部加固,从解剖结构上纠正瓣膜反流的根源,同时强化主动脉根部稳定性,避免术后扩张复发。
瓣叶修复精细化:1.对增厚僵硬的瓣叶进行削薄使其恢复柔顺。2.对穿孔的瓣叶使用7-0GoreTex缝线修补穿孔。3.采用 5-0 滑线缝线对病变瓣叶游离缘进行 “折叠上提” 操作,毫米级调整瓣叶闭合高度,确保瓣膜在心脏收缩舒张过程中完全对合。这几项操作对术者的解剖认知与缝合精度要求极高,是手术成功的核心技术难点。
单例手术细节
手术全程在全麻下进行,通过右侧股动静脉插管建立体外循环,保障术中血流动力学稳定;心肌保护采用 del-Nido 停跳液,经左右冠状动脉开口顺行灌注,并配合心脏表面冰屑降温,为精细操作创造条件。术中经食道超声实时监测显示:瓣膜修复后闭合良好,无反流信号;术后即刻评估提示,主动脉瓣跨瓣压差正常,左心室流出道通畅,手术达到 “解剖纠正 + 功能恢复” 的双重理想效果。

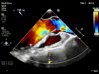
视频2:病例1术后心超示主动脉瓣无反流,eH 9.8mm,VBR 23.1mm,窦直径29.6mm,窦管交界 25.4mm。
当日整体战绩
在完成直播手术的基础上,王春生教授团队当日连续为另外 2 例类似 BAV 伴重度关闭不全的年轻患者实施同款主动脉瓣成形术。3 例手术均遵循统一的高精尖技术标准,术后经食道超声与心脏彩超复查均显示:主动脉瓣反流完全消失,标志着当日手术取得全成功的圆满结果。
技术引领:中山心外科的 “世界标杆”
此次手术直播与单日3例成功案例,并非偶然,而是复旦大学附属中山医院心外科在瓣膜修复领域长期深耕的必然结果:
技术积累领先:王春生教授团队自2015年起聚焦主动脉瓣成形术创新,累计完成该类手术近2000例,其中近2年BAV 修复病例占比超80%,修复技术不断迭代创新。
国际话语权:团队多次在 ISMICS、AATS 等国际顶级心血管外科会议上演示瓣膜修复手术,成为全球同行学习的 “中国模板”。
年轻患者福祉:针对年轻瓣膜病患者 “保留瓣膜、长远获益” 的核心需求,团队持续优化手术技术,将平均手术时间缩短至2.5小时,术后平均住院日降至4.5 天,为全球年轻瓣膜病患者治疗提供了 “高效、安全、微创” 的解决方案。
此次 CMCWeek2025 手术直播首秀,不仅是中山心外科高精尖技术的 “全球亮相”,更以单日 3 例全成功的战绩,再次证明中国心血管外科在瓣膜修复领域已跻身世界领先行列。未来,王春生教授团队将继续以技术创新为核心,为更多患者守护 “心” 希望,推动全球心血管微创外科技术向更高水平发展。
后附病例2、3术前术后视频:

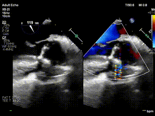
视频3:病例2术前心超提示大量主动脉瓣反流

视频4:病例2 术后无反流

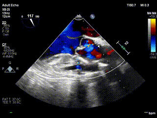
视频5:病例3术前大量主动脉瓣反流

视频6:病例3术后未见反流
-END-
转自:复旦大学附属中山医院心外科
专业的心血管医生学术交流平台


版权及免责声明:
本网站所发表内容知识产权归属医谱平台、主办方以及原作者等相关权利人,未经许可,禁止进行复制、传播、展示、镜像、转载、摘编等。经授权使用,须注明来源,否则将追究其法律责任。有关作品内容、版权和其他问题请与本网联系
发表留言
暂无留言
输入您的留言参与专家互动