华中首例丨武汉亚洲心脏病医院心脏结构团队应用Evolut PRO瓣膜,全超声引导下成功挑战二叶瓣重度狭窄TAVR
近日,武汉亚洲心脏病医院心脏结构团队成功完成华中地区首例全超声引导下经导管主动脉瓣置换术(TAVR)。手术在中国医学科学院阜外医院潘湘斌院长团队的悉心指导下顺利完成,术中成功应用Evolut PRO 29mm瓣膜,为一例Type 1型二叶式主动脉瓣重度狭窄患者实现精准介入治疗。该病例解剖结构复杂,术中在纯超声引导下克服输送系统同轴性不佳等挑战,通过精准调整释放深度,最终实现生物瓣稳定锚定与功能良好,术后仅见微量瓣周漏,血流动力学显著改善。此次手术标志着华中地区在“零射线、零造影剂”TAVR技术领域实现重要突破。

病例资料
70岁男性患者,主诉:体检发现心脏瓣膜病1周。
现病史:患者1周前因“面色潮红、血压高”等原因到华润武钢总医院就诊,心脏超声提示主动脉瓣重度狭窄并轻度关闭不全,升主动脉增宽(3.7cm),为进一步诊治来武汉亚洲心脏病医院就诊,门诊心脏超声提示主动脉瓣重度狭窄并轻度关闭不全,室间隔、左室壁增厚,左室舒张功能减退,以上述诊断收入院。
既往史:有高血压病史。
术前CT分析

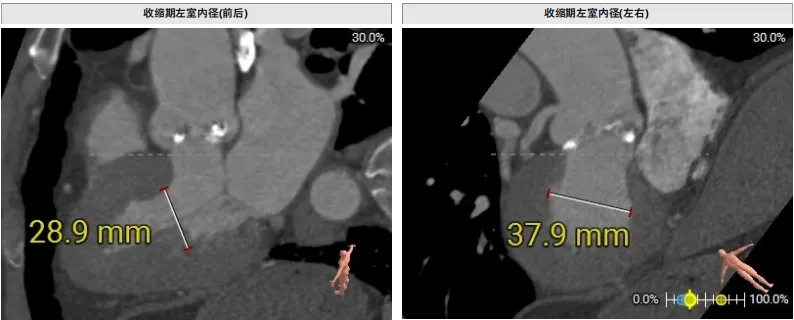
type1型二叶瓣,左右融合,融合嵴见钙化,无冠瓣钙化重,环上结构空间可。左右冠脉开口高度可,结合左右融合,冠脉风险低。瓣环夹角约55°,偏横位心,右无交界无严重钙化融合,系统通过顺畅,同轴性欠佳。收缩期左室内径约29*38mm,舒张期瓣叶疑似关闭良好,反流轻,无冠瓣钙化重。室间隔膜部环下长度约3.4mm,流出道较宽约28.1mm,传导阻滞风险低。双侧入路内径可,股动脉分叉皆在股骨头下缘,未见弓部CT影像,升主无明显扩张。








手术策略
70男性患者,type1型二叶瓣,主动脉瓣重度狭窄,无冠瓣钙化重,瓣环平均直径27.2mm,LVOT平均直径27.6mm,右冠脉开口高度可,冠脉风险低,瓣环夹角约55°,偏横位心,外周血管入路条件可。经手术团队综合评估后,拟在纯超声引导下以右侧股动脉为主入路行经导管TAVR,术中选择22mm球囊预扩,拟植入29# Evolut PRO瓣膜,初始释放3节瓣架后定位无窦0位,最终控制植入深度3-5mm,根据情况选择是否后扩。手术在中国科学院阜外医院潘湘斌院长团队指导下完成。
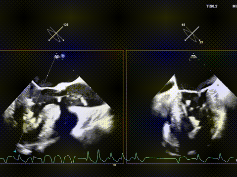
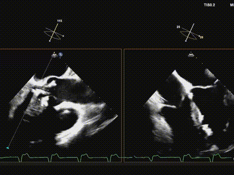
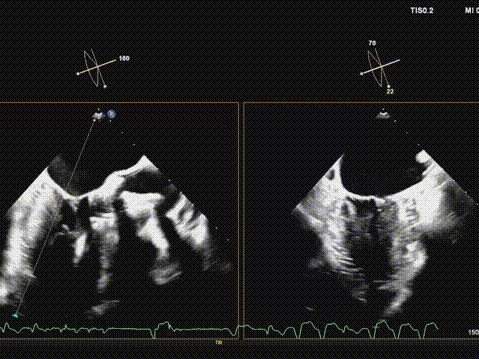
手术过程
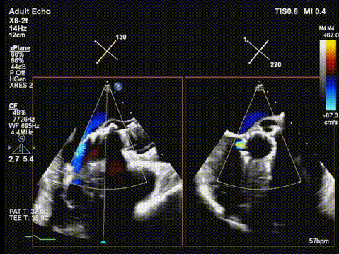
超声引导导丝跨瓣成功;

确认导丝在心尖部;

22mm球囊预扩;

输送系统顺利过弓及跨瓣;

快速起搏下初次释放瓣膜,瓣膜开口形态不好,位置偏高;


遂回收瓣膜,重新跨瓣并调整瓣膜释放位置后;


快速起搏下再次释放瓣膜至工作位,超声评估开口形态可,位置深度满意;

遂150快速起搏下完全释放瓣膜;

观察无瓣膜移动,回撤导丝后撤出系统;
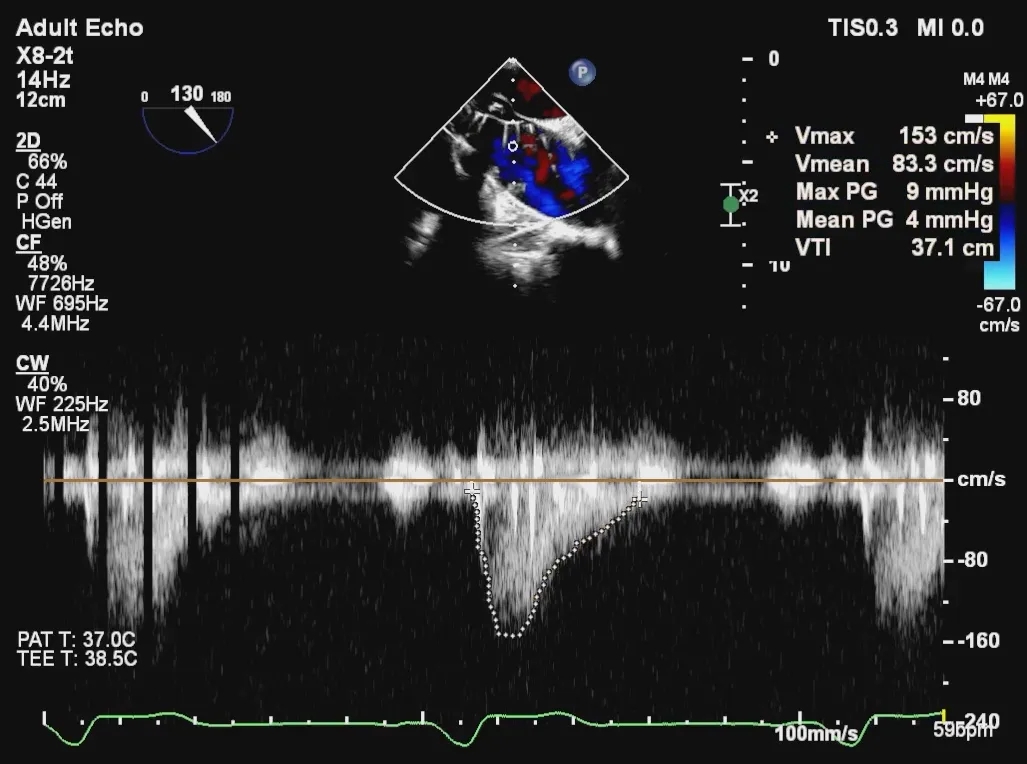
术后超声评估,瓣膜位置深度满意,形态可,微量瓣周漏,最大血流速度1.53m/s,平均跨瓣压差4mmHg。


术后总结
本例手术的成功实施,标志着武汉亚洲心脏病医院在复杂结构性心脏病介入治疗领域取得了重要进展。面对Type 1型二叶式主动脉瓣重度狭窄合并横位心这一复杂解剖结构,团队通过全超声引导技术,成功实现了“零射线、零造影剂”的绿色介入操作。
华正东教授在术后总结中指出,全超声引导TAVR技术在避免放射线及造影剂相关肾损伤方面具有独特优势,特别适用于合并肾功能不全的高危患者。在本例手术中,超声影像清晰引导了导丝跨瓣、球囊预扩、瓣膜输送与释放等关键步骤,展现了其在复杂解剖条件下实现精准介入的可靠性。
术后超声提示人工瓣膜功能良好,平均跨瓣压差仅4mmHg,血流动力学改善显著。值得一提的是,术中选用的Evolut PRO瓣膜系统凭借其可回收、可重新定位的设计特点,为术中调整释放位置提供了重要技术支持,确保了瓣膜的稳定锚定与功能良好。此例手术的成功,充分展现了全超声引导TAVR在治疗二叶式主动脉瓣狭窄方面的可行性与安全性,为华中地区开展绿色介入技术积累了宝贵经验。
专家简介


-END-
专业的心血管医生学术交流平台


版权及免责声明:
本网站所发表内容知识产权归属医谱平台、主办方以及原作者等相关权利人,未经许可,禁止进行复制、传播、展示、镜像、转载、摘编等。经授权使用,须注明来源,否则将追究其法律责任。有关作品内容、版权和其他问题请与本网联系
send a message
暂无留言
输入您的留言参与专家互动