微创破局,修复“心”缺口|室间隔穿孔介入诊疗,守护心功能防线
12月1日,航天中心医院心脏医学部介入手术团队凭借精湛技术与高效协作,成功为一名78岁急性心肌梗死并发室间隔穿孔的高危患者行室间隔缺损封堵术,为其生命筑起坚实防线。
患者3个月前活动后出现胸闷、憋气症状,伴双下肢水肿,夜间不能平卧,病情逐渐加重,考虑患者为慢性心功能不全急性加重收入我科,予以改善心功能治疗后好转,心脏医学部副主任苏工介入团队组织心外科及超声科多学科病例讨论,经综合评估,考虑患者心力衰竭病因是心肌梗死导致缺血性心肌病可能性大,且更危急的是,心梗引发了致命性并发症——室间隔穿孔,面对复杂病情向患者及家属充分沟通,风险评估,患者心功能严重受损,若不及时干预,随时可能因心力衰竭、心源性休克死亡。苏工介入团队最终制定了“先稳定循环,同时,对梗死相关血管进行了血运重建,恢复心肌供血,再择期行微创介入室间隔穿孔封堵术”的个体化救治方案,以最大限度降低手术创伤和手术风险。
室间隔穿孔这一病症在急性心梗患者中发生率仅1%-2%,但死亡率极高,尤其对于高龄患者,手术风险与救治难度呈指数级上升。

心脏解剖示意图
入院后第4天苏工介入团队为患者行冠脉造影术,提示前降支在发出第一对角支后呈现100%闭塞状态,第一对角支近段存在长节段病变,最大狭窄程度达90%。苏工副主任领衔的冠脉介入团队经多维度研讨,尝试开通前降支闭塞病变,开通后对介入术式进行评估。 经过多次反复尝试,导丝通过前降支闭塞病变,考虑第一对角支近段病变重,为分叉病变,术式采用DK-CRUSH,整个手术过程历时2小时,术后TIMI血流3级。


PCI术前
PCI术后
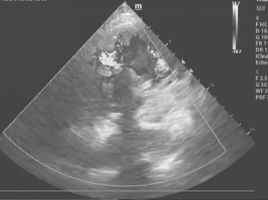
冠脉介入术后1周,在丁春华主任带领下,为患者实施经皮室间隔缺损封堵术。术中,团队凭借丰富经验与精准操作,在DSA(数字减影血管造影)引导下,封堵器被精准送达穿孔部位,并实现成功释放。经心脏超声检查阻断了心室间的异常分流,达到手术终点,患者自诉呼吸顺畅,胸闷症状立即缓解,整个手术过程历时1小时,全程生命体征平稳。


室间隔缺损封堵术后超声
DSA下室间隔缺损封堵术后
术后,经抗感染、改善心功能、营养支持等精细化治疗,胸闷、呼吸困难等症状迅速缓解,心功能逐步恢复。术后患者生命体征稳定,各项指标趋于正常,于术后第4天康复出院。
此次高危病例的成功救治,充分体现了航天中心医院心脏医学部在丁春华主任的带领下,面对高危、复杂心血管疾病诊疗领域的技术实力,更彰显了医院多学科协作机制的高效与成熟,为高龄、高危心血管急症患者的救治积累了宝贵经验。
专家简介


END-
专业的心血管医生学术交流平台


版权及免责声明:
本网站所发表内容知识产权归属医谱平台、主办方以及原作者等相关权利人,未经许可,禁止进行复制、传播、展示、镜像、转载、摘编等。经授权使用,须注明来源,否则将追究其法律责任。有关作品内容、版权和其他问题请与本网联系
发表留言
暂无留言
输入您的留言参与专家互动