双入路、多选择|石河子大学第一附属医院贺贵宝、薛亚军教授团队应用ScienCrown的单中心经验
近期,石河子大学第一附属医院贺贵宝、薛亚军教授团队凭借丰富的临床经验,成功应用ScienCrown自膨胀短瓣,完成了多例高难度经导管主动脉瓣置换术(TAVR)。这些复杂病例涵盖了重度主动脉瓣狭窄、横位心、单纯主动脉瓣反流等多种疑难情况。手术团队根据每例患者的具体解剖特点与病情需求,充分发挥了ScienCrown瓣膜“双入路”(经股动脉及经心尖)的独特优势,为患者“量身定制”最优手术方案。所有病例均通过单一瓣膜植入获得成功,未发生一例“瓣中瓣”事件。
贺贵宝教授指出,患者的解剖结构与临床需求存在显著个体差异,一款支持双入路的瓣膜能够为复杂病例提供更为灵活和全面的治疗选择。他进一步介绍,ScienCrown瓣膜的直筒型瓣架设计,有助于在主动脉根部实现多阶段稳定锚定,因此在瓣膜尺寸选择上无需过度追求oversize;同时,其“全释放/全回收”的功能特性,允许术者在最终释放前更充分地评估瓣膜的定位与稳定性,从而确保了瓣膜的精准植入,有效提升了手术安全性与疗效。


精析病例Ⅰ 三叶瓣重钙化
-
主动脉瓣口收缩期血流明显加速,峰速4.9m/s,最大压差92mmHg,平均压差约46mmHg,舒张期左室流出道侧见少量反流信号;
-
二尖瓣口收缩期左房侧见少中量反流信号,二尖瓣口舒张期频谱E/A<1,血流速度尚可,峰速1.65m/s,最大压差11mmHg;三尖瓣口收缩期右房侧见少量反流信号,峰速3.7m/s,最大压差56mmHg,据此估测肺动脉收缩压约59mmHg。
超声诊断
-
主动脉瓣、二尖瓣退行性病变
-
主动脉瓣重度狭窄并轻度关闭不全
-
二尖瓣轻中度关闭不全
-
升主动脉内径增宽 左心房内径增大 室间隔及左室后壁稍厚
-
三尖瓣轻度关闭不全 肺动脉内径增宽
-
中度肺动脉高压
-
左室收缩功能正常

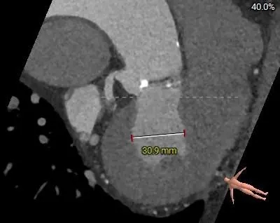
主动脉根部测量
ANNULUS

周长径23.7

周长径24.2

34.9mm&32.1mm&34.3mm

周长径31.2

周长径41.7

瓣上结构测量

周长径23.7


周长径26.9

周长径25.2
-
三叶瓣重度钙化
-
敞口流出道
-
钙化主要分布于左、无瓣叶上
-
STJ及升主未见明显扩张
冠脉风险评估
Left Coronary 8.0mm
Right Coronary 18.7mm


Left Ventricular


-
左冠开口较低,结合瓦氏窦大小,预估冠脉风险相对较低
-
收缩期小左室,术前需补液,警惕循环崩溃发生
外周入路评估




-
血管轻微迂曲
-
腹主、弓部可见钙化斑块
-
血管内径充足
-
主动脉弓平缓
-
66°横位心
-
右侧股动脉主入路,超硬导丝支撑下植入大鞘,左侧辅入路
-
冠脉风险不高,不进行提前保护,球囊预扩及瓣膜释放过程中评估冠脉灌注情况
-
建议20mm球囊预扩,患者小心室,小球囊扩张降低循环崩溃风险
-
使用ScienCrown™全可回收主动脉瓣膜系统植入TF27号瓣膜
-
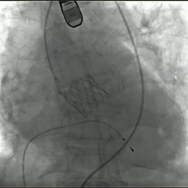
手术操作:该患者重度钙化,释放过程中需警惕瓣膜下滑风险,瓣膜释放后需评估瓣膜展开情况及瓣周反流情况。其次该患者为横位心,术中避免提拉输送系统,保证瓣膜同轴性,充分利用全可回收功能,评估瓣膜位置。

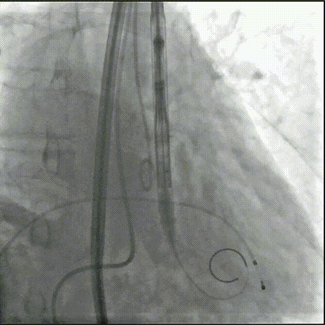
初始造影确定瓣环位置

20mm球囊预扩,无腰有漏;选择27号瓣膜可充分封堵

瓣膜0位定位释放,导丝保持张力,保证同轴性

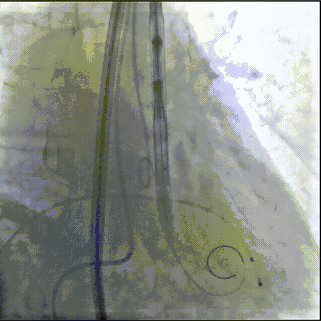
瓣膜展开后造影评估瓣膜位于0位,无瓣周漏

多角度评估,瓣膜位置可,同轴性佳,可以脱钩释放

脱钩后造影,瓣膜无位移,无瓣周漏
精析病例Ⅱ 经股入路反流
主动脉根部测量

周长径23.8

周长径27.1

L:32.9 N:33.3 R:27

周长径25.3

周长径31

瓣膜轻微增厚

无钙化
-
三叶瓣纯反流
-
瓣环23.8
-
瓣叶轻微增厚、无钙化
-
流出道27.1mm,敞口型
瓣上结构测量

周长径23.3

周长径23.3

周长径23.4

周长径23.4

周长径23.78

周长径23.9

周长径24

周长径24.4
-
瓣叶轻微增厚,瓣上多平面可参与锚定
冠脉风险评估

LCA Height 14.1mm
RCA Height 16.3mm

LCA & Leaflet 14.9mm&11.6mm
RCA & Leaflet 13.7mm&12.7mm

瓣环水平夹角49度,非横位心
-
冠脉高度可,瓣叶不长,冠脉阻挡风险不高
外周入路评估


-
降主动脉可见折角
-
腹主动脉、主动脉弓可见钙化瓣口
-
主动脉弓走行平缓
-
麻醉方式:全身麻醉
-
冠脉风险:低
-
球囊扩张策略:不预扩
-
瓣膜型号:ScienCrown TAVTF27mm(oversize13.4%)
-
入路选择:右侧股动脉主入路,超硬导丝支撑下植入大鞘
-
手术操作:该患者流出道敞口型,流出道无锚定力,需充分利用瓣上空间参与锚定,瓣膜需0位附近释放,术中通过顶导丝等操作保证瓣膜同轴性,当瓣膜完全展开后,多角度评估其稳定性

瓣膜0位定位释放

瓣膜稳定释放至全展开,无明显下滑,位置稳定

造影评估,瓣膜位于瓣下2mm形态稳定

左冠切线评估,小弯侧深度6mm

无张力脱钩,瓣膜无位移

最终造影,无瓣周漏
精析病例Ⅲ 心尖入路反流
主动脉根部测量

周长径28.8

周长径29.5

L:48.2 N:47.3 R:24.8

周长径45.4

周长径45.5

L:28.1 N:27.3 R:24.5

-
三叶式主动脉瓣
-
流出道敞口
-
瓦氏窦、升主扩张
-
瓣叶轻微增厚
瓣上结构测量

周长径28.6

周长径29.9

周长径31.5

周长径33.8

周长径35.4

周长径35.8
-
瓣上空间逐渐增大,瓣上瓣叶轻微增厚,0-6mm可提供锚定力
外周入路评估


-
外周血管无明显病
-
66°横位心
-
麻醉方式:全身麻醉
-
冠脉风险:低
-
球囊扩张策略:不预扩
-
瓣膜型号:ScienCrown TAVTF32mm(oversize11.1%)
-
入路选择:经心尖入路(患者横位心,根部明显扩张故选择心尖入路)
-
手术操作:该患者流出道敞口型,流出道无锚定力,瓣上空间扩张,需充分利用瓣环锚定;同时瓣膜横位心验证,术中需充分利用瓣膜全可回收功能,评估瓣膜稳定性

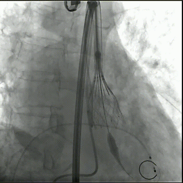
辅入路猪尾根部造影(右窦居中)

瓣膜初始定位

瓣膜开花后造影确认位置

起搏下释放瓣膜至全展开

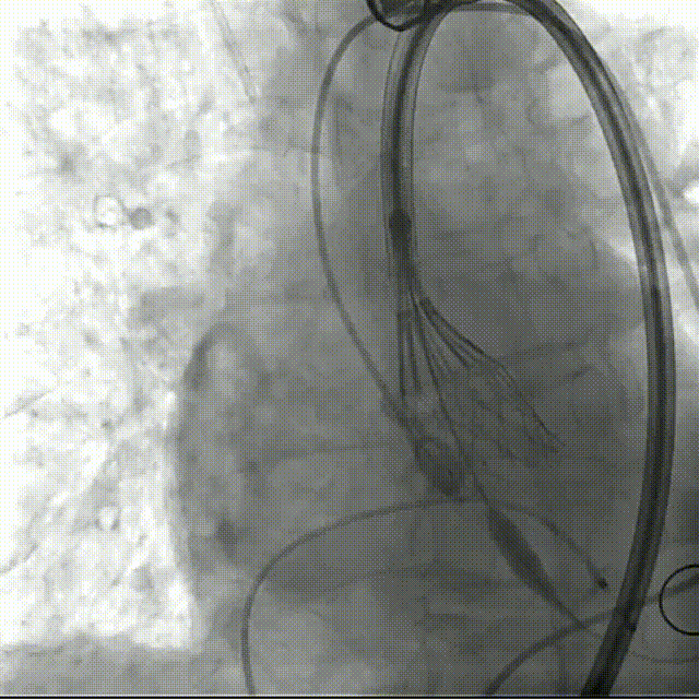
全展开后造影评估

瓣膜打平造影评估
瓣膜位置可,形态可

脱钩后造影,瓣膜无位移,形态可

弓部剪影,无瓣周漏,升主无损伤
总结
在近期的经导管主动脉瓣置换术(TAVR)实践中,石河子大学第一附属医院贺贵宝、薛亚军教授团队再次展现了其卓越的临床决策能力与手术技艺。他们凭借深厚的临床经验积累,并紧密结合每一位患者的个体化解剖特点,精准制定手术策略,充分发挥了ScienCrown瓣膜独特的“双入路”设计优势,成功攻克了多例高难度TAVR病例。贺贵宝教授强调,临床实践中患者的解剖结构千差万别,针对不同患者的具体情况选择最适宜的手术方式,是医者仁心与专业素养的体现。一款能够同时兼容经股动脉和经心尖两种入路的瓣膜,为术者提供了更为灵活的选择,有助于为患者量身打造并实施最合适的个体化诊疗方案,从而更好地服务于患者,保障手术疗效与安全。
国产创新自膨短瓣Sciencrown在PAR中的核心优化:
短瓣架设计:短瓣架设计,更短的释放行程,快速锚定贴靠
直筒型设计:直筒形态,多节段参与锚定,提供更平衡的径向支撑力
双层裙边设计:PET内外双裙边设计,提供更大摩擦力,保障瓣膜稳定
全释放/全回收设计:100%全展开,瓣膜整体参与锚定,评估更精准更安心
预弯型设计:瓣膜装载后胶囊段自带30°弯型,瓣膜释放过程更同轴
管榫挂钩设计:12个挂钩设计,逐一释放,分散脱钩张力,实现零张力脱钩
手术专家简介

贺贵宝
石河子大学第一附属医院
副主任医师。从事心血管专业23年,现任石河子大学第一附属医院心血管外科学科带头人。
曾先后在西安西京医院、北京阜外医院、北京安贞医院、上海德达医院、武汉亚洲心脏病医院总院进修学习。
对于后天性及先天性心脏病心血管疾病具有丰富诊疗经验。 近年向微创心脏外科手术发展,如:微创搭桥术、微创瓣膜置换术、侧切口行先心病手术、半劈胸骨行先心病手术、外科介入封堵手术等。B型夹层动脉瘤支架治疗术、腹主动脉瘤腔内隔绝术等。 对结构性心脏病具有丰富的诊疗经验,如TEER术,TAVR术等。
先后在国内知名医学期刊发表论文多篇、SCI论文一篇、参与编写专著二部。

薛亚军
石河子大学第一附属医院
石河子大学第一附属医院心胸外科 科室主任
主任医师,外科学硕士
自治区胸外科质控中心委员
新疆医学会肿瘤学专业委员会胸部肿瘤学组委员
新疆医学会胸心血管外科专业委员会普胸学组委员
兵团胸外科质控中心主任委员
兵团医学会肿瘤学分会委员
-END-
专业的心血管医生学术交流平台


版权及免责声明:
本网站所发表内容知识产权归属医谱平台、主办方以及原作者等相关权利人,未经许可,禁止进行复制、传播、展示、镜像、转载、摘编等。经授权使用,须注明来源,否则将追究其法律责任。有关作品内容、版权和其他问题请与本网联系
发表留言
暂无留言
输入您的留言参与专家互动