红河州首例 | 云南省滇南中心医院马韬教授团队应用ScienCrown TAVI治疗主动脉瓣重度狭窄并中重度关闭不全一例
近日,云南省滇南中心医院(红河州第一人民医院)心血管病医学中心马韬教授团队,成功为一名76岁高龄低体重、主动脉瓣重度狭窄合并中-重度关闭不全的患者,实施了红河州首例ScienCrown TAVI手术。
考虑患者年龄大、体重仅44公斤,无法耐受传统开胸换瓣,手术团队经过详细评估,决定采用兼具自膨瓣和球扩瓣双重优势的ScienCrown瓣膜实施经股TAVI介入治疗。术中人工瓣膜植入稳定释放,术后造影显示,瓣膜形态位置理想,未遮挡冠脉通路,血流动力学明显改善。

患者基本情况
女性患者,76岁,因“胸闷、气促、乏力半月余”入院。心脏超声显示:主动脉瓣重度狭窄并中-重度关闭不全,峰值压差高达107mmHg,左房扩大。患者症状明显,活动后加重,夜间无法平卧,属于典型的重度主动脉瓣狭窄表现。
术前超声

-
主动脉峰值流速 5.18m/s
-
主动脉平均压差68mmHg
-
EF:52%
-
主动脉重度狭窄并中-重度反流
-
二尖瓣中量反流
-
三尖瓣中量反流
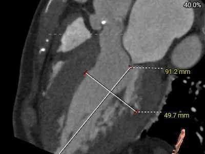
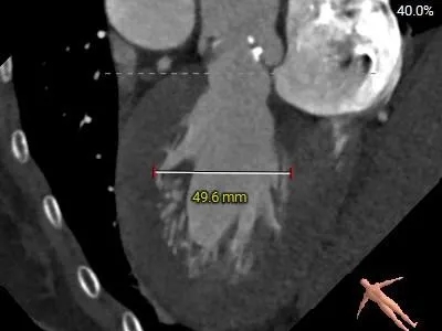
术前CT分析
主动脉根部测量



Annulus
20.1mm
LVOT
19.9mm
钙化积分
322mm3



STJ 26.3mm
高16.7mm
AAO
33.4mm
L-30.6mm R-27.5mm
N-29.5mm
-
三叶瓣,RL/RN高位纤维融合,瓣环偏大
-
瓣环直径约20.1mm,直筒型流出道
-
瓣叶增厚,中度钙化
主动脉根部测量



Super-Annulus
2mm 20.5mm
Super-Annulus
4mm 21.3mm
Super-Annulus
6mm 21.3mm



Super-Annulus
8mm 20.8mm
Super-Annulus
10mm 21.4mm
Super-Annulus
12mm 20.8mm
主动脉根部测量


Left Coronary
11.5mm
LCA & Leaflet
12.2mm<13.0mm


Right Coronary
10.5mm
RCA & Leaflet
13.3mm<13.5mm
-
左、右冠脉高度偏低
-
双侧瓣叶偏长
-
结合SOV、STJ内径评估冠脉风险适中,结合球扩情况充分评估
左室测量


-
心室内径尚可
-
心室壁增厚
外周入路评估

外周血管内径充足,无明显钙化,腹主动脉轻微迂曲
47°非横位心
手术策略制定
-
麻醉方式:全麻;
-
冠脉风险:冠脉阻挡风险适中,球囊预扩后决定是否行冠脉保护;
-
球囊扩张策略:20mm球囊预扩;
-
瓣膜选择:ScienCrown TAVTF23mm 0位定位释放;
-
入路选择:右侧股动脉入路,左侧为辅入路。
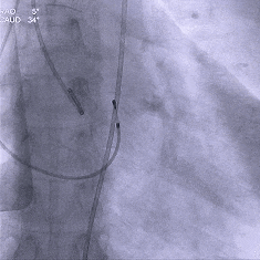
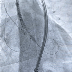
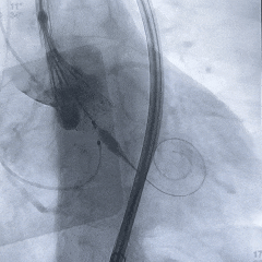
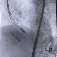
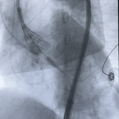
术中影像


根部造影:中大量反流,瓣叶活动度差
20mm球囊预扩:
轻微腰,无漏,左冠灌注正常


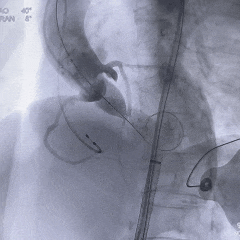
瓣膜0位初始定位
瓣膜稳定释放至全展开


工作位造影:无冠窦侧瓣下2mm左右,瓣膜形态直筒
左冠切线位,可见左冠开口无遮挡


多角度观察,确认瓣膜稳定
脱钩后造影,瓣膜位置可,几乎无瓣周漏


左冠切线造影,确认冠脉无遮挡
外周血管造影无损伤,手术结束

国产创新自膨短瓣ScienCrown
-
直筒型瓣架设计:全瓣架参与支撑,瓣膜受力更均匀,更好应对高钙化患者的特征,同时为瓣膜植入带来释放稳定性,整体释放过程瓣架几乎无位移;
-
全挂连接设计:实现100%全展开与可回收,让评估更充分,植入位置更精准,瓣膜脱钩更稳定,从容应对高钙化、冠脉高风险等复杂病例;
-
短瓣架+预弯型设计:瓣膜与系统成角度挂载,配合短瓣柔性连接,自动适应主动脉弯形,以获得更好的同轴性,减少高低瓣的发生。
专家简介

· END ·
专业的心血管医生学术交流平台


版权及免责声明:
本网站所发表内容知识产权归属医谱平台、主办方以及原作者等相关权利人,未经许可,禁止进行复制、传播、展示、镜像、转载、摘编等。经授权使用,须注明来源,否则将追究其法律责任。有关作品内容、版权和其他问题请与本网联系
发表留言
暂无留言
输入您的留言参与专家互动