单日4例MitraClip-TEER|喀什地区第一人民医院心血管内科中心开创南疆结构性心脏病发展新历程
喀什地区第一人民医院心血管内科中心杨和银和阿力木江教授团队,联合中山大学孙逸仙纪念医院陈样新院长和邱琼教授,在超声科,心外科,导管室,CCU,内窥镜中心及护理团队等工作人员默契配合下,单日内连续为4例高危重度二尖瓣反流患者安全高效地实施了经导管二尖瓣钳夹手术(MitraClip™)。此举有力推动了南疆地区结构性心脏病学科的发展新历程。
这次广东名医进疆工程活动中特别设置了“大咖面对面”环节,手术日当天邀请喀什市人民医院,巴楚县人民医院,伽师县人民医院,疏勒县人民医院心内科主任及骨干,以“理论筑基—实战观摩—思辨复盘”为主线,通过分析临床病例、复盘手术经过,专家和学员碰撞思维火花,同时解答学员临床之惑。未来喀什地区第一人民心血管内科中心将持续为外科高危的二尖瓣中重度反流患者以及药物治疗无效的功能性二尖瓣重度反流患者提供微创修复二尖瓣新选择,为南疆各族人民的生命健康保驾护航。







病例一
患者基本信息
年龄:77岁。
主诉:出现活动时胸闷、气短不适,加重一周。
现病史:患者自述近5天以来间断出现胸闷、气短不适,多于活动劳累及情绪波动后出现,每次持续5-15分钟左右,经休息可逐渐缓解。未引起重视。近一周,患者胸闷、气短发作频繁,活动耐力明显减低,并逐渐出现夜间不能平卧、双下肢水肿。故就诊于当地医院并住院治疗,但症状仍未缓解,建议患者转至上级医院进一步治疗,喀什地区第一人民医院门诊以“心脏瓣膜病 心力衰竭 心功能Ⅲ级”为诊断收住入院。
入院诊断:1.心脏瓣膜病,二尖瓣关闭不全(重度),心房扩大(左房),心室扩大(左室),急性心力衰竭,心功能Ⅲ级;2.冠状动脉粥样硬化性心脏病,稳定性心绞痛;3.高血压3级(极高危);4.睡眠障碍。
手术策略与手术过程
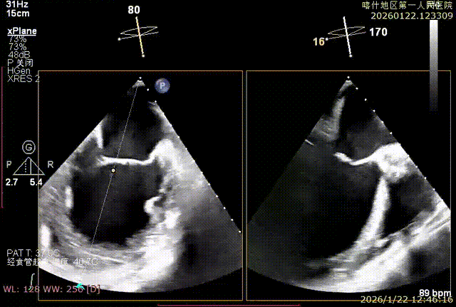
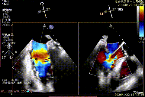
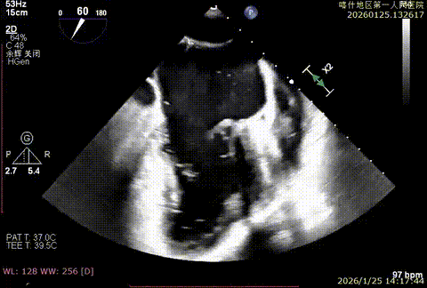
该例患者为VFMR,术前制定手术策略:患者二尖瓣重度反流,后叶严重栓系,心房心室扩大。患者瓣口面积4.5cm2,预计使用两枚XTR解决患者瓣叶脱垂和反流。考虑到先于2区进行钳夹,应该能获得足够的房间隔穿刺高度。术中经不断调整穿刺位点,最终穿刺高度4.4cm。成功穿刺后将第一枚XTR送入二尖瓣正上方,进行弹道测试Orientation调整后,最终定位于2区正上方下左心室。第一枚夹子在左室成功捕捞和钳夹瓣叶后,瓣叶反流程度显著降低,夹子外侧仍见部分反流,随后在第一枚夹子外侧再次放置一枚XTR,瓣叶反流程度进一步降低至微量。通过TEE观察,二尖瓣双孔组织桥稳定,跨瓣压差3mmHg,肺静脉逆流改善明显,手术安全结束。


X-plan重度反流


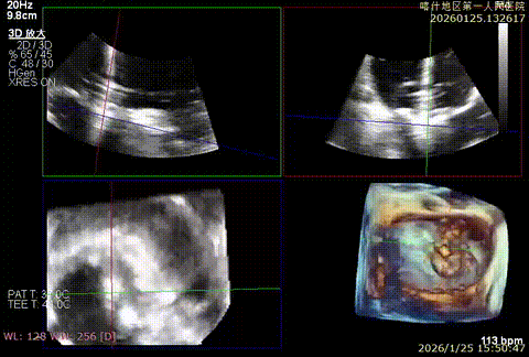
3D enface后叶栓系
3D enface观察反流


SCG进入左房
第一枚二尖瓣夹定位


第一枚XTR捕捞夹持
第二枚XTR弹道测试


第二枚成功钳夹
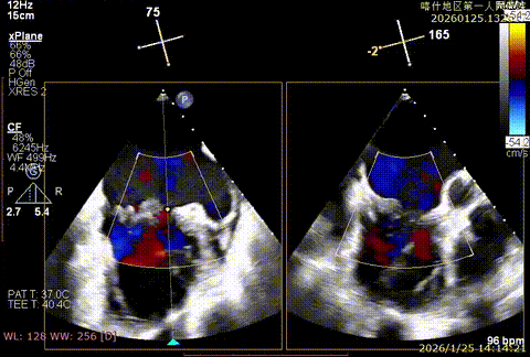
反流充分降低

术后压差3mmHg

病例二
患者基本信息
年龄:72岁。
主诉:间断胸闷、气短三年。
现病史:患者诉近三月前开始出现胸闷、气短,伴有心慌,全身乏力,手颤。活动时明显,持续时间时长时短,休息后可缓解。上述症状间断发作,于2025年10月在喀什地区第一人民医院心内科住院治疗,于10月10日行冠脉造影术,明确诊断为冠脉中度狭窄,心脏瓣膜病,二尖瓣脱垂伴关闭不全(中度),给予对症治疗,建议择期行二尖瓣钳夹治疗。
既往史:“高血压”病史7年。
入院诊断:冠心病,心脏瓣膜病,二尖瓣脱垂伴关闭不全(中度)。
手术策略与手术过程
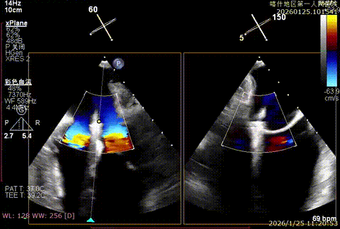
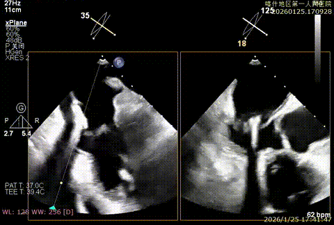
该例患者为DMR类Barlows患者,二尖瓣重度反流,患者1,2,3区均可见脱垂,脱垂主要源于3区,反流主要源于3区。术前制定手术策略:使用一把XTR解决患者瓣叶脱垂与二尖瓣反流。术中进行房间隔穿刺后将XTR-CDS送入左心房,通过操控“M”旋钮,成功将二尖瓣夹定位于2区正上方。在2区进行弹道测试成功后,进行Orientation调整。在3区将二尖瓣夹送入左心室,成功捕捞和夹持瓣叶后缓慢关紧夹臂,解决大部分反流,Saide by Saide L植入第二把XTR。TEE检查见二尖瓣反流程度充分降低至1+,二尖瓣双孔组织桥稳定,跨瓣压差3mmHg,肺静脉逆流改善明显,手术安全结束。


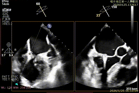
X-plan切面3区后叶脱垂
X-plan切面重度反流


3D enface 观察脱垂
3D enface观察反流


3D enface后叶栓系
XTR初定位


XTR终定位
成功捕捞并夹持


组织桥稳定
第二枚夹子弹道测试


第二枚夹子夹持
反流降低

组织桥稳定

病例三
患者基本信息
年龄:80岁。
主诉:间断胸闷、气短1年,加重5天。
现病史:患者自述于一年前开始劳累后出现胸闷,气短等不适,休息后可缓解,多于提重物,上坡时发作,活动耐力较前下降,间断出现下肢浮肿不适,未在意,未住院正规诊治。此后胸闷,气短,心悸较前加重,轻微活动明显受限,伴端坐呼吸,平卧受限,下肢浮肿。多次在喀什地区第一人民医院心内科住院治疗,行冠脉造影术示冠脉未见明显狭窄,给予药物对症治疗,病情好转出院,出院后未正规服药。上述症状加重,就诊于喀什地区第一人民医院急诊科,急诊科完善检查后,以心脏瓣膜病,心力衰竭为诊断收住入院。
既往史:“高血压病”病史6余年,最高血压180/120mmHg,服用“利伐沙班片 75mg 1次/日”。慢性阻塞性肺病病史,呼吸衰竭病史1年。
入院诊断:1.重度二尖瓣反流 二尖瓣脱垂;2.高血压3级(很高危组)。
术前评估
-
DMR,Barlows病变,瓣口重度反流。
-
左心耳显示清晰,内未见异常回声。
手术策略与手术过程
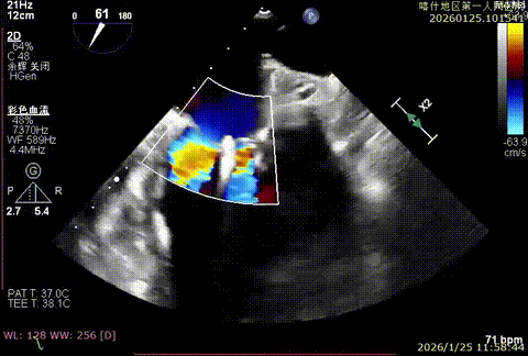
该例患者为DMR,1,2,3区均见脱垂,主要脱垂位于1区及外交界后叶脱垂,病变解剖结构亦相对复杂。术前制定手术策略:使用3把XTR解决患者瓣叶脱垂与二尖瓣反流。术中首先进行房间隔穿刺,最终穿刺高度4.5cm。穿刺成功后将SGC和XTR-CDS依次送入左心房,通过操控“M”旋钮调节SGC,使二尖瓣夹避开华法林脊并成功定位于2区正上方。在2区进行弹道测试成功后,进行Orientation调整。最终在1区将二尖瓣夹送入左心室,成功捕捞和夹持瓣叶后缓慢关紧夹。第二枚XTR植入2区,采用双拉链技术,从两个夹子中间植入第三枚夹子,固定脱垂区域降低反流。TEE检查见二尖瓣反流程度降低至少量,二尖瓣双孔组织桥稳定,肺静脉逆流改善明显,手术安全结束。


bicomm切面-大脱垂
X-plan 1区后叶脱垂


3D enface脱垂情况
X-plan 反流情况


第一枚夹子位于1区植入
3D enface组织桥稳定


第二枚XTR终定位
观察瓣叶捕获情况


捕捞并夹持
3D enface组织桥


第三枚夹子定位
第三枚夹子释放


3D enface 组织桥稳定
3D enface 反流少量

第三枚双拉链技术XTR从两个夹子中间植入,精准定位,严丝合缝

病例四
患者基本信息
年龄:77岁。
主诉:间断胸闷、气短30年,加重伴乏力1月。
现病史:患者诉于30年前因感冒、咳嗽后出现胸闷,心慌,平卧受限等症状,无发热,盗汗,当地医院就诊,给予输液,对症治疗,检查心脏B超发现:二尖瓣脱垂并关闭不全,上述症状间断出现,2018年1月在医院就诊,完善冠脉造影,诊断为冠心病,给予对症治疗,症状未见好转。上述症状间断出现,患者自诉一月前感冒后胸闷,气短不适加重,伴乏力,咳嗽,逐为进一步诊治就诊于喀什地区第一人民医院,完善心脏彩超:二尖瓣后叶脱垂并二尖瓣反流(重度);左房增大;主动脉瓣反流(轻度);肺动脉高压(轻度);三尖瓣反流(轻度);房间隔膨出瘤形成,可疑,卵圆孔未闭;左室收缩功能正常;门诊以二尖瓣后叶脱垂并二尖瓣反流(重度)为诊断收住入院。
既往史:于30年前诊断为二尖瓣后叶脱垂并关闭不全,未行正规诊治。8年前在医院行冠脉造影术并诊断为冠脉粥样硬化性心脏病。
入院诊断: 二尖瓣后叶脱垂并重度二尖瓣反流。
术前评估
-
DMR,1区交界后叶严重脱垂,重度二尖瓣反流。
-
左心耳显示清晰,内未见异常回声。
手术策略与手术过程
该例患者为DMR,脱垂区域较宽,术前制定手术策略:使用2把XTR先于患者外侧交界至1区部位进行钳夹。术中房间隔穿刺高度为4.0cm。成功穿刺后将SGC和XTR-CDS依次送入左心房,通过操控“M”旋钮调节SGC,使二尖瓣夹避开华法林脊,成功定位于2区正上方。在2区进行弹道测试成功后,进行Orientation调整。第一把于外侧交界区夹持,第二把于1区夹持,术中成功捕捞和夹持瓣叶后缓慢关紧夹臂,TEE检查见二尖瓣反流程度降低至1+,术后平均跨瓣压差3mmHg,手术顺利结束。


重度反流
SCG进入左房


3D enface进行Orientation调整
捕捞并夹持瓣叶


反流降低
第二枚XTR定位


Orientation调整
捕捞并夹持瓣叶,反流有效降低

组织桥稳定

术后平均跨瓣压差3mmHg

小结
据了解,二尖瓣反流(Mitral Regurgitation, MR)是常见心脏瓣膜疾病之一,由于患者心脏二尖瓣关闭不全,收缩期血流逆向从左心室反流至左心房,从而使动脉系统有效供血降低,肺循环及静脉系统血流淤滞。中重度以上二尖瓣反流(MR≥3+)患者往往存在心力衰竭症状,如不及时纠正,则预后不良。在临床上,很多患者由于高龄、心功能不全等问题,无法耐受传统的外科开胸手术,而且心衰合并功能性二尖瓣反流的患者外科效果往往不佳。而MitraClip手术通过微创治疗二尖瓣反流的新方案,通过股静脉入路穿刺房间隔,二尖瓣夹钳夹病变的瓣叶促进瓣叶对合,可以安全有效降低二尖瓣反流。达到有效减少手术创伤、提高患者生活质量,带来生命“心”希望。
专家简介





· END ·
专业的心血管医生学术交流平台


版权及免责声明:
本网站所发表内容知识产权归属医谱平台、主办方以及原作者等相关权利人,未经许可,禁止进行复制、传播、展示、镜像、转载、摘编等。经授权使用,须注明来源,否则将追究其法律责任。有关作品内容、版权和其他问题请与本网联系
发表留言
暂无留言
输入您的留言参与专家互动