西北首例|喀什地区第一人民医院成功应用K-Clip®联合M-TEER“一站式”手术救治一位重度MR合并极重度TR患者



患者为房性功能性二尖瓣重度反流(AFMR),三尖瓣极重度关闭不全,病情危重。其二尖瓣及三尖瓣解剖结构均符合手术条件。患者心衰症状严重,急需行二尖瓣及三尖瓣介入治疗。主诉发作性胸痛,心悸1年。多学科MDT充分讨论后结合患者意愿,决定为该患者实施经导管三尖瓣环修复(K-Clip®)手术,同期开展经导管二尖瓣缘对缘(MitraClip-TEER)手术,一站式为患者解决二尖瓣反流及三尖瓣反流,纠正心衰。最终凭借陈样新院长及心血管内科杨和银主任、阿力木江副主任团队高水平手术操作,在心脏超声科邓冰清教授、木合塔尔主任、吐尔洪江副主任医师,麻醉科姑丽斯坦主任、谢松江副主任医师及手术室相关医生的通力配合下顺利完成手术。术后患者二尖瓣及三尖瓣反流降至轻度,心衰症状明显改善。


患者基本信息
基础信息:男性,54岁。
主诉:发作性胸痛、心悸1年,加重2月。
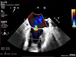
入院后超声诊断:二尖瓣中重度反流(3+);三尖瓣重度反流;心力衰竭。
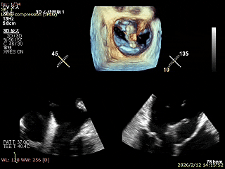
二尖瓣术前评估
复查TTE及TEE检查进一步评估二尖瓣情况。明确为AFMR,二尖瓣功能性反流,2区瓣叶运动,重度FMR(3+),肺静脉逆向血流;2区后叶长度13 mm,2区前叶长度20mm,AP径37mm,瓣口面积4.08cm²,房间隔高度4.5cm,瓣叶无钙化,二尖瓣瓣膜条件适合行TEER手术。


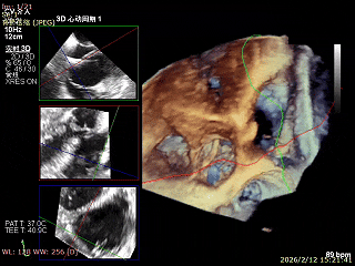
术前Bicom
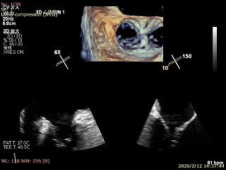
二尖瓣2区功能性反流


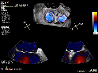
二尖瓣三维视图
2区彩色血流
TEER手术过程
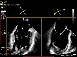
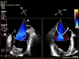
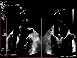
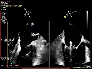
患者全麻下行TEER手术。穿刺患者右侧股静脉,在X线及食道超声指导下完成房间隔穿刺成功获得足够穿刺高度。再将加硬导丝送至左上肺静脉,20F股静脉扩张鞘充分扩张股静脉穿刺部位,沿加硬导丝将可操纵导引导管(SGC)送入左房。沿SGC送入XTR夹子完成骑跨,使用M旋钮使夹子指向二尖瓣。调整MitraClip输送系统顺利到达二尖瓣目标位置,TEE指导下左房内完成弹道测试和Orientation调整。缓慢将XTR夹子送入左室,并三维再次确认夹子轴向和反流位置,缓慢上提夹子使夹臂成功捕获瓣叶,Gripper Down夹持前后瓣叶并缓慢关闭夹臂,夹持后反流降至微量。评估后将夹子释放,释放后反流微量夹子稳定。术后复查超声证实夹合组织充分,显示微量残余分流。肺静脉多普勒波形恢复正常。手术时间持续约1.5小时。


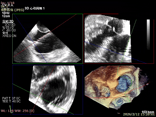
房间隔穿刺
夹子送入左房骑跨调整M,弹道测试


使用M旋钮调整夹子指向二尖瓣
三维观察血流,调整Orientation


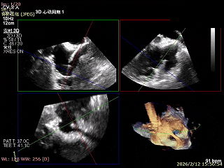
TEE引导夹子送入左室捞捕瓣叶
复核Orientation


Gripper Down夹持前后瓣叶并关闭夹臂
夹持后反流降至微量

组织桥稳定
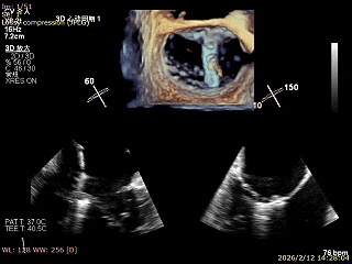
三尖瓣术前评估
三尖瓣反流(重度);肺动脉高压(中度);二尖瓣反流(中度);双房左室增大;左室顺应性减低。
术前食道超声评估
三尖瓣关闭不全重度(4+,平均缩流颈10mm),反流口以前隔、中央为主,部分后隔,瓣叶未见明显脱垂及GAP,三尖瓣环扩张(瓣环平均径43mm),二尖瓣中-重度反流,肺动脉高压(PASP:44mmHg)。
术前CT评估
收缩期周长:173mm 面积2217mm²。非右冠优势型,RCA走行中段之后未见瓣环平面冠脉显影。术中冠脉影响风险较低。

手术策略
对患者三尖瓣瓣环和右冠跟瓣环距离等完成多维度评估后,充分结合其病变特点与解剖结构细节,确立以双夹K-Clip®植入为核心的精准治疗方案。手术操作中,14T型号K-Clip®植入三尖瓣后隔交界处,16T型号K-Clip®则植入前后交界处。该术式通过双点定位植入的精准操作,可有效缩减三尖瓣瓣环直径、提升瓣叶对合效能,从解剖学层面直接纠正三尖瓣反流,为患者术后顺利恢复提供关键的结构支撑。
K-Clip®手术过程


麻醉后基线反流
第一套14T夹子指向三尖瓣后瓣环处


攻入锚定螺丝:螺丝攻入三尖瓣环处
准备夹合:调整Orientation


MultiVue贴靠瓣环并关闭夹合部件


第二套器械同样操作,解离后RCA血流通畅
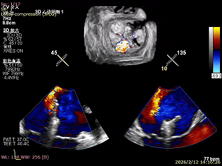
手术效果评估
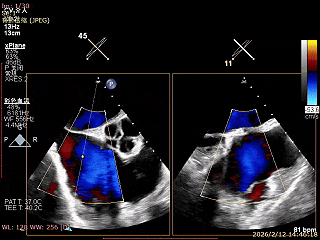
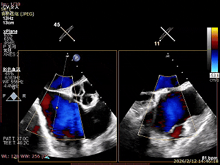
反流评估:术前4+下降至1+


术前中央反流
术后中央反流
DSA双夹释放后形态无异常,锚定部位均在预期位置,RCA血流未受到影响。



术前瓣环面积
术后瓣环面积
后复查经胸心脏超声,示肺静脉、肝静脉逆流消失,二尖瓣及三尖瓣反流降低至轻度,手术效果良好。
小结
此例重度MR合并重度TR的一站式介入治疗,标志着喀什地区第一人民医院在结构性心脏病领域再攀高峰。合并MR+TR是临床中最常见的联合瓣膜病,原发性左侧VHD(瓣膜病)或既往左侧瓣膜介入治疗患者中度或重度TR,是不良结局的独立预测因子[1]。另有文献研究发现基线时严重TR与M-TEER术后1年更高死亡率相关[2]。K-Clip®与MitraClip的联合应用,不仅突破了传统外科“分步处理”的局限,更以微创方式同步重塑双瓣功能,为继发性多瓣膜病变提供了“中国方案”。手术成功的背后是MDT精准评估、影像实时导航与术者匠心操作的完美融合,彰显“以患者为中心”的现代医疗理念。随着人口老龄化和心衰合并多瓣膜病激增,这一创新路径将惠及更多高危患者,推动我国瓣膜介入从“单兵作战”迈向“联合制胜”的新时代,为实现“健康中国”写下有力注脚。
参考文献
向上滑动阅览
专家简介



· END ·
专业的心血管医生学术交流平台


版权及免责声明:
本网站所发表内容知识产权归属医谱平台、主办方以及原作者等相关权利人,未经许可,禁止进行复制、传播、展示、镜像、转载、摘编等。经授权使用,须注明来源,否则将追究其法律责任。有关作品内容、版权和其他问题请与本网联系
send a message
暂无留言
输入您的留言参与专家互动