反流新“瓣”法 | 大连医科大学附属第一医院郭然教授团应用ScienCrown完成高难度纯反流经股TAVR手术
近日, 大连医科大学附属第一医院郭然教授团队应用ScienCrown自膨短瓣系统,为一位高龄重度主动脉瓣反流患者成功实施高难度经股TAVR手术。本例患者为一例三叶式主动脉瓣反流,合并右冠瓣脱垂、升主动脉扩张等复杂解剖条件,且外周入路走形略迂曲,这对瓣膜植入的精准锚定和稳定性都提出了极高要求。
手术团队依托全面的术前评估、周密的策略方案,实现了术中瓣膜精准定位与释放,手术过程顺利,原有重度反流完全消失,术后患者获得了理想血流动力学效果及临床改善,充分印证植入瓣膜释放的稳定性和团队操作的精确性,为同类治疗提供了宝贵临床参考。

患者基本情况
基础信息:男性,73岁。
术前超声
超声所见:
主动脉瓣增厚,回声增强,右冠瓣舒张期脱向左室流出道,跨瓣血流线速度加快,峰值压差25mmHg,瓣口探及中重度偏心性反流,反流束冲击二尖瓣前叶及左室侧壁;二尖瓣口探及轻中度反流。
LVEF 46%(反流程度加重,可能导致高估)。
超声诊断:
-
可疑左室壁节段性运动异常
-
左心系统及右房大
-
主动脉瓣钙化、右冠瓣脱垂并跨瓣血流速度加快及中重度关闭不全
-
二尖瓣轻中度关闭不全
-
升主动脉扩张 主动脉窦扩张
-
下腔静脉增宽 肺动脉主干增宽 少量心包积液 左室收缩功能减低

术前CT分析
-
单纯反流三叶式主动脉瓣,瓣叶稍厚,右冠瓣脱垂;
-
瓣环径约为26.4mm,流出道偏直筒型;
-
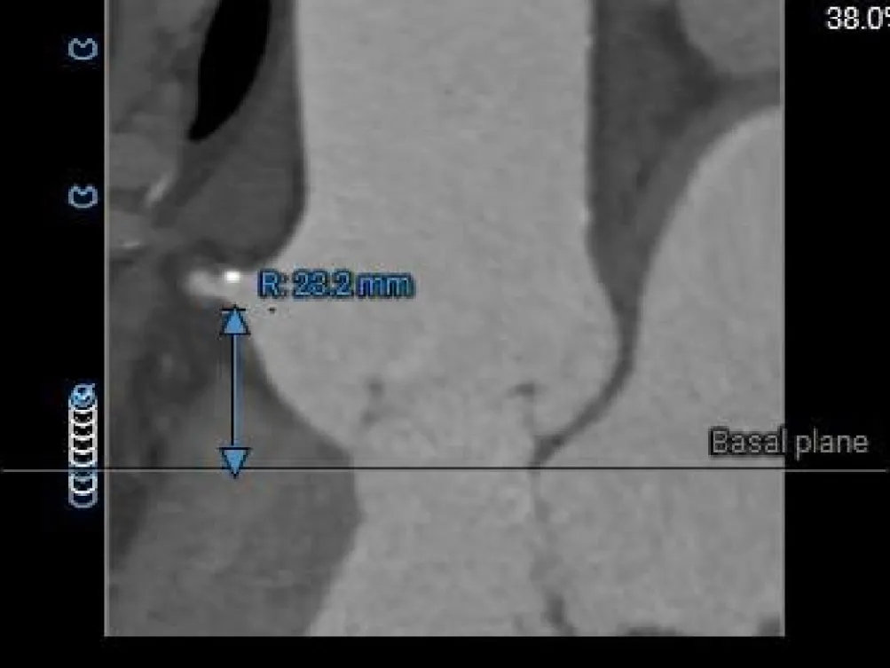
左冠开口高度约为25.2mm,右冠开口高度约为23.2mm;
-
瓣环水平夹角59°,横位心临界值,升主动脉明显扩张;
-
外周入路走形略迂曲,左右股动脉直径偏细,主动脉弓部至双侧下肢血管可见明显钙化分布;
-
左侧下肢动脉入路最小平均内径5.4mm,右侧下肢动脉入路最小平均内径6.2mm,右侧穿刺点附近存在连续性钙化。
主动脉根部测量



Annulus:26.4mm
LVOT:26mm
VR图



SOV:
45.8*45*41.3mm
STJ:
41.3mm
AAO:
43.3mm
瓣上结构测量



瓣上2mm
27.3mm
瓣上4mm
29.7mm
瓣上6mm
31.9mm



瓣上8mm
33.1mm
瓣上10mm
33.2mm
无钙化
冠脉风险评估


LCA Height
RCA Height


LCA & Leaflet
RCA & Leaflet
左室测量


工作体位



右窦中心
左右重合
左冠切线
外周入路评估

手术策略制定
本例患者病情复杂,存在瓣环内径偏大、右冠瓣叶脱垂、血管入路条件差及左心扩大等多重因素。经郭然教授团队组织多学科综合评估后,最终确定以经导管主动脉瓣置换术(TAVR)为核心治疗方案。针对纯反流病例中瓣膜定位与锚定的技术挑战,团队创新性应用了具备“全释放/全回收”功能的国产新一代瓣膜系统ScienCrown。该器械的全回收功能为手术操作提供了重要保障,使术者能够从容进行精细调整,从而有效确保手术的安全性与成功率。
-
麻醉方式:全身麻醉;
-
冠脉风险:冠脉阻挡风险不高,不进行提前保护;
-
球囊扩张策略:无需预扩;
-
瓣膜选择:ScienCrown TAVTF29mm 0位定位释放;
-
入路选择:右侧股动脉为主入路,外科切开方式植入大鞘,必要时对入路血管进行球囊扩张。
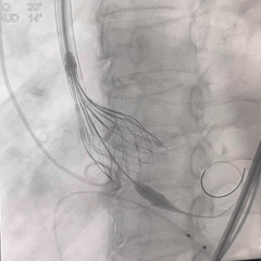
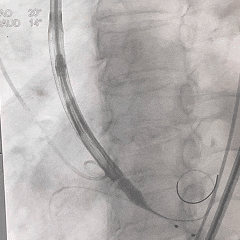
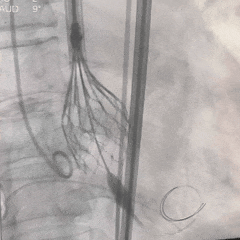
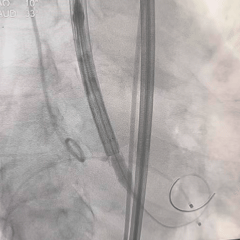
术中影像


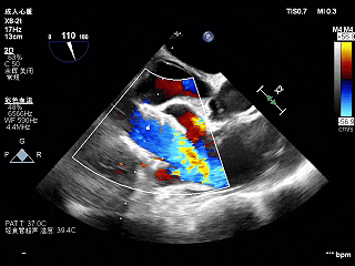
TEE长轴
TEE短轴


8mm外周球囊扩张髂动脉狭窄处
根部造影可见大量反流


TF29瓣膜,0位初始定位
全展开造影,大弯侧位置尚可


左侧位造影,小弯侧位置偏深
回收后调整瓣膜释放位置


全展开造影,瓣膜位置较高
多体位造影,瓣膜位于瓣上


再次回收,第三次释放
全展开造影,大弯侧0位


左侧位造影,小弯侧深度可
脱钩后造影,瓣膜位置可

外周血管检查,无损伤


TEE短轴,无瓣周漏
TEE长轴,瓣膜深度可
国产创新自膨短瓣ScienCrown在PAR中的核心优化:
-
短瓣架设计:短瓣架设计,更短的释放行程,快速锚定贴靠;
-
直筒型设计:直筒形态,多节段参与锚定,提供更平衡的径向支撑力;
-
双层裙边设计:PET内外双裙边设计,提供更大摩擦力,保障瓣膜稳定;
-
全释放/全回收设计:100%全展开,瓣膜整体参与锚定,评估更精准更安心;
-
预弯型设计:瓣膜装载后胶囊段自带30°弯型,瓣膜释放过程更同轴;
-
管榫挂钩设计:12个挂钩设计,逐一释放,分散脱钩张力,实现零张力脱钩。
专家简介



· END ·
专业的心血管医生学术交流平台


版权及免责声明:
本网站所发表内容知识产权归属医谱平台、主办方以及原作者等相关权利人,未经许可,禁止进行复制、传播、展示、镜像、转载、摘编等。经授权使用,须注明来源,否则将追究其法律责任。有关作品内容、版权和其他问题请与本网联系
发表留言
暂无留言
输入您的留言参与专家互动