TAVR-in-TAVR 惊险瞬间:生物瓣瓣环严重钙化导致的球扩瓣球囊破裂后的系统化补救策略
摘要
研究目的
本研究旨在展示一种紧急的术中补救策略,以展示在钙化、失效的Evolut R 瓣膜中,应用SAPIEN 3 Ultra RESILIA 瓣膜行redo-TAVR手术时发生球囊破裂如何进行紧急补救。
关键步骤
-
立即整体取出装有破裂球囊的输送系统及14F鞘管。
-
将鞘管升级至16F,以压迫止血,防止潜在的髂动脉损伤,并行髂动脉造影以确认无活动性出血。
-
立即对未完全扩张的瓣膜进行球囊后扩张,以防止移位。
-
使用覆膜支架对受损的髂股动脉进行血管内修复。
潜在风险
髂股动脉突然破裂可能导致出血性休克。若在取出过程中遇到明显阻力,应停止整体取出,将系统重新置于主动脉内以采用其他取出方法(如对侧套捕)。若整体取出后出现出血性休克,则从腹主动脉至股动脉穿刺部位植入覆膜支架;若在取出前发生出血性休克,则需紧急行外科修复。
要点总结
既往植入的Evolut R 瓣膜若存在严重的瓣环钙化,可能增加 SAPIEN 3 Ultra RESILIA 球囊破裂的风险。有效的应急处理策略包括:整体取出系统、鞘管升级、立即行后扩张以及及时进行血管内修复。

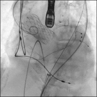
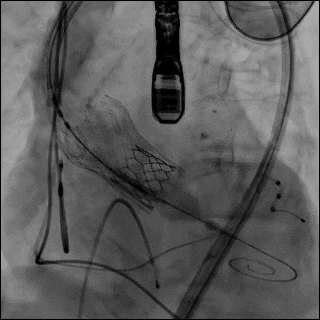
(左图)一名84岁女性因既往植入的 Evolut R 瓣膜出现严重瓣环钙化,接受23 mm S3UR瓣膜行 redo-TAVR。该患者最初因钙化的1型双叶主动脉瓣而植入 Evolut R 瓣膜。(中图)在瓣膜释放过程中,球囊近端发生破裂,远端球囊形成类似“伞状”结构。破裂部位对应严重的瓣上瓣叶钙化区域。(右图)呈伞状的远端破裂球囊无法通过14F鞘管回撤。因此整体取出输送系统及鞘管,将鞘管升级至16F,完成后扩张,并置入覆膜支架修复受损的髂股动脉。
在 SAPIEN 3 Ultra RESILIA 瓣膜释放过程中发生球囊破裂属于罕见并发症,但一旦发生,可能导致灾难性后果。术者必须熟悉其早期识别与处理策略,以确保手术成功和患者安全。
要点总结:
-
严重的瓣环及瓣叶钙化可直接压迫 SAPIEN 3 Ultra RESILIA 球囊,增加破裂风险。
-
整体取出破裂球囊系统、鞘管升级、立即后扩张以及及时血管内干预构成有效的应急处理策略。
病例概要
患者为84岁女性,9年前因重度主动脉瓣狭窄应用26 mm Evolut R 瓣膜行TAVR治疗。此次因进行性气促、乏力及双下肢无力1周就诊,1个月前曾因心力衰竭住院治疗。经食管超声心动图提示生物瓣严重退变及左心耳巨大血栓。因存在血栓,暂缓redo-TAVR,启动口服抗凝治疗。
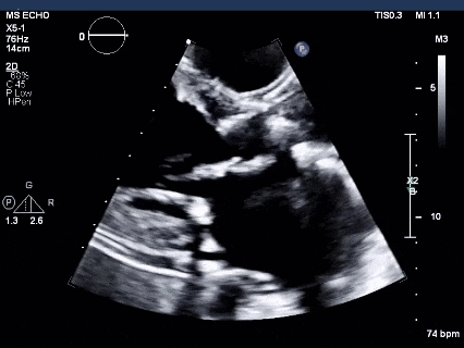
首次TAVR后并发完全性房室传导阻滞,LVEF仅29%,植入双心室起搏器。既往合并高血压。本次入院经胸超声提示 Evolut R 瓣膜瓣上瓣叶增厚并严重钙化(图1,视频1),峰值流速3.9m/s,平均压差33mmHg,有效瓣口面积0.67cm²。TEE 显示重度生物瓣狭窄、重度跨瓣反流及轻度瓣周漏(图2,视频2)。左心耳血栓大小2.9×1.0cm。

图 1经胸超声心动图显示 Evolut R 瓣膜的长轴切面
Evolut R 的瓣上瓣叶活动受限,并伴有严重的增厚和钙化(白色箭头)。瓣膜支架的心室侧也清晰可见(白色箭头)。

视频1

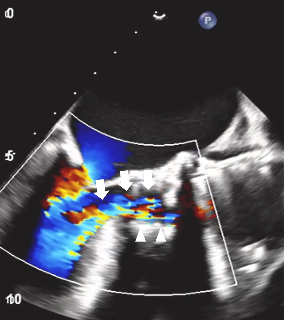
图2经食道超声心动图显示的左心室流出道视图
可见严重的跨瓣膜反流(白色箭头),以及轻微的瓣周反流(白色箭头)。

视频2
鉴于患者高龄、近期因心衰住院后衰弱加重及STS预测死亡风险评分12%,评估为外科极高手术风险,心脏团队决定行redo-TAVR。
在 redo-TAVR 前,行经皮左心耳血栓抽吸,并成功植入 Watchman FLX 封堵器完成左心耳封堵。
首次TAVR术前CT提示,患者为I型二叶式主动脉瓣,左、右冠瓣融合,并可见钙化嵴(图3,左)。同时可见无冠瓣瓣叶严重钙化(图3,左)。主要测量参数如下:
• 主动脉瓣环(Annulus):24.9×18.9mm,面积 373.8mm²,周长69.7mm。
• 左心室流出道(LVOT):26.8×18.5mm,面积 373.9mm²,周长70.8mm。
• 窦管交界(STJ):25.2×23.0mm。
• Valsalva 窦:左冠窦25.0mm,右冠窦23.6mm,无冠窦26.4mm。
• 冠脉开口高度:左冠14.4 mm,右冠13.2 mm。

图 3 术前CT 影像
(左)首次 TAVR 前CT显示 1 型双叶主动脉瓣,左、右冠瓣融合,并可见钙化嵴(白色箭头);同时可见无冠瓣瓣叶严重钙化(白色箭头)。(中)redo-TAVR 前CT于既往 Evolut R 瓣膜支架的 node 4 层面显示,由于瓣叶(白色箭头)及钙化嵴(白色箭头)存在严重钙化,导致既往瓣膜支架呈椭圆形扩张。(右)redo-TAVR 前 CT 于既往 Evolut R 瓣膜支架的 node 5 层面显示,既往瓣膜瓣叶存在严重钙化(白色箭头)。
为降低I型二叶式主动脉瓣狭窄伴广泛瓣叶及嵴部钙化导致的主动脉根部破裂风险,在首次 TAVR 手术中植入了一枚 26 mm自膨式 Evolut R瓣膜。
redo-TAVR 前的CT显示,由于严重的瓣叶钙化及钙化嵴存在,既往 Evolut R 瓣膜支架呈椭圆形扩张(图3,中)。此外,既往植入瓣膜的瓣叶亦可见明显的重度钙化(图3,右)。
冠脉风险平面评估:左冠状动脉位于 node 5,右冠状动脉(RCA)位于 node 4.5水平。自 node 1 至 node 4 的平均瓣环面积为 364.5mm²,周长为 68.0mm。髂股动脉条件适合经股动脉入路,最小管腔直径为 6.2 mm。
为降低冠脉阻塞风险,计划经股动脉行redo-TAVR,选用23 mm 球扩式S3UR瓣膜,其流出端定位于既往 Evolut R 瓣膜支架的 node 4 水平。
手术过程
表1:手术步骤

左前斜造影以获取最佳的瓣架对齐视角,可见 node 4 与 node 5 之间存在严重钙化,对应原Evolut R 瓣膜的瓣环上瓣叶区域。(图4,视频3)

图4 左前斜位瓣架对齐视图
在node4、node5之间可见严重钙化(白色箭头),对应原 Evolut R 瓣膜的瓣上小叶。

视频3
冠脉造影确认冠脉风险平面分别位于 node 5.5(左冠)和 node 4.5(右冠)水平(图5,视频4和5)。行预防性冠脉保护:导丝进入右冠状动脉,并于中段预置支架。

图5冠状动脉造影


视频4
视频5
采用21 mm TRUE 球囊行主动脉瓣预扩。在钙化的 Evolut R 瓣叶水平可见明显的“球囊腰征”(图6,视频6),提示严重瓣叶钙化导致扩张受阻。

图6 逐步操作过程
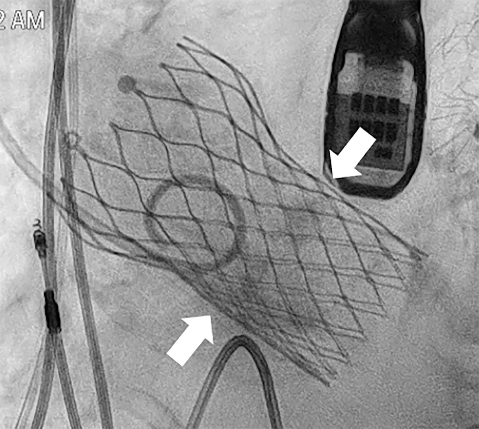
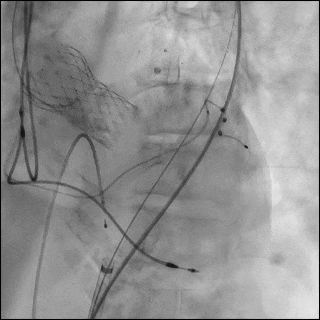
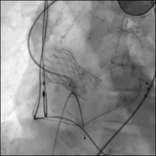
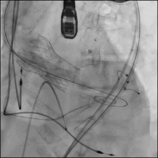
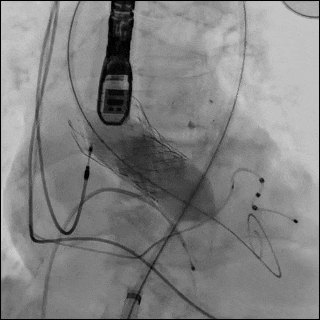
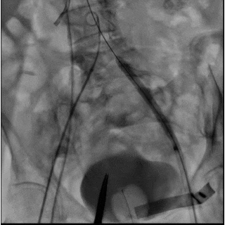
(A)使用 21 mm TRUE balloon 行主动脉瓣预扩张。于钙化的 Evolut R valve 瓣叶水平可见明显“球囊腰征”(白色箭头),提示充盈过程中存在显著阻力。(B)植入 23 mm SAPIEN 3 Ultra RESILIA valve(S3UR)过程中发生球囊破裂。球囊远端可见造影剂积聚(白色箭头),形成类似“伞状”外观,提示存在水平撕裂。23 mm 瓣膜未完全释放(白色箭头)。(C)对侧入路行髂动脉造影。可见左侧髂总动脉夹层,但无活动性造影剂外渗(白色箭头)。(D)使用 23 mm TRUE balloon 对未完全扩张的 S3UR 瓣膜进行后扩张。(E)血管内干预后髂动脉造影。将 16F eSheath 回撤至左侧髂外动脉,并于夹层的髂总动脉内植入一枚 8 × 59 mm VBX 覆膜支架(白色双向箭头)。(F)血管内干预后股动脉造影。左侧股总动脉穿刺通路采用 7 × 50 mm Viabahn stent graft 进行封闭(白色双向箭头)。最终造影显示无造影剂外渗,血流通畅。

视频6
此时,右冠的保护系统影响主动脉瓣系统前送,因此暂时撤除该系统,并将猪尾导管置于升主动脉。
随后植入23 mm S3UR 瓣膜,其流出端与既往瓣膜支架的 node 4.5对齐。球囊扩张过程中发生破裂,导致瓣膜未完全扩张。球囊远端内造影剂积聚提示存在水平撕裂,形成“伞状”结构,使系统无法通过14F鞘管回撤(图6B,视频7)。

视频7
经左股动脉将输送系统及鞘管整体取出,随后更换为16F 鞘管以压迫可能的血管损伤。经对侧髂动脉造影显示左侧髂总动脉夹层,但无活动性造影剂外渗(图6C,视频8)。术中血流动力学始终稳定。

视频8
随后采用23 mm TRUE 球囊对未完全扩张的 S3UR 瓣膜行后扩张(图6D,视频9)。后TEE提示瓣膜位置良好,无瓣周漏(PVL)。

视频9
将16F鞘管回撤至左髂外动脉水平,并植入一枚8×59mm VBX 覆膜支架用以修复左侧髂总动脉夹层(图6E,视频10和11)。左股动脉穿刺口采用7×50mm Viabahn 覆膜支架进行封闭(图6F,视频12)。最终造影示无造影剂外渗,血流通畅(视频13)。


视频10
视频11


视频12
视频13
术后第1天TTE显示左室射血分数40%,无跨瓣反流,轻微瓣周漏,平均跨瓣压差6mmHg,有效瓣口面积1.78 cm²。术后恢复顺利,于术后第11天出院。
30天随访时患者NYHA Ⅱ级。TTE显示峰值流速1.5 m/s,平均压差6mmHg,有效瓣口面积1.43cm²,无跨瓣反流,仅轻度瓣周漏。
潜在风险
本病例强调两个关键点:一是在严重瓣上钙化的 Evolut R 瓣膜行 redo TAVR 时存在 S3UR 球囊破裂风险;二是应建立有效的应急救援策略。
若未能及时识别球囊破裂的严重程度而强行回撤,可能导致灾难性血管并发症。当球囊发生水平破裂时,由于压力泵无法排空,造影剂可能会滞留在球囊远端,形成类似“伞状”的形态(图 6B)。在DSA下,这种外观应警示操作者:破裂球囊的远端部分可能无法重新进入大孔径鞘管。
此外,若未对未完全扩张的 SAPIEN 3 瓣膜进行后扩张,可能发生瓣膜移位或栓塞。重新建立通路后应立即完成后扩张固定瓣膜。迅速识别并果断采取行动,是避免严重手术并发症的关键。
如果尝试整体取出并计划行血管内修复,可能会发生髂股动脉突然破裂并引发失血性休克。若整体回撤时遇到明显阻力,应立即停止牵拉,将系统回送至主动脉,采用对侧套捕或“反向雨伞技术”等替代方法。
若整体取出后发生出血性休克,应自腹主动脉至股动脉穿刺部位连续植入覆膜支架。若在取出完成前即发生休克,则需紧急外科修补。此外,在主动脉或髂动脉破裂的情况下,也可以使用主动脉阻断球囊。
结论
本病例提示,在严重钙化的 Evolut R 瓣膜行 redo-TAVR 时,S3UR 球囊破裂虽罕见但后果严重。通过系统化救援策略——整体取出、鞘管升级、后扩张及血管内修复——成功完成手术并保障患者康复。
原文链接:
https://www.jacc.org/doi/10.1016/j.jaccas.2025.106548
本文为医谱学术原创,转载请注明来源
· END ·
专业的心血管医生学术交流平台


版权及免责声明:
本网站所发表内容知识产权归属医谱平台、主办方以及原作者等相关权利人,未经许可,禁止进行复制、传播、展示、镜像、转载、摘编等。经授权使用,须注明来源,否则将追究其法律责任。有关作品内容、版权和其他问题请与本网联系
发表留言
暂无留言
输入您的留言参与专家互动