小入路·反流挑战 | 武汉大学人民医院江洪、余锂镭、黄兵教授团队应用ScienCrown完成一例小入路、反流为主TAVR手术
近日,武汉大学人民医院江洪、余锂镭、黄兵教授团队成功为一名主动脉瓣反流为主患者,应用国产全可回收自膨短瓣(ScienCrown),通过经股动脉入路完成了TAVR手术。本例患者股动脉条件较差,双侧髂动脉存在局部狭窄,最细处仅3.8mm,入路极具挑战。手术团队联合血管外科,先行球囊扩张狭窄段血管并顺利置入大鞘,成功植入瓣膜,术后进一步以覆膜支架处理外周血管,保障了血管结构与功能完整性。该手术不仅展现了团队在反流病例瓣膜植入方面的丰富经验,也体现了多学科协作下为患者制定个体化治疗方案的综合能力。
患者基本情况
基础信息:86岁,男性。
主诉:喘气伴胸腔积液1月余。
现病史:患者自诉1月前出现胸腔积液,气喘胸闷咳痰,休息后缓解,全身乏力、胃部不适,数日未进食,无心慌、胸痛等症状。
ECG:
-
窦性心律,频发房性早搏
-
心电轴正常
-
完全性右束支阻滞
-
部分导联ST-T改变

术前超声
超声所见:
主动脉瓣呈三叶式,增厚,回声增强,瓣膜开放受限,关闭不全,瓣环径约22mm;二尖瓣增厚,回声增强,瓣膜开放幅度稍减低,关闭欠佳;余瓣膜形态启闭未见明显异常。LVEF=45%。
超声提示:
-
升主动脉及主动脉窦部扩张、主动脉瓣钙化并重度关闭不全及轻度狭窄;
-
左心大、左室收缩功能减低、舒张功能减低Ⅰ级、心包腔少量积液;
-
二尖瓣轻-中度反流(考虑功能性反流)。

术前CT分析
-
三叶瓣,系纯反流患者,环周长折算直径24.7mm;
-
左冠开口高度约为8.4mm,右冠开口高度18.5mm;左右冠脉风险相对较低;
-
瓣环角度约为55°,主动脉弓距尚可,走形尚可,升主明显增宽,左室收缩末期明显增大;
-
左右重叠体位:RAO 22° CAU 40° ,左冠切线位:LAO 23° CRA 17°;
-
左右股动脉条件较差,左右髂动脉均局部狭窄,注意血管入路风险。
主动脉根部测量



Annulus
24.7mm
LVOT
26.2mm
VR图



SOV:
41.0*40.9*47.6mm
STJ:
39.1mm
AAO:
40.1mm
瓣上结构测量


瓣上2mm
26.2mm
瓣上4mm
27.4mm


瓣上6mm
29.6mm
瓣上8mm
33.9mm
冠脉风险评估


LCA Height
RCA Height


LCA & Leaflet
RCA & Leaflet
左室测量


工作体位



右窦中心
左冠切线
左右重合
外周入路评估

手术策略制定
-
麻醉方式:全身麻醉;
-
冠脉风险:冠脉阻挡风险不高,不进行提前保护;
-
球囊扩张策略:无需预扩;
-
瓣膜选择:ScienCrown TAVTF29mm;
-
入路选择:右侧股动脉为主入路;外周球囊扩张后植入大鞘。
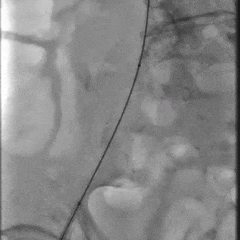
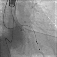
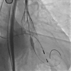
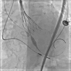
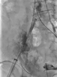
术中影像


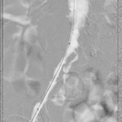
右侧入路造影
6mm外周球囊扩张狭窄处


造影定位球囊位置
再次扩张狭窄段


扩张后造影
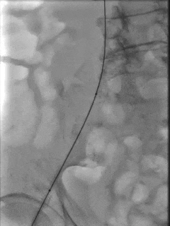
大鞘置入至降主动脉


根部造影,可见大量反流
第一次展开,瓣膜形态敞口


第二次展开,瓣膜位于0位;此时患者发生室颤,除颤后进行按压
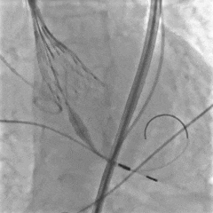
瓣膜按压后位置发生变化


多体位观察
瓣膜位于瓣上,选择回收


再次定位释放
大弯侧0位,形态可见压缩


小弯侧深度尚可
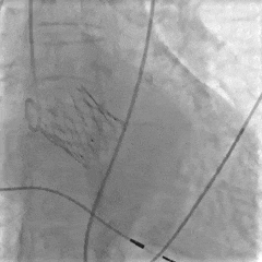
瓣膜脱钩,轻微自同轴


脱钩后造影,瓣膜稳定,无反流
左侧位造影,小弯侧深度尚可


预先置入8mm球囊,准备撤出大鞘
髂外动脉可见造影剂渗出,8mm球囊进行阻断


植入覆膜支架,造影可见轻微出血
植入第二条覆膜支架,无造影剂渗出,手术结束
术后超声
超声所见:
置换的主动脉瓣瓣位正常,启闭尚可,其上未见明显局限性异常回声。
超声提示:
TAVR术后:置换瓣未见明显异常。

国产创新自膨短瓣ScienCrown在PAR中的核心优化:
-
短瓣架设计:短瓣架设计,更短的释放行程,快速锚定贴靠;
-
直筒型设计:直筒形态,多节段参与锚定,提供更平衡的径向支撑力;
-
双层裙边设计:PET内外双裙边设计,提供更大摩擦力,保障瓣膜稳定;
-
全释放/全回收设计:100%全展开,瓣膜整体参与锚定,评估更精准更安心;
-
预弯型设计:瓣膜装载后胶囊段自带30°弯型,瓣膜释放过程更同轴;
-
管榫挂钩设计:12个挂钩设计,逐一释放,分散脱钩张力,实现零张力脱钩。
专家简介



· END ·
专业的心血管医生学术交流平台


版权及免责声明:
本网站所发表内容知识产权归属医谱平台、主办方以及原作者等相关权利人,未经许可,禁止进行复制、传播、展示、镜像、转载、摘编等。经授权使用,须注明来源,否则将追究其法律责任。有关作品内容、版权和其他问题请与本网联系
发表留言
暂无留言
输入您的留言参与专家互动