反流新“瓣”法 | 北京清华长庚医院张萍教授团队成功应用ScienCrown完成一例主动脉瓣重度反流TAVI手术
近日, 在北京清华长庚医院副院长、心血管中心主任张萍教授的带领下,由薛亚军教授领衔的心血管病结构团队,联合中国医学科学院阜外医院(国家心血管病中心)吴永健教授、陈阳教授,在麻醉科、导管室、血管外科、心脏外科协同支持下成功应用ScienCrown完成一例主动脉瓣重度反流TAVI手术。手术由经股动脉路径完成,术后即刻造影显示瓣膜位置理想,原有重度反流完全消失,患者血流动力学指标得到显著改善。
患者基本情况
基础信息:女性,82岁。
主诉:间断胸闷7年余,加重1月。
现病史:
活动后胸闷、气短,持续半小时可自行缓解。门诊超声提示:主动脉瓣大量反流,二、三尖瓣轻度反流,左房增大,升主动脉增宽。
既往、个人史:
-
高血压20年
-
高胆固醇血症
-
腔隙性脑梗死1年余
辅助检查:
血常规、肝肾功能、心肌损伤标志物、NT-proBNP、凝血、术前感染八项、甲功、尿便常规未见明显异常。
血脂四项:CHOL 2.94 mmol/L, TRIG 1.8 mmol/L, HDL-C 1 mmol/L, LDL-C 1.29 mmol/L。
术前超声

-
左室射血分数: 65 %;
-
左房增大;
-
主动脉瓣钙化并中-大量反流;
-
二尖瓣少量反流;
-
三尖瓣少-中量反流;
-
左室整体收缩功能正常,舒张功能减低。
术前CT分析
-
三叶式主动脉瓣,瓣叶未见明显增厚及钙化,收缩期瓣环周长径约为23.6mm,流出道周长径约为21.9mm,LVOT呈收口状,舒张期瓣环周长径约为21.9mm,流出道周长径约为22.9mm;
-
双侧冠脉开口高度可,左窦瓣叶切线测量距离<冠脉开口下缘到根部距离;
-
心室腔内径可,心室壁可;
-
瓣环水平夹角50°,非横位心,升主动脉未见扩张;
-
外周血管内径可,血管走行尚可,双侧股动脉分叉较低。
主动脉根部测量



Annulus
23.6mm
LVOT
21.9mm
VR图



SOV:
35.2*32.7*31.9mm
STJ:
33.3mm
AAO:
44.6mm
瓣上结构测量



Annulus:
24.5mm
瓣上4mm:
24.9mm
瓣上6mm:
26.6mm



瓣上8mm:
27.1mm
瓣上10mm:
27.5mm
未见明显钙化
冠脉风险评估


LCA Height
RCA Height


LCA & Leaflet
RCA & Leaflet
左室测量


工作体位



右窦中心
左右重合
左冠切线
外周入路评估

手术策略制定
-
麻醉方式:局麻;
-
冠脉风险:冠脉阻挡风险不高,不进行提前保护;
-
球囊扩张策略:无需预扩;
-
瓣膜选择:ScienCrown TAVTF27mm 0位定位释放;
-
入路选择:右侧股动脉为主入路。
术前诊断


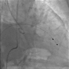
根部造影
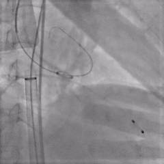
导丝跨瓣


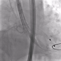
输送器过弓
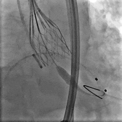
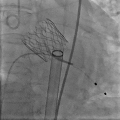
27瓣膜0位释放至全展开


全展开造影,瓣膜位置可,形态稳定
脱钩后造影,瓣膜0位,无反流


多体位确认,瓣膜稳定
外周血管造影,无损伤
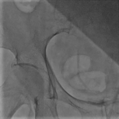
术后CT检查


术后CT可见瓣膜展开良好,CA对齐
长轴可见瓣膜位置理想
国产创新自膨短瓣ScienCrown在PAR中的核心优化:
-
短瓣架设计:短瓣架设计,更短的释放行程,快速锚定贴靠;
-
直筒型设计:直筒形态,多节段参与锚定,提供更平衡的径向支撑力;
-
双层裙边设计:PET内外双裙边设计,提供更大摩擦力,保障瓣膜稳定;
-
全释放/全回收设计:100%全展开,瓣膜整体参与锚定,评估更精准更安心;
-
预弯型设计:瓣膜装载后胶囊段自带30°弯型,瓣膜释放过程更同轴;
-
管榫挂钩设计:12个挂钩设计,逐一释放,分散脱钩张力,实现零张力脱钩。
专家简介




· END ·
专业的心血管医生学术交流平台


版权及免责声明:
本网站所发表内容知识产权归属医谱平台、主办方以及原作者等相关权利人,未经许可,禁止进行复制、传播、展示、镜像、转载、摘编等。经授权使用,须注明来源,否则将追究其法律责任。有关作品内容、版权和其他问题请与本网联系
发表留言
暂无留言
输入您的留言参与专家互动