JACC: Case Reports丨复旦大学附属华山医院心内科:NSTEMI患者急诊PCI手术策略再思考
导语
对于非ST段抬高型心肌梗死(NSTEMI)患者的急诊PCI治疗,非罪犯病变的最佳治疗策略尚未确定。近日,复旦大学附属华山医院心内科团队发表于JACC: Case Reports上的一篇病例强调,对于NSTEMI患者:1.症状缓解不等同于病变稳定;2.急诊PCI期间,所有不稳定病变均应积极考虑完全血运重建;3.血管内成像有助于在急诊PCI期间识别不稳定病变。该病例报道为优化NSTEMI患者急诊PCI策略提供了全新临床视角与宝贵实践经验。

病例信息
现病史:患者41岁男性,持续胸痛1天,周六晚被送入急诊,可平躺,肺部未闻及湿啰音,血压150/110mmHg。入院查心电图示广泛前壁导联的ST段压低,下壁导联Q波伴T波倒置(图1)。实验室检查结果:高敏肌钙蛋白0.161 ng/mL,CK-MB 8.94 ng/mL,NT-proBNP 779.20 pg/mL(其他检查结果见表1)。诊断为非ST段抬高型心肌梗死(Killip 分级 I 级),GRACE 风险评分110分。


图1

表1
既往史:2型糖尿病2年,口服降糖药治疗;高血压1年,间歇拉西地平治疗,两种疾病均控制不佳。无吸烟史,偶尔饮酒。
鉴别诊断:对于诊断为前壁NSTEMI的患者,必须排除后壁STEMI(ST段抬高型心肌梗死)。
诊治过程
给予患者阿司匹林(300 mg)和替格瑞洛(180 mg)双联抗血小板治疗,皮下注射依诺肝素(0.4 mL)抗凝,每12小时一次,并连续给予硝酸异山梨酯注射液扩冠治疗,将收缩压维持在100~120mmHg目标范围内。同时给予小剂量β受体阻滞剂(美托洛尔12.5 mg,每日2次)控制心率,减少心肌耗氧量。治疗后患者胸痛症状缓解。
周日上午患者胸痛再发,舌下含服硝酸甘油未缓解,心电图显示V3至V6导联ST段轻度抬高,T波倒置,I、aVL导联R波振幅降低(图2),进行急诊PCI。

图2:急诊PCI术前心电图
冠脉造影示:冠状动脉弥漫性粥样硬化斑块,左前降支(LAD)次全闭塞,回旋支(LCx)中段存在一处模糊病变,TIMI血流接近正常3级,右冠状动脉为LAD提供侧支循环(Rentrop 3级)。





首次PCI的冠脉造影
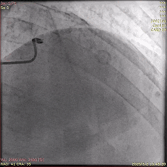
基于动态心电图变化情况进行综合分析,确定LAD为罪犯病变,成功植入药物洗脱支架进行治疗,并对第一对角支进行了血管成形术。术后患者胸痛缓解,转入CCU。

首次PCI的冠脉造影(植入支架后)
由于LCx存在一个不明确的潜在不稳定病变,予以连续抗凝治疗3天。患者住院期间未再发胸痛。
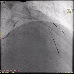
5天后,为患者进行第二次PCI,旨在处理LCx病变。冠脉造影显示,LCx中段模糊病变部位闭塞,术中于病变处植入药物洗脱支架,成功实现血管再通。



第二次PCI中的冠脉造影
术后评估
完全血运重建后,超声心动图显示左心室后壁基底段和中段运动功能减退,但左心室射血分数正常。患者于3天后出院。
众所周知,NSTEMI患者常存在多支血管的严重狭窄病变。当急诊PCI术中,心电图已提示罪犯病变时,是仅处理罪犯病变还是实现完全血运重建,仍是临床实践中面临的决策难点。一般而言,可采用“症状驱动策略”:若处理罪犯病变后患者症状缓解,则可以结束急诊PCI;若症状持续,则应继续处理其他严重狭窄病变。然而,本病例揭示了该策略的局限性——尽管前降支和对角支干预后患者胸痛症状消失,但在其CCU住院期间,回旋支的模糊病变仍进展为完全闭塞,期间患者无症状再发。该病例强调了仅依赖症状与心电图结果的局限性。
我们建议,应结合冠脉造影与血管内成像技术进行综合评估,以识别易损斑块,从而指导决策。最新的《2025年AHA/ACC/ACEP/NAEMSP/SCAI急性冠状动脉综合征患者管理指南》也建议血管内成像指导PCI。斑块负荷增加、正向重塑、薄纤维帽覆盖的大脂质核心、巨噬细胞积聚和新生血管都是易损斑块的特征。对于在初次干预中识别出的此类高风险病变,我们建议在同一台急诊PCI中考虑完全血运重建。下图为优化术中决策的流程图(图3),以供临床参考。

图3:急诊PCI决策流程图
对于本例患者LCx中段快速闭塞而未引发症状的原因,我们推测可能与患者血糖控制不佳(糖化血红蛋白9.9%)相关。高糖状态促发的炎症反应与内皮功能障碍,可能是斑块迅速进展的潜在机制,患者白细胞计数升高(11.55×10⁹/L)也证实了这一点。
文献来源:Sun S,Maimaitijiang A.Complete or Partial Revascularization During Emergency PCI in a Patient With NSTEMI.JACC Case Rep.2026 Jan 30:106792.
本文为医谱学术原创,转载请标注来源。
· END ·
专业的心血管医生学术交流平台


版权及免责声明:
本网站所发表内容知识产权归属医谱平台、主办方以及原作者等相关权利人,未经许可,禁止进行复制、传播、展示、镜像、转载、摘编等。经授权使用,须注明来源,否则将追究其法律责任。有关作品内容、版权和其他问题请与本网联系
send a message
暂无留言
输入您的留言参与专家互动