武汉大学中南医院刘金平、张力教授团队应用ScienCrown瓣膜为一名大敞口型LVOT反流患者顺利完成TAVI手术治疗
近日,武汉大学中南医院心血管病医院在多学科团队密切配合下,成功应用ScienCrown瓣膜系统为一名77岁急性心衰、主动脉瓣重度关闭不全的多合并症高危患者实施TAVR手术。患者术后恢复状态良好,手术圆满成功,充分展现了武汉大学中南医院心脏瓣膜团队在高危复杂瓣膜病诊疗方面的高超水平与扎实临床综合实力。
此次手术成功,是临床决策与国产创新器械深度结合的成果,为临床处理高龄、多合并症、心功能差的主动脉瓣疾病患者积累了宝贵经验,也为广大主动脉瓣疾病患者,特别是外科手术高危或禁忌的患者,提供了新的治疗选择和生命希望。
患者基本情况
基础信息:女性,77岁。
主诉:因“胸闷伴喘息3天”入院。
术前超声
超声测量:
-
主动脉瓣环径约2.4cm,AAO=3.6cm,LA=4.3cm,LV=6.7cm;
-
主动脉瓣口峰值流速2.5m/s,压差30mmHg,缩流径宽约0.7cm;
-
LVEF:40%。
超声提示:
-
PCI术后:左室节段性室壁运动异常;
-
主动脉瓣退行性变、重度关闭不全,升主动脉增宽;
-
左心扩大;
-
二尖瓣中-重度关闭不全;
-
三尖瓣轻度关闭不全,肺动脉稍宽并中度肺高压;
-
左室收缩功能减低;
-
心包腔少量积液。
术前MRI
MRI提示:
-
心脏瓣膜病:主动脉瓣瓣叶稍增厚,重度关闭不全;
-
左心房、室扩大,收缩功能减低,建议纠正瓣膜病变后复查;
-
左室前壁局灶性陈旧性梗死;
-
二尖瓣中度关闭不全;三尖瓣轻度关闭不全;
-
心包少量积液;左侧胸腔少量积液;
-
主肺动脉增宽。
术前诊断
诊断:
主动脉瓣关闭不全;
二尖瓣关闭不全;
三尖瓣关闭不全;
急性左心衰;
高钾血症;
肺部感染;
肾衰竭;
冠状动脉粥样硬化性心脏病;
糖尿病;
急性呼吸衰竭(Ⅰ型呼吸衰竭)。
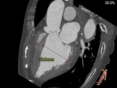
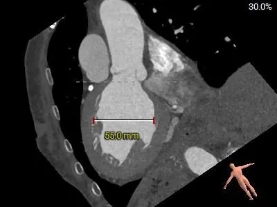
术前CT分析
主动脉根部测量



Annulus
24.5mm
LVOT
30.8mm
水平夹角
39°



SOV
32.1*29.9*31.6mm
STJ:27.7mm
高度19mm
AAO
33.5mm
瓣上结构测量


瓣上2mm
23.7mm
瓣上4mm
24.1mm


瓣上6mm
24.6mm
瓣上8mm
24.3mm
冠脉风险评估


LCA:9mm
RCA:14.8mm


左右窦瓣叶长度均可
左心室测量


左心室腔内径偏大,心室壁厚度尚可
入路情况

双侧外周血管内径可,走形适宜,右侧股动脉分叉偏高
手术策略制定
根据术前CT评估报告,该患者存在以下解剖挑战及手术难点与潜在风险:
1、LVOT为大敞口型,大大增加AR特殊解剖的锚定难度,存在较大位移风险,术中操作容错率低;
2、冠脉开口高度较低,提示潜在的即刻冠脉阻挡风险与未来冠脉再介入难题;
3、二尖瓣结构正常,左心室明显扩大,术前超声提示二尖瓣中-重度反流,考虑其为继发性MR,决定先行TAVR处理主瓣问题,预估TAVR术后二尖瓣反流问题将改善。
综上考虑,决定选用国产全可回收直筒型短支架自膨瓣膜进行植入。
-
麻醉方式:全身麻醉
-
入路选择:左侧股动脉为主入路
-
球囊扩张策略:不预扩
-
瓣膜型号:ScienCrown TAVTF27mm(oversize≈10%)
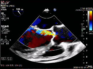
术前超声影像

左室长轴超声可见大量反流


可见二尖瓣明显反流
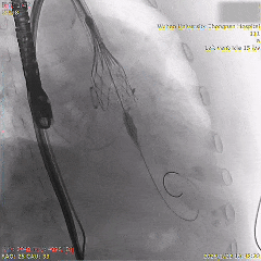
术中影像


瓣膜初始负位定位
第一次瓣膜释放,可见瓣膜轻微向下移动


全展开位评估:左右重合体位造影可见无冠窦侧深度约为瓣下3mm
全展开位评估:左冠切线位造影可见左窦侧深度约为瓣下5mm


为降低起搏器风险,追求更完美精准植入,选择回收重新定位释放
第二次瓣膜稳定释放


全展开位评估:左右重合体位造影可见无冠窦侧深度约为瓣下1mm
全展开位评估:左冠切线位造影可见左窦侧深度约为瓣下5mm


充分评估后选择脱钩,瓣膜稳定释放,无二次位移
最终造影可见瓣膜形态佳、位置理想,冠脉良好,无明显瓣周漏
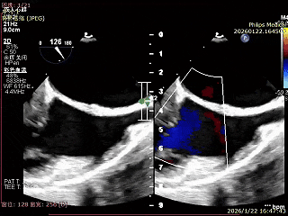
术后超声影像


左室长轴超声无明显反流
二尖瓣反流可见改善
专家简介

坐诊信息:每周三上午 门诊楼4楼 C区

坐诊信息:每周一下午 门诊楼4楼 B区
· END ·
专业的心血管医生学术交流平台


版权及免责声明:
本网站所发表内容知识产权归属医谱平台、主办方以及原作者等相关权利人,未经许可,禁止进行复制、传播、展示、镜像、转载、摘编等。经授权使用,须注明来源,否则将追究其法律责任。有关作品内容、版权和其他问题请与本网联系
发表留言
暂无留言
输入您的留言参与专家互动