封耳心安 | MemoLefort封堵低位鸡翅左心耳病例分享
近期,沈阳医学院附属第二医院马晶茹教授团队成功应用MemoLefort左心耳封堵器,为一名71岁高龄房颤患者完成完成“射频消融+左心耳封堵”一站式手术。由于该病例心耳位置较低,术者选择房间隔低位穿刺,满足更好轴向,避免心耳上缘压迫,后通过DSA与ICE精准指引,利用MemoLefort封堵器的贴壁成角倒刺设计实现稳固锚定与严密封堵。
患者基本信息
基础信息:女性,71岁。
主诉:发作性心悸6年,加重10天。
诊断:1.心律失常、心房颤动;2.射频消融术后;3.冠状动脉粥样硬化性心脏病 ;4.陈年性脑梗塞。
既往病史:脑梗塞半年余。
卒中风险评分和出血风险评分

-
CHA2DS2-VASc评分4分,HAS-BLED评分2分。
-
符合左心耳介入指征,拟行一站式左心耳封堵手术。
术前检查
术前超声



左房前后径:42.3mm
左室舒张末径:48.1mm
LVEF:60%
术前食道超声测量:
-
0°开口约17.3mm、腰部约14.7mm、深度18.9mm;
-
45°开口约19.8mm、腰部约14.7mm、深度19.7mm;
-
90°开口约19.4mm、腰部约22.8mm、深度17.6mm;
-
135°开口约24.6mm、腰部约21.4mm、深度22.8mm;
-
左心耳、左心房内未见明显异常回声。
术前心电图

心电图诊断结论:心房颤动。
射频消融

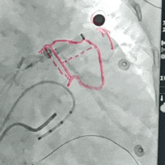
术中DSA造影复测缺损


-
DSA肝位造影,心耳形态为鸡翅型;
-
DSA下造影开口29.53mm,深度25.35mm;
-
房间隔穿刺点靠下,从轴向避免心耳上缘的压迫。
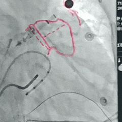
术中ICE复测缺损


-
ICE下心耳开口略低于左上肺静脉开口,属于低位心耳;
-
ICE Y轴模拟食道超声90°下心耳开口25mm,深度21.2mm;
-
ICE X轴模拟食道超声45°下开口27.2mm,深度24.8mm。
封堵策略
开口直径(mm)
深度(mm)
DSA-肝位
29.53
25.35
ICE-X轴
27.2
24.8
ICE-Y轴
25
21.2

ICE多角度测量显示心耳开口径线存在显著差异,据此推断其开口横截面为椭圆形,而非圆形,塞式封堵器可利用口部椭圆的特性获得径向支撑。
结合DSA和ICE心耳测量数据,术者考虑造影提示为鸡翅型心耳,同时上叶解剖特征呈梯形,内窄外宽,利于封堵器倒刺稳定锚定心耳内,同时可有效减少露肩。
术中选择使用MemoLefort LAFDQ29左心耳封堵器进行封堵,确保封堵器倒钩挂住远端梳状肌,稳定锚定的同时利用口部椭圆的特性获得径向支撑。
输送内鞘并进行鞘管锁定

封堵器展开

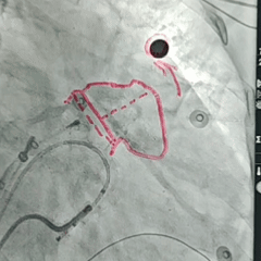
封堵器展开后造影

封堵器展开后肝位造影,封堵器完全封堵,无残余分流
牵拉试验

回弹明显,封堵器稳定锚定在心耳内部
测量压缩比



-
封堵器露肩4-5mm,在LAFDQ-29允许露肩范围内;
-
肩部压缩比为:8-11%,符合推荐压缩比8-30%,压缩合适。
术后总结与思考
轴向很大程度决定了封堵效果,术前可以通过超声和术前CT来预判房间隔穿刺位置;
当遇到低位心耳时,穿刺位置越低越好,但由于心耳本身开口很低,难以达到理想的穿刺点,这时适当的露肩同样可以达到良好的封堵效果;优化术式的探索:DSA视野下评估封堵器位置、牵拉和残余分流可以通过打造影剂多角度评估来定性的评估;ICE视野下多切面观察测量评估;
该病例为鸡翅型左心耳,心耳上叶解剖特征呈梯形状,内窄外宽,利于封堵器倒刺稳定锚定心耳内,MemoLefort封堵器通过封堵器贴壁成角倒刺钩挂住远端梳状肌可使封堵器稳定在心耳内,合适的封堵器选择使封堵器肩部骨架提供二次稳定,形成稳定封堵,术中LAFDQ-29封堵器牵拉稳定,压缩比合适,稳定覆盖心耳内部。
专家简介

· END ·
专业的心血管医生学术交流平台


版权及免责声明:
本网站所发表内容知识产权归属医谱平台、主办方以及原作者等相关权利人,未经许可,禁止进行复制、传播、展示、镜像、转载、摘编等。经授权使用,须注明来源,否则将追究其法律责任。有关作品内容、版权和其他问题请与本网联系
发表留言
暂无留言
输入您的留言参与专家互动