罗马舞台展中国力量!浙大二院王建安院士、刘先宝教授团队向JIM GISE 2026转播一例高难度DMR-TEER手术,赢得国际专家盛赞!

浏览量:4371
 

 

2026年2月4日,备受瞩目的全球介入心脏病学领域高水准学术盛会——第四届JIM GISE大会(JIM GISE 2026)在意大利罗马隆重召开。会议期间,特邀浙江大学医学院附属第二医院王建安院士,刘先宝教授团队,应用团队自主研发的DragonFly经导管瓣膜修复系统,向全球介入心脏病学领域同道展示了一台高难度、高水准的经导管二尖瓣缘对缘修复术(TEER)手术转播。

 

来自意大利、美国、中国、沙特阿拉伯以及巴西等国的多位国际顶尖专家全程观摩手术并参与了实时讨论。手术不仅体现了团队在复杂解剖条件下精准决策与精细操作的能力,更向国际舞台展示了中国自主创新TEER器械的可靠性与成熟度。

 

病例信息

 基本信息 

患者71岁男性,主诉胸闷、气短2年,近2周加重。BMI 17.5kg/㎡。既往原发性高血压、阵发性心房颤动、肾功能不全、慢性阻塞性肺疾病。临床诊断重度退行性二尖瓣反流(DMR)。

 

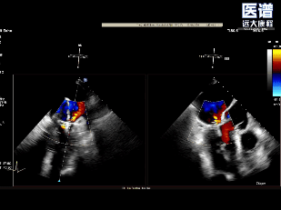
 术前超声 

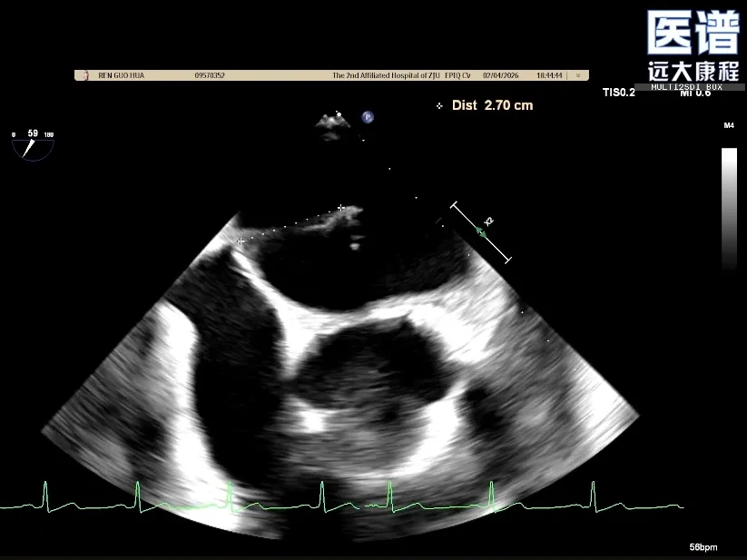
重度DMR,LVEF 61%,LVIDd 5.62cm,LVIDs 3.27cm,VCW 0.72cm,EROA=0.47cm2;RV=83ml,PG mean 3mmHg,PASP 51mmHg。

 

病变位置为:A1邻近交界处脱垂;宽度/高度:1.08cm/0.29cm;A1/P1瓣叶长度:1.38cm/1.17cm;前后径(AP直径):3.56cm;二尖瓣口面积:4.39cm2

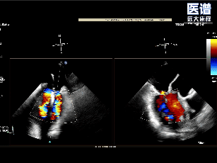
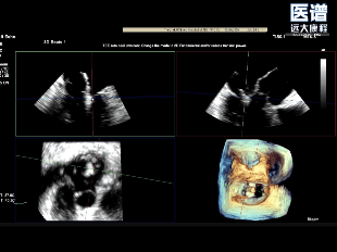
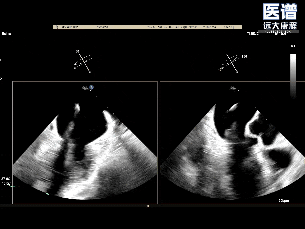
TEE

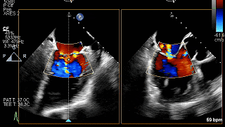
TEE-2D血流

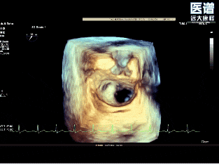
TEE-3D

TEE-3D血流

 

 手术策略 

该例患者STS评分6.4%,为外科高风险。王建安院士、刘先宝教授及团队综合评估后,决定采取经导管TEER术作为治疗策略。考虑到术前经食道超声提示的A1区局灶性脱垂,术中拟于A1/P1交界区,应用团队自主研发的DragonFly经导管瓣膜修复系统,植入1枚长宽夹合器,以期实现对病变区域的有效夹合。

 

手术过程

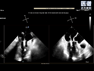
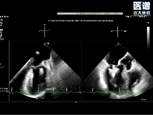
术中完成房间隔穿刺后,将可操控导引导管(SGC)及二尖瓣夹输送系统成功送入左心房。随后将瓣膜夹调整至二尖瓣上并逐步移至病变区域,经轴向调整后,夹合器于A1/P1交界区顺利捕获瓣叶并完成首次夹合,此时超声提示存在少量反流;为达到更优的治疗效果,王建安院士及刘先宝教授决定微调位置,打开夹合器调整轴向后,重新捕获瓣叶以夹合瓣叶并成功释放,最终有效解决了反流及脱垂问题。释放后食道超声评估仅存在少量反流,平均跨瓣压3mmHg,圆满完成手术。

完成房间隔穿刺

前送导引鞘

瓣膜夹沿导引鞘进入左房

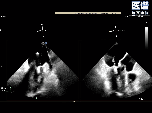
弹道测试

调整轴向

进入瓣下,捕捞瓣叶

夹合器夹合瓣叶

夹合瓣叶后评估

打开夹合器

调整位置

调整至合适位置后

再次夹合瓣叶

释放夹合器前评估

释放夹合器

夹合器释放后评估

释放后3D评估(组织桥稳定)

释放后3D评估(反流少量)

术后平均压差为3mmHg

 

手术期间,围绕患者解剖特征、器械尺寸选择、夹合策略及潜在风险应对等关键问题,手术团队与会场专家展开了多轮深入交流与即时讨论,使全球观众得以全程参与到真实决策逻辑之中,不仅提升了国际社会对中国TEER技术体系与临床规范化水平的认知度,也为不同国家和地区在结构性心脏病领域的协同创新与经验互鉴提供了新的范式

 

术后,多位现场观摩的国际专家点评指出,本例患者为重度DMR,BMI仅17.5kg/㎡,同时叠加了高血压、房颤、肾功能不全等多重基础病,为手术的成功实施显著增加了难度。术中,得益于王建安院士及刘先宝教授清晰的策略及精准的操作,再配合手术团队自主创新研发的DragonFly经导管瓣膜修复系统,在3D影像引导下精准锁定病变区域,完成修复操作,最终实现了‘效果与安全并重’的理想治疗效果,为全球TEER手术的高效、安全开展打造了可借鉴、可复制的中国样板。”

 

 

结语

 

 

从术前策略制定、术中精准操作到术后系统评估,本次手术作为一次面向全球同行开放的实时演示手术,不仅是浙大二院团队综合实力的集中呈现,更是中国原创医疗技术走向世界的重要见证。

 

其中,由王建安院士及其团队自主研发的DragonFly经导管二尖瓣夹系统,以其独特的独立瓣叶捕获功能、弹性中心封堵网以及灵活可调的机械开合锁定设计,在TEER手术中展现出巨大的临床应用价值。据统计,仅2025年一年,在全国已完成的超过4000例TEER手术中,就有2000余例患者应用了DragonFly系统,取得了良好的治疗效果。本次手术的成功演示,进一步印证中国原创技术与中国原创器械的可靠性与成熟度。

 

展望未来,相信在以王建安院士为核心代表的全国结构性心脏病领域同仁的齐心协力与共同奋斗下,持续通过理论探索、技术创新与经验共享,中国结构性心脏病学事业必将迎来新的辉煌,为全国乃至全球结构性心脏病患者的健康贡献更多智慧与力量。让我们共同期待。

 

 

-END-

 

专业的心血管医生学术交流平台

医谱APP
点击下载
医谱学术
点击关注

版权及免责声明:

本网站所发表内容知识产权归属医谱平台、主办方以及原作者等相关权利人,未经许可,禁止进行复制、传播、展示、镜像、转载、摘编等。经授权使用,须注明来源,否则将追究其法律责任。有关作品内容、版权和其他问题请与本网联系 

 

图片

表情

发表留言

暂无留言

输入您的留言参与专家互动

4
评论
收藏
分享
Copyright©2024 远大康程 京ICP备14005854号-1