突破AS解剖挑战!广东省人民医院刘健教授团队携ScienCrown瓣膜完成3例复杂TAVR手术
在心血管介入治疗领域,主动脉瓣狭窄(AS)因其复杂多样的解剖特征(如二叶瓣、小瓣环、不规则钙化等),手术中易伴随瓣周漏、冠脉阻挡等潜在风险,经导管主动脉瓣置换术(TAVR)始终是对临床团队综合诊疗能力的重要考验。近日,广东省人民医院刘健教授团队,作为国内心血管病治疗的领军力量,在多学科团队的紧密协作下,应用国产创新瓣膜ScienCrown系统,成功为3例解剖特点各异的AS患者完成TAVR手术。病例覆盖三叶瓣、Type0型和Type1型二叶瓣、小瓣环小结构、极重度钙化等复杂场景,手术过程顺利,患者术后恢复良好,既展现了团队在复杂瓣膜病介入治疗中的精湛技艺,也凸显了ScienCrown瓣膜应对多元解剖挑战的卓越临床适配性。

Case 1
Type0 型二叶瓣+小瓣环——小尺寸解剖的“精准适配”
患者基本情况
基本信息:患者女性,72岁,因“反复活动后气促3年,加重1月”入院。
超声测量:
峰值流速:5.8m/s,PGmean:83mmHg
LVEF:64%
超声提示:
主动脉瓣病变,重度狭窄,二叶主动脉瓣可能
轻度二尖瓣反流
轻度三尖瓣反流

术前CT分析

ANNULUS
LVOT
夹角



周长63.6mm
周长径20.2mm
周长61.9mm
周长径19.7mm
瓣环水平夹角:44°
STJ
Ascending Aorta
SOV Diameter



高度22.6mm
周长径26.8mm
周长119.7mm
周长径38.1mm
35.6*24.7mm
LVOT
2mm
Super-Annulus
2mm
Super-Annulus
4mm



周长62.0mm
周长径19.7mm
周长60.2mm
周长径19.2mm
周长61.0mm
周长径19.4mm
Super-Annulus
6mm
Super-Annulus
8mm
Super-Annulus
10mm



周长57.8mm
周长径18.4mm
周长57.7mm
周长径18.4mm
周长57.6mm
周长径18.3mm
HU621
Hockey Puck (VR)


LCA Height
RCA Height






-
Type0型二叶瓣(左右冠脉异窦),瓣叶增厚,轻度钙化,LVOT偏直筒型;
-
冠脉开口高度尚可,瓣叶切线测量距离<冠脉开口下缘到根部距离,结合瓦氏窦及STJ预估低冠脉风险;
-
瓣环水平夹角44°,非横位心,弓角、弓距可,预估输送器可顺利过弓、跨瓣;
-
外周入路条件可,双侧髂总-腹主动脉见少量钙化团块。
手术策略制定
经CT测量该患者瓣环仅为20.2mm,属于极小瓣环。小瓣环AS病例在进行TAVR治疗时往往面临更多技术挑战如术中即刻冠脉风险、术后PPM发生可能、未来冠脉再介入难题、远期TAVR-In-TAVR窦隔离问题。考虑该患者TAVR术后PPM发生率较高,需要为其挑选一款成形较好、能够提供更大瓣口面积的瓣膜,如环上瓣类型、直筒状类型、自膨式类型的瓣膜。经团队讨论决定选用全可回收自膨短瓣ScienCrown系统进行植入。
-
麻醉方式:全身麻醉
-
入路选择:右侧股动脉为主入路
-
球囊扩张策略:18mm球囊
-
植入瓣膜型号:ScienCrown TAVTF 21
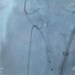
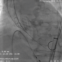
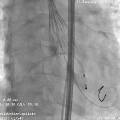
术中影像


双窦展开位根部造影
瓣叶狭窄明显,无明显反流
直头导丝顺利跨瓣
猪尾导管测量跨瓣压差约70mmHg


18mm球囊预扩,球囊上下滑动,无腰无漏,左冠显影,右冠无显影
输送系统顺利过弓


造影确认初始定位零位
瓣膜稳定展开


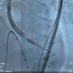
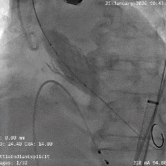
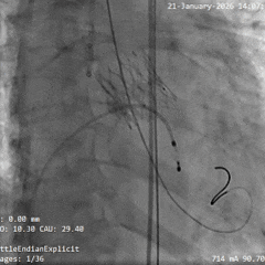
全展开位造影评估
瓣架呈直筒型,位置接近0位,少量反流
瓣膜缓慢脱钩,可见瓣膜实现自同轴,且无位移


脱钩后造影评估
瓣架形态佳位置可,冠脉显影,导丝压瓣可见反流
最终根部造影
撤出心室导丝后,反流明显减少
术中超声检查


无明显反流
即刻峰值流速1.48m/s,压差8.74mmHg
术前术后超声对比

20260105→20260117
峰值流速:5.8m/s→1.9m/s
平均压差:83mmHg→7mmHg
二尖瓣反流:2.7cm2→1.0cm2
术前术后心电图对比

20260105→20260117
心电图无明显改变
Case 2
三叶瓣+LVOT钙化——钙化难题的“安全化解”
患者基本情况
基础信息:女性,76岁。
超声测量:
瓣口最大流速:5.3m/s,PGmean:65mmHg
主动脉瓣反流,彩束面积为5.1cm2
LVEF:52%
超声提示:
心脏瓣膜钙化
主动脉瓣重度狭窄并中度反流
中度二尖瓣狭窄并轻度反流
轻度三尖瓣反流 轻度肺动脉高压
左室壁节段性运动异常
左室收缩舒张功能减低

术前CT分析

ANNULUS
LVOT
夹角



周长75.2mm
周长径23.9mm
周长74.0mm
周长径23.6mm
瓣环水平夹角:42°
STJ
Ascending Aorta
SOV Diameter



周长23.8mm
周长径28.3mm
周长104.1mm
周长径33.2mm
L:34.0 R:32.4 N:31.9
LVOT
2mm
Super-Annulus
2mm
Super-Annulus
4mm



周长74.8mm
周长径23.8mm
周长71.3mm
周长径22.7mm
周长67.9mm
周长径21.6mm
Super-Annulus
6mm
Super-Annulus
8mm
瓣环钙化到对侧
距离



周长70.4mm
周长径22.4mm
周长72.2mm
周长径23.0mm
瓣环钙化到对侧距离17.2mm
HU645:2465mm3
HU850:1278mm3


LCA Height
15.4mm
RCA Height
18.8mm


LCA & Leaflet
RCA & Leaflet





-
三叶式主动脉瓣,极重度钙化,钙化不均匀分布于主动脉瓣叶及二尖瓣瓣叶,二尖瓣钙化延伸至左无交界瓣上5mm,LVOT偏直筒型;
-
冠脉高度可,瓣叶切线测量距离<冠脉开口下缘到根部距离,结合瓦氏窦及STJ尺寸预估冠脉低风险;
-
水平夹角42°非横位心,弓角、弓距可,弓部散在钙化,预估输送器可顺利过弓、跨瓣;
-
外周血管内径、走行可,双侧髂总-腹主动脉见少量钙化斑块,右侧股动脉低分叉,左侧股动脉高分叉。
手术策略制定

结合CT测量二尖瓣钙化延伸至左无交界瓣上5mm,瓣环钙化到对侧距离为17.2mm,参考Oversize计算表结果,预估较大的Oversize瓣膜植入后形态受限,考虑Downsize选择ScienCrown TAVTF23瓣膜植入,通过短径锚定减少对瓣架形态的挤压,预测术后存在左无交界处的瓣周漏风险。
-
麻醉方式:全身麻醉
-
入路选择:右侧股动脉为主入路
-
球囊扩张策略:20mm球囊
-
植入瓣膜型号:ScienCrown TAVTF 23
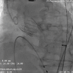
术中影像


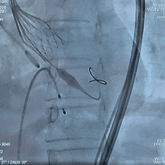
根部造影
瓣叶钙化明显,瓣叶活动差,中度反流
直头导丝顺利跨瓣
猪尾导管测量跨瓣压差约60mmHg


20mm球囊预扩
小弯侧微腰,少量漏,左冠显影,右冠无显影
瓣膜0位初始定位释放


全展开位造影评估
瓣下约 3mm,左右冠均显影,少量反流
瓣膜稳定脱钩
无位移,无弹跳,无张力释放


根部造影评估
位置可,形态受限,可见中重度反流,左右冠均显影
20mm球囊后扩
可见瓣架底端扩开,瓣膜形态改善

最终造影可见瓣周漏,符合术前预判
超声可见左无对合缘轻度反流,整体瓣架形态较圆,左无钙化处呈“D”型,测量峰值流速为1.6m/s
术前术后超声对比

20260113→20260124
峰值流速:5.3m/s→2.2m/s
主动脉瓣反流:5.1cm2→1.2+0.7cm2
LVEF:52%→55%
Case 3
Type1 型二叶瓣+极重度钙化——“顽固钙化”的“强效攻克”
患者基本情况
基础信息:男性,82岁。
超声测量:
-
瓣口最大流速:4.6 m/s,PGmean:47mmHg
-
主动脉瓣反流,彩束面积 1.8cm2
-
LVEF:64%
超声提示:
主动脉瓣退行性变,重度狭窄并轻度反流
轻度二尖瓣反流

术前CT分析

ANNULUS
LVOT
夹角



周75.3mm
周长径24.0mm
周长81.5mm
周长径25.9mm
瓣环水平夹角:44°
STJ
Ascending Aorta
SOV Diameter



高度20.0mm
周长径25.9mm
周长110.5mm
周长径35.2mm
L:33.2 R:29.7 N:31.2
LVOT
2mm
Super-Annulus
2mm
Super-Annulus
4mm



周长75.5mm
周长径24.0mm
周长73.1mm
周长径23.3mm
周长72.7mm
周长径23.1mm
Super-Annulus
6mm
Super-Annulus
8mm
Super-Annulus
10mm



周长70.4mm
周长径22.4mm
周长68.9mm
周长径21.9mm
周长70.5mm
周长径22.4mm
HU598:1225mm3
HU850:650mm3


LCA Height
12.6mm
RCA Height
17.9mm


LCA & Leaflet
RCA & Leaflet





-
Type1二叶式主动脉瓣(L-R),瓣叶增厚,极重度钙化,主要分布于无冠窦及右冠窦瓣叶,LVOT偏直筒型;
-
冠脉高度可,瓣叶切线测量距离<冠脉开口上缘到根部距离,结合瓦氏窦及STJ尺寸预估冠脉低风险;
-
水平夹角36°非横位心,弓角、弓距可,弓部散在钙化,预估输送器可顺利过弓、跨瓣;
-
外周血管内径、走行可,双侧髂总-腹主动脉见少量钙化斑块,双侧股动脉低分叉。
手术策略制定
此为3例中年龄最大的患者,经术前评估其高龄+Type1型二叶瓣+极重度钙化+不对称分布的特征,TAVR手术操作难度与风险显著升高。为使瓣膜安全精准释放,植入后有效撑开钙化限制,充分展开获得较好的成形,考虑选用国产创新瓣膜ScienCrown系统植入,充分利用其优势设计(直筒型瓣架提供充足的平衡支撑力、100%全释放与全可回收功能确保瓣膜安全精准植入)为TAVR手术保驾护航,为患者带来更优的获益。
-
麻醉方式:全身麻醉
-
入路选择:右侧股动脉为主入路
-
球囊扩张策略:20mm球囊
-
植入瓣膜型号:ScienCrown TAVTF 25
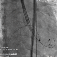
术中影像


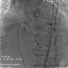
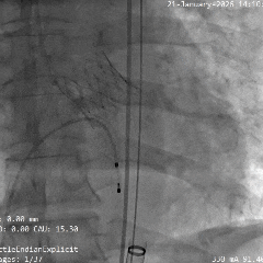
根部造影
瓣叶活动差,可见明显反流,猪尾导管测量跨瓣压差约50mmHg
20mm球囊预扩
微腰微漏,左右冠均显影


造影确认瓣环与瓣膜位置
瓣膜0位初始定位释放,展开过程微微下移


全展开位造影评估
瓣膜呈直筒型,微腰,大弯侧约瓣下3mm,少量反流,冠脉显影
瓣膜无张力脱钩


植入后造影评估
瓣膜位置合适,可见少量反流
多角度造影评估
瓣膜形态可,冠脉显影,猪尾测量压差为0
术前术后超声对比

20260112→20260124
峰值流速:4.6m/s→2.1m/s
专家简介


· END ·
专业的心血管医生学术交流平台


版权及免责声明:
本网站所发表内容知识产权归属医谱平台、主办方以及原作者等相关权利人,未经许可,禁止进行复制、传播、展示、镜像、转载、摘编等。经授权使用,须注明来源,否则将追究其法律责任。有关作品内容、版权和其他问题请与本网联系
发表留言
暂无留言
输入您的留言参与专家互动