武汉大学人民医院江洪、余锂镭、黄兵教授团队ScienCrown纯反流TAVR单中心经验:持续验证系统安全与疗效
单纯主动脉瓣反流(PAR)在我国的发病率显著高于国际平均水平,临床治疗需求日益迫切。目前,ScienCrown瓣膜已在全国40余家医疗中心完成超百例单纯反流(PAR)的TAVR 手术,各中心经验积累进一步凸显了该瓣膜在PAR治疗中的独特优势,为外科高风险或不适于传统开胸手术的主动脉瓣反流患者提供了更多安全可靠的选择。
相关文章:
截至目前,武汉大学人民医院江洪、余锂镭、黄兵教授团队结合自身团队经验使用ScienCrown这款“全释放/全回收”自膨短瓣,累计完成16例单纯反流TAVR手术,瓣环平均周长径24.82mm(21.6mm-27.2mm),LVOT平均周长径26.13mm,大部分病例均为敞口型流出道,人工瓣膜平均oversize 12.44%,均为单瓣完成,无一例瓣中瓣事件。黄兵教授表示:在单纯反流病例中,由于其解剖特点,瓣膜的稳定性一直是手术成功的关键。新的器械带来新的选择,ScienCrown这款瓣膜直筒型瓣架可以在主动脉根部多阶段参与锚定,瓣膜oversize选择无需过大;同时“全释放/全回收”的特性,能够更充分的评估瓣膜的稳定性,确保瓣膜的精准植入。
Ovesize 尺寸表
瓣环大小(mm)
瓣膜尺寸(mm)
oversize(%)
21.6
25
15.74%
25.9
29
11.97%
23.7
27
13.92%
24.1
27
12.03%
23.8
27
13.45%
25.3
27
6.72%
23.7
27
13.92%
24.3
27
11.11%
27.2
29
6.62%
26.6
29
9.02%
25.3
29
14.62%
24.7
29
17.41%
23.3
27
15.88%
25.9
29
11.97%
26.7
29
8.61%
25
29
16.00%
CASE Ⅰ
患者基本情况
基础信息:77岁,男性。
术前CT分析
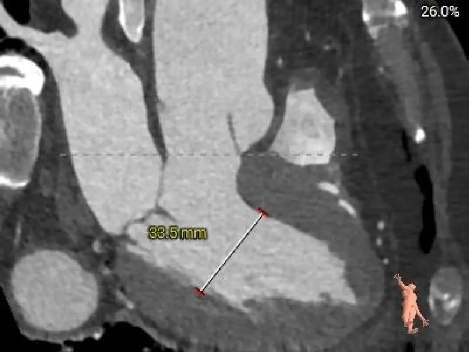
主动脉根部测量



Annulus
26.6mm
LVOT
27mm
SOV
40.2*39.3*38mm



STJ
36.7mm
AAO
38.8mm
心脏角度
57°
-
纯反流三叶瓣,瓣环内径26.6mm
-
流出道偏直筒型
-
瓣叶轻微增厚、无钙化
-
57°,近似横位心
瓣上结构测量


瓣上2mm
27.3mm
瓣上4mm
29mm


瓣上6mm
30.1mm
瓣上8mm
31.1mm
-
瓣上锚定空间逐渐增大,仅瓣上0-2mm可提供锚定力
冠脉&左室评估


LCA & Leaflet
RCA & Leaflet


Left Ventricular
-
冠脉开口高度可,瓣叶不长,结合瓦氏窦大小,预估冠脉风险相对较低
-
左室内径可,心室壁增厚
外周入路评估

-
髂动脉轻微迂曲
-
腹主动脉可见钙化斑块
-
血管内径充足
手术策略制定
-
麻醉方式:全身麻醉;
-
冠脉风险:低;
-
球囊扩张策略:不预扩;
-
瓣膜型号:ScienCrown TAVTF29mm(oversize 9.02%);
-
入路选择:右侧股动脉主入路,超硬导丝支撑下植入大鞘 ;
-
手术操作:该患者流出道直筒型,窦部空间较大无锚定力,需充分利用瓣环及瓣下空间参与锚定,瓣膜需瓣下附近释放,术中通过顶导丝等操作保证瓣膜同轴性,当瓣膜完全展开后,多角度评估其稳定性。
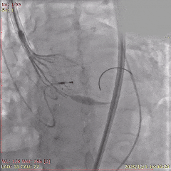
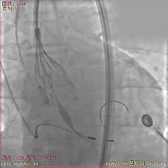
术中影像


初始造影确定无冠窦
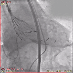
瓣膜稳定释放至全展开


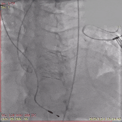
展开后造影,瓣膜位置可
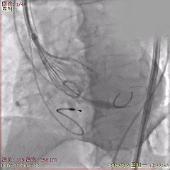
多角度评估,确认瓣膜稳定


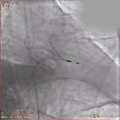
瓣膜脱钩后,无位移
最终造影,瓣膜位置可,无瓣周漏
CASE Ⅱ
患者基本情况
基础信息:61岁,男性。
术前CT分析
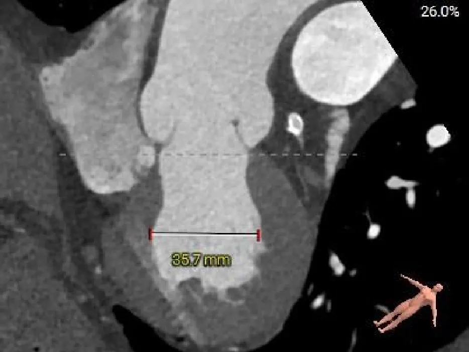
主动脉根部测量


Annulus
25.9mm
LVOT
29mm
SOV
37.4*34.1*35.3mm



STJ
33.9mm
AAO
38.4mm
心脏角度
49°
-
纯反流三叶瓣,瓣环内径25.9mm
-
流出道敞口型
-
瓣叶轻微增厚、无钙化
-
瓦氏窦、STJ、升主内径可
瓣上结构测量


瓣上2mm
25.7mm
瓣上4mm
25.7mm


瓣上6mm
26.2mm
瓣上8mm
27.3mm
-
瓣上锚定空间逐渐增大
主动脉根部测量


LCA & Leaflet
RCA & Leaflet


Left Ventricular
-
冠脉开口高度可,瓣叶不长,结合瓦氏窦大小,预估冠脉风险相对较低
-
收缩期大左室
外周入路评估

-
髂动脉轻微迂曲
-
入路无钙化
-
血管内径充足
手术策略制定
-
麻醉方式:全身麻醉;
-
冠脉风险:低;
-
球囊扩张策略:不预扩;
-
瓣膜型号:ScienCrown TAVTF29mm(oversize 11.97%);
-
入路选择:右侧股动脉主入路,超硬导丝支撑下植入大鞘;
-
手术操作:该患者流出道敞口型,流出道无锚定力,需充分利用瓣上空间参与锚定,瓣膜需0位附近释放,术中通过顶导丝等操作保证瓣膜同轴性,当瓣膜完全展开后,多角度评估其稳定性。
术中影像


初始造影确定无冠窦
第一次释放,瓣膜位置稍高


回收后再次释放,瓣膜位置可
多角度评估,确认瓣膜稳定


瓣膜稳定脱钩,无位移
脱钩后造影,瓣膜位置可,无瓣周漏
CASE Ⅲ
患者基本情况
基础信息:76岁,男性。
术前CT分析
主动脉根部测量



Annulus
25mm
LVOT
25.6mm
SOV
35.3*36.8*38.2mm



STJ
37mm
AAO
41.4mm
心脏角度
53°
-
纯反流三叶瓣,瓣环内径25mm
-
流出道直筒型
-
瓣叶无明显增厚、无钙化
-
升主动脉扩张
瓣上结构测量


瓣上2mm
26mm
瓣上4mm
27.3mm


瓣上6mm
28.9mm
瓣上8mm
29.9mm
-
瓣上锚定空间逐渐增大,仅瓣上0-4mm左右可提供锚定
冠脉&左室评估


LCA & Leaflet
RCA & Leaflet


Left Ventricular
-
冠脉开口高度可,瓣叶稍长,结合瓦氏窦大小,预估冠脉风险相对较低
-
左室内径可,心室壁增厚
外周入路评估

-
外周入路无明显迂曲
-
髂动脉及腹主动脉可见钙化斑块
-
血管内径充足
手术策略制定
-
麻醉方式:全身麻醉;
-
冠脉风险:低;
-
球囊扩张策略:不预扩;
-
瓣膜型号:ScienCrown TAVTF29mm(oversize 16%);
-
入路选择:右侧股动脉主入路,超硬导丝支撑下植入大鞘;
-
手术操作:该患者流出道直筒型,瓣上锚定空间有限,需充分利用瓣环及瓣下空间参与锚定,瓣膜需瓣下释放,术中通过顶导丝等操作保证瓣膜同轴性,当瓣膜完全展开后,多角度评估其稳定性。
术中影像


初始造影确定无冠窦
瓣膜瓣下定位释放,全展开后位置良好


左侧位造影,瓣膜位置可,选择脱钩
脱钩后造影,瓣膜位置可,无反流
国产创新自膨短瓣ScienCrown在PAR中的核心优化:
-
短瓣架设计:短瓣架设计,更短的释放行程,快速锚定贴靠;
-
直筒型设计:直筒形态,多节段参与锚定,提供更平衡的径向支撑力;
-
双层裙边设计:PET内外双裙边设计,提供更大摩擦力,保障瓣膜稳定;
-
全释放/全回收设计:100%全展开,瓣膜整体参与锚定,评估更精准更安心;
-
预弯型设计:瓣膜装载后胶囊段自带30°弯型,瓣膜释放过程更同轴;
-
管榫挂钩设计:12个挂钩设计,逐一释放,分散脱钩张力,实现零张力脱钩;
-
瓶塞子形态:流出端微膨出,形成倒梯形(瓶塞子形态),防止瓣膜下移;
-
双入路设计:匹配经股/经心尖双入路,适配患者所有入路解剖需求。
专家简介



· END ·
专业的心血管医生学术交流平台


版权及免责声明:
本网站所发表内容知识产权归属医谱平台、主办方以及原作者等相关权利人,未经许可,禁止进行复制、传播、展示、镜像、转载、摘编等。经授权使用,须注明来源,否则将追究其法律责任。有关作品内容、版权和其他问题请与本网联系
发表留言
暂无留言
输入您的留言参与专家互动