PCI+TAVR一站式 | 武汉亚洲心脏病医院宋丹教授团队应用ScienCrown瓣膜救治横位心重度主狭合并冠心病患者
近日,武汉亚洲心脏病医院宋丹教授团队成功应用ScienCrown为一名73岁高龄、主动脉瓣重度狭窄合并冠状动脉粥样硬化心脏病的女性患者实施PCI+TAVR一站式手术。手术经股动脉路径完成,术中先行冠状动脉病变介入治疗(PCI),后续顺利完成主动脉瓣膜置换术(TAVR),术后即刻造影显示瓣膜定位精准,主动脉瓣狭窄即刻解除,患者血流动力学指标显著改善。
患者基本情况
基础信息:女性,73岁,160cm,53kg。
主诉:胸闷痛10余年,再发加重10余天。
术前超声

主动脉瓣增厚、回声增强,可见钙化,似呈二叶瓣启闭,收缩期开放受限,主动脉腔内射流速度增快,收缩期主动脉腔内前向血流速度峰值4.2米/秒,峰值压差70毫米汞柱,平均速度2.9米/秒,平均压差42毫米汞柱,舒张期瓣膜关闭可。
结论:
-
主动脉瓣二瓣化畸形(Type 0型)
-
主动脉瓣重度狭窄
-
升主动脉增宽
-
室间隔肥厚、左室壁均匀性增厚
-
左室流出道及左室腔狭窄
术前诊断
主动脉根部测量



Annulus
21.9mm
LVOT
22.3mm
钙化积分
715mm3



STJ
34.9mm
AAO
42.2mm
SOV
30.4mm*37mm
-
Type-0二叶瓣,中-重度钙化
-
瓣环径约21.9mm,敞口型流出道
-
升主增宽
瓣上结构测量


Super-Annulus 2mm 23.2mm
Super-Annulus 4mm 23.4mm

Super-Annulus 6mm 24.2mm
Super-Annulus 8mm 24.7mm
冠脉风险评估


Left Coronary
LCA & Leaflet


Right Coronary
RCA & Leaflet
-
左、右冠脉高度尚可
-
双侧瓣叶不长
-
结合SOV、STJ内径评估冠脉风险不高
左室测量

-
心室内径尚可
-
心室壁增厚
外周入路评估
-
外周血管内径充足,少量钙化斑块
-
68°横位心
手术策略制定
-
麻醉方式:全麻;
-
冠脉风险:冠脉阻挡风险不高,术中注意冠脉灌注;
-
球囊扩张策略:20mm球囊预扩;
-
瓣膜选择:ScienCrown TAVTF25mm 0位定位释放;
-
入路选择:右侧股动脉入路,右侧桡动脉为辅入路。
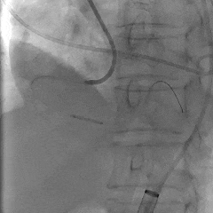
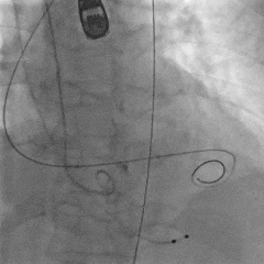
术中影像


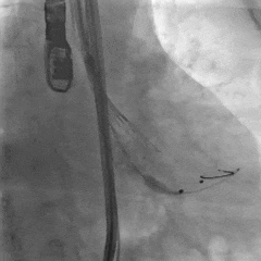
左冠造影
左冠狭窄处行PCI处理


左冠狭窄处行PCI处理
PCI后左冠造影,血流通畅


右冠造影
右冠狭窄处行PCI处理


右冠狭窄处行PCI处理
PCI后右冠造影,血流通畅


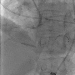
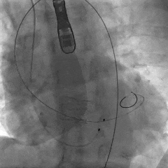
根部造影,瓣叶活动差
20mm球囊预扩,微腰微漏


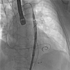
输送器过弓
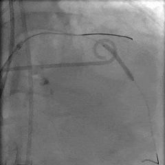
snare辅助下跨瓣


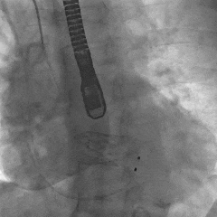
瓣膜初始定位
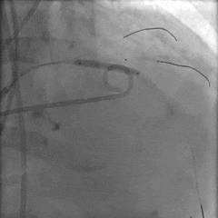
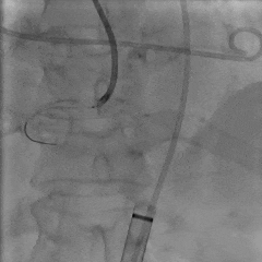
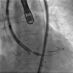
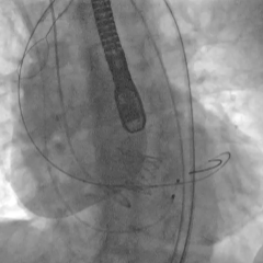
第一次释放,瓣膜位置偏高,选择回收


第二次瓣膜释放
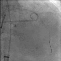
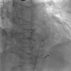
造影评估,瓣膜位置可


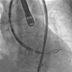
右侧位造影,瓣膜深度可
多角度评估,瓣膜位置可,少量瓣周漏


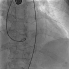
脱钩后造影,瓣膜无位移,可见瓣周漏
20mm球囊后扩,瓣膜形态改善


后扩后评估,可见少量瓣周漏
最终瓣膜位置稳定


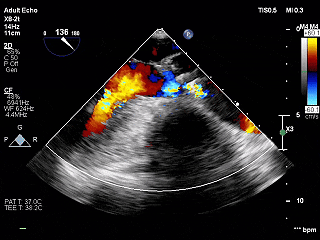
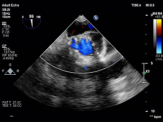
TEE长轴:瓣膜深度可
TEE短轴:瓣膜展开良好,仅少量瓣周漏

-
主瓣峰值流速由术前4.2m/s降至术后1.69m/s
-
主瓣峰值压差由术前70mmHg降至术后11mmHg
而国产创新瓣膜ScienCrown系统的技术优势,正是手术安全高效推进的核心助力:
-
直筒型瓣架设计:全瓣架参与支撑,瓣膜受力更均匀,更好应对高钙化患者的特征,同时为瓣膜植入带来释放稳定性,整体释放过程瓣架几乎无位移。
-
全挂连接设计:实现100%全展开与可回收,让评估更充分,植入位置更精准,瓣膜脱钩更稳定,从容应对高钙化、冠脉高风险等复杂病例。
-
短瓣架+预弯型设计:瓣膜与系统成角度挂载,配合短瓣柔性连接,自动适应主动脉弯形,以获得更好的同轴性,减少高低瓣的发生。
专家简介


· END ·
专业的心血管医生学术交流平台


版权及免责声明:
本网站所发表内容知识产权归属医谱平台、主办方以及原作者等相关权利人,未经许可,禁止进行复制、传播、展示、镜像、转载、摘编等。经授权使用,须注明来源,否则将追究其法律责任。有关作品内容、版权和其他问题请与本网联系
发表留言
暂无留言
输入您的留言参与专家互动