跨越山海 | 乐普心泰ScienCrown瓣膜系统在智利Tórax医院完成国际首植,以创新科技响应“一带一路”
近日,乐普心泰医疗自主研发的ScienCrown经导管植入式主动脉瓣膜系统(TAVR)在智利圣地亚哥Instituto Nacional del Tórax医院成功完成首批两例海外植入,正式开启瓣膜管线全球化发展新里程,为一带一路沿线国家及全球地区患者带去高质量的中国心脏瓣膜病解决方案。
本次首批手术由该院Cristian Dauvergne教授、Jorge Sandoval教授及其团队主导完成,手术过程非常顺利。两位患有严重主动脉瓣狭窄的患者术后恢复良好,均未出现明显瓣周漏及其他并发症,血流动力学得到即刻且显著改善,目前,均已康复出院。ScienCrown产品临床表现优异,获得了国际临床中心认可与高度评价。

Case Ⅰ
TYPE1型二叶瓣重度狭窄,L-R融合,75°横位心,伴中重度钙化TAVR
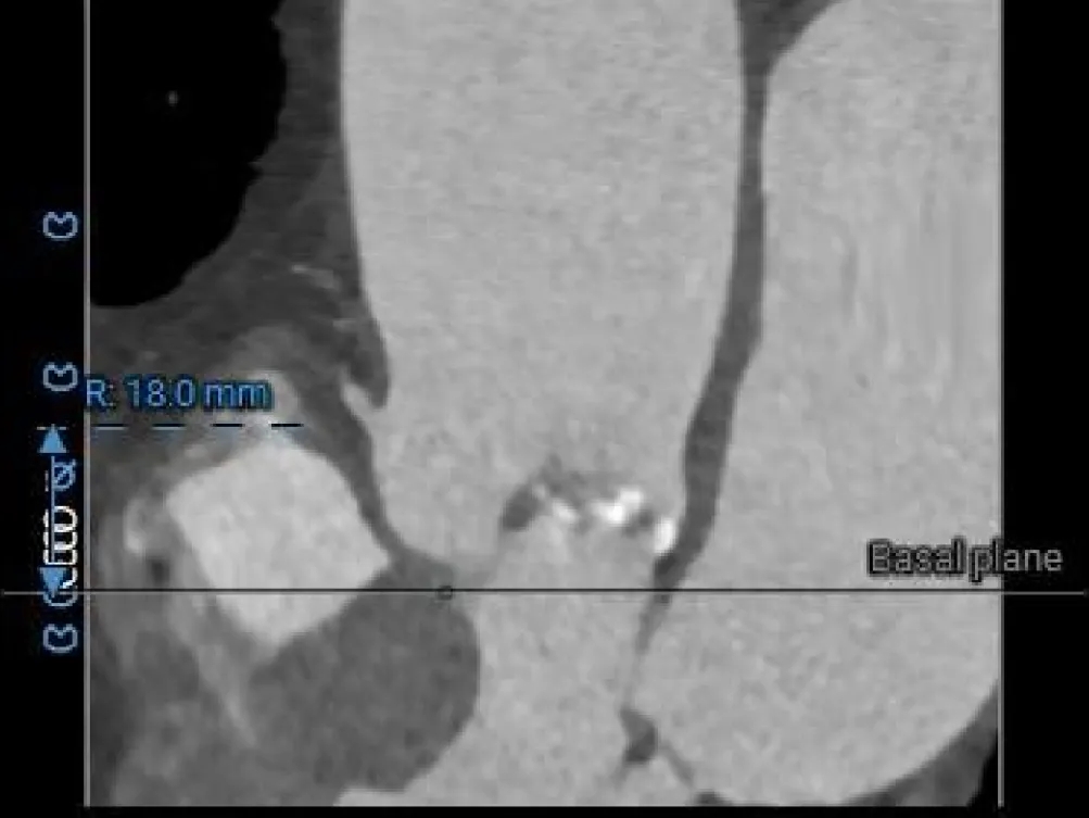
术前CT分析
-
TYPE-1L-R融合二叶瓣,中-重度钙化,流出道收口型,升主动脉未见扩张;
-
双侧冠脉高度可,冠脉阻挡风险不高;
-
瓣环水平夹角75°,横位心;
-
外周血管内径充足,双侧髂动脉及腹主动脉可见明显钙化,无明显迂曲;
-
根据瓣环及瓣上结构选择 ScienCrown TF25mm瓣膜。
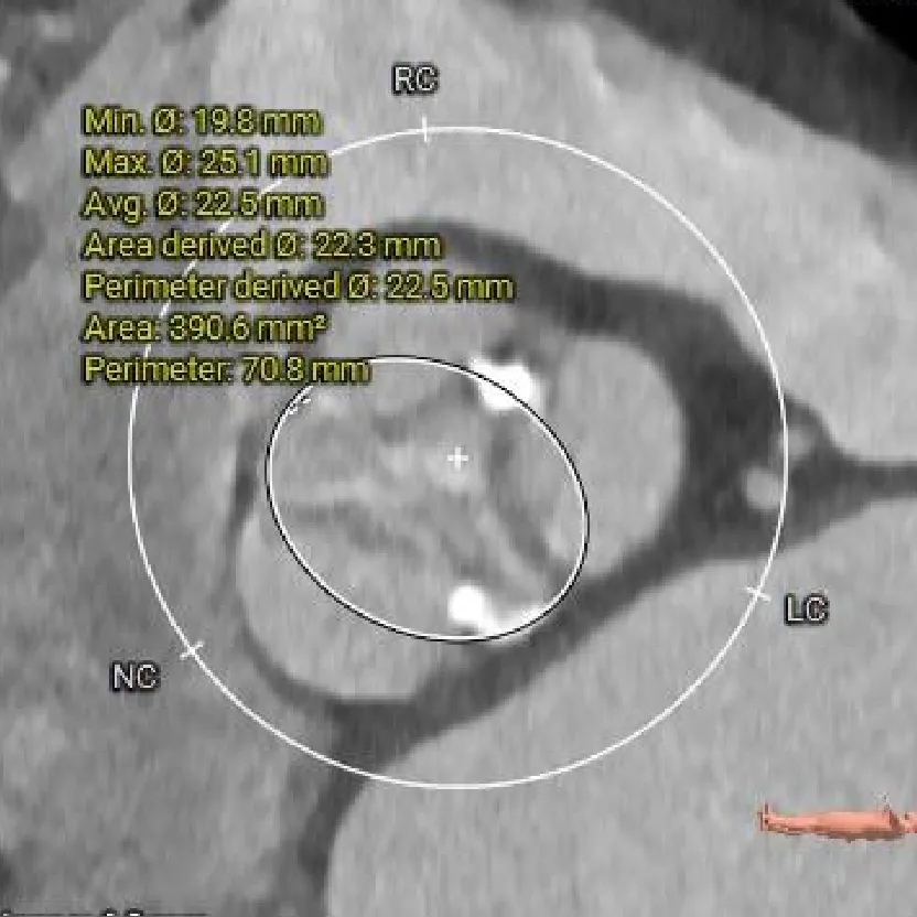
主动脉根部测量



Annulus
22.8mm
LVOT
20.4mm
钙化积分:
665mm3



SOV:
33.1*35*34.3mm
STJ:
34.5mm
AAO:
41.2mm
瓣上结构测量


瓣上2mm
23.6mm
瓣上4mm
23.8mm


瓣上6mm
22.5mm
瓣上8mm
22.5mm
冠脉风险评估


LCA Height
RCA Height


LCA & Leaflet
RCA & Leaflet
外周入路评估

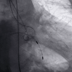
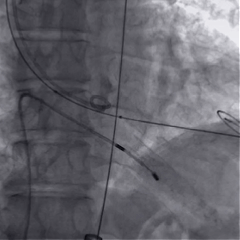
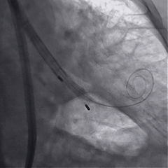
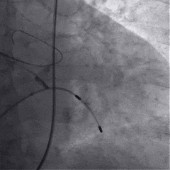
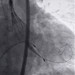
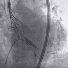
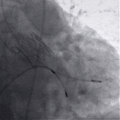
术中影像


根部造影
球囊预扩


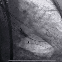
瓣膜稳定释放
瓣膜展开后造影


再次造影,确认瓣膜位置
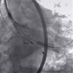
稳定脱钩


最终造影,瓣膜位置良好,无明显瓣周漏
外周血管检查
Case Ⅱ
三叶式主动脉瓣重度狭窄伴中重度钙化 TAVR
术前CT分析
-
三叶式主动脉瓣,中-重度钙化,流出道直筒型,升主动脉未见扩张;
-
双侧冠脉高度可,冠脉阻挡风险不高;
-
瓣环水平夹角56°,非横位心;
-
外周血管内径充足,无明显钙化,无明显迂曲;
-
根据瓣环及瓣上结构选择 ScienCrown TF27mm瓣膜。
主动脉根部测量



Annulus
25mm
LVOT
25mm
钙化积分
601mm3



SOV:
28*27.8*26.8mm
STJ:
26.4mm
VR图
瓣上结构测量


瓣上2mm
25mm
瓣上4mm
25.3mm


瓣上6mm
24.2mm
瓣上8mm
24.8mm
冠脉风险评估


LCA Height
RCA Height
外周入路评估

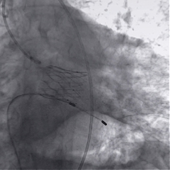
术中影像


根部造影
球囊预扩


瓣膜稳定释放
瓣膜展开后造影


再次造影,确认瓣膜位置
脱钩后造影,瓣膜位置可,几乎无瓣周漏
ScienCrown—— 破解临床痛点的中国答案
ScienCrown瓣膜的成功“出海”,根植于其独特而创新的设计理念,直击TAVR手术中的核心挑战:
-
“100%全回收/全释放”革命性设计:兼具自膨瓣的可回收与球扩瓣的短瓣架优势。100%完全释放后仍可回收、再定位的特性,允许在最终决定前充分观察瓣膜形态、评估冠脉风险,稳定植入,精准可控,极大提升手术安全性。
-
“短瓣架设计”远期考量:独特的短瓣架设计,在确保牢固锚定的同时,最大程度减少冠脉遮挡,为未来可能需行的冠脉介入治疗(PCI)预留通路,更贴合“全生命周期管理”的设计哲学。
-
“预弯型设计”同轴优化:输送器前端预弯型,轻松通过小弓角、横位心;同时预弯型能顺应升主动脉走行,释放瓣膜同轴更佳。
结语
此次ScienCrown瓣膜海外首批植入,不仅是乐普心泰在全球化发展进程中,取得的又一历史性里程碑,更将国产TAVR技术的临床价值推向国际舞台,为南美地区主动脉瓣疾病患者带来了更安全、高效的治疗选择,并赋能中智在结构性心脏病高端医疗器械领域的协作发展。当前,全球结构性心脏病诊疗需求持续攀升,TAVR技术已进入“安全化、精准化、普及化”的高质量发展阶段。未来,乐普心泰将以此为起点,持续深化与全球医疗机构的临床合作,推动更多创新产品走向世界,以“心”为桥,以技术为纽带,积极融入“一带一路”健康建设,构建覆盖全球心血管健康服务平台,为人类健康事业贡献中国力量。
· END ·
专业的心血管医生学术交流平台


版权及免责声明:
本网站所发表内容知识产权归属医谱平台、主办方以及原作者等相关权利人,未经许可,禁止进行复制、传播、展示、镜像、转载、摘编等。经授权使用,须注明来源,否则将追究其法律责任。有关作品内容、版权和其他问题请与本网联系
发表留言
暂无留言
输入您的留言参与专家互动