首都医科大学附属北京天坛医院张鲁锋教授团队成功完成三例ScienCrown TAVR手术
近日,首都医科大学附属北京天坛医院张鲁锋教授率领团队,应用ScienCrown经导管植入式主动脉瓣膜系统,为三名重度主动脉瓣狭窄患者施行经导管主动脉瓣置换术。术后,患者主动脉瓣狭窄即刻解除,血流动力学显著改善,且恢复情况良好。此项技术的成功应用,不仅是临床智慧与创新器械技术的精妙结合,为患者提供了更优选择,更标志着术者团队在该领域的临床实践与技术探索中取得持续进展。

CASE Ⅰ
中度钙化、功能性二叶瓣、主动脉瓣狭窄TAVR
心脏超声
超声测量:主动脉瓣呈三叶,瓣叶增厚、钙化、粘连,右冠瓣与无冠瓣为著,启闭明显受限;各余瓣膜形态、结构尚可。主动脉瓣口可见高速血流频谱,最大流速: 480cm/s,PGmax:92mmHg;PGmean:50mmHg。EF: 45%
诊断意见:
主动脉瓣退行性改变
主动脉瓣狭窄(重度)伴中度关闭不全
二尖瓣少-中量反流
三尖瓣中量反流

术前CT测量
主动脉根部测量



Annulus 21.3mm
LVOT 26.4mm
钙化积分 399



SOV
31.7*34.7*33.8mm
STJ 31.6mm
AAO 37.4mm
-
功能型二叶瓣
-
流出道敞口
-
中度钙化,R-N可见融合嵴
-
窦部及升主无明显扩张
多平面结构测量



瓣下2mm
22.2mm
瓣上2mm
21.8mm
瓣上4mm
23.4mm



瓣上6mm
23.1mm
瓣上8mm
23mm
瓣上10mm
25.7mm
冠脉风险评估


LCA Height
RCA Height
冠脉开口高度可,结合瓦氏窦大小,预估冠脉风险相对较低。
左室测量


心尖较薄,术中注意导丝形态及位置,避免心室损伤。
投照体位及瓣环角度分析
Angio
右窦中心
Angio
左右重合
Angio
右无重合
Angio




外周入路评估

双下肢内径尚可,双股总动脉后壁钙化,整体入路无明显迂曲。
手术策略制定
-
右侧股动脉主入路,超硬导丝支撑下植入大鞘,左侧辅入路。
-
冠脉风险不高,不进行提前保护,球囊预扩及瓣膜释放过程中评估冠脉灌注情况。
-
左冠切线位20mm球囊预扩。
-
使用ScienCrown全可回收主动脉瓣膜系统植入TF23号瓣膜。
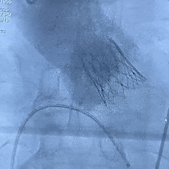
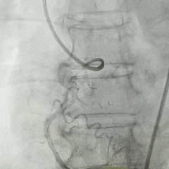
手术过程


左冠造影检查
20mm球囊扩张,无腰无漏,球囊轻微滑动


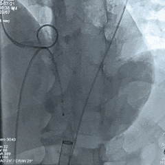
TF23瓣膜0位初始释放
瓣膜第一次展开造影评估,位置偏浅,回收调整


第二次释放造影评估
瓣膜深度可,展开良好,无瓣周漏
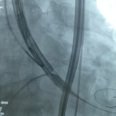
瓣膜解锁后造影评估
瓣膜深度合适形态良好,冠脉灌注良好,无瓣周漏

最终多角度观察瓣膜形态,瓣膜展开良好
超声测量流速1.5m/s,手术结束
CASE Ⅱ
重度钙化、Type 0型二叶瓣、主动脉瓣狭窄TAVR
心脏超声
超声测量:主动脉瓣呈二叶,左右启闭,回声增强,开启明显受限,峰值流速567cm/s,峰值压差128mmHg,平均压差72mmHg,二、三尖瓣少量反流信号。
诊断意见:
主动脉瓣二叶化
主动脉瓣退行性改变伴重度狭窄
左房增大
左室壁增厚
主动脉增宽
二、三尖瓣少量反流
左室舒张功能降低

术前CT测量
主动脉根部测量



Annulus 26.2mm
LVOT 26.4mm
钙化积分:1371



SOV
22.6*34.9mm
STJ 31mm
AAO 34.8mm
-
Type0二叶瓣
-
流出道直筒型
-
左窦团块状重度钙化,右窦零星钙化
瓣上结构测量



瓣下2mm
26.3mm
瓣上2mm
23.9mm
瓣上4mm
23.3mm



瓣上6mm
22.1mm
瓣上8mm
22.2mm
瓣上10mm
23.9mm
冠脉风险评估


LCA Height
RCA Height
冠脉开口高度可,结合二叶瓣形态,预估冠脉风险相对较低。
左室测量


左室内径可,心室壁增厚。
投照体位及瓣环角度分析
Angio
短径方向-0型
Angio
右足位-0型
Angio>50



外周入路评估

双下肢内径可,整体入路无明显迂曲、钙化。
手术策略制定
-
右侧股动脉主入路,超硬导丝支撑下植入大鞘,左侧辅入路。
-
冠脉风险不高,不进行提前保护,球囊预扩及瓣膜释放过程中评估冠脉灌注情况。
-
20mm球囊预扩。
-
使用ScienCrown全可回收主动脉瓣膜系统植入TF27号瓣膜。
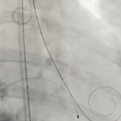
手术过程


根部造影:可见瓣叶钙化,几乎无反流
20mm球囊扩张,无腰,球囊轻微滑动


瓣膜系统定位
瓣膜展开后造影评估,深度可,无明显瓣周漏


多角度造影评估:瓣膜深度形态合适,冠脉灌注良好
脱钩后造影:瓣膜无位移,同轴性良好,无瓣周漏
术后超声测量

即刻瓣口流速2.2m/s;平均压差9mmHg,手术结束
CASE Ⅲ
重度钙化伴低EF的一站式PCI+TAVR
心脏超声
超声测量:主动脉瓣呈三叶启闭,瓣叶呈结节样增厚,回声增强,开放受限。收缩期二、三尖瓣可见少量反流。收缩期主动脉瓣上可见高速血流,最高流速约505cm/s,估测平均跨瓣压差约71mmHg。EF=38.9%
诊断意见:
主动脉瓣病变-重度狭窄,轻度关闭不全
二尖瓣后叶瓣环钙化,轻度关闭不全
三尖瓣轻度关闭不全

术前CT分析
主动脉根部测量



Annulus 20.7mm
LVOT 21.3mm
钙化积分 612



SOV
27.9*26.8*27.1mm
STJ 22.6mm
AAO 28.8mm
-
三叶瓣
-
流出道直筒型
-
重度钙化
-
STJ及升主无明显扩张
瓣上结构测量



瓣上2mm
20.5mm
瓣上4mm
19.9mm
瓣上6mm
20.7mm



瓣上8mm
20.2mm
瓣上10mm
20.8mm
瓣上12mm
21.9mm
冠脉风险评估


LCA Height
RCA Height
左冠开口高度较低,结合瓦氏窦大小,预估冠脉风险相对较低。
左室测量


左室内径可,心室壁增厚,心尖较薄,注意导丝位置及形态,避免左室损伤。
投照体位及瓣环角度分析
Angio
右窦中心
Angio
左右重合
Angio
右无重合-左冠切线位
Angio




外周入路评估

双下肢内径尚可,髂动脉及腹主动脉可见钙化斑块,整体入路无明显迂曲。
手术策略制定
-
右侧股动脉主入路,超硬导丝支撑下植入大鞘,左侧辅入路。
-
冠脉风险不高,不进行提前保护,球囊预扩及瓣膜释放过程中评估冠脉灌注情况。
-
18mm球囊预扩。
-
使用ScienCrown全可回收主动脉瓣膜系统植入TF21号瓣膜。
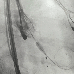
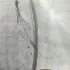
手术过程


左侧冠脉造影
右侧冠脉造影并行PCI


根部造影
可见瓣叶钙化,伴反流
TF21瓣膜0位初始释放


全展开后多角度根部造影:瓣膜深度形态合适,冠脉灌注良好,少量瓣周漏,选择解锁脱钩


脱钩后造影评估:瓣膜深度可,展开良好,少量瓣周漏
外周造影检查,血管无损伤
专家简介

-END-
专业的心血管医生学术交流平台


版权及免责声明:
本网站所发表内容知识产权归属医谱平台、主办方以及原作者等相关权利人,未经许可,禁止进行复制、传播、展示、镜像、转载、摘编等。经授权使用,须注明来源,否则将追究其法律责任。有关作品内容、版权和其他问题请与本网联系
发表留言
暂无留言
输入您的留言参与专家互动