可降解病例大赛优秀病例分享 | 生物可降解封堵器治疗青少年高危PFO相关视网膜中央动脉栓塞一例
在2025年MemoSorb可降解封堵器病例创新大赛中,中国人民解放军联勤保障部队第九八〇医院郭晓影医生分享了一例生物可降解PFO封堵术。患者为14岁女性,因突发急性左眼视网膜中央动脉阻塞(俗称“眼卒中”)就诊。经系统检查,病因为高危卵圆孔未闭(PFO)所致的反常栓塞。为从根本上预防再次发生致残性栓塞事件,团队经讨论后,决定采用MemoSorb生物可降解PFO封堵器进行治疗,术后超声提示无残余分流,效果满意。术后3个月随访期间,无再发眼卒中,患者自述眼科复查视力有所恢复。此次手术不仅成功实现了有效封堵,更极大降低了因器械长期留存可能带来的潜在风险,为年轻PFO相关卒中患者提供了更安全的远期获益新方案。
患者信息
性别:女
年龄:14岁
病史:在上课过程中,左眼视力突然急剧下降,初始一片模糊,像蒙了一层雾,进展迅速,并且视力持续恶化,在此过程中无眼痛、头痛、恶心、呕吐等伴随症状,无明确的外伤、化学物接触史,无剧烈运动或情绪剧烈波动。
术前检查
视力检查


视力:右眼1.0,左眼0.1,左眼大范围视野缺失
超声检查


右眼视网膜中央动脉血流充盈良好
左眼视网膜中央动脉走行区未探及明显血流信号
双眼对比扫查:双眼晶状体结构完整、清晰,玻璃体呈无回声,球后壁及眼球周围未见异常回声。CDFI:所示右侧视网膜中央动脉血流充盈可,左侧视网膜中央动脉走形区未探及明显血流信号。
-
脑核磁MRI DWI未见明显异常,MRA左侧颈内动脉稍细;肺CT、腹部CT未见异常。
-
甲状腺彩超、腹部超声、妇科相关检查未见明显异常。
-
双侧颈动脉、耳前颞动脉、基底动脉、下肢动静脉彩超血流通畅。
-
经胸心脏彩超未见明显异常。
-
holter:窦性心律不齐,偶发房早,偶发室早。
在综合排除动脉粥样硬化、血管炎、心脏瓣膜病变、心房颤动、感染性心内膜炎及血液高凝状态等常见栓塞病因后,病因高度指向卵圆孔未闭所致反常栓塞,团队随后为患者进行了其他相关检查进行佐证。
cTCD发泡试验
-
平静呼吸:右侧MCA微栓子信号约25个(II级)
-
瓦氏动作后:微栓子信号呈雨帘状(III级)


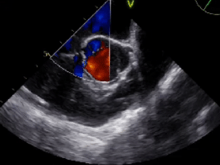
右心声学造影
-
静息状态:单帧图像气泡约20个(II级)
-
右房增压状态:第1个心动周期开始出现气泡,即刻充满左心(III级)


经食道超声
-
房间隔卵圆瓣处呈裂隙样改变;
-
宽0.8-1.0mm,长7mm;
-
瓦氏动作后,左房侧开口1.4mm。




治疗方案选择
反常栓塞导致视网膜中央动脉栓塞的病例比较少见。该患者14岁,存在致残的视网膜动脉栓塞事件,存在明确的经卵圆孔3级以上的右向左分流,RoPE评分10分,属于高危PFO,再次出现动脉栓塞事件风险比较高。经多学科联合会诊,一致认为该患者“眼卒中”的发生与PFO高度相关,需尽早进行封堵治疗。

生物可降解封堵器在体内6-12个月完全降解,理论上可以避免金属封堵器可能存在的弊端,比如金属过敏、金属封堵器对局部组织磨损出现相关并发症、内皮化不全、器械性血栓等。因患者比较年轻,再发PFO相关眼动脉和颅内动脉反常栓塞,导致严重伤残的风险比较高,根据临床医疗技术应用同情治疗原则和已有的临床经验,考虑采用2424型号生物可降解PFO封堵器为患者实施封堵治疗。
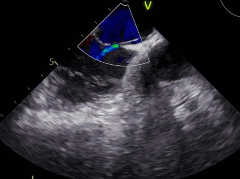
手术过程
左盘展开

右盘展开

牵拉试验

释放封堵器

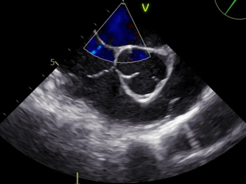
术中发泡试验确认


术中再次进行发泡试验:右心气泡充满后,左心未发现气泡,封堵效果良好。
封堵器最终形态

术后随访
术后1个月:



术后3个月:



术后3个月随访期间,无再发眼卒中,患者自述眼科复查视力有所恢复。
讨论与总结
根据2024《中国视网膜中央动脉阻塞(CRAO)临床诊疗专家共识》,导致CRAO的原因与脑梗死的原因相似,因此又被称为“眼卒中”。CRAO与缺血性脑卒中的共病率较高,CRAO发生时,MR DWI发现新发脑梗死灶的概率为23-24%,梗死灶的主要特征为多发、散在、体积小(平均直径3.2mm),约67.3%的患者患眼侧脑组织显示陈旧性梗死软化灶,而反常栓塞导致视网膜中央动脉栓塞的病例比较少见。
本例患者为14岁青少年,发生致残性视网膜动脉栓塞事件,影像学证实存在经卵圆孔3级以上的右向左分流,属高危PFO,再发动脉栓塞风险显著升高。经多学科联合会诊,综合研判认为其“眼卒中”与PFO高度相关,具备早期介入封堵治疗的明确指征。
在封堵器选择方面,团队最终采用生物可降解PFO封堵器,该器械在完成封堵任务后可逐步降解,最终被自身组织替代,实现“介入无植入,植入无残留”的革新理念,有效避免器械相关磨损、组织侵蚀等远期风险,尤其对于本例中尚处生长发育期的低龄患者来说,该器械为预防再发栓塞提供了更为安全持久的解决方案。术后3个月随访期间,无再发眼卒中,患者自述眼科复查视力有所恢复,进一步验证了可降解封堵器的有效性和安全性。
2024年《卵圆孔未闭规范化诊疗中国专家共识》中指出,除PFO-AS和CRAO外,青少年心肌梗死、肾动脉栓塞、头臂动脉、手臂和手指动脉栓塞也可由PFO相关的栓塞引起,不明原因晕厥、癫痫、神经性听力丧失、一过性黑蒙和精神异常也可能与PFO介导的栓塞相关。PFO相关症状多样,累及器官多,在临床工作中需谨慎评估鉴别,确有体循环栓塞且既往无PFO-AS的患者中,在排除其他栓塞病因后,可考虑PFO封堵治疗。生物可降解封堵技术的进步,为这类患者,特别是年轻群体,提供了兼顾疗效与长期安全性的治疗新路径。
感谢中国人民解放军联勤保障部队第九八〇医院赵玉英教授团队病例分享
-END-
23.9mm大型房缺 | 可降解封堵器成功治疗主动脉侧无缘ASD一例

扫码观看可降解学苑精彩内容
-END-
专业的心血管医生学术交流平台


版权及免责声明:
本网站所发表内容知识产权归属医谱平台、主办方以及原作者等相关权利人,未经许可,禁止进行复制、传播、展示、镜像、转载、摘编等。经授权使用,须注明来源,否则将追究其法律责任。有关作品内容、版权和其他问题请与本网联系
发表留言
暂无留言
输入您的留言参与专家互动