封耳心安 | MemoLefort封堵多分叶菜花型心耳
本例报道一例蚌埠医科大学第一附属医院张先林教授团队完成的菜花型左心耳封堵病例。患者为阵发性房颤且合并多分叶低位菜花型左心耳,具有高卒中风险。同时心耳解剖结构复杂、锚定难度大。团队经过全面评估,行“射频消融+左心耳封堵”一站式治疗,最终成功应用 MemoLefort(LAFDQ-29)封堵器实现稳定锚定与完全封堵,体现了该器械在复杂菜花型左心耳中的良好适配性与安全性。
患者情况
基础信息:男性,73岁。
主诉:胸闷1月余,突发胸闷胸痛2小时余。
诊断:1.不稳定型心绞痛;2.冠状动脉粥样硬化性心脏病;3.心功能Ⅱ级;4.阵发性心房颤动;5.陈旧性脑梗死;6.高血压病2级(极高危);7.阵发性室性心动过速。
卒中风险评分和出血风险评分

-
CHA2DS2-VASc评分6分,HAS-BLED评分3分。
-
具有高卒中风险、故行一站式左心耳封堵手术。
术前检查
术前心电图

心电图提示:窦性心动过缓。
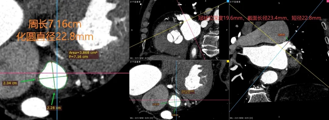
MPR数据测量

心耳最长径:23.4mm
心耳最短径:22.8mm
心耳深度:19.6mm
周长:7.16cm
化圆直径:22.8mm
CT三维重建评估


低位菜花型左心耳






术前评估
-
该心耳为菜花型左心耳,开口类圆形;
-
开口MPR周长7.16cm,化圆直径22.8mm;CT测量深度在18-22mm(CT深度往往比DSA造影小4-5mm);
-
房间隔穿刺建议,低位心耳,建议穿刺位置偏低偏后;
-
推荐使用LAFDQ-26或LAFDQ-29的MemoLefort封堵器,需结合术中造影再做决定。
房间隔穿刺


射频消融前穿刺双孔
射频消融

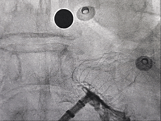
DSA造影复测缺损


右肩位:RAO 30° +CRAN 20°
肝位:RAO 30° +CAU 20°

术中肝位测量:
心耳开口直径:24.9mm
心耳深度:26.9mm
封堵策略

患者左心耳呈多分叶菜花型,开口为类圆形,上下开口不对称,腰部缩窄,远端梳状肌发达,内部空间有限。
拟选择LAFDQ-26或LAFDQ-29沿输送鞘轴向封堵内口。
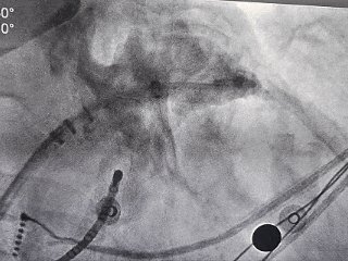
释放LAFDQ-26封堵器

封堵器展开后造影

牵拉试验:封堵器拉出心耳


封堵器牵拉未回弹
牵拉后造影,封堵器移位
上缘未挂住梳状肌,下缘露肩,导致牵拉不稳定,全回收封堵器并更换使用LAFDQ-29封堵器。
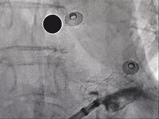
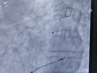
肝位输送LAFDQ-29封堵器

封堵器展开后造影


肝位
头位
牵拉试验后造影


肝位
头位
牵拉稳定,且造影无残余分流。
测量压缩比

右肩位下测量压缩比为10.7%
封堵合适
造影后无残余分流
封堵器完全释放


右前斜
右肩位


左前斜位
肝位
多角度观察心包积液情况,无新增心包积液,同时封堵器稳定封堵心耳口部。
小结与思考
射频消融利用导管释放射频电流导致局部心内膜及心内膜下心肌凝固坏死,从而消除异常电信号,恢复心脏的正常节律。由于两个微创手术路径相同,“射频消融+左心耳封堵”一站式手术能一次解决两个问题,既恢复患者正常心脏节律,又封堵了血栓发生的根源部位左心耳,从根本上预防房颤血栓栓塞事件,同时避免患者承受进行多次手术的痛苦,减少长期口服抗凝药物的出血风险,缩短住院时间和次数,降低治疗风险和手术费用。
研究表明,多分叶菜花型左心耳是心源性卒中的独立影响因素,在房颤患者中,菜花型左心耳是评估血栓风险和决定治疗策略的重要因素*,与该病人的脑梗死高度相关。本病例中患者出现阵发性房颤,不排除后期血栓形成的可能,因此患者选择进行射频消融+左心耳封堵一站式手术,术后心电图恢复正常。
术前结合CT以及术中造影评估左心耳开口24.9mm,深度26.9mm,心耳内部空间合适,且患者全身情况良好,可较配合局部麻醉手术,采用极简式封堵术安全可行。术中考虑心耳开口和深度充足,可利用心耳空间进行退鞘释放封堵器,使封堵器完全封堵左心耳。术中LAFDQ-26封堵器释放时上缘未挂住梳状肌,下缘露肩,导致牵拉不稳定,选择LAFDQ-29封堵器再次尝试,封堵器展开后放置位置合适,且牵拉稳固,术后封堵器形态完整,即刻造影,未见残余漏。封堵器压缩比为10.7%,压缩合适,术中符合PASS原则,释放封堵器,术后封堵器稳固锚定在心耳壁,封堵器与心耳紧密贴合,无过度扩张风险,显著提升封堵完整性。
*王晨琛, 杨文波, 华玮, 陈晔芬, 苏秀秀, 龚俊世, 方跃华. 左心耳解剖形态、功能与非瓣膜性心房颤动患者脑卒中发生风险的相关性研究[J]. 诊断学理论与实践, 2020, 19(02): 151-156.
专家简介

· END ·
专业的心血管医生学术交流平台


版权及免责声明:
本网站所发表内容知识产权归属医谱平台、主办方以及原作者等相关权利人,未经许可,禁止进行复制、传播、展示、镜像、转载、摘编等。经授权使用,须注明来源,否则将追究其法律责任。有关作品内容、版权和其他问题请与本网联系
发表留言
暂无留言
输入您的留言参与专家互动