破解二次开胸风险!中山大学孙逸仙纪念医院郑俊猛教授团队巧用ScienCrown瓣膜完成一例高难度TMVI ViV手术
近日,中山大学孙逸仙纪念医院心血管外科郑俊猛教授、陶俊教授团队,应用国产创新全可回收自膨短瓣ScienCrown系统,经心尖入路成功为一名二尖瓣生物瓣衰败患者实施了经导管二尖瓣瓣中瓣术(TMVI ViV)。

患者基本情况
基础信息:52岁,男性。
主诉:因“活动后气促、胸闷”入院。
手术史:2019年12月因“二尖瓣脱垂并重度反流”于院内行二尖瓣生物瓣置换术,植入了一枚Edwards 31mm生物瓣膜。
合并症:2型糖尿病、糖尿病肾病、快速型心房颤动、高血压3级(极高危)。
超声测量:二尖瓣位生物瓣峰值血流约2.63m/s,峰值压差约28mmHg,平均压差约18mmHg,伴少量瓣中反流。
超声提示:
-
二尖瓣置换术后:生物瓣增厚,重度狭窄并轻度反流;
-
左心耳呈结扎术后,未探及残余分流信号;
-
左房增大,左房内血流淤积;
-
右房增大,三尖瓣中度反流。

手术策略
面对这一复杂高危病例,郑俊猛教授、陶俊教授团队迅速启动多学科会诊,考虑该患者再次接受传统开胸手术的风险极高,经过周密评估和充分讨论,决定采用全可回收自膨短瓣ScienCrown系统经心尖入路完成经导管二尖瓣瓣中瓣介入治疗。
-
麻醉方式:全身麻醉;
-
手术路径:经心尖入路;
-
球囊扩张策略:无需球囊预扩张,备28mm球囊后扩;
-
预选瓣膜型号:ScienCrown TAVTF29mm;
-
选瓣依据:由于患者无法耐受增强CT进一步检查,核查二尖瓣原置换生物瓣型号为Edwards 31mm,经生物瓣软件查询真实内径28.5mm,高度20mm;
-
植入深度:左心房侧约5mm深度释放。

术前超声


左房内血流淤积,二尖瓣可见明显反流束
峰值血流约2.90m/s,峰值压差约34mmHg
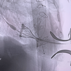
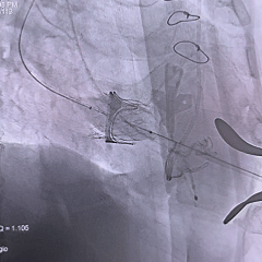
术中影像


右侧垫肩,基本打平原外科瓣瓣架,工作体位:RAO29° CRA12°
直头导丝顺利跨瓣


Mark点平齐外科瓣瓣架低端进行定位
瓣膜全展开位可见同轴稍差,心房内上浅下深


瓣膜回收后,旋转输送器弯型调整同轴
瓣膜重新释放至全展开位,可见位置合适,流出端可见形态压缩


超声评估瓣膜位置可,无瓣周漏
瓣膜稳定脱钩


28mm球囊后扩,瓣膜形态明显改善
最终评估可见瓣膜形态、位置均理想
术后超声

手术圆满成功,即刻效果显著!
-
峰值流速:2.90m/s→1.28m/s
-
峰值压差:34mmHg→8mmHg
-
瓣周未见明显反流

专家简介


· END ·
专业的心血管医生学术交流平台


版权及免责声明:
本网站所发表内容知识产权归属医谱平台、主办方以及原作者等相关权利人,未经许可,禁止进行复制、传播、展示、镜像、转载、摘编等。经授权使用,须注明来源,否则将追究其法律责任。有关作品内容、版权和其他问题请与本网联系
发表留言
暂无留言
输入您的留言参与专家互动