MemoSorb生物可降解ASD封堵器成功封堵24mm大型房间隔缺损

患者信息
性别:女
年龄:67岁
主诉:患者乏力伴头晕半年,晕厥2次。
现病史:患者入院前半年无明显诱因出现乏力,活动后加重,伴头部晕沉感。两月内出现两次一过性晕厥:伴胸痛、随后出现一过性晕厥、意识不清。心脏彩超提示:继发孔型房间隔缺损(16.9*18.7mm)。患者平素活动量可,未见口唇或指端紫绀等,发育略差。患者为进一步治疗,选择入院进一步检查。
临床策略
选伞考量:(分型)继发孔型房间隔缺损,入院后术前测量房间隔缺损大小为16.9×18.7mm,初步计划选择BDASD-I 26封堵器进行封堵,术中复测后发现缺损含软边共计24.1mm,最终决定选择使用BDASD-I 32封堵器进行封堵。
手术策略:经股路径介入封堵,选择BDASD-I 32封堵器、16F可降解封堵器介入输送系统进行封堵,手术全程通过超声+DSA引导进行。
手术过程
术中复测缺损大小

缺损大小为24.1mm
建立输送轨道


导丝放置左上肺静脉
鞘管沿着导丝送入左房
左盘展开并贴靠房间隔


输送左盘
牵拉成型线,使左盘面成型
后撤鞘管和钢缆,使封堵器左盘贴靠房间隔
右盘展开

右盘开始释放,
牵拉成型线使得封堵器双盘扣合住间隔
锁定前牵拉试验


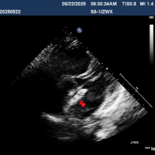
超声多切面观察封堵器位置形态,封堵器骑跨于缺损左右两侧
DSA下牵拉封堵器,
封堵器仅右盘跟着牵拉进行移动
锁定及牵拉测试


鞘管抵住封堵器后,前顶钢缆,
助手固定钢缆和鞘管,牵拉成型线锁定
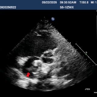
牵拉试验,封堵器骑跨于缺损两侧
封堵器整体稳定,整体随钢缆牵拉移动
解脱钢缆,封堵器完全释放


多切面观察封堵器释放后形态


解脱钢缆完全释放封堵器
主动脉短轴切面显示封堵器呈Y字型抱住主动脉根部,夹持稳定
剑下两房心切面下观察,封堵器位置正确、形态良好
病例小结
该病例术中复测房间隔缺损大小为24mm,断缘距下腔静脉14.2mm,距上腔静脉15.8mm,前后边缘各为10.1mm、16mm。房水平左向右分流。
术中选择BDASD-I 32封堵器,16F可降解封堵器介入输送系统,通过经胸超声+DSA引导介入进行房间隔缺损封堵手术。
房间隔缺损(ASD)封堵术的术中复测是确保手术成功和预防并发症的必要安全机制之一,也为可降解器械提供安全保障。其必要性源于解剖复杂性、器械特性及动态生理变化的综合影响,30%的ASD患者存在边缘薄弱,术中封堵器释放后可能因心脏搏动移位,需术中复测确认软缘大小,降低术中并发症及术后残余分流的发生风险。
本例患者缺损较大,使用金属封堵器进行封堵可能增加封堵器与主动脉根部之间的接触风险,对主动脉造成压迫或损伤。可降解房间隔缺损封堵器其贴壁、贴合效果好,锁定后封堵器紧密贴合于缺损部位利于内皮化;同时专利成型锁定设计,可确保封堵器稳定夹持不易脱落,使其在封堵大型房间隔缺损等复杂房缺治疗中临床优势显著。
封堵器左右盘面释放后,主动脉短轴切面显示封堵器呈Y字型抱住主动脉根部,通过牵拉实验,封堵器位置固定,未见明显位移及形变,多切面观察封堵器形态良好,无残余分流,封堵手术成功。
感谢福建医科大学附属第一医院心内科彭峰主任、李爱娜团队的病例分享
- End -

扫码观看可降解学苑精彩内容
医谱app
扫码或者点击图片下载
微信公众号
扫码或点击图片关注
版权及免责声明:
本网站所发表内容知识产权归属医谱平台、主办方以及原作者等相关权利人,未经许可,禁止进行复制、传播、展示、镜像、上载、下载、转载、摘编等。经授权使用,须注明来源,否则将追究其法律责任。有关作品内容、版权和其他问题请与本网联系。


发表留言
暂无留言
输入您的留言参与专家互动