「封耳心安」MemoLefort左心耳封堵器成功封堵仙人掌型心耳
近日,南昌大学第一附属医院付勇南教授团队成功应用MemoLefort左心耳封堵器完成仙人掌型左心耳封堵一例。患者卒中风险、出血风险高,且心耳呈仙人掌型,封堵难度大,要求器械具备优秀的稳定性和解剖结构适配性。付勇南教授精准把控封堵器放置深度及位置,术后未发生残余分流,封堵器完全释放后形态良好,手术效果满意。
患者基本信息
患者男性,81岁。
主诉:胸闷心悸4年余。
初步诊断:
1.慢性阻塞性肺病伴有急性加重;
2.慢性心功能不全急性发作;
3.心房颤动伴快速心室率;
4.老年性心脏瓣膜病;
5.高血压病3级(极高危);
6.脑卒中后遗症;
7.肾功能不全。
卒中风险评分和出血风险评分
-
CHA2DS2-VASc评分6分,HAS-BLED评分5分。
-
具有高危卒中、出血风险,故行左心耳封堵手术。

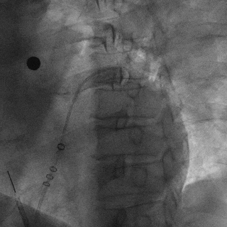
术中DSA左心耳造影+测量确认心耳形态和位置

右肩位左心耳造影

肝位左心耳造影

DSA左心耳造影
(正足位造影)

肝位左心耳测量,开口26mm,上叶深度32mm
术中仙人掌封堵策略:减少露肩,稳定封堵
-
患者概述:本病例为缓解患者长期胸闷等问题,且考虑患者CHA2DS2-VASc评分6分,HAS-BLED评分5分,具有高危卒中、出血风险,拟进行左心耳封堵手术。
-
封堵策略:术前CT评估为仙人掌型心耳,鞘管走上叶深度在32mm左右,展开时减少露肩,增加封堵器稳定性。
-
器械选择:本例术中肝位左心耳测量,开口26mm,深度空间足够,综合考虑选择MemoLefort 32型封堵器,保证封堵器稳定释放。
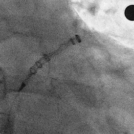
术中封堵器展开过程

鞘管定位


展开过程
Lefort封堵器展开后DSA评估和调整

肝位即刻造影,位置合适,上下缘无造影剂漏

牵拉时造影,有明显回弹,牵拉后位置无移动

封堵器未肩部
锚定区压缩比10%
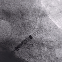
Lefort封堵器释放

封堵器释放前造影
下缘未露肩

符合Lefort释放原则,释放后造影,封堵器形态良好,未发生移动
病例小结
对于开口较大的心耳,可以通过封堵策略的调整或者利用心耳本身解剖结构进行封堵。DSA心耳造影测量数据与超声测量数据可以综合参考,共同评估心耳开口实际大小。
本例患者卒中风险极高(CHA₂DS₂-VASc 6分),且出血风险高(HAS-BLED 5分),LAAC可同时解决卒中预防和抗凝矛盾。随着患者年龄增大,合并其他疾病的增加,卒中风险急剧增加,一次封堵终身获益。本例术前造影发现心耳整体呈仙人掌型,开口直径26mm,主叶较深,深度32mm,考虑到仙人掌型心耳远端分叶会牺牲一些有效空间,封堵器选择需结合其稳定性和解剖结构的适配性,为保证压缩比,选择使用32型封堵器,避免封堵器突出至左心房。
MemoLefort塞式封堵器远端内扣,保证释放过程中不接触心耳心内组织,弧面接触减少心耳壁损伤;同时特殊工艺增加其径向支撑力确保大心耳封堵时封堵器张力固定性能不降低,封堵器不易发生脱落;2/3覆膜设计使封堵器更加贴合组织,提高封堵效率,减少残余漏的风险。封堵器完全释放后,封堵器形态良好,未发生残余分流,术后即刻效果满意。
专家简介
付勇南 教授
南昌大学第一附属医院
医学博士,硕士研究生导师,南昌大学赣江青年学者。毕业于北京大学医学部,曾赴美国加州大学旧金山分校访学1年。擅长于心律失常介入治疗与心脏起搏器安置。主持国家基金项目2项,发表SCI文章10余篇,最高影响因子6分。
往期精彩推荐
-END-
专业的心血管医生学术交流平台


版权及免责声明:
本网站所发表内容知识产权归属医谱平台、主办方以及原作者等相关权利人,未经许可,禁止进行复制、传播、展示、镜像、转载、摘编等。经授权使用,须注明来源,否则将追究其法律责任。有关作品内容、版权和其他问题请与本网联系
发表留言
暂无留言
输入您的留言参与专家互动